애플리케이션 노트

문의하기

Olympus의 고광도 및 하이 컬러 렌더링 LED가 장착된 BX53 현미경을 사용해 피크로시리우스 빨간색으로 착색된 콜라겐 섬유 유형 I 및 III 식별

콜라겐 섬유를 관찰하기 위해 Masson 3색(MT), Elastica van Gieson(EVG) 또는 Elastica Masson(E-M)으로 샘플을 착색할 수 있습니다. 하지만 이 방법으로는 콜라겐 섬유 유형 I 과 III을 구분할 수 없습니다. 신약 개발 연구에서는 콜라겐 섬유의 정량적 평가가 요구되므로 콜라겐 섬유 유형 I 과 III을 구분할 수 있어야 합니다. 이 분야의 연구원들은 피크로시리우스 빨간색으로 착색된 콜라겐 섬유의 편광 관찰에 주목하고 있습니다. 이 방법으로 두 섬유의 유형을 구분할 수 있기 때문입니다.

피크로시리우스 빨간색으로 착색된 콜라겐 섬유의 편광 관찰의 문제점

이 방법에서 콜라겐 섬유는 간섭색으로 식별되므로 주광 흰색이 조명 색으로 필수적이며, 육안 관찰에 빛 강도 조정도 필요합니다. 신약 개발 연구에서는 배경을 어둡게 하여 편광 구성 요소가 포함된 콜라겐 섬유를 선택적으로 검출해야 합니다.
편광 관찰에서 두꺼운 섬유 콜라겐 유형 I은 밝은 노란색-주황색으로 나타나며, 세망섬유가 포함된 얇은 콜라겐 유형 III은 녹색으로 나타납니다. 일반적으로 사용되는 할로겐 램프는 ND 필터를 사용하거나 전압을 조절하여 어둑하게 할 수 있습니다. 하지만 전자의 경우 단계적으로만(4단계) 디밍이 가능하며 미세 조정은 불가능합니다. 후자의 경우 노란색-주황색 램프의 색 구성 요소가 저강도 빛에서 녹색의 구성 요소보다 더 강하기 때문에 녹색의 간섭색에서 콜라겐 섬유 유형 III은 식별될 수 없습니다. 이 효과는 아래 스펙트럼 특성에 표시되어 있습니다

피크로시리우스 빨간색으로 착색된 콜라겐 섬유의 편광 관찰의 문제점

일반적으로 콜라겐 섬유 유형 I 과 III을 구분하는 것은 어려우며 할로겐 램프를 사용하여 시간이 오래 걸리므로 효율성 및 정확도가 낮게 됩니다. 더욱이 편광 관찰을 사용하여 현미경 시각화를 수행하는 것은 특수 기술 및 지식이 요구되는 어려운 과제입니다.

BX53 현미경의 고광도 LED의 장점

최근에 Olympus의 고광도 및 하이 컬러 렌더링 LED가 장착된 BX53 현미경을 사용한 단순한 편광 관찰이 이러한 문제 해결에 효과적인 것이 밝혀졌습니다. 주광 담청색(LBD) 필터를 사용하여 100W 할로겐 램프(9V)와 흡사하며 모든 빛 강도에서 일관된 주광 흰색을 제공하는 스펙트럼 특성으로 설계된 BX53 현미경의 LED는 콜라겐 섬유 유형 I 과 III을 구분할 수 있습니다. BX53 현미경 및 이 고광도 LED를 사용한 단순한 편광 관찰을 통한 검출은 관찰을 쉽게 하며 기술적 문제의 방지에 도움이 됩니다.

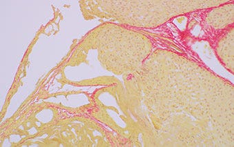
쥐의 폐 조직(피크로시리우스 빨간색으로 착색됨)

명시야 관찰

명시야 관찰

디밍을 사용하여 배경을 어둡게 한 편광 관찰
콜라겐 유형 I 및 III은 각기 주황색과 녹색으로 검출됩니다.

그림 1: 100W 할로겐 램프
그림 1: 100W 할로겐 램프

그림 2: 고광도 및 하이 컬러 렌더링 LED가 장착된 BX53 현미경
그림 2: 고광도 및 하이 컬러 렌더링 LED가 장착된 BX53 현미경

콜라겐 섬유의 정량적 평가

신약 개발 연구에서 각 콜라겐 유형의 식별 및 면적비 같은 정량적 평가가 필요합니다. Olympus는 Olympus의 고광도 및 하이 컬러 렌더링 LED가 장착된 BX53 현미경과 이미징 시스템을 페어링하여 완벽한 솔루션을 제공할 수 있습니다. cellSens 이미징 소프트웨어와 결합된 DP74 카메라를 사용하면 콜라겐 섬유의 자동 추출과 샘플 이미지의 색 정보에 따른 콜라겐 섬유의 면적 및 비율의 측정이 가능합니다.

그림 3: 샘플 이미지*

그림 3: 샘플 이미지*

그림 4: 측정 결과

그림 4: 측정 결과

*빨간색은 콜라겐 유형 I을 나타내고, 녹색은 콜라겐 유형 III을 나타냅니다.

BX53 고광도 LED가 효율적 신약 개발 연구를 지원합니다

고광도 및 하이 컬러 렌더링 LED가 장착된 BX53 현미경은 모든 빛 강도에서 일관된 주광 흰색을 제공하며 100W 할로겐 램프와 같은 스펙트럼 특성을 가지므로 피크로시리우스 빨간색으로 착색된 콜라겐 섬유 유형 I 및 III의 식별을 가능하게 합니다. For simple polarized light observation, you will need analyzer for transmitted light (U-ANT) and polarizer (U-POT).
첨단 LED 기술이 적용된 BX53 현미경, DP74 디지털 카메라 및 cellSens 이미징 소프트웨어와 Count & Measure 솔루션을 결합하는 시스템을 사용하여 각 콜라겐 섬유 유형의 정확한 정량적 평가를 수행할 수 있으며 이는 신약 개발 연구를 위한 필수 기능입니다.

이 애플리케이션에 사용되는 제품

반전동식 형광 현미경

BX53

  • 고광도 트루 컬러 LED 조명
  • 모듈식 개념을 통한 개별 부품의 전동화
  • 멀티 컬러 형광 이미지를 간편하게 획득

더 알아보기