사후 조직학 예술 작품으로 죽음을 생생하게 표현

october-2023-rebecca-chandler-banner.jpg

Rebecca Chandler

Rebecca Chandler

2023년 10월 31일

현미경을 통해 본 죽음은 어떤 모습일까요? 우리는 이를 알아보기 위해 법의학자인 Marianne Hamel 박사와 이야기를 나눴습니다.

Marianne 박사는 펜실베니아와 뉴저지에서 법의병리 분야를 수련하고 있습니다. 그녀는 크리에이터 파트너이자 뉴욕시의 법의학 사진가인 Nikki Johnson과 함께 현재 뉴저지주 캠던에 있는 러트거스대학교(Rutgers University)의 Stedman Gallery에서 현미경으로 본 죽음(Death Under Glass)이라는 사후 조직학 이미지 컬렉션을 전시하고 있습니다.

이러한 이미지 전시는 사후 인체 해부학을 살펴볼 수 있는 흔치 않은 기회이며 놀라울 정도로 아름답습니다. 각 표본을 매우 얇게 자른 다음 자연적 질병, 외상, 약물 남용 등이 신체에 미치는 영향을 설명하기 위해 세포 내 구조의 특정 요소를 부각시키는 여러 염료로 염색합니다. 컬렉션의 일부 이미지는 진단용이며, 이를 통해 법의학자는 사인을 판단할 수 있습니다. 다른 이미지들은 인체 조직의 복잡한 상호 작용을 아름답게 보여줍니다. 갤러리 외에도 Marianne은 인스타그램(@deathunderglass)을 통해 고배율로 관찰한 사인 조사 결과도 공유합니다.

우리는 Marianne의 사후 조직학 이미지 촬영에 대해 자세히 알아보기 위해 그녀와 대화를 나누었습니다. 이 인터뷰에서는 법의학자로서 그녀의 독특한 세계관을 조명하고 현미경이 어떻게 죽음에 관해 이토록 생생하게 표현하는지 공유합니다.

Marianne Hamel 박사, 법의학자

Q: 법의학자의 역할과 법의병리학이 다른 의료 전문 분야와 어떻게 다른지 설명해 주시겠어요?

Marianne: 법의학자는 살아 있는 환자를 치료하지 않습니다. 그것이 다른 의료 전문 분야와의 가장 분명한 차이점이죠. 제 경우도 살아 있는 환자를 치료하는 일은 매우 드뭅니다.

법의학자로서 저는 의사의 처방이나 관리를 받았거나 지역 법의관의 주의를 끌었던 상황이 아닌, 범죄와 관련되었거나 그러한 의심이 드는 변사체에 대한 사망 원인과 방식을 판단하는 일을 합니다. 부검을 통해서요.

저는 특히 사인과 주변 정황을 파악하는 데 관심이 있습니다. 마치 연극에서 무슨 일이 일어났는지 파악하는 것과 같지만, 마지막 장에만 등장하는 것이죠. 따라서 좋은 탐정이 되어야 합니다. 오지랖이 넓고 퍼즐 풀기를 좋아하는 사람들에게 정말 좋은 직업이죠. 또한 손을 쓰는 일을 좋아해야 하며, 정보가 불완전한 경우도 많습니다.

이 일의 또 다른 좋은 점은, 저처럼 지루한 것을 싫어하는 사람에게 정말 좋은 직업입니다. 저는 매일 다른 일을 하거든요. 어떤 날은 부검을 하고, 또 어떤 날은 미제 사건을 검토하거나 조직학을 살펴보고, 가끔 검사를 하기도 합니다. 변호인들을 위해 민사, 형사 사건도 검토합니다. 같은 일을 반복하는 것을 좋아하지 않는 사람에게는 정말 좋은 직업입니다. 비위도 강해야 하지만, 그건 별개의 문제입니다.

Q: 법의학자가 되는 데 영향을 준 사람이나 특정한 계기가 있나요?

Marianne: 저는 14살 때 병리학자가 되기로 결심했어요. 제 여동생은 12살 때 치과의사가 되기로 결심했고 치과의사가 되었죠. 우리는 둘 다 직업을 선택했고 목표를 향해 매진했어요.

그리고 저는 19살 때 대학 1학년을 마치고 펜실베니아주 소속 지역 법의관인 Isidore Mihalakis 박사 밑에서 인턴십을 했습니다. 그는 정말 훌륭한 분이였습니다. 그리고 여름 내내 새끼 오리처럼 따라다니도록 허락해 주셨죠. 우리는 관계 당국이나 법정에 가고 가족들을 만나고 변사 현장에도 갔습니다. 저는 시험관을 들고 있거나 메스 손잡이를 세척하는 등 그가 필요로 하는 모든 일을 했어요. 정말 좋은 경험이었어요.

그러다가 의과대학에 진학했죠. 저는 의대에 입학한 첫날 법의관이 되고 싶었고 마지막 졸업식날까지도 법의관이 되고 싶었습니다. 다른 전문 분야를 고려한 적이 없었어요. 최종 목표는 항상 공인 법의학자가 되는 것이었습니다.

Q: 일상 업무 중 현미경을 어떤 용도로 사용하시나요?

Marianne: 대부분의 경우 외과 병리학자나 생검 또는 조직 샘플을 판독하는 사람들은 주로 진단을 내립니다. 그들은 대개 암이냐 아니냐를 감별하죠.

하지만 제가 찾는 것은 그런 것이 아닙니다. 저는 온갖 종류의 정보를 찾고 있습니다. 법의병리학에서 일부 진단은 현미경을 통해서만 이루어질 수 있습니다. 예를 들어, 심근염이나 심장 염증은 조직학적 증거 외에 다른 어떠한 흔적을 남기지 않고 돌연사를 유발할 수 있습니다. 또 다른 예로 부동액 중독이 있습니다. 부동액 중독 시 신장에 부채꼴 모양의 결정이 남는데, 이는 편광 아래에서만 관찰할 수 있습니다. 법의병리학에는 현미경을 통해 판단해야 하는 진단이 많이 있습니다. 저는 현미경을 사용하는 것을 꽤 좋아합니다.

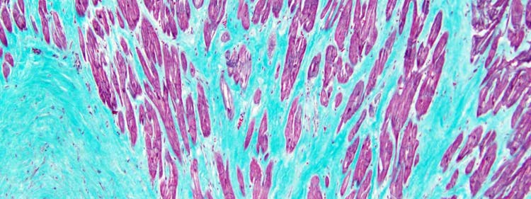
삼색염색법으로 염색된 심장을 현미경으로 관찰한 모습

삼색염색법으로 염색된 손상된 인간 심장의 단면입니다. 파란색 부분은 반흔 조직이고, 빨간색 부분은 생존 세포입니다. DP26 카메라를 사용하여 Olympus BX43 현미경으로 캡처했습니다. 이미지 제공: Marianne Hamel.

Q: 실험실에서는 주로 어떤 종류의 현미경을 사용하시나요?

Marianne: 저는 성능이 뛰어난 BX43 편광 현미경을 사용해서 집에서도 슬라이드를 판독하고 있습니다. 그리고 매우 특별한 염색 결과를 얻어야 할 때는 조직학자의 도움을 받죠. 조직학은 예술과 과학을 조합한 학문이지만, 충분한 인정을 받지 못하고 있습니다. 훌륭한 조직학자가 있다면 돈을 쓰거나 칭찬을 해 아무데도 가지 못하게 하세요. 왜냐하면 조직학자는 항상 부족하기 때문입니다.

저는 Olympus cellSens™ 소프트웨어를 사용하여 이미지를 저장하고 처리합니다. 전시를 위한 이미지를 만들 때는 뉴욕시의 전문 인쇄업체로 보내 알루미늄에 인쇄합니다.

Q: 사건 해결에 현미경이 중요한 역할을 했던 상황이 있다면 설명해 주시겠어요?

Marianne: 얼마 전 약물 문제가 있었던 한 여성의 케이스가 있었어요. 검사 결과 메스암페타민에 양성 반응이 나왔죠. 그러나 그녀의 관상동맥 중 하나의 단면을 살펴본 후 박리가 생긴 것을 알 수 있었습니다. 동맥의 내벽이 찢어지면서 두 개의 혈류 채널을 만들었고, 이로 인해 정상 혈류가 막힌 것이었죠.

그녀의 실제 사인은 메탐페타민 독성이 아니었습니다. 현미경으로 관상동맥을 관찰하지 않았다면 발견하지 못했을 것입니다.

Q: 지금까지 경력을 쌓아오는 동안 현미경 기술은 어떻게 발전했고, 그러한 발전이 연구와 업무에 어떤 영향을 주었나요?

Marianne: 오래된 현미경 슬라이드나 교과서를 보면 대개 흑백으로 촬영되어 있습니다. 마치 먼 거리에서 안개 구름을 통과해 촬영된 것처럼 보이죠. 그것은 현미경 사용자의 잘못이 아닙니다. 당시 기술로는 한계가 있었을 뿐이죠.

슬라이드를 판독하는 것은 다른 언어를 배우는 것과 같습니다. 병리학자는 다른 의사들이 진단을 내리고 적절히 치료할 수 있도록 조직을 해석하는 중요한 역할을 합니다. 그렇게 하는 방법을 배우려면 해당 언어를 배우는 데 도움을 줄 수 있는 다른 병리학자와 함께 수십만 장의 슬라이드를 판독해봐야 합니다.

오색염색법(Pentachrome)으로 염색된 혈관을 현미경으로 관찰한 모습

5가지 서로 다른 염료를 사용하여 아세포 해부학의 다양한 측면을 부각시키는 모바트(Movat) 펜타크롬 염색법으로 염색된 인간의 정상 동맥 단면입니다. 예를 들어 혈관의 강도와 회복력을 높이는 동맥벽의 탄성섬유를 펜타크롬 염색법으로 염색하면 검은색으로 나타납니다. DP26 카메라를 사용하여 Olympus BX43 현미경으로 캡처했습니다. 이미지 제공: Marianne Hamel.

Q: 법의병리학 작업 중에 다른 전문가와 협력하는 경우도 있나요?

Marianne: 우리는 거의 모든 케이스에 대해 독극물 검사를 합니다. 특히 현재 펜타닐 위기를 고려할 때 독극물 검사는 굉장히 중요합니다. 독극물학자는 매우 어려운 역할을 하고 있습니다. 펜타닐이 유행처럼 번지고 다양한 형태로 진화하는 상황에서 그들은 마치 공중에서 비행기를 제작하는 것과 같은 작업을 하고 있습니다. 공교롭게도 제 경력은 마약성 진통제가 퍼지던 시기에 시작되었습니다. 저는 12년 동안 약물 중독의 변화를 실시간으로 지켜봤습니다.

우리는 때때로 인류학자에게 도움을 요청하기도 합니다. 경우에 따라 골격을 부분적으로 또는 완전히 복구해야 하는 케이스도 있거든요. 1년에 4~5번 정도 뼈 전문의에게 도움을 요청하는 것 같습니다. 그들은 굉장히 중요할 역할을 합니다. 앞서 말씀드린 것처럼 조직학자와도 자주 협력합니다. 제가 매일 다른 일을 한다고 말하는 이유는 모든 케이스가 조금씩 다 다르기 때문입니다. 케이스마다 접근 방식을 달리해야 하죠.

Q: 이러한 협업 중 박사님의 분야로 확장된 것이 있나요?

Marianne: 어느 정도는요. 어떤 병리학자들이 제게 슬라이드를 보내면서 "정말 아름다워요. 이것 좀 봐주세요."라고 말합니다. 그들 중 몇몇은 직접 갤러리에 찾아오기도 하는데, 그것은 엄청난 일입니다. 직업적 관대성(generosity)을 보여준 것이죠.

Q: 박사님의 연구를 예술로도 볼 수 있다는 것을 언제 처음 알게 되셨나요? 그 길을 어떻게 추구하셨나요?

Marianne: 저는 훈련생이었고, 저와 협업 관계에 있던 크리에이터인 Nikki Johnson에게 현미경을 통해 일부 이미지를 보여주었습니다. 저는 "이게 어떤 모습인지 다른 사람들에게도 보여주면 참 좋을 것 같다"고 말했고, 그녀는 살펴보더니 "확대할 수 있을 만큼 충분히 고해상도로 촬영할 수 있으면 실제로 예술 작품을 만들 수 있다"고 말했습니다. 그리고 우리는 해냈습니다.

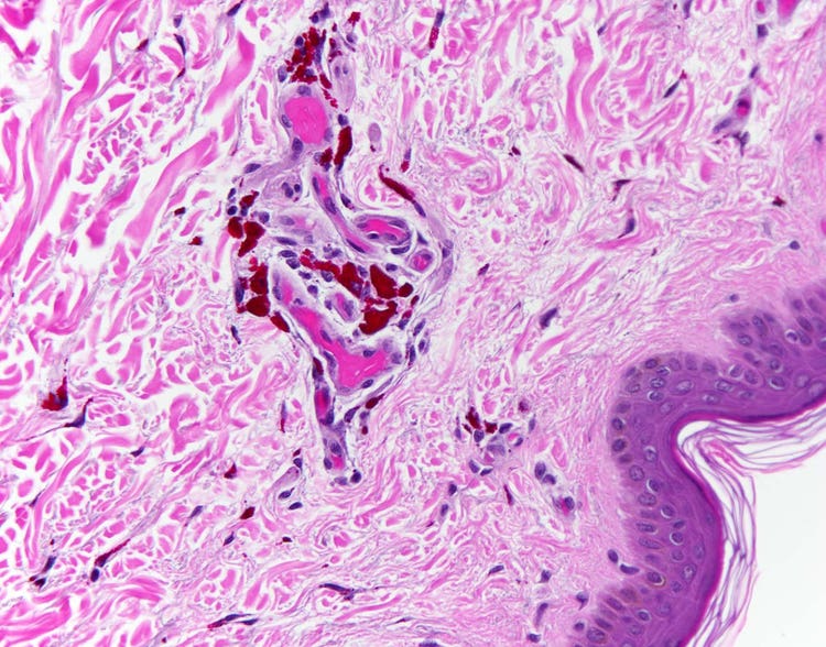
현미경으로 본 빨간색 문신

문신이 있는 인간 피부의 단면. 각 색소과립은 고배율에서 피부 아래의 두꺼운 세포층인 진피에서 볼 수 있습니다. 현미경으로 식별 가능한 다른 색소과립 색상은 검은색, 파란색, 금색입니다. DP26 카메라를 사용하여 Olympus BX43 현미경으로 캡처했습니다. 이미지 제공: Marianne Hamel.

Q: 연구 결과물이 갤러리에 전시된다는 것은 어떤 의미인가요?

Marianne: 제 작품을 공공 장소에서 보는 것은 약간 꿈같아요. 그리고 갤러리 전시가 공개된다는 사실을 자주 잊어버리죠. 사람들이 제게 "전시를 봤다"고 말하면 저는 속으로 "그랬어?"라고 생각합니다. 누구든 전시를 볼 수 있습니다.

아이디어가 실현되는 것을 보는 것은 매우 기쁜 일입니다. Stedman Gallery의 매니저인 Jake Foster는 전시를 훌륭하게 마무리했습니다. 인쇄물을 전시실의 벽에 걸고 뒷벽에 고해상도 프로젝션을 설치했습니다. 투사된 이미지는 우리가 인쇄하지는 않았지만 여전히 보여주고 싶었던 이미지입니다. 이렇게 투사한 이미지는 약 25개 정도인데, 정말 멋졌습니다.

Q: 작품을 보는 사람들에게 어떤 메시지를 전달하고 싶으신가요?

Marianne: 이 분야에서 흥미로운 부분 중 하나는 법의 계보학인데, 앞서 말씀드린 프로젝트와는 관련이 적습니다. 법의 계보학에서는 중요한 케이스에서 용의자나 피해자를 식별하기 위해 유전 정보를 사용합니다. 예를 들어, 가해자의 유전 정보가 데이터베이스에 없더라도 친척의 유전 정보는 있을 수 있죠. 계보학은 가계도를 사용하여 용의자 범위를 소수 또는 심지어 한 명으로 좁힐 수 있습니다. 전에는 결코 불가능했던 일이었습니다. 하지만 유전 정보가 데이터베이스에 없다면 우리는 운이 없는 것입니다.

법의 계보학은 믿을 수 없을 정도로 강력합니다. 최근에는 깨지지 않을 것만 같았던 몇 가지 케이스가 깨졌습니다. 그리고 그것이 어떻게 진행될지 관심있게 지켜보고 있습니다. 아직 해결되지 않은 몇 가지 미제 사건의 범인을 잡을 수 있는 가능성이 커졌으며, 곧 증언을 위해 소환되기를 고대하고 있습니다.

Q: 예술적 경험이 현미경으로 관찰한 사실을 법정이나 일반 대중에게 전달하는 데 도움이 되었나요?

Marianne: 비기술적 언어로 표현하는 데 도움이 되었어요. 제가 항상 사람들에게 설명하려고 노력하는 한 가지는 조직학이 사실은 인공적 구조라는 것입니다. 실제로 염색되지 않은 인체 조직은 투명하기 때문에 이 이미지를 만들어 냈거든요. 자연스러운 이미지는 아니죠. 이를 전시 관객들에게 설명해야 했었기 때문에, 배심원들이 무슨 일이 일어나고 있는지 이해할 수 있도록 더 쉽게 설명할 수 있게 되었습니다.

증언이란 오늘 우리가 얘기하고 있는 법의학이라는 작은 분야에서 마스터 클래스를 제공하는 것입니다. 답변이 세 단어 이상이면 검사나 피고측 변호사에게 말하지 않습니다. 배심원단과 이야기를 나누면 그들을 이해시키고 있는지 여부를 빠르게 알 수 있습니다. 경동맥은 손쉽게 맥박을 확인할 수 있는 부위죠. 배심원 6명이 손을 뻗어 목을 만져보면 그들이 귀 기울여 듣고 있음을 알 수 있습니다. 기술 지식이 없는 일반 전시 관객들을 대상으로 글을 쓰면서 배심원단에 있는 비전문가와의 의사소통이 향상되었습니다.

Q: 법의병리학 분야에서 경력을 쌓고 싶어하는 사람들에게 해주실 조언이 있을까요?

Marianne: 가장 먼저, 조직학자가 되고 싶다면 서둘러 학교에 들어가세요. 우리에게는 여러분이 절실히 필요합니다. 유능한 조직학자가 거의 없거든요. 법의학 서비스에 대한 수요가 늘고 있기 때문에 법의학자와 손발을 맞출 조직학자도 더 많이 필요해졌습니다. 여기까지 오는 것은 긴 여정이었지만, 동시에 매우 보람 있는 일이었습니다. 그리고 사람들의 비판에도 쉽게 동요하지 않아야 합니다. 다른 전문의들처럼 환자들의 감사 인사를 받지는 못하지만, 일과 지적 훈련 자체가 매우 보람 있다고 생각합니다.

아밀로이드증이 있는 인체 조직을 현미경으로 관찰한 모습

콩고 레드(Congo Red) 특수 염색으로 처리한 인간 조직의 단면을 편광으로 관찰하면 아밀로이드의 존재 여부가 드러납니다. 아밀로이드증은 단백질이 인간 조직에 부적절하게 축적되는 질병으로, 편광으로 보면 밝은 녹황색으로 빛납니다. DP26 카메라를 사용하여 Olympus BX43 현미경으로 캡처했습니다. 이미지 제공: Marianne Hamel.

Q: 연구 결과물에 더 많은 예술적 요소를 가미하고 싶어하는 법의학자들에게 해주실 조언이 있을까요?

Marianne: 제게 여러분의 슬라이드를 보내 주세요.

Q: 인스타그램에 연구 결과물을 공유한 후 법의병리학에 대한 관심이 높아졌나요?

Marianne: 저는 인스타그램 계정 @deathunderglass를 8년째 관리하고 있고, 법의학에 대해 사람들이 갖는 관심은 꽤 깊습니다. 그들은 매우 충성도가 높은 팔로워입니다.

예를 들면, 몽고메리 카운티의 사무실에 있는 인턴들을 위한 추천 도서 목록을 만들었는데, 개인적으로 유용하다고 생각한 법의학 또는 법의학 관련 도서 15권의 목록이었죠. 모든 도서가 대중문화에 속했던 것은 아닙니다. 그중 일부는 온갖 종류의 교과서였어요. 몇 가지 도서를 제 계정에 올리면서 전체 목록을 원하는 경우 이메일을 보내달라는 멘션을 덧붙였죠. 대략 20~30명이 이메일을 보낼 것이라고 생각했는데, 다음날 아침에 일어나보니 받은편지함에 400통의 이메일이 와 있었고, 제가 그 관심을 너무나 과소평가했다는 것을 깨달았습니다.

Q: 법의학에 관해 하고 싶은 말이 더 있으신가요?

Marianne: 현재 죽음에 대해 만연해 있는 생각을 정화하려는 움직임이 있습니다. 일부 집단에서는 인체를 해부해서는 안 되고, 인간은 죽지 않는다고 주장하죠. 제 전체 경력은 우리 모두는 죽음에 이른다는 사실을 전제로 합니다. 지금까지는 제가 틀리지 않았어요. 사람은 태어나면 언젠가 죽음에 이르니까요.

우리는 영안실에서 토론하는 것을 중요하게 생각합니다. 현장에 오래 계셨던 일부 실무자들은 영안실에서 우리가 하는 일은 비밀로 이루어져야 하며 절대 발설해서는 안 된다고 생각합니다. 왜냐하면 시체나 부검과 같은 일을 다루기 때문입니다. 그러나 저는 그렇게 생각하지 않습니다.

저는 가치 있는 공공 서비스를 제공한다고 생각해요. 이 분야의 전문가들은 믿을 수 없을 정도로 열심히 일하지만 충분히 인정받지 못하고 있어요. 법의학자뿐만 아니라 부검 기술자, 신원 확인 분야 종사자들, 독극물학자의 경우도 마찬가지입니다.

그들은 모두 믿기 어려울 정도로 열심히 일하고 있고 마땅히 칭찬을 받아야 합니다. 부검 후 봉합하지 않거나 영안실을 청소하지 않는다고 상상해 보세요. 그런 일은 절대 일어나지 않습니다. 그들은 열심히 일하고 일을 잘 해냅니다. 저는 매일 그들의 도움을 받습니다.

Rebecca Chandler

Rebecca Chandler

전속 작가

Rebecca는 Olympus 과학 솔루션의 전속 작가입니다. 엔디콧 대학에서 저널리즘 문학사를 취득하였으며 과학 및 산업의 동향 및 기술에 대해 글을 쓰고 있습니다. Olympus 기술자 및 과학자와 긴밀히 협업하면서 최신 레이저 스캐닝, 초고해상도, 다광자, 정립/실체/도립 현미경 시스템, 첨단 광학, 카메라 및 소프트웨어에 대해 집필하고 있습니다. Olympus의 최신 기사에서 세포학, 병리학, 교육 등 여러 응용 분야에 대한 Rebecca의 글을 확인해 보세요.