CKX53 Cell Culture Microscope

CKX53顕微鏡では、ライブセル観察、細胞のサンプリングおよびハンドリング、画像取り込み、蛍光観察などの手順が簡易化され、細胞や組織の培養ワークフローがシンプルになります。一体型の位相差システム、コンパクトで人間工学に基づいた設計、安定した性能によって、シンプルで効率的な細胞観察が可能です。ユニバーサルサンプルホルダーと拡張可能なステージは、さまざまな種類やサイズの細胞培養容器に対応します。

クリアな像と快適な操作性によって細胞培養プロセスを効率化

CKX53はコントラストの高い観察像と、快適な操作性を両立することで、培養室内での生細胞の準備プロセスを効率化します。生細胞の活性度確認、サンプリング、蛍光タンパクの発現チェック、画像記録といった多彩なシーンで高いパフォーマンスを発揮します。

広視野で効率の良い培養細胞観察

iPCシステムによって迅速で効率的な細胞観察が可能

iPCシステム(integrated Phase Contrast system)では、同一のリングスリットで4Xから40Xまでの位相差観察に対応し、対物の切り替えの際にリングスリットを変更することなく、高コントラストで鮮明な観察ができます。

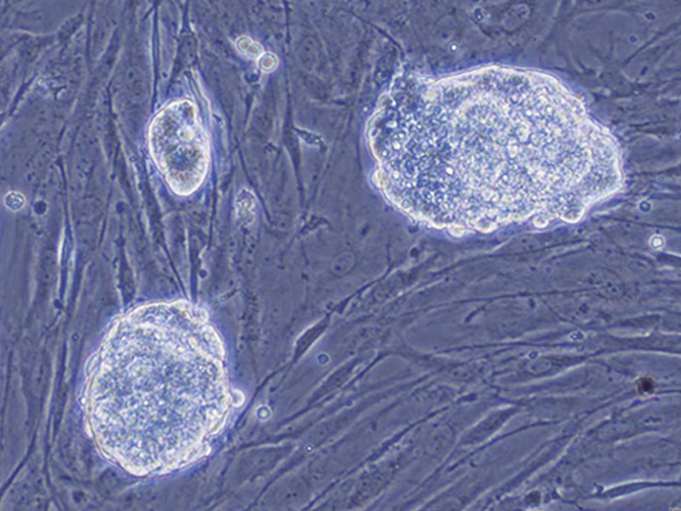
2X対物レンズの使用で広範囲をクリアに観察可能

2X対物レンズ(PLN2X)に対応する開口リング(CKX-SLPAS)によって、透明な培養細胞を直径11mm、視野数22の広い範囲でコントラストよく観察することができます。細胞スクリーニングなどの作業が効率的に行えます。

iPCシステム

CKX3-SLPAS

クリーンベンチ内にもコンパクトに設置

片手での移動が可能

クリーンベンチでの細胞サンプリング

クリーンベンチでのスムーズな観察

フード内でも快適な操作が可能

CKX53はクリーンベンチ内でもコンパクトに設置でき、フード内の滅菌条件下での細胞観察・操作が可能です。また、フレーム表面がUV耐性になっているためUV滅菌中もクリーンベンチ内に静置できます。前機種と比較して小型化・軽量化され簡単に持ち運びができ、光路切り替えノブの下付近を持って、フレーム底部のパット部位を机上でスライドさせれば、片手でも移動させることができます。

自然な体勢での細胞サンプリング

対物レンズの光軸や焦準ハンドルと、アイポイント位置との距離を従来のモデルから縮めたことにより、より自然な体勢での観察と細胞操作が可能になりました。さらに、フードの位置をステージ面まで下げて観察できるため、コンタミネーションの影響を軽減します。

観察用途に応じた容器が使用可能

各種細胞培養容器に対応

ユニバーサルホルダーを用いれば、培養ディッシュや培養フラスコなど、さまざまな大きさの培養容器での細胞観察をスムーズに行えます。また35ペトリディッシュマルチホルダーを装着することにより、35mm培養ディッシュを一度に3個まで乗せてマニュアルステージで操作・観察することができます。

マルチレイヤー培養フラスコの観察が可能

190mmの高さまでの培養容器をステージ上に設置できるので、ローラーボトルやマルチレイヤー培養フラスコなど高さのある容器の観察にも対応します。特にPLCN4X対物レンズの使用時には、マルチレイヤー培養フラスコの最下段の細胞だけでなく、下から2段目までの細胞にも焦点を合わせることができ、広い範囲の観察が可能になりました。

サイズの大きい容器にも対応

メカニカルステージに搭載されているホルダーアームは跳ね上げが可能です。マイクロプレートなどの観察時はホルダーアームを使用し、ホルダーアームのサイズを超えた容器の観察時や、大きく容器を移動させたいときにはホルダーアームを跳ね上げられるので、観察用途や培養容器の大きさに応じて柔軟に操作できます。

さまざまな容器に対応

高さのある容器も観察可能

用途に応じで跳ね上げ可能なホルダーアーム

操作性重視なデザインで効率的な作業を実現

操作性重視なデザインで効率的な作業を実現

ステージに対して45°の角度で観察ができることに加え、双眼部はバタフライタイプの機構を採用することで、立位でも座位でも自然な姿勢で細胞観察を行えます。また、電源スイッチを鏡筒直下のフロントパネルに配置し、調光ダイヤルなどの操作部も近くに配置することで快適な作業性を実現しました。

機能

IVCによる高精細で立体的な観察

IVC(インバージョンコントラスト)観察は、透明なサンプルに立体的にコントラストをつけて観察する手法です。位相差観察のようなハローや、DIC観察のような方向性に依存する陰影の影響を受けずに観察できるため、対象物表面の微細構造を正確に把握できます。

*IVC観察専用リングスリット(CKX3-SLPIC)とリングスリットに対応する10X対物レンズを2種類(PLCN10X、CACHN10XIPC)ラインアップしています。

左: PH/右: IVC

Clear Views with a Wide Range of Fluorescence Dyes

Comparison of with and without Umbra Shield

高コントラストな蛍光観察

広い波長範囲にわたって鮮明な蛍光観察が可能

CKX53蛍光観察用モデルには100W水銀ランプ光源(U-LH100HG)を標準装備し、微弱な蛍光シグナルをクリアに観察できます。また、ミラーユニットスライダーはオリンパスIX3,BX3シリーズで採用されているミラーユニットと互換性を持ち、ニーズに応じた広い波長範囲にわたって、さまざまな蛍光色素に対応することができます。

明るい室内でも鮮明で高コントラストな観察を実現

蛍光観察用にデザインされたアンブラシールド(外乱光遮光板)を用いることで、室内光を効果的に遮断し、明るい室内でもバックグラウンドノイズが低いクリアな蛍光観察が可能になります。シールド部は上下移動が可能で、サンプルに近い位置で使用すれば、より高い効果が得られます。アンブラシールドにより暗室への移動が不要となり、スムーズに次の作業に移ることができます。位相差観察時には、光路を妨げないようアンブラシールドを跳ね上げて観察します。

ワイヤレスデジタルカメラとヘッドアップディスプレイで細胞培養過程の安全性と柔軟性を向上

ワイヤレスLAN対応EP50デジタルカメラを使用すれば、コンピューターへのコード接続を気にせずに、CKX53顕微鏡を組織培養室や安全キャビネットに移動できます。画像の操作と保存が、コンピューター、タブレット、スマートフォンからリモートで可能です。

さらにヘッドアップディスプレイ*を追加装備すれば、コンパクトな一体型イメージングソリューションを実現することができます。イメージング中に無菌状態を保ちながら、ユニット全体を安全キャビネット内で安全に使用できます。

*地域によっては、サードパーティ製品をご利用になれない場合があります。

Achieve a Safer and More Flexible Cell Culture Process with a Wireless Digital Camera and Heads-Up Display

仕様

顕微鏡フレーム
CKX53SF
観察法
蛍光 (B, G励起)
蛍光 (U励起)
位相差
明視野
レボルバー
マニュアル式
標準タイプ
本体固定4穴
鏡筒
広視野 (FN22)
三眼鏡筒
照明系
透過照明
LED光源
落射蛍光照明
100W水銀ランプ
ライトガイド光源
ステージ
マニュアル式
プレーンステージ
コンデンサー
マニュアル式
超長作動距離コンデンサー
NA 0.3/ W.D. 72 mm (本体固定)
外形寸法
200 (W) x 498 (D) x 454 (H) mm (位相差観察用エントリー組合せ)
質量
約 6.9 kg

* 2X対物利用時は、直径11mmの広い範囲を効率よく観察できます。

カタログ・ビデオ・その他資料

ホワイトペーパー(白書)

カタログ・マニュアル