모양 관찰 - 2022년 5월의 최고 인기 현미경 이미지

june-2022-kerry-israel-banner.jpg

Kerry Israel

Kerry Israel

2022년 6월 07일

저희의 2021 올해의 이미지상 수상작이 계속 화제를 모으고 Instagram 좋아요를 얻고 있습니다. 하트모양을 한 핵부터 별처럼 뻗친 털까지, 이번 달의 최고 현미경 이미지를 통해 다양한 모양을 보았습니다!

현미경으로 본 쌍떡잎식물의 줄기

여기 보이는 이미지는 매우 아름다운 쌍떡잎식물의 줄기입니다. 쌍떡잎식물은 특징적인 마디와 절간을 갖고 있어 외떡잎식물과 반대로 여기서 잎, 가지, 꽃이 자라납니다. 관다발의 내부 구조는 물관(주황색과 황색으로 표시), 체관(형광 녹색으로 표시), 여러 섬유질로 구성되어 있습니다.

이미지 제공: Minjun Shin. Olympus CX21 현미경으로 200배율에서 명시야 현미경을 사용해 황색 Rheinberg 조명으로 캡처.

현미경으로 본 핵

세포도 마음이 통하는 순간을 경험할 수 있답니다! 여기, 세포 두 개의 반쯤 분리된 핵이 하트가 연결된 모양을 형성합니다. 이 핵은 세포핵의 섬유 단백질인 라민으로 표지되었습니다.

이미지 제공: Di Lu. 2021 올해의 이미지상(IOTY) 가작. Olympus FV3000 컨포칼 현미경으로 캡처.

다른 2021 IOTY 이미지를 보려면, 올해의 이미지상 페이지를 방문하세요.

현미경으로 본 초파리의 난소

이 작고 성가신 생명체가 부엌 주위를 날아다니지 않았으면 하시겠지만, 초파리는 훌륭한 과학적 대상입니다. 흔히 초파리(fruit flies)라고 알려진 초파리(Drosophilae)는 빨리 번식할 수 있는 능력으로 유명합니다. 여기 보이는 난소는 중요할 뿐만 아니라 꽤 아름답기까지 합니다!

이미지 제공: Yujun Chen. 2021 올해의 이미지상 가작.

현미경으로 본 말발도리 잎의 털

별이 보이시나요? 이 이미지는 말발도리 잎을 덮고 있는 별 모양의 방어용 털을 보여줍니다. 잎의 적색 형광, 엽록소로 채워진 세포에 대해 그림자를 드리우고 있습니다. 수국과의 일원인 말발도리 는 아시아, 중앙아메리카, 유럽에서 발견되는 화목류입니다.

이미지 제공: David Maitland. 2021 올해의 이미지상 가작. Olympus BX51 현미경으로 캡처.

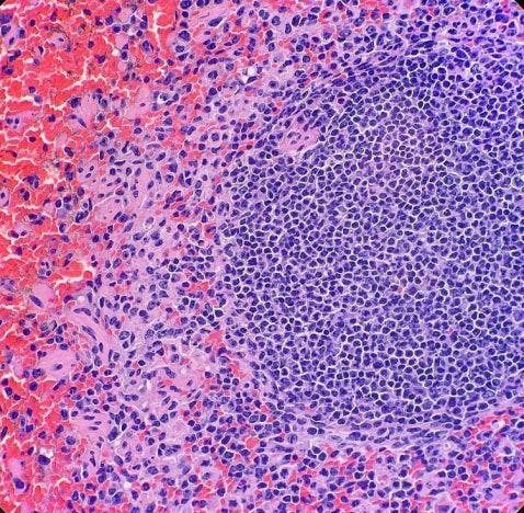
현미경으로 본 붉은목왈라비의 비장

캡처: Kate Murphy, 이 이미지는 붉은목왈라비의 비장 이미지입니다.

Kate는 “비장은 림프계에서 가장 큰 장기입니다. 주로 백혈구를 보관하고 오래된 적혈구를 재활용하죠. 본질적으로 우리 혈액을 위한 품질 관리 센터입니다. 비장 없이 살 수는 있지만, 감염에 더욱 취약해질 것입니다. 현미경을 이용하면 별개의 두 '속질'을 볼 수 있습니다. 백색속질은 원 모양의 자주색 세포 다발입니다. 이것은 림프 조직입니다. 적색속질(적혈구로 채워져 있음)은 혈액이 여과되는 곳입니다”라고 설명합니다.

이미지 및 설명 제공: Kate Murphy. Olympus BX40 현미경으로 캡처.

아름다움은 내면에 있다는 표현은 다들 익숙합니다. 이 인상적인 비디오는 꽃줄기의 표피세포와 이미지 인식에 사용되는 과정을 보여주면서 내면의 아름다움을 드러냅니다.

“표피조직에 파묻혀 있는 기공도 보실 수 있습니다. 기공은 줄기와 식물의 다른 부분에도 나타날 수 있습니다(잎에만 있는 게 아니랍니다!) 기공은 식물이 CO2를 받아들이고 O2를 배출하기 위해 사용하는 구멍입니다. 즉, 기공은 식물이 ‘숨을 쉬기 위해’ 사용하는 구멍입니다.

비디오의 앞부분에서 제가 사용하는 액체는 증류수입니다. 증류수는 샘플 속 세포가 긴장 상태를 유지하도록 도와줍니다. 물과 커버 슬립은 곤란하게도 빛 반사가 발생하는 것을 방지해 이미지 품질도 개선합니다.

비디오 및 설명 제공: Adolfo Sánchez-Blanco, PhD. Olympus CX31 현미경으로 최대 400배율에서 캡처.

이와 같은 이미지를 더 많이 보려면 인스타그램 @olympuslifescience를 팔로우하세요.

여러분이 포착한 이미지를 공유하고 싶으세요? 올림푸스 이미지 제출 사이트를 방문하십시오.

Kerry Israel

Kerry Israel

관리자, 마케팅 커뮤니케이션

Kerry Israel은 미주 Olympus Corporation의 과학 솔루션 그룹의 생명 과학을 위한 마케팅 및 커뮤니케이션 담당 관리자입니다. Brandeis 대학에서 문학사를 취득하였으며 15년 동안 광고 및 소셜 미디어 전략에서 풀뿌리 홍보에 이르는 모든 측면의 마케팅 경험을 쌓았습니다.