애플리케이션 노트

문의하기

배터리 구동식 현미경 조명 솔루션으로 말라리아 연구 촉진

Evident의 맞춤형 솔루션팀은 특정 현미경 문제를 해결하거나 표준 현미경의 기능을 향상하기 위해 사용자와 함께 솔루션을 만들 수 있습니다.여기에서는 Evident가 원격지에서 이루어지는 현미경 교육을 지원하여 기존의 수준을 넘어서는 기능을 제공하는 방법을 보여줍니다.

아프리카의 사하라 사막 이남 지역에서 말라리아 연구소들이 직면한 어려움

전 세계적으로 2억 4천만 건 이상의 말라리아 사례가 발생하여 627,000명이 사망한 것으로 추정됩니다(2020년 통계).사망자의 약 95%가 아프리카에서 발생했습니다.1

환자의 질병 중증도를 낮추고 모기 매개 질병의 확산을 방지하려면 말라리아를 가능한 한 빨리 치료해야 합니다.말라리아가 많이 발생하는 지역에서는 24시간 이내에 질병을 치료하는 것이 좋습니다.2 말라리아를 유발하는 기생충을 효율적이고 정확하게 식별하려면 샘플을 평가하는 실험실 직원이 충분한 교육을 받아야 합니다.또한 말라리아가 의심되지만 정확하게 평가하지 못하는 경우 다른 질병을 가진 환자가 적절하게 치료받지 못할 수 있습니다.따라서 훈련된 의료인을 적절한 곳에 배치하는 것이 말라리아와의 싸움에서 매우 중요합니다.

1. 신속한 말라리아 기생충 평가의 필요성

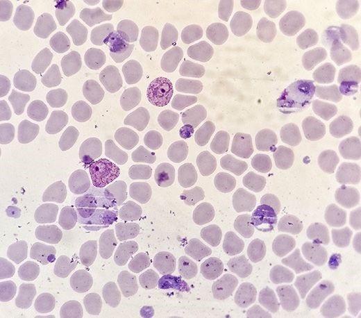
현미경을 사용하여 말라리아 기생충을 식별하기 위해 현미경 검사자는 대개 가장 먼저 김사 염색(Giemsa stain)으로 혈액을 염색하여 말라리아 기생충을 보다 분명하게 보이도록 만듭니다.그런 다음, 염색된 혈액 샘플을 현미경 슬라이드 위에 바르고 그림 1과 같이 말라리아 기생충의 존재 여부를 현미경으로 검사합니다.

Plasmodium vivax trophozoite, a malaria blood parasite

그림 1.말라리아를 유발하는 기생충인 삼일열말라리아원충 영양형.

신속한 평가를 위해 현미경을 구비한 의료 시설이 아프리카 사하라 사막 이남의 위험에 처한 지역사회에 가능한 한 가깝게 위치합니다.시설이 잘 갖춰진 지역 의료 시설만큼 중요한 것이 장비를 충분히 활용할 수 있는 훈련된 현미경 검사자입니다.

2.외딴 지역사회 교육 시설의 열악한 조건

CX23 생물 현미경은 훈련 및 교육 목적으로 널리 사용됩니다(그림 2).CX23 현미경은 작고 가볍고 사용하기 쉬우며 내구성이 뛰어나므로 멀리 떨어진 곳에 위치한 교육 시설에 실용적인 선택입니다.또한 최첨단 광학 기술로 이미징 성능이 차별화됩니다.

Olympus CX23 educational microscope

그림 2.CX23 현미경은 교육에 매우 적합하며, 인체공학적 설계로 실험실에서 샘플을 장시간 관찰할 수 있습니다.

대부분의 실험실 교육 환경에서는 표준 CX23 모델에서 상용 전원으로 구동되는 일체형 LED 램프를 사용하여 테스트 샘플을 조명합니다.그러나 일부 원격 지역에서는 상용 전원 공급 장치의 가용성과 신뢰성이 가변적일 수 있습니다.현미경 교육 중에 장기간 정전이 발생하면 현미경 검사자의 자격 취득이 상당히 지연될 수 있습니다.

전기에 대한 접근성 제한으로 인한 말라리아 평가 문제 해결

EMEA 지역을 위한 Evident 영업 및 맞춤형 솔루션팀(Evident Sales and Customized Solutions Team for Europe, the Middle East, and Africa)은 아프리카의 의료 교육 시설과 협력하여 현미경 검사자들이 장기간 정전이 발생한 동안이나 상용 전원을 쉽게 이용할 수 없는 지역에서도 교육을 계속할 수 있는 솔루션을 개발했습니다.

그림 3에 나와 있는 솔루션은 CX23 현미경에 쉽게 부착할 수 있는 휴대용 USB LED 광원입니다.현미경 검사자가 선택한 대로 검사를 구성할 수 있는 유연성을 제공하는 여러 부착 옵션이 있습니다.

Battery powered illumination for the CX23 microscope

그림 3.CX23 현미경에 부착되고 태양 전지판 전원에 연결된 USB LED 조명의 이미지.

맞춤형 솔루션팀은 전문 조명 기술 제공업체와 협력하여 널리 사용되는 USB 보조 배터리를 사용해서 광원이 최대 10시간 동안 작동하도록 했습니다.이를 통해 현미경 검사자는 장기간 훈련을 계속할 수 있습니다.

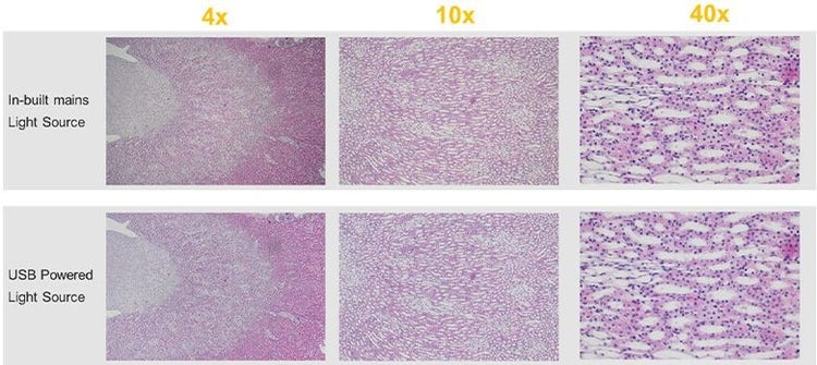
배터리로 구동되는 광원은 광학적 성능을 유지하고 궁극적으로 진단의 품질을 유지할 수 있도록 내장형 CX23 LED와 동등한 균일한 조도와 색온도를 제공합니다.이는 그림 4의 항목별 비교에서 볼 수 있습니다.

Mains powered light source versus USB battery-powered light source comparison of CX23 microscope images

그림 4.CX23 일체형 LED 및 맞춤형 휴대용 USB 광원의 다양한 배율에서 동일한 이미지 품질을 보여주는 현미경 이미지.

일반적인 조건에서 작동하는 광원의 수명은 최대 8년입니다.또한 작업자는 인체공학적 밝기 제어 장치를 사용하여 조명 강도를 쉽게 최적화할 수 있습니다.

Evident의 남아프리카 유통업체인 Wirsam Scientific의 한 담당 직원은 광원을 테스트한 후 다음과 같이 말했습니다. “이 지역에서는 현재 순환 부하 차단(윤번 정전) 및 계획하지 않은 정전이 많이 발생하고 있습니다.저희는 CX23 현미경에서 배터리로 구동되는 LED 광원을 두 가지 구성으로 사용했는데, 하나는 현미경 베이스에 부착하는 것이었고 다른 하나는 콘덴서에 삽입하는 것이었습니다.저희는 빛의 강도가 충분하다는 것을 확인했습니다.

Inserting image...

그림 5.태양 전지판을 사용하여 USB 조명 시스템에 전원을 공급하는 Wirsam Scientific의 구성.

저희는 8시간 이상 쉬지 않고 시스템을 사용했으며, 빛의 강도는 일정하게 유지되었습니다.LED 광원을 태양 전지판과 함께 직접 사용하기도 했는데, 정말 잘 작동했습니다(그림 5).일조량이 많은 대륙에서는 이것이 효율적이고 저렴한 옵션입니다.전기가 공급되지 않거나 공급이 불안정한 아프리카의 일부 외딴 지역에서는 태양 전지판이 이런 문제 중 일부를 완화해 줄 것입니다.”

이 고품질 맞춤형 솔루션은 단순해 보이지만 세상을 더 안전하고 건강하게 만드는 생명 과학 및 산업 솔루션을 만들고자 하는 Evident의 노력을 보여줍니다.

맞춤형 솔루션팀이 귀사의 검사 요구 사항에 적합한 솔루션을 공동으로 만드는 방법을 살펴보십시오.

일부 지역에서는 이용할 수 없습니다.자세한 내용은 현지 영업 담당자에게 문의하십시오.

1https://www.who.int/teams/global-malaria-programme/reports/world-malaria-report-2021
2https://www.cdc.gov/malaria/malaria_worldwide/reduction/dx_tx.html

이 애플리케이션에 사용되는 제품

생물 현미경

CX23

  • 다양한, 사용자 친화적인 설계
  • 뛰어난 광학적 성능
  • 장수명 LED 조명

더 알아보기

장비 통합 솔루션

Olympus는 최종 제품 설계에 Olympus 구성 요소들이 결합될 수 있도록 광학 및 기계적 데이터를 제공합니다. 설계 요구사항이 기존 제품의 한계를 넘는 경우, 맞춤형 대물렌즈 및 광학 부속품 사용이 가능합니다.

더 알아보기

광원

Olympus는 명시야 또는 형광 이미징 응용 분야에 최적화된 다양한 광원을 제공합니다.

자세히 알아보기

U-FLLED

수동 및 반자동 현미경에서 일상적인 형광 이미징을 위해 설계된 소형 직접 장착형 LED 광원입니다. 패시브, 팬-프리 냉각과 모듈식 여기 채널을 갖춘 U-FLLED는 시스템 복잡성을 추가하지 않고 고정 샘플과 일상적인 워크플로우에 안정적이고 균일한 조명을 제공합니다.

  • 일체형 현미경 시스템을 위한 직접 장착형 LED 조명.
  • 주요 형광물질용 모듈형 여기 채널
  • 조용하고 팬리스 동작으로 일상적인 형광 이미징에 적합합니다.

자세히 알아보기