발광용 IXplore™ Live

생물발광으로 이미징 가능성을 확대하세요

단세포 수준의 생물발광으로 플레이트 리더를 사용한 발광 분석의 예비 평가를 입증하고 실험 도중 예상하지 못한 결과가 발생하면 그 원인도 규명할 수 있게 됐습니다.발광 현미경 시스템용 IXplore™ Live*는 단세포 및 전체 조직 생물발광 이미징 둘 다에 최적화되어 있습니다.이 현미경은 안정적이며 제어된 환경에서 생물발광 실험을 즉시 시작하는 데 필요한 구성요소를 포함하고 있습니다.

*이 시스템은 오사카 대학교 Sanken Takeharu Nagai 교수, Tokai Hit Co. Ltd. 및Evident가 협력하여 개발했습니다.이 프로젝트는 일본 과학기술청(JST)의 자금지원을 받았습니다.

마이크로플레이트에서 여러 샘플 관찰하기

세포를 식별할 수 있는 분해능으로 다양한 마이크로플레이트 설계 전반에서 안정적으로 이미지를 획득합니다. cellSens™ 이미징 소프트웨어와 전동식스테이지 로 각 세포의 XY 축 위치를 기억하므로 96 웰플레이트의 모든 웰 이미지를 쉽게 포착할 수 있습니다.

샘플: 황색 강화 나노 랜턴을 표시하는 HeLa 세포.데이터 제공: 오사카 대학교 Sanken 생물분자학 및 공학부 Takeharu Nagai, Mitsuru Hattori.

샘플: 황색 강화 나노 랜턴을 표시하는 HeLa 세포.데이터 제공: 오사카 대학교 Sanken 생물분자학 및 공학부 Takeharu Nagai, Mitsuru Hattori.

안정적이며 장기적인 타임랩스 이미징

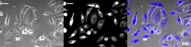
온 스테이지 배양 시스템은 살아있는 세포 및 조직에 대한 장기적인 타임랩스 실험에 적절한 환경을 제공합니다.이 시스템은 이미징하는 동안 샘플의 건강 상태를 유지할 수 있도록 온도, CO₂ 및 기타 환경 조건을 제어합니다.

생물발광 이미징은 광원이 화학 반응이기 때문에 형광 같은 여기광을 필요하지 않습니다.생물발광은 광독성을 최소화하고 자가형광 신호 원인을 제거하기 때문에 안정적이며 장기적인 생세포 관찰에 적합합니다.

온 스테이지 인큐베이터를 사용한 장기 관찰(24시간: 위상차/발광/통합).샘플: 황색 강화 나노 랜턴을 표시하는 HeLa 세포(35mm 유리 바닥 접시)

온 스테이지 인큐베이터를 사용한 장기 관찰(24시간: 위상차/발광/통합).샘플: 황색 강화 나노 랜턴을 표시하는 HeLa 세포(35mm 유리 바닥 접시)

데이터 제공: 오사카 대학교 Sanken 생물분자학 및 공학부 Takeharu Nagai, Mitsuru Hattori.

형광, 생물발광 및 투과광 이미징 결합하기

전체 세포와 유전자 수준의 변화를 동시에 살피기 위해 관찰 방법과 모드를 결합하십시오.예를 들어, 신경 줄기세포의 자기 복제 과정에서 Ascl1 유전자 발현과 세포 주기를 관찰하십시오.이 시스템은 형광 유비퀴틴화 기반 세포 주기 지표(Fucci)를 사용하여, 각 세포 주기 단계의 Ascl1 유전자 발현 변동을 시각화할 수 있습니다.

형광(오른쪽, 적색/녹색), 생물발광(왼쪽, 황색) 및 위상차(왼쪽, 그레이스케일)를 포함한 3채널 단세포 해상도 이미지.데이터 제공: 교토 대학교 생물연구대학원 동적생활시스템 연구 센터 Itaru Imayoshi,교토 대학교 바이러스연구소 Akihiro Isomura, Ryoichiro Kageyama.

형광(오른쪽, 적색/녹색), 생물발광(왼쪽, 황색) 및 위상차(왼쪽, 그레이스케일)를 포함한 3채널 단세포 해상도 이미지.데이터 제공: 교토 대학교 생물연구대학원 동적생활시스템 연구 센터 Itaru Imayoshi,교토 대학교 바이러스연구소 Akihiro Isomura, Ryoichiro Kageyama.

참고문헌: Science.2013년 12월 6일;342(6163):1203~8. doi: 10.1126/science.1242366.

유효성 평가를 위한 약물 반응 이미징

G 단백질 결합 수용체(GPCR)(일반적으로 연구되는 약물 표적)의 활성은 스페로이드의 칼슘 농도를 사용해 측정할 수 있습니다. 마이크로플레이트를 사용한 대규모 스크리닝과 분석으로 농도 및 환경 조건뿐만 아니라 약물 후보군의 라이브러리와 같은 여러 조건을 분석할 수 있습니다.

안정적인 배양 시스템으로 세포 형태 차이와 장시간 약물 반응을 관찰할 수 있습니다.생물발광은 형광에 비해 신호 대 잡음비(SNR)가 개선됐기 때문에 사소한 반응도 탐지할 수 있습니다.

스페로이드의 히스타민 자극을 통한 칼슘 농도 변동 측정.차트는 세 개의 관심 영역(ROI) 측정값을 보여주고 있습니다.

연락처