Trust the Colors with Olympus True Color LED

트루컬러 LED 조명은 할로겐램프 조명과 비슷한 스펙트럼 특성을 가진 내구성 있고 밝은 광원입니다. 시장을 선도하는 Olympus의 LED 기술은 정확한 색 재현을 통해 신뢰성 있는 병리학 진단에 필요한 확신을 제공합니다.

할로겐 램프 조명은 수년 동안 현미경 조명의 최적 기준이었습니다. 접안렌즈와 컴퓨터 화면 모두에서 색채를 탁월하게 재현할 수 있는 특별한 속성이 주된 이유입니다.
오늘날에는 일상생활의 많은 영역에서 LED 기술이 기존의 조명을 대체하게 되었습니다. LED의 밝고 효율적인 광 출력은 다양한 산업에 많은 혜택을 제공합니다. 그러나 정확하지 않은 색 재현이 샘플 평가에 영향을 미칠 수 있는 현미경 검사 분야에서는 원치 않게 색채가 전이되는 경우가 종종 있다는 결점이 있습니다. 그렇다면 LED를 임상 현미경 검사의 혹독한 수요에 적합하게 만들 방법은 무엇일까요?

광원의 품질 측정

현미경 검사용 LED 광원은 백색광을 발산해야 하지만 샘플의 색을 정확하게 보여주기 위해서는 할로겐램프 조명의 성능에 필적하거나 넘어설 수 있어야 합니다. 지금까지의 할로겐램프 광원은 어떻게 이런 과제를 달성할 수 있었을까요? 그 열쇠는 가시 스펙트럼 전체에서 대체로 일정한 강도를 갖기 때문에 샘플의 모든 색상을 균일하게 밝힐 수 있다는 것입니다(그림 1).

그림 1: 백색광

그림 1: 백색광
할로겐램프 광원의 스펙트럼은 주광 필터를 사용하여 정확하게 9V로 설정했을 때 가시 스펙트럼 전체에서 일정한 강도를 보입니다.

한눈에 보기

Olympus 트루컬러 LED가 제공하는 믿을 수 있는 색

각기 다른 광원은 조명 스펙트럼도 다릅니다. 스펙트럼이 달라지면 샘플의 색이 표현되는 방식도 바뀐다는 것은 자명하며, 광원에 대한 정밀한 정량적 비교를 통해 이러한 차이가 미치는 실질적 영향을 밝혀냈습니다. 표준화되고 재생 가능한 방식으로 이를 비교하는 방법 하나는 색도도 위에 렌더링한 색을 표현하는 것입니다. 그림 2의 a*b*와 같은 색도도를 이용하면 광원의 스펙트럼이 미치는 영향을 보여줄 수 있으므로 서로 다른 광원 2개의 연색성을 시각적으로 쉽게 비교할 수 있습니다. 광원의 스펙트럼이 다르면 동일한 기준색이 다이어그램에서 각기 다른 위치에 나타나게 됩니다.

표준화되고 재생 가능한 방식으로 이를 비교하는 방법 하나는 색도도 위에 렌더링한 색을 표현하는 것입니다. 그림 2의 a*b*와 같은 색도도를 이용하면 광원의 스펙트럼이 미치는 영향을 보여줄 수 있으므로 서로 다른 광원 2개의 연색성을 시각적으로 쉽게 비교할 수 있습니다. 광원의 스펙트럼이 다르면 동일한 기준색이 다이어그램에서 각기 다른 위치에 나타나게 됩니다.

그림 2: 색도도

그림 2: 색도도
a*b* 차트를 통해 색채 전이를 직관적이고 시각적으로 표현할 수 있습니다. 이 경우, 비교 대상 광원이 샘플의 색상을 푸른빛이 강해지게 전이시키고 있습니다.

컬러 매칭

현재는 많은 LED 설계가 샘플의 색상을 신뢰성 있게 구별하는 데 필요한 품질의 빛을 만들어내지 못합니다. 두 광원의 방출 스펙트럼을 비교해보면 그 이유를 분명하게 파악할 수 있습니다(그림 3).

할로겐램프 스펙트럼과 비교할 때, 일반 LED는 더 큰 가변성을 보이며 480nm 및 600nm~700nm 구간에서 특히 더 그렇습니다. 이 파장들은 조직학적으로 중요한 색상에 해당합니다. 불균일한 상대 강도는 LED 조명의 일반적인 문제이며, 이러한 가변성은 LED 광원의 연색성에 분명한 영향을 줍니다.

그림 3: 할로겐램프와 LED 비교

그림 3: 할로겐램프와 LED 비교
LED 스펙트럼의 강도 변화는 청록색 구간과 적색 구간(화살표 표시 구간)에서 상대적으로 낮은 조명으로 이어집니다.

할로겐램프 스펙트럼과 비교할 때, 일반 LED는 더 큰 가변성을 보이며 480nm 및 600nm~700nm 구간에서 특히 더 그렇습니다. 이 파장들은 조직학적으로 중요한 색상에 해당합니다. 불균일한 상대 강도는 LED 조명의 일반적인 문제이며, 이러한 가변성은 LED 광원의 연색성에 분명한 영향을 줍니다.

이처럼 큰 차이를 보이는 조명 스펙트럼의 영향은 색도도에서 분명하게 확인할 수 있습니다. 그림 4a는 조명을 할로겐램프에서 일반 LED 광원으로 바꿀 때의 색채 전이를 나타냅니다. 스펙트럼에 강도가 낮은 구역이 있으면 스펙트럼의 적색 말단에서 강도가 부족해지고 색상에서 청색 전이가 이루어집니다.

이처럼 반갑지 않은 효과를 보정할 수 있는 한 가지 방법은 색 보정(CC) 필터를 사용하는 것입니다. CC 필터는 강도가 너무 높은 파장에서 빛을 일부 흡수하여 균형 잡힌 스펙트럼을 만들어낼 수 있습니다. CC 필터의 효과는 그림 4b에서 확인할 수 있습니다. CC 필터를 사용하면 색상이 할로겐램프 조명과 더 비슷해집니다(짧은 화살표로 표시). 그러나 할로겐램프 조명에 비하면 여전히 상당한 차이가 있습니다.

Olympus 트루컬러 LED가 제공하는 믿을 수 있는 색

그림 4: 색채 전이
그림 4: 색채 전이

그림 4: 색채 전이
할로겐램프와 LED를 비교한 색도도(a)와 할로겐램프와 LED + CC 필터를 비교한 색도도(b)는 각기 다른 광원을 사용할 때 색상이 어떻게 전이하는지 보여줍니다.

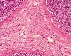
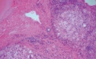
CC 필터의 사용과 무관하게 일반 LED 광원이 유발하는 색채 전이의 실질적 영향은 각기 다른 광원을 사용하여 착색 조직 절편을 이미징할 때 분명하게 확인할 수 있습니다. 그림 5는 앞서 언급한 세 가지 광원으로 비춘 조직 절편입니다.

그림 5: 착색 조직 절편 a

그림 5: 착색 조직 절편 a

그림 5: 착색 조직 절편 b

그림 5: 착색 조직 절편 b

그림 5: 착색 조직 절편 c

그림 5: 착색 조직 절편 c

그림 5: 착색 조직 절편
할로겐램프(a)와 LED 조명(b)의 차이는 조직의 착색이 청색으로 이동하는 결과로 이어지며, 이는 접안렌즈와 화면 모두에서 나타납니다. CC 필터(c)를 추가하면 문제가 완화되지만 여전히 황색을 띠고 있습니다.

비할 데 없는 LED 연색성

Olympus는 LED 조명의 내구성과 밝기, 균일성에 탁월한 연색성을 결합하여 트루컬러 LED 광원을 개발했습니다. “트루컬러”라는 이름은 새롭게 설계한 이 광원이 앞서 언급한 결정을 구체적으로 해결하고 LED 탑재 현미경의 연색성을 크게 개선한다는 것을 나타냅니다. 트루컬러 LED 광원의 스펙트럼(그림 6)은 훨씬 더 균일한 강도를 가지며, 청록색 및 적색 구간(화살표)에서 특히 개선되었습니다. 스펙트럼이 개선됨에 따라 할로겐램프 조명(청색선)에 가까워졌습니다.

Olympus 트루컬러 LED가 제공하는 믿을 수 있는 색

그림 6: 강건성(적색), 견고성(청록색)

그림 6: 강건성(적색), 견고성(청록색)
트루컬러 LED의 스펙트럼(녹색)은 할로겐램프 조명(청색)과 거의 일치하며, 히스톨로지에서 특히 더 그렇습니다.

그림 7: 정확성

그림 7: 정확성
할로겐램프와 트루컬러 LED 조명을 비교한 색도도에는 색상환 어디에서도 뚜렷한 색채 전이가 보이지 않습니다.

균일하게 개선된 스펙트럼은 빛의 질에 상당한 영향을 미치며, 이는 다시 색도도를 사용하여 확인할 수 있습니다. 그림 7은 할로겐램프와 트루컬러 LED 광원의 색 재현 능력에 별다른 차이가 없음을 보여줍니다.

사례연구: 색상 비교

Olympus 트루컬러 LED는 실제 샘플에서 어떤 성능을 보일까요? 이를 확인하기 위해 조직학에서 일반적으로 사용되는 착색제인 헤마톡실린-에오신(H&E)과 아잔 트리크롬을 대상으로 시중 판매 LED 광원과 트루컬러 LED를 직접 비교하여 육안 평가를 실시했습니다(그림 8).
트루컬러 LED의 연색성은 기준 할로겐램프 광원과 비슷할 뿐 아니라 빛의 강도와 관계없이 일정하게 유지되기도 합니다. 그러므로 사용자는 샘플의 색상을 전혀 왜곡시키지 않으면서 조명을 조정할 수 있습니다.

그림 8: LED 광원 비교
할로겐램프와 비교할 때, 트루컬러 LED 조명은 H&E 착색 조직 절편(a-d)과 아잔 착색 조직 절편(e-h) 모두에서 별다른 색채 전이를 보이지 않습니다. 반면, 시중에서 판매되는 다른 LED 광원들은 뚜렷한 황색 전이(c, g)나 청색 전이(d, h)를 보입니다.

Olympus 트루컬러 LED가 제공하는 믿을 수 있는 색

Olympus의 트루컬러 LED 칩은 현미경의 관측 시야 전체에서 균일한 조명 강도를 제공하도록 설계되었습니다. 빛의 강도가 불균일하면 여러 이미지를 이어붙일 때 아티팩트가 발생할 수 있으며, 고품질 이미지를 만들어내기 위해 디지털 보정이 필요할 수도 있습니다.

그림 9는 카메라의 전체 관측 시야에서 각기 다른 광원의 강도를 비교한 것입니다. 트루컬러 LED 칩의 설계가 향상되면서 다른 광원에 비해 조명이 크게 개선된 것을 확인할 수 있습니다. 이렇게 균일성이 높아지면 샘플 색상의 품질과 강도가 모두 개선되며, 이는 신뢰성 있는 관측으로 이어집니다.

a 할로겐램프 필라멘트

a 할로겐램프 필라멘트
a 할로겐램프 필라멘트

b 일반 단일 광원 LED

b 일반 단일 광원 LED
b 일반 단일 광원 LED

c 트루컬러 LED

c 트루컬러 LED
c 트루컬러 LED

그림 9: 관측 시야 전반의 강도 측정
할로겐램프 필라멘트(a), 일반 단일 광원 LED(b), 트루컬러 LED(c)를 사용할 때 카메라 관측 시야 전체에서의 조명 강도 지도

요약

LED 조명은 균일한 강도, 높은 밝기, 낮은 에너지 소모량, 긴 수명 덕분에 임상 현미경 검사를 위한 조명으로써 큰 잠재력이 있습니다. 그러나 많은 LED 광원이 할로겐램프 조명과 같은 스펙트럼 균일성을 만들어내지 못하고 색채 전이를 유발합니다. 시장을 선도하는 Olympus의 트루컬러 LED 기술은 LED 기술의 장점과 샘플 색상을 정확하게 보여주는 능력을 결합하여 병리학자와 같은 임상 전문가들이 자신 있게 착색 샘플을 평가할 수 있도록 돕습니다.

저자
Flavio Giacobone
임상 수직 시장 전문가
EMEA 생명과학
Scientific Solutions 부서
OLYMPUS EUROPA SE & CO. KG

관련 제품

BX53

  • 고광도 트루 컬러 LED 조명
  • 모듈식 개념을 통한 개별 부품의 전동화
  • 멀티 컬러 형광 이미지를 간편하게 획득

더 알아보기

U-LGPS

광원

Olympus는 명시야 또는 형광 이미징 응용 분야에 최적화된 다양한 광원을 제공합니다.

더 알아보기

View larger image: U-FLLED LED Illumination System Image 1 of 1

U-FLLED

수동 및 반자동 현미경에서 일상적인 형광 이미징을 위해 설계된 소형 직접 장착형 LED 광원입니다. 패시브, 팬-프리 냉각과 모듈식 여기 채널을 갖춘 U-FLLED는 시스템 복잡성을 추가하지 않고 고정 샘플과 일상적인 워크플로우에 안정적이고 균일한 조명을 제공합니다.

  • 일체형 현미경 시스템을 위한 직접 장착형 LED 조명.
  • 주요 형광물질용 모듈형 여기 채널
  • 조용하고 팬리스 동작으로 일상적인 형광 이미징에 적합합니다.

더 알아보기