원생생물, 식물 및 호랑이: 2021년 8월의 가장 인기 있는 현미경 이미지

september-2021-kerry-israel-banner.jpg

Kerry Israel

Kerry Israel

2021년 9월 15일

진핵생물과 잎에서 신장에 이르는 2021년 8월의 가장 인기 있는 현미경 이미지는 알록달록한 색채를 보여줍니다. 아래에서 형형색색의 사진을 보세요!

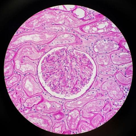
과요오드산 시프시약으로 염색된 호랑이의 신장

여기 보이는 것은 과요오드산 시프시약(PAS)으로 염색된 호랑이의 신장 조각입니다.

“신장의 목적은 혈액을 여과하는 것입니다. 폐기물이 제거되고 수거되어 오줌으로 배설되는 곳이죠. 신장은 혈류 속 소금, 수분 및 미네랄의 양을 조절하기도 합니다.

제 생각에는 사구체가 무대의 주인공입니다. 신장 내 모세 혈관 고리이고, 여과 과정이 시작되는 곳이에요. 수분과 폐기물 같은 작은 분자들이 걸러져 세뇨관으로 이동합니다. 세뇨관을 따라 이동할 때, 중요한 물질들은 다시 혈류로 되돌아오고 폐기물은 집합관으로 이동하여 끝내 오줌으로 배설됩니다.”

이미지 및 설명 제공: Kate Murphy. Olympus BX40 현미경으로 촬영.

배근 신경절 군집

"신경 나무"라는 제목의 이 현미경 이미지는 식물이나 꽃이 아니라 실제로 신경의 집합입니다. 꽃 부분은 배근 신경절 군집 및 슈반세포 체외이식편 배양으로 만들어지며, 가지와 줄기는 슈반세포와 신경미세섬유에 염색된 좌골신경으로 만들어집니다.

이미지 제공: Diara Santiago Gonzalez. 올림푸스 디스크 스캐닝 장치(DSU)에서 촬영.

현미경으로 본 목화 잎

다음 이미지는 목화 잎을 확대한 것으로, 맞춤형 파란색 라인버그(Rheinberg) 필터를 사용하여 촬영되었습니다. 라인버그 조명은 광학 염색의 한 형태로, 표본과 배경 모두에 풍부한 색상을 제공하기 위해 유색 젤라틴이나 유리 필터를 사용하는 중저전력 암시야 조명의 놀라운 변종입니다.

목화 잎의 단면은 목질부(자주색), 체관부(담청색) 및 다섬유로 구성된 복잡한 섬유주 같은 구조를 보여줍니다.

이미지 자체보다 훨씬 더 믿을 수 없는 것은 이것이 대한민국의 고등학생 생물학자 겸 사진사에 의해 촬영되었다는 점입니다. 어린 과학자들이 참여하는 모습을 보니 좋네요!

이미지 제공: @minjunsmicroworld. Olympus CX21 현미경에서 촬영.

방산충 골격

당사는 Håkan Kvarnström과 함께 하는 "X Line™ 대물렌즈 미시 세계 탐험" 시리즈의 일환으로 스톡홀름 왕립 정원 내부 및 주위에 있는 연못의 미생물을 보여주는 새로운 이미지를 매달 공유하고 있습니다. 이달의 특집 이미지는 DIC 관측 및 포커스 스태킹(20X)을 사용하여 캡처된 방산충(Radiolarian) 골격의 흥미로운 모양을 보여줍니다. 이러한 골격은 해저의 15%를 구성하는 침전물의 한 유형인 규질 연니(siliceous ooze)를 생산합니다!

이미지 제공: Håkan Kvarnström. X Line 대물렌즈가 포함된 Olympus BX51 현미경으로 촬영.

현미경으로 본 원생생물

방사극충아강(Acantharia)은 공생조류를 포함하는 경우가 많은 원생생물(세포에 동물, 식물 또는 균류가 아닌 세포핵을 포함하는 유기체)입니다. 이렇게 밀접한 조류와 원생생물 간의 상호 관계에서는 특화된 영양 순환이 발달할 수 있습니다. 방사극충아강은 모양과 크기로 인해 플랑크톤 단섬유 내에서 식별하기 쉽습니다. 이들의 골격은 황산스트론튬(strontium sulfate, SrSO4)으로 만들어집니다. 이들은 주로 황산염으로 만들어지는 유일한 유기체 중 하나입니다!

이미지 제공: Gabrielle Corradino. Gabrielle의 작업에 대해 자세히 알아보려면 당사의 디스커버리 블로그 인터뷰를 확인하십시오.

보너스 영상!

여기서 보이는 것은 최대 속도로 광합성 중인 잎입니다. 자세히 보면 원반 모양 엽록체가 회전할 때마다 거의 동일한 경로를 도는 정기적인 순환 패턴으로 세포 주위를 이동하는 것을 확인할 수 있습니다. 이는 컨베이어 벨트처럼 녹색 소기관을 끌어당겨 빛에 균등하게 노출시키는 단백질 기계 때문에 가능합니다.

비디오 제공: Benedikt Pleyer

이와 같은 이미지를 더 많이 보려면 인스타그램 @olympuslifescience를 팔로우하십시오!

여러분이 포착한 이미지를 공유하고 싶으세요? 올림푸스 이미지 제출 사이트를 방문하십시오.

Kerry Israel

Kerry Israel

관리자, 마케팅 커뮤니케이션

Kerry Israel은 미주 Olympus Corporation의 과학 솔루션 그룹의 생명 과학을 위한 마케팅 및 커뮤니케이션 담당 관리자입니다. Brandeis 대학에서 문학사를 취득하였으며 15년 동안 광고 및 소셜 미디어 전략에서 풀뿌리 홍보에 이르는 모든 측면의 마케팅 경험을 쌓았습니다.