병리학 및 실험실 X Line 고 성능 대물렌즈와 BX53 정립 현미경

연락처

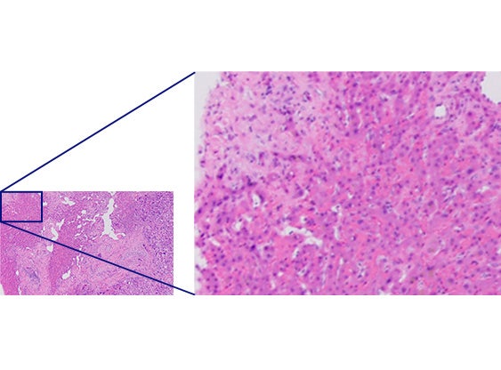
해상도 비교

해상도 비교

통상의 대물렌즈들X Line

중앙에서 가장자리까지 균일한 품질

향상된 평탄도는 중앙에서부터 가장자리까지 균일한 고품질의 이미지를 생성합니다. 높은 개구수(NA)는 대물렌즈를 밝고 더 높은 해상도의 이미지를 위해 더 많은 빛을 모을 수 있게 합니다. X Line 대물 렌즈와 BX53 정립 현미경을 연계하면 이미지의 전반적인 품질이 크게 향상됩니다.

BX53에 대해 더 알아보기

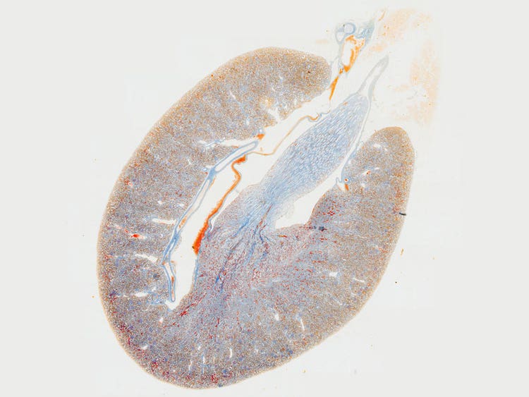
효율적인 이미지 스티칭

스티칭 기능을 사용하여 전체 조직 섹션의 이미지를 만들 수 있지만 이미지의 평탄도가 낮을 경우 스티칭된 이미지가 흐려지고 "패치워크(Patchwork)" 흔적이 나타날 수 있습니다. X Line 대물 렌즈는 중앙에서 가장자리까지 높은 평탄도를 제공함으로써 자연스럽게 연결된 고화질의 이미지를 얻을 수 있습니다. 이전보다 더 적은 수의 이미지로도 큰 스티치 이미지를 만들 수 있으므로 효율성을 높이고 시간을 절약할 수 있습니다.

다중 이미지 정렬 (MIA) 기능을 사용하여 생성

FISH 관찰

.

,

임상 연구 어플리케이션을 위한 개선된 이미지

개선된 평탄도, 개구수 및 색수차가 결합되어 탁월한 색재현을 가진 선명한 고해상도 이미지를 제공합니다. 대물렌즈의 우수한 색수차 관리 기능은 전체 스펙트럼에서 더 나은 색 정확도를 제공합니다. 보라색 색수차를 없앰으로써 선명한 백색과 생생힌 핑크색을 만들어 대비와 선명도를 향상시킵니다. 넓은 파장 범위 (400-1000 nm)에서 색수차 보정을 통해 FISH와 같은 형광 관찰 동안 고해상도의 멀티 컬러 이미지를 얻을 수 있게 합니다.

관련 제품들

BX53 Upright Microscope

BX53 정립 현미경

  • 고휘도 트루 컬러 LED 조명
  • 모듈 컨셉으로 개별 컴포넌트를 전동화 할 수 있습니다.
  • 쉽게 멀티 컬러 형광 이미지를 획득

더 알아보기

BX63 Upright Microscope

BX63 정립 현미경

  • 완전 전동화된 시스템은 복잡한 다차원 실험의 자동화를 가능하게 합니다.
  • 정확한 전동 Z-drive
  • 고정 스테이지 설계로 인한 높은 안정성

더 알아보기

View larger image: U-FLLED LED Illumination System Image 1 of 1

U-FLLED

수동 및 반자동 현미경에서 일상적인 형광 이미징을 위해 설계된 소형 직접 장착형 LED 광원입니다. 패시브, 팬-프리 냉각과 모듈식 여기 채널을 갖춘 U-FLLED는 시스템 복잡성을 추가하지 않고 고정 샘플과 일상적인 워크플로우에 안정적이고 균일한 조명을 제공합니다.

  • 일체형 현미경 시스템을 위한 직접 장착형 LED 조명.
  • 주요 형광물질용 모듈형 여기 채널
  • 조용하고 팬리스 동작으로 일상적인 형광 이미징에 적합합니다.

더 알아보기