보이지 않는 대상을 밝히는 기술: 보이지 않는 것을 보이도록 만드는 마법

Yeasts imaged with the scanR high-content screening system and analyzed with TruAI deep-learning technology.

Rebecca Chandler

Rebecca Chandler

2025년 7월 24일

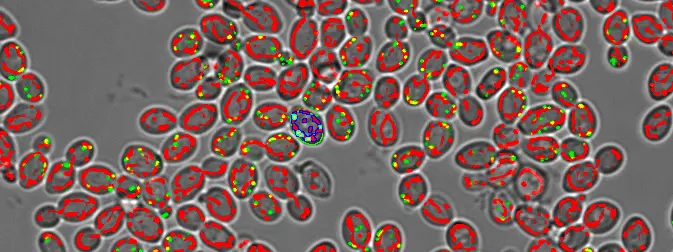
스피닝 디스크 현미경 기술과 40X XAPO 공기 대물렌즈(NA 0.95)를 탑재한 scanR 고함량 스크리닝 시스템을 사용하여 웰 플레이트에서 자동으로 클로즈업하여 촬영한 이스트 이미지. 현미경으로 캡처한 원본 카메라 프레임은 4배 더 큽니다. 이스트는 직경이 ca 5μm입니다. 빨간색 및 녹색 신호는 scanR 소프트웨어 내에서 구축된 사전 훈련 AI 네트워크로 렌더링한 세포 조직 확률입니다.

scanR은 연구자들이 그 어느 때보다 더 많이 창조하고 발견하고 성취하도록 돕습니다.

Evident에게 혁신은 단지 새로운 도구를 만드는 일만을 의미하지 않습니다. 바로 과학자와 임상의들이 장벽을 부수고 보이지 않았던 대상을 발견하고 건강, 생물학, 기술 분야에서 의미 있는 진전을 이루는 미래를 가능하게 하는 일을 의미합니다.

최근 업데이트된 scanR 고함량 스크리닝 시스템 버전 3.6은 이러한 사명을 최전선에서 실현하고 있습니다. 더 자세히 알아보기 위해 Evident의 응용 전문가이자 scanR의 최신 버전 개발에 참여했던 Manoel Veiga 박사와 함께

이미징의 미래, 인공지능 및 대규모 발견에 관한 광범위하고 유의미한 대화를 나눠 보았습니다.

과학적 발견의 한계를 넓히는 플랫폼 구축

질문: Manoel 박사님, 기본적인 질문부터 시작하겠습니다. scanR 버전 3.6과 관련지어 생각할 때 “창조(creating)”란 무엇을 의미하나요?

Veiga 박사: Evident에서 "창조"란 이미지 획득 이상을 수행하는 플랫폼을 연구자에게 제공하는 것을 의미합니다. 진정한 지식의 창조를 촉진하는 것이죠. 처음부터 새로운 어세이 전체를 개발하건 기존 어세이를 개선하기 위한 새로운 AI 모델을 개발하건, scanR은 과학적 혁신의 발판 역할을 합니다.

과거의 예와 최근 예를 말씀드리죠. 10년 이상 전에 scanR의 이미지 세포 분석 인터페이스에서 영감을 받은 연구자들은 “정량 이미지 기반 세포 분석(Quantitative Image-Based Cytometry)”이라는 이름의 전체 획득 및 분석 파이프라인을 개발했습니다. 이러한 노력의 결실로 암 연구에 큰 영향을 끼친 논문들이 다수 탄생했습니다.1 특정 단백질 마커를 기준으로 DNA 함량을 표시하는 수천 개의 단일 핵으로 구성된 산점도는 약물 반응과 관련된 생물학적 기전과 경로를 밝히는 데 도움을 주었습니다.

2025년 올해에는 scanR의 AI 및 세포 분석 기능을 사용하는 한 연구자가 “정량적 AI 기반 DNA 파이버 워크플로(Quantitative AI-based DNA fiber workflow)”라는 이름의 워크플로를 개발했습니다. 이 프로세스는 현미경으로 촬영한 개별 DNA 파이버를 조사하여 자동으로 복제 스트레스를 연구했습니다.2 DNA 파이버 분석은 이미 수행되고 있었지만, 수작업 이미지 획득과 분석에만 의존했기 때문에 시간이 많이 소요되고 사용자 편향에 취약했습니다. 새로운 AI 기반 DNA 파이버(qAID) 워크플로는 수십 분 안에 수천 개의 DNA 파이버를 이미징하고 여러 매개변수 기반으로 분석합니다.

Steps in the automated imaging analysis of DNA fibers using the scanR high-content screening system. scanR 고함량 스크리닝 시스템을 사용하여 DNA 파이버에 대한 자동 이미징 분석을 수행하는 단계

이 예들은 연구자들이 scanR 시스템을 구입할 때 단지 현미경만을 구입하는 것이 아님을 보여줍니다. 연구자들은 실질적인 성과를 달성하고 있습니다.

질문: scanR 3.6은 이전 버전들과 어떻게 차별화되나요?

Veiga 박사: 가장 큰 변화는 scanR 버전 3.6을 IXplore™ IX85 플랫폼과 함께 사용할 수 있다는 점입니다. 이 플랫폼은 업계를 선도하는 26.5mm의 시야수를 갖춘 전동식 도립 현미경으로, 탁월한 관측 시야를 제공합니다. 단일 카메라 프레임도 더 크기 때문에 통계 수치가 더 나아졌습니다. 이미지당 50% 더 많은 세포를 포함할 수 있고, 동일한 세포 통계 수치를 달성하기 위해 전과 같이 많은 이미지를 획득하지 않아도 되므로 더 빨리 스캔을 수행할 수 있습니다.

Left: Increasing the field number increases the cell count. Right: IXplore IX85 motorized inverted microscope platform. 왼쪽: 시야수를 높이면 세포 수가 증가합니다. 오른쪽: IXplore IX85 전동식 도립 현미경 플랫폼.

새로운 IX85 플랫폼뿐만 아니라 이제 다양한 스피닝 디스크 구성도 지원합니다. SoRa 버전의 초고해상도 이미징을 지원하는 Yokogawa의 CSU-W1뿐만 아니라, IX85의 넓은 관측 시야를 극대화하는 특수 커플링 설계의 Crest X-Light V3를 이제 통합했습니다.


더 빠른 결과를 얻는 데 하드웨어만 기여하지는 않습니다.

소프트웨어의 전체 워크플로 역시 중요한 역할을 합니다.

  1. 사용자가 획득 실험을 준비하는 데 오랜 시간을 보낸다면 좋은 하드웨어라도 스캔을 빨리 수행하지 못할 것입니다. scanR은 소프트웨어에서 클릭 몇 번만 하면 모든 세포에 초점을 맞추고 획득 실험을 시작할 수 있습니다.
  2. 병행 획득과 분석을 수행하면 전반적인 속도를 더 높일 수 있습니다. 우리는 사용자들로부터 전에는 몇 주 또는 몇 달까지 걸리던 작업을 훨씬 더 빨리, 때로는 단 몇 시간만에 마칠 수 있다는 피드백을 받았습니다.

질문: scanR 버전 3.6에서는 AI가 더 큰 역할을 하는 것 같습니다. AI가 시스템을 어떻게 개선하나요?

Veiga 박사: 대부분의 분석 어세이는 다음과 같이 동일한 시퀀스를 따릅니다.

1) 객체 분할.

2) 이러한 객체의 특성 추출.

3) 추출된 특성에 따라 단일 세포 분류.

4) 처리를 기준으로 각 세포 유형의 정확한 모집단 비율(%) 확인.

객체를 더 잘 분할할수록 결과의 질이 향상됩니다. 그 이유는 강도 및 형태 요인이 매우 정밀하게 추출되고 후속 세포 분류가 더 안정적으로 이루어지기 때문입니다. 그러므로, 원하는 대상을 정밀하게 분할할 수 있으면, 다양한 이미징 응용 분야에 맞게 광범위한 분석을 수행할 수 있습니다.

과거에는 특정 관심 구조만 선택적으로 분할하려면 사용자가 이미지 프로세싱에 많은 경험이 있어야 했습니다. 다행히, 이제 AI 덕분에 분할을 쉽게 수행할 수 있습니다. AI는 어세이를 간소화하는 도구입니다. scanR 버전 3.6은 다섯 가지 사전 훈련 네트워크, 즉 핵, 세포, 점, 구조 및 이동 중 핵을 제공하여 사용자가 가장 일반적인 분석 작업을 수행하도록 돕습니다.

Pluripotent stem cells acquired and segmented with a scanR widefield microscope. scanR 광시야 현미경으로 촬영한 유도만능줄기세포. 녹색 채널에 적용된 AI 사전 훈련 세포 분할 모델은 노란색으로 표시되었고, 주황색 채널에 적용된 AI 사전 훈련 핵 분할 모델은 빨간색으로 표시됐습니다.

이뿐만 아니라, 사용자는 컴퓨터 코딩 능력 없이도 자체 알고리즘을 개발하여 특정 구조를 분할하기 위해 AI 훈련 모듈을 적용할 수 있습니다. 그 과제가 유사분열 중 염색체 다리를 찾는 일이건 일정 시간이 경과하는 동안 세포의 개별적 상호작용을 분석하는 일이건 세포 내 특정 형광 분포 패턴을 찾는 일이건, AI는 불가능했던 수준의 정교함을 실현합니다.

마지막으로, scanR 분류 및 AI 도구를 사용하면 영역 기능에서 재스캔을 적용하여 관심 세포나 관심 구조를 고해상도로 신속하게 식별 및 재촬영할 수도 있습니다.

보이지 않는 대상을 밝히는 기술: 보이지 않는 대상을 볼 수 있도록

질문: Evident는 "보이지 않는 대상을 밝히는 기술"을 추구하여 과학적 발견의 한계를 넓히고자 합니다. 이것이 scanR을 사용하는 연구자들에게는 무엇을 의미할까요?

Veiga 박사: "보이지 않는 대상을 밝히는 기술"은 기존 이미징 기법이 종종 놓치는 생물학적 체계의 복잡성과 풍부함을 드러냅니다. 수십 년 동안, 현미경의 역할은 즉시 볼 수 있는 대상(예: 밝은 특성, 표지 세포 및 형광 표지자)만을 관찰하는 것을 의미했습니다. 그러나 그 이면에서는 훨씬 더 많은 일이 일어나고 있습니다. scanR을 통해 연구자들은 수백만 개의 세포를 캡처하고 분석하여 몇 개의 표상 이미지만이 아니라 생물학적 가변성을 종합적으로 파악할 수 있습니다.

또한, scanR 시스템은 너무 섬세해서 보기 어렵거나 너무 복잡해서 측정하기 어려운 세포 내 구조, 세포 표현형 또는 동적 행동을 식별할 수 있습니다. 이 덕분에 연구자들은 이전에는 할 수 없었던 새로운 과학적 질문을 탐구할 수 있습니다.

단순히 원시 데이터를 제공하는 것이 아니라 이전에 파악하지 못했던 인사이트를 발견할 수 있죠. 이것이 scanR의 진정한 가치입니다. 이 제품은 보이지 않는 대상을 밝히고 연구자들에게 이러한 발견을 가능하게 하는 도구를 제공합니다.

질문: 이러한 가치를 실제 연구에 활용한 사례를 들어주실 수 있나요?

Veiga 박사: 물론입니다. 각각 수천 개의 세포가 포함된 두 개의 이미지가 나란히 있으면 인간의 눈에는 매우 비슷하게 보일 수 있습니다. 그러나 세포를 분류하여 다차원 히스토그램으로 만들면 이 샘플들 간의 차이를 분명히 알 수 있습니다.

Comparison of cell populations using the scanR high-content screening platform. 왼쪽(대조군)의 이미지는 나머지 두 개의 이미지와 분명히 다릅니다(더 밝고 분홍색 세포가 더 많습니다). 그러나 오른쪽 두 개의 이미지 사이의 차이점은 이처럼 확연하지 않습니다. 서로 다른 형광 마크의 강도 값을 2D 히스토그램으로 그리면 세 개의 모든 이미지의 세포 모집단의 서로 다른 비율(%)이 분명히 드러납니다.

scanR은 획득과 동시에 데이터를 분석할 수 있으므로 시연 중에 고객의 샘플을 심층적으로 살펴볼 수 있습니다. 낮은 이미징 처리량과 낮은 세포 통계 수치에 익숙한 연구자들은 2D 히스토그램을 보면 때때로 놀라게 됩니다. 예상하지 못한 표현형을 발견하기 때문입니다.


그럴 경우는 매우 낮은 비율로 발생할 수 있지만, 2D 히스토그램을 통해 이상값으로 쉽게 관찰할 수 있습니다. 낮은 비율이지만 복제 가능한 경우 생물학적으로 의미가 있을 수 있습니다. 사용자는 2D 히스토그램을 직접 클릭하여 데이터 포인트에 해당하는 세포를 확인할 수 있으므로 실험에 대한 완전한 통제력을 발휘할 수 있고 새로운 과학적 질문을 탐구하기 시작할 수 있습니다.

2D histogram in scanR showing a cell with an abnormal number of spots. 2D 히스토그램을 통해 점의 개수가 비정상적인 세포를 이상값으로 쉽게 식별할 수 있습니다. 그 다음, 이 세포를 영역 재스캔(Rescan Region) 기능으로 더 높은 배율에서 재촬영할 수 있습니다(또는 광시야에서 컨포컬로 전환할 수도 있음).

유의미한 성취: 실제 세상의 요구 충족

질문: scanR 버전 3.6은 실제 사용성 측면에서 어떻게 다른가요?

Veiga 박사: 실제 환경에서는 시간, 자원, 유연성이 모두 부족합니다. 따라서 scanR 3.6은 이러한 제약 안에서 작동해야 합니다. Evident는 실험실이 기본 설정부터 시작하여 AI 기능이나 라이브셀 배양, 세포 추적 분석 또는 초고해상도 이미징을 추가하는 것 등으로 요구 사항이 진화함에 따라 확장할 수 있도록 scanR을 모듈식으로 설계했습니다. 또한, scanR과 cellSens 소프트웨어는 같은 현미경에서 사용할 수 있으므로 시스템의 유연성이 확장됩니다. 불필요하게 복잡성을 심화시키지 않고 실험실의 요구 사항과 함께 확장되는 시스템을 제공하는 거죠.

분석 소프트웨어 측면에서 봤을 때 첫 번째 릴리스부터 scanR이 매우 영리하게 설계되어 기뻤습니다. 여러 해에 걸쳐 scanR의 구조 덕분에 이미지 프로세싱, 객체 계층구조, 세포 추적, AI 기반 분할 등 새로운 기능을 분석 도구 세트에 원활하게 통합할 수 있었습니다. 원시 데이터는 수정되지 않으며, 이미지를 복제하지 않고 동일한 데이터 세트에서 여러 번 분석을 실행할 수 있습니다. 전체 Z 스택 또는 단일 Z 계층에서 하나 이상의 AI 모델을 하나 이상의 채널에 사용할 수 있습니다. 또한 품질 관리를 위해 AI 확률을 검사할 수 있고 그 밖의 많은 기능을 활용할 수 있습니다. 제가 볼 때, scanR은 AI 기반 분석과 어세이 개발을 위한 완벽한 인터페이스입니다. scanR을 사용하면 재미있습니다. 제가 일하면서 사용한 연구 도구 중 가장 즐겁게 사용할 수 있는 제품이죠!

또한, 이미징 시설 관리자들은 cellSens 소프트웨어와 scanR을 조합하면 시스템 사용 시간 기준으로 가장 많이 사용하게 되는 현미경 솔루션이 된다고 말했습니다. 심지어 컨포컬 현미경보다 더 많이 사용한다고 했죠. 이분들이 얻은 결과는 진정한 성공의 척도입니다.3

질문: 마지막으로, scanR의 미래와 생명 과학 분야에서 Evident가 하게 될 역할과 관련하여 가장 기대되는 점은 무엇인가요?

Veiga 박사: 개인적으로 가장 신나는 점은 scanR 사용자 중에는 고객뿐만 아니라 가까운 협업자들도 포함되어 있다는 점입니다. 시스템에 대한 이분들의 피드백은 매년 우리가 제품을 개선하는 데 도움을 주며, 우리는 이러한 과학적 요구 사항을 최대한 제품에 반영합니다. 또한, scanR은 이미징에서 더 나아가 분석을 제공합니다. 우리는 연구에 대한 정보와 현미경 분야의 최신 트렌드를 알려주는 분석 어세이를 준비하는 작업을 지원합니다. 회사의 관점에서 볼 때 scanR은 우리가 최신 과학을 따라잡을 수 있도록 해주는 훌륭한 자산입니다.

마지막으로 말씀드리면, Evident는 최첨단 현미경 솔루션을 제작하는 것에서 그치지 않고 과학의 미래에 기여합니다. 이러한 미래의 중심에 scanR이 있을 것이라고 저는 생각합니다. Evident의 사명은 연구자의 역량 향상입니다. 우리는 실험실의 크기나 연구 질문에 관계 없이 모든 과학자가 최고의 이미징 도구를 사용할 수 있기를 바랍니다.

인터뷰 인물 소개

Manoel Veiga

Manoel Veiga는 스페인 산티아고데콤포스텔라대학교에서 물리 화학 박사 학위를 취득했습니다. 그는 마드리드 콤플루텐세대학교와 뮌스터대학교에서 두 차례의 박사 후 과정을 마친 후 형광 수명 이미징 현미경(Fluorescence Lifetime Imaging Microscopy, FLIM) 및 시간분해 분광법 분야에서 전 세계의 전문가를 지원했습니다. 그는 자신의 경험을 바탕으로 2017년에 EVIDENT Technology Center Europe에서 고함량 분석 및 딥러닝 분야의 글로벌 응용 전문가로 일했습니다.

참고 문헌

  1. Toledo, L.I., M. Altmeyer, M.B. Rask, C. Lukas, D.H. Larsen, L.K. Povlsen, S. Bekker-Jensen, N. Mailand, J. Bartek, and J. Lukas. 2013. "ATR Prohibits Replication Catastrophe by Preventing Global Exhaustion of RPA." Cell 155 (5): 1088–103.

    Michelena, J., A. Lezaja, F. Teloni, T. Schmid, R. Imhof, and M. Altmeyer. 2018. "Analysis of PARP Inhibitor Toxicity by Multidimensional Fluorescence Microscopy Reveals Mechanisms of Sensitivity and Resistance." Nature Communications 9 (1): 2678.

    Zonderland, G., R. Vanzo, S.A. Gadi, E. Martín-Doncel, F. Coscia, A. Mund, M. Lerdrup, J. Benada, D. Boos, and L. Toledo. 2022. "The TRESLIN-MTBP Complex Couples Completion of DNA Replication with S/G2 Transition." Molecular Cell 82 (18): 3350–65.e7.
  2. Fagherazzi, Paolo, Timo Diekmann, Alessandra Ardizzoia, Zuzana Machacova, Simran Negi, Anoop Kumar Yadav, Pavel Moudry, Vincenzo Costanzo, and Hana Polasek-Sedlackova. 2025. "Quantitative AI-Based DNA Fiber Workflow to Study Replication Stress." bioRxiv.
  3. Veiga, Manoel. 2022. "Multimodal Solution Supports Whole Slide Scanning and High-Content Screening in Neuroscience." EvidentScientific.com. 2025년 7월 24일 접속.

추천 제품

scanR High-Content Screening System

scanR 고함량 스크리닝 시스템

자세히 알아보기

Rebecca Chandler, Picture

Rebecca Chandler

전속 기자

Rebecca는 엔디코트대학교(Endicott College)에서 언론학 학사 학위를 취득했으며, 과학 및 산업 분야 동향과 기술에 관한 글을 씁니다. 그녀는 Evident 엔지니어 및 과학자와 긴밀한 협력을 통해 최신 레이저 스캐닝, 초고해상도, 다광자, 정립, 실체 및 도립 현미경 시스템과 첨단 광학 장치, 카메라, 소프트웨어에 대해 글을 작성합니다. 세포학, 병리학, 교육 등 수많은 응용 분야를 지원하는 Evident의 최신 기술에 대해 알아보려면 그녀의 글을 읽어 보세요.