顕微鏡用デジタルカメラ「DP75」を発売

独自開発の画像認識AIにより設定にかかる手間を低減させ、作業効率の向上に貢献

株式会社エビデント(本社:東京都新宿区、社長:吉本浩之)は、顕微鏡と組み合わせて使用することで、観察対象をモニターに表示しながら観察や画像撮影、記録を行うことができる顕微鏡用デジタルカメラ「DP」シリーズのフラッグシップ機「DP75」を、2023年11月7日から全世界で発売します。

今回発売する「DP75」は、シリーズ初となる画像認識AIを搭載した製品です。観察方法に応じたコントラスト調整などの画質設定をすべてカメラ任せで行うことができ、安定した画像取得をサポートします。また、業界最高クラスの49メガピクセルを実現した高解像画像を、明視野観察から近赤外蛍光観察までカメラを付け替えることなく1台で取得できる設計により、画像取得にかかる時間と手間を低減させ、作業効率の向上に貢献します。

なお、本製品は2023年11月9日、10日に久留米シティプラザで開催される第69回日本病理学会秋期特別総会、12月6日から8日まで神戸ポートアイランドで開催される第46回日本分子生物学会年会に出展されます。

発売の概要

【製品名】 顕微鏡用デジタルカメラ「DP75」

【発売日】 2023年11月7日

主な特長

  1. 独自開発の画像認識AIにより、安定した画像取得をサポート
  2. 業界最高クラスの49メガピクセルを実現した高解像画像により、対象物のより正確な観察、検査に寄与
  3. 明視野から近赤外の蛍光までカメラ1台で画像取得できる設計により、作業者の効率向上に貢献

発売の背景

エビデントは、製品やサービスにロボティクスやAI、IoTなどの新技術を積極的に取り入れ、お客様の現場の課題解決のサポートおよび作業フロー全体の効率向上に貢献することを目指しています。この考えに基づき開発に取り組んだ顕微鏡用デジタルカメラ「DP75」は、当社が培ってきた顕微鏡用カメラの技術と独自開発の画像認識AIを融合させることにより、専門的な撮影技術がなくても、目視観察に近い色再現の画像が安定して取得できるようサポートすることで、ユーザーの作業効率向上に貢献できると考え、開発に取り組みました。

主な特長の詳細

1.独自開発の画像認識AIにより、安定した画像取得をサポート

顕微鏡の目視観察と同等の色に合わせた画像を撮影するためには専門技術が必要ですが、本製品は観察対象を顕微鏡下に設置するだけでAIが観察方法を判断し、コントラストが調整された最適な画像をカメラ任せで取得することができます。これまで人が行っていた撮影の設定を自動化したことで、安定した画像取得をサポートします。

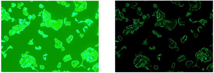
左:画像認識AIによる調整なし、右:画像認識AIによる調整あり。
画像認識AIにより、カメラ任せでコントラストが調整された最適な画像取得が可能。

2.業界最高クラスの49メガピクセルを実現した高解像画像により、対象物のより正確な観察、検査に寄与

研究現場では細胞の複雑な構造を観察するために、製造現場では工業材料の表面の欠陥検査を行うために、高解像で広視野な画像取得が求められています。本製品は、業界最高クラスの49メガピクセルを実現したことにより、低倍率の対物レンズで広視野な高解像画像が取得可能となり、対象物のより正確な観察、検査に寄与します。

左:印刷物の色の混ざり具合を拡大観察した画像。色が画素レベルで分離されていることがわかる。
右:マウスの脳スライスを撮影した画像。広い範囲を高解像度で記録し、部分拡大して詳細観察にも活用もできる。

3.明視野から近赤外領域の蛍光までカメラ1台で観察できる設計により、作業者の効率向上に貢献

従来機種では近赤外蛍光観察には専用のカメラが必要でしたが、本製品では近赤外カットフィルターの抜き差しを可能にすることにより、明視野観察から近赤外領域の蛍光観察までカメラを付け替えることなく1台で取得できる設計を実現しました。これにより、画像取得にかかる時間と手間を低減させ、作業者の効率向上に貢献します。

左:フレキケーブルの近赤外観察画像、右:フレキケーブルの明視野観察画像
近赤外観察では、明視野では観察できない銅箔層(下地)が観察できる

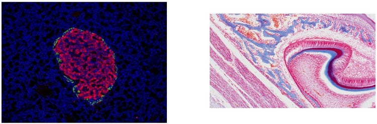
左:マウスの膵臓の蛍光観察、右:マウスの明視野観察画像
一台で幅広い観察に使用することができる

EVIDENTについて


私たちは、オリンパスとして100年以上にわたり、顕微鏡の光学精度において業界標準を確立し、これまで見えなかったものを見えるようにしてきました。私たちEvidentは、優れた光学技術と最新のデジタルイノベーションを組み合わせた高度な画像ソリューションで、科学者や医師、エンジニアの皆さんが目に見えないものを明らかにするお手伝いをしています。

当社のライフサイエンスポートフォリオは、研究、臨床診断、教育をサポートし、基本的な明視野・暗視野顕微鏡から高度な蛍光分析、4D解析、デジタルパソロジーまで、幅広いイメージング手法を提供します。私たちは工業用顕微鏡において、日常的な検査から複雑な品質管理や製造分析まで、多様なタスクに対応するために設計されたレーザー走査、デジタルマイクロスコープ、半導体顕微鏡を通じて、精度と柔軟性を実現しています。

Evidentは、新しい治療法の推進や、製品の完全性の確保、未知の領域の探求において、隠れた答えを解き明かし、画期的なブレークスルーを新たに実現できる使いやすいツールを提供することにより、発見の新時代を築いています。

Evidentは東京に本社を置き、日本、米国、ドイツ、中国に研究開発・製造の拠点を有するとともに、世界中に事業拠点と専任の販売・サービス拠点を展開しています。詳細については、当社のウェブサイト EvidentScientific.com をご覧ください。

▪会社概要

会社名:株式会社エビデント
本社所在地:〒163-0910 東京都新宿区西新宿2-3-1 新宿モノリス
代表者:代表取締役社長兼最高執行責任者(COO) 吉本 浩之
創業:1919年10月12日
設立:2021年11月30日
事業内容:生物顕微鏡、工業用顕微鏡、工業用内視鏡、非破壊検査機器、X線分析計等の開発、製造、販売及びソリューションの提供等に関する事業
会社URL:https://www.evidentscientific.com/ja/

お問い合わせ先:
Michelle Gaynor
michelle.gaynor.ext@evidentscientific.com
+1 609 828 3634