X Line Objectives Offer Revolutionary Optical Performance Thanks to Advanced Manufacturing Technology

서론

현미경은 연구가들이 학문을 증진하기 위해 사용하는 필수 도구이며 대물렌즈가 핵심 구성요소입니다. 광시야의 고품질 이미지는 많은 분야에서 혜택을 제공합니다. 그러나 이미지의 한 측면(예: 평탄도)이 개선되면 다른 측면이 쇠퇴하는 반대급부가 있는 것이 보통입니다. Olympus X 시리즈 고성능 대물렌즈는 새로운 제조 기술을 적용한 덕분에 높은 개구수(NA), 우수한 이미지 평탄도, 넓은 색채 보정 범위라는 세 가지 중요 측면에서 개선된 광학 성능을 제공합니다. 그 결과, 수많은 분야에서 고품질 광시야(FOV) 이미징을 다양하게 활용할 수 있게 되었습니다.

Olympus 현미경의 역사 읽기

배경

전통적인 대물렌즈 제조 기술에서는 개구수와 이미지 평탄도, 색채 보정이 대립 관계에 있었고 억지로 균형을 만들어냈기 때문에 대물렌즈 하나에서 세 가지 요소를 모두 향상하는 것이 어려웠습니다. 과거에는 사용자가 자신의 응용 분야에 가장 적합한 것을 선택할 수 있도록 이 세 가지 중 한 측면에서 뛰어난 성능을 발휘하는 대물렌즈를 제작하는데 엔지니어들의 노력이 집중되었습니다. 이런 대물렌즈들은 상대적으로 좁은 영역(작은 FOV)에서 고해상도 이미지를 습득하도록 설계되었습니다. 그러나 이런 이미지는 이미지 분석 소프트웨어 사용 시 문제가 되기도 했습니다. 대개의 처리 알고리즘이 이미지에 광학 수차나 주변부 암화가 없다고 가정하기 때문입니다. 대물렌즈가 넓은 FOV에서 고해상도·고품질 이미지를 제공하지 않는다면 정확하고 신뢰성 있는 처리 데이터를 얻기가 어렵습니다. X 시리즈 대물렌즈를 뒷받침하는 첨단 제조 기술은 이런 문제를 해결합니다.

첨단 제조 기술로 혁명적인 광학 성능을 제공하는 X 시리즈 대물 렌즈

향상된 개구수와 이미지 평탄도, 색채 보정을 전달하는 X 시리즈 대물렌즈

개구수 1.35의 UPLSAPO60XO 대물렌즈와 개구수 1.42의 PLAPON60XO 대물렌즈는 기존 기술을 적용하여 제작합니다. 높은 개구수를 달성하기 위해 이미지 평탄도를 낮추고 색채 보정을 435~1,000nm에서 435~656nm로 줄였습니다. 그러나 X 시리즈 UPLXAPO60XO 대물렌즈는 이미지 평탄도를 개선하고 색채 보정 범위를 400~1,000nm로 높이는 동시에 1.42의 개구수를 제공하도록 설계되었습니다. 이는 X 시리즈 대물렌즈가 전달하는 향상된 색채 정확도, 밝기, 해상도, 이미지 평탄도를 보여주는 한 가지 예시에 불과합니다.

그림 1. 첨단 제조 기술로 향상된 X 시리즈 대물렌즈의 개구수, 이미지 평탄도, 색채 보정 능력 비교

그림 1. 첨단 제조 기술로 향상된 X 시리즈 대물렌즈의 개구수, 이미지 평탄도, 색채 보정 능력 비교

광시야에서 고해상도 이미징에 기여하는 주요 요소

개구수

대물렌즈의 개구수는 대물렌즈의 집광 능력을 측정한 것입니다. 이미지의 해상도, 초점 심도, 밝기를 결정짓는 중요한 요소입니다. 개구수가 큰 대물렌즈는 넓은 범위의 빛을 모아서 밝기와 해상도가 높은 이미지를 만들어냅니다. 개구수는 극히 미세한 구조를 관찰하거나 형광 관측 중 희미한 신호를 탐지할 때 특히 중요합니다. UPLXAPO40XO와 같은 X 시리즈 대물렌즈에서는 다른 광학 성능을 저해하지 않으면서 개구수 1.40을 유지합니다(그림 2).

그림 2. 색채 보정 범위를 저해하지 않으면서 향상한 개구수

그림 2. 색채 보정 범위를 저해하지 않으면서 향상한 개구수

이미지 평탄도

구면수차, 코마수차, 비점수차, 시야 만곡 수차 및 주변부 암화의 영향으로 선명도가 낮아지면 대물렌즈의 이미지 평탄도가 제한됩니다. 이미지 평탄도는 넓은 FOV에서 높은 해상도를 필요로 하는 관찰에서 얻은 정량적 분석자료의 신뢰성을 보여주는 중요한 지표입니다. Olympus X 시리즈 대물렌즈는 광시야 관찰에서도 개구수나 색채 보정력을 저해하지 않으면서 중심에서 주변부까지 우수한 이미지 평탄도를 제공합니다.

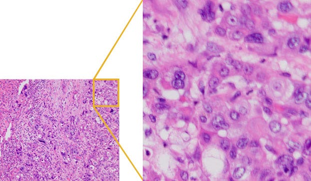
기존 PLAPON60XO

기존 PLAPON60XO

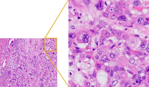
X 시리즈 UPLXAPO60XO

X 시리즈 UPLXAPO60XO

그림 3. 기존 PLAPON 대물렌즈와 X 시리즈 UPLXAPO 대물렌즈의 이미지 평탄도 비교

색채 보정

렌즈의 원료인 유리는 빛의 파장에 따라 굴절률이 다릅니다. 다양한 파장의 빛을 렌즈가 한 지점에 집중시키지 못하는 것을 색수차라고 합니다. 현미경 관찰에서 고품질 이미지를 획득하기 위해서는 색수차를 보정하는 것이 중요합니다. 기존 기술을 적용하여 제작한 UPLSAPO60XO 렌즈와 PLAPON60XO 렌즈의 색채 보정 범위는 각각 435~1,000nm와 435~656nm입니다. 이런 범위 때문에 UPLSAPO60XO에서는 짧은 파장(< 435nm)과 긴 파장(> 656nm)의 초점 위치가 공존하지 않습니다. 반면, UPLXAPO60XO X 시리즈 대물렌즈는 개구수 1.42를 유지하는 동시에 400~1,000nm의 색채 보정 범위를 제공합니다(그림 3 & 4).

그림 4. 400–1,000nm 파장 범위에서의 초점 위치 비교(작을수록 우수)

그림 4. 400~1,000nm 파장 범위에서의 초점 위치 비교(작을수록 우수)

기존 PLAPON60XO

기존 PLAPON60XO

기존 UPLSAPO60XO

기존 UPLSAPO60XO

X 시리즈 UPLXAPO60XO

X 시리즈 UPLXAPO60XO

그림 4-2. PSF 형광 비드(405nm, 633nm)의 축상색수차 비교

X 시리즈 첨단 제조 기술

Olympus는 100년 이상 대물렌즈를 설계 및 제조해왔으며, 수년간 쌓은 광범위한 지식과 전문성을 바탕으로 새로운 전매 렌즈 연마 기술을 개발했습니다. 이 기술은 Olympus가 초박형 테두리를 가진 볼록렌즈와 초박형 오목렌즈를 제작하는 동인이 됩니다. 초박형 렌즈는 기존 렌즈보다 더 넓은 각도에서 집광할 수 있습니다. 매우 얇기 때문에 각각의 대물렌즈 하우징에 더 많은 렌즈를 통합시켜 개구수와 이미지 평탄도, 색채 보정 범위를 향상할 수 있습니다.

현미경 대물렌즈는 다양한 광학 수차를 보정하기 위한 각기 다른 굴절률을 가진 다수의 볼록렌즈와 오목렌즈로 이루어져 있습니다. 이 렌즈들은 국제 표준 규격인 45mm 길이 안에서 결합됩니다. X 시리즈 대물렌즈의 향상된 성능은 볼록렌즈-오목렌즈-볼록렌즈로 구성된 간단한 삼중 렌즈 모델을 예로 들어 이해할 수 있습니다. 개선 항목은 개구수 증가, 이미지 평탄도 개선, 넓은 색채 보정 범위입니다(그림 5z. 렌즈 3개의 전체 초점 거리(f)는 아래의 등식으로 정의됩니다. 전체 초점 거리는 대물렌즈의 배율을 결정하는 상수입니다.

개구수 증대: 높은 해상도 & 높은 S/N

개구수(NA)가 높은 대물렌즈를 설계하려면 h1이 커야 합니다. 넓은 집광 각도가 필요하기 때문입니다. 높은 개구수는 큰 h3(동공 반지름) 계수와도 관련되며, h3 = NA × f로 표현할 수 있습니다. h1과 h3을 높이기 위해서는 렌즈의 유효 지름을 높여야 합니다. 대물렌즈의 총길이(45mm)를 유지하면서 개구수를 높이기 위해서는 볼록렌즈의 테두리(렌즈 바깥쪽 부분의 두께) t(그림 5-2 (a))가 매우 얇아야 합니다. (그림 5-2(b))

그림 5-2. 초박형 테두리를 가진 볼록렌즈의 효과

이미지 평탄도 개선: 관측 시야 전반에서 균일하고 선명한 이미지 획득 및 관찰

이미지 평탄도(IF)가 향상된 대물렌즈를 설계하려면 페츠발 총합(P)이 작아야 합니다. 페츠발 총합(P)은 아래와 같은 등식으로 정의됩니다.

페츠발 총합

볼록렌즈에서 양(+)의 인자는 상의 주변부가 샘플에 더 가까워지도록 상을 굴절한다는 것을 나타냅니다(아래 그림 참조). 오목렌즈는 볼록렌즈와 반대 방향으로 상을 굴절하며, 음(-)의 인자로 표현합니다.

그림 5-3. 볼록렌즈와 오목렌즈의 시야 만곡 수차

현미경의 대물렌즈는 볼록렌즈 역할을 하므로 (P)에서 양(+)의 인자가 음(-)의 인자보다 큽니다. 따라서, P의 절대값이 작을 때 IF를 높이려면 음(-)의 인자가 커야 합니다(그림 5-4).

그림 5-4. 페츠발 총합과 시야 만곡 수차(평탄도) 보정의 관계

그림 5-4. 페츠발 총합과 시야 만곡 수차(평탄도) 보정의 관계

작은 P값을 만들기 위해서는 f2와 h2를 모두 낮추어야 합니다. h3이 대물렌즈의 배율(전체 초점 거리, f)과 개구수를 제어하는 상수가 되기 때문입니다. h2는 볼록렌즈와 오목렌즈 사이의 거리를 늘려서 낮출 수 있습니다. 그러나 제한된 공간에서는 중앙이 얇고 (d)가 작은 오목렌즈가 필요합니다. (그림 5-5)

(a) 일반 오목렌즈 (b) 초박형 오목렌즈

그림 5-5. 초박형 오목렌즈의 효과

색채 보정 파장 범위 확대: 보다 선명하고 정확한 정보 획득

색수차는 파장에 따라 굴절률이 다른 유리로 인해 발생합니다. 일반적으로 유리의 굴절률은 파장이 짧을수록 높아집니다. 볼록렌즈에서는 짧은 파장의 빛은 렌즈에 가까운 곳에서 초점이 잡히고 긴 파장의 빛은 렌즈에서 멀리 떨어진 위치에서 초점이 잡힙니다. 오목렌즈는 짧은 파장의 빛을 분산합니다. 따라서 적색광과 청색광이 같은 위치에서 집중되도록 볼록렌즈와 오목렌즈를 결합하여 색채 보정(CC)을 실시합니다(그림 5-6).

그림 5-6. 단일 렌즈와 복합 렌즈의 색수차 비교

넓은 범위의 색수차 보정을 위해서는 2~3개의 렌즈로 구성된 조합 렌즈가 여러 개 필요합니다. 더불어, 제한된 공간에서는 얇은 렌즈 두께도 필수적인 요소가 됩니다.
7개 그룹의 렌즈 13개를 사용하는 일반적인 설계의 성능은 왼쪽의 그림 (C)에서 확인할 수 있습니다. 9개 그룹의 렌즈 15개를 사용하는 초박형 렌즈 설계는 오른쪽의 그림 (d)에서 확인할 수 있듯이 렌즈의 성능을 크게 개선할 수 있습니다. (그림 5-7).

(c) 일반 설계

(c) 일반 설계

(d) 초박형 렌즈 설계

(d) 초박형 렌즈 설계

그림 5-7. 일반 설계와 초박형 렌즈 설계의 비교

앞서 기술했듯이, X 시리즈 대물렌즈는 대물렌즈의 총길이를 국제 표준 규격인 45mm로 유지하면서 초박형 렌즈를 사용하여 설계했으며, 기존 현미경과 호환됩니다. 설계 및 제조 기술의 발달은 높은 개구수와 개선된 IF, 넓은 파장 범위 CC를 갖춘 X 시리즈 대물렌즈의 탄생으로 이어졌습니다.

파면 수차 제어를 통해 얻은 안정적인 품질

X 시리즈 고성능 대물렌즈의 제조 공정은 생산 설비의 변화에 민감합니다. 이에 대물렌즈 개체의 일관성을 확보하기 위해 조립 과정에서 첨단 파면 수차 제어를 적용합니다. (그림 6a와 6b).

그림 6. 파면 수차 제어

혁신적인 이미징

높아진 이미지 평탄도로 WSI 개선

X 시리즈 대물렌즈는 일반 대물렌즈에 비해 이미지 평판도가 우수하며, 전체 슬라이드 이미지 처리(whole slide imaging, WSI) 분야에서 특히 유용합니다. X 시리즈 대물렌즈 중 하나인 UPLXAPO20X는 개구수 0.80과 전체 FOV에서 크게 개선된 이미지 평탄도(그림 7b), 일반 대물렌즈에 비해 개선된 해상도(그림 7a)를 자랑합니다. 그 결과, 타일링 이미지를 더욱 효율적으로 획득할 수 있을 뿐 아니라 각 이미지의 이미지 품질도 향상됩니다.

기존 UPLSAPO20X

(a)기존 UPLSAPO20X(개구수 0.75)

X 시리즈 UPLXAPO20X(개구수 0.80)

(b)X 시리즈 UPLXAPO20X(개구수 0.80)

그림 7. 기존 대물렌즈(7a)와 X 시리즈 대물렌즈(7b)로 획득한 이미지

X 시리즈 대물렌즈의 개선된 개구수는 형광 이미징에도 도움이 됩니다. 개구수가 증가하면 샘플을 밝히는 데 필요한 광자 수가 감소하며, 이는 형광 관측 시 광독성과 광표백이 감소하는 것을 의미합니다. 전체 FOV에서 이미지의 밝기가 일정하게 유지되어 보다 정확한 분석이 가능해집니다.

(a) 기존 UPLSAPO20X(개구수 0.75)

(a) 기존 UPLSAPO20X(개구수 0.75)

X 시리즈 UPLXAPO20X(개구수 0.80)

(b)X 시리즈 UPLXAPO20X(개구수 0.80)

그림 8. 형광 관측 시 대물렌즈의 밝기 비교

높은 개구수로 멀티 컬러 형광 이미지 획득의 신뢰성 확보

색채 보정 범위가 400~1,000nm로 개선된 X 시리즈 대물렌즈는 정확한 멀티 컬러 형광 관측 데이터를 제공합니다.

Left: Conventional objectives / Right: X Line

Left: Conventional objectives / Right: X Line

Button

그림 9. 멀티 컬러 형광 이미지 비교*1

FISH 기법 CEP17(녹색 스펙트럼), CEP18(주황색 스펙트럼), 핵(DAPI)으로 라벨링한 헬라세포
일반 대물렌즈로 관찰할 때는 세포핵의 바닥에 있는 신호가 핵 외부에 있는 것처럼 보입니다.

넓은 파장 범위에서 색채 보정을 실시하여 정확한 정량적 결과 확보

디지털 기술이 발전하면서 넓은 FOV에서의 정량 분석과 이미징이 보편화되었습니다. 신뢰성 있는 분석을 위해서는 고품질의 미가공 데이터가 반드시 필요합니다. 그림 10은 다양한 대물렌즈로 획득한 후 분석 소프트웨어로 분석하여 핵을 자동 인식한 DAPI(여기파장 405nm) 착색 핵의 형광 이미지를 보여줍니다. 일반 대물렌즈로 획득한 이미지의 경우, 여기파장 405nm이 색채 보정 범위 밖에 있고 이미지 평탄도가 낮기 때문에 주변부 핵이 정확하게 인식되지 않습니다(그림 10a). 그러나 X 시리즈 대물렌즈(개구수 1.42의 UPLXAPO60XO)로 획득한 이미지의 경우, 405nm에서의 색채 보정이 개선된 덕분에 주변부 핵도 정확하게 인식됩니다(그림 10b).

(a) 기존 PLAPON60XO(개구수1.42)

(a) 기존 PLAPON60XO(개구수1.42)

(b) X 시리즈 UPLXAPO60XO(개구수 1.42)

(b) X 시리즈 UPLXAPO60XO(개구수 1.42)

그림 10. 405nm에서의 이미지 비교(왼쪽: 미가공 이미지, 오른쪽: 분석 결과)

개구수 1.4의 X 시리즈 UPLXAPO40XO 대물렌즈 - 우수한 사용성과 효율적인 실험

기존의 40X 대물렌즈는 FOV가 상대적으로 넓었기 때문에 여러 개의 세포를 관측하기에 적합했습니다. 따라서 종종 사용자들은 40X 대물렌즈로 관심 구역을 찾은 후 개구수가 더 높은 대물렌즈(예: 60X 또는 100X 대물렌즈)로 교체하여 고해상도 이미지를 획득했습니다.

UPLXAPO40XO X 시리즈 대물렌즈의 개구수는 1.40이며, 이는 기존의 60X 대물렌즈나 100X 대물렌즈에 상응하는 것입니다. 따라서 사용자는 40X 대물렌즈만으로도 상대적으로 넓은 FOV에서 적절한 해상도의 이미지를 획득할 수 있습니다(그림 11). 대물렌즈를 교체하거나 오일을 추가할 필요가 없으며, 샘플이 위치에서 벗어날 위험이 최소화됩니다.

그림 11. UPLXAPO40XO X 시리즈 대물렌즈(개구수 1.40)
그림 11. UPLXAPO40XO X 시리즈 대물렌즈(개구수 1.40)

그림 11. UPLXAPO40XO X 시리즈 대물렌즈(개구수 1.40)

고해상도의 다색 타일링 이미지, 405nm 여기 포함

조직 절편처럼 넓은 샘플의 전체 이미지를 얻기 위해서는 작은 이미지 여러 개를 획득한 후 함께 타일링하여 큰 이미지를 만드는 것이 보통입니다. 타일링 이미지의 품질은 이미지 평탄도에 달려있습니다. 이미지 평탄도가 높을수록 타일링 이미지가 매끈해집니다. UPLXAPO60XO X 시리즈 대물렌즈는 높은 이미지 평탄도와 넓은 색채 보정을 제공하므로 405nm의 여기가 존재할 때조차도 고품질의 타일링 이미지를 생성하는데 도움이 됩니다(그림 12).

(a) 일반 대물렌즈

(a) 일반 대물렌즈

(b) X 시리즈 UPLXAPO60XO

(b) X 시리즈 UPLXAPO60XO

그림 12.타일링 이미지(12 × 12) 비교

Fucci2 Tg 생쥐의 뇌 절편
60X 이멀젼 대물렌즈(개구수1.42)가 탑재된 FV3000으로 획득한 12X12 이미지를 이어붙인 이미지
청록색: DAPI(405nm)
다홍색: mCherry ‘561nm)

이미지 데이터 제공: 일본 이화학연구소(RIKEN) 뇌신경과학연구센터 세포기능탐색기술연구팀
Takako Kogure, Atsushi Miyawaki

세계 최초의*2 개구수 1.50, 평면 보정 색수차 제거 대물렌즈

당사는 첨단 렌즈 연마 기술을 토대로 이룩한 기술 진보 덕분에 개구수 1.50의 평면 색수차 제거 대물렌즈를 세계 최초로 현실화할 수 있었습니다. 이 고해상도 대물렌즈는 초고해상도 이미징이나 TIRF 이미징에서 효과적입니다.

기존 APON60XOTIRF(개구수 1.49)

기존 APON60XOTIRF(개구수 1.49)

UPLAPO60XOHR(개구수 1.50)

X 시리즈 UPLAPO60XOHR(개구수 1.50)

그림 13. 고해상도 이미지 비교

*2 2018년 10월 4일 기준. 일반적인 이멀젼 오일을 사용하는 대물렌즈(굴절률 ne = 1.518)에 대한 Olympus의 연구 결과.

요약

고품질 대물렌즈와 (계산 및 기기 측면의) 디지털 기술을 결합하는 것이 점점 더 중요해지고 있습니다. Olympus의 X 시리즈 고성능 대물렌즈는 혁기적인 렌즈 연마 기술 덕분에 향상된 개구수와 이미지 평탄도, 색채 보정을 제공하며, 그 결과 신뢰성 있는 정량적/정성적 이미징 결과를 얻는데 도움이 됩니다.

X 시리즈와 고해상도 대물렌즈

시리즈
대물렌즈 명칭
개구수
작동거리 [mm]
색채 보정 범위
X 시리즈
UPLXAPO4X
0.16
13
400-1000nm
X 시리즈
UPLXAPO10X
0.40
3.1
400-1000nm
X 시리즈
UPLXAPO20X
0.80
0.6
400-1000nm
X 시리즈
UPLXAPO40X
0.95
0.18
400-1000nm
X 시리즈
UPLXAPO40XO
1.40
0.13
400-1000nm
X 시리즈
UPLXAPO60XO
1.42
0.15
400-1000nm
X 시리즈
UPLXAPO100XO
1.45
0.13
400-1000nm
X 시리즈
UPLXAPO60XOPH
1.42
0.15
400-1000nm
UPLXAPO100XOPH
1.45
0.13
400-1000nm
HR(고해상도 대물렌즈)
UPLAPO60XOHR
1.50
0.11
435-656nm
UPLAPO100XOHR
1.50
0.12
435-656nm

제품 특징 확인하기

저자
Masahiro Sakakura
R&D 그룹
광학계 개발부
Olympus Corporation

*1 비록 헬라 세포가 의료 연구에서 가장 중요한 세포주가 되었다고 해도, 과학에 대한 Henrietta Lacks의 공헌이 동의를 받지 않은 것이었다는 것을 인정해야만 합니다. 이로 인해 면역학, 전염병, 암에 대한 중요한 발견이 이루어졌지만 사생활, 윤리, 의학적 동의에 대한 중요한 논의도 촉발되었습니다.
Henrietta Lacks의 삶과 현대 의학에 대한 그녀의 공헌을 알아보려면 여기를 클릭하세요.
http://henriettalacksfoundation.org/

관련 제품


https://main--eds-evident-website--evident-scientific.hlx.live/ko/objectives/tirf-hr/

초고해상도/TIRF 이미징용 아포크로맷 대물 렌즈

APON-TIRF/UAPON-TIRF/UPLAPO-HR

당사 제품 중 개구수가 가장 높은 아포크로마트 대물렌즈로, 고대비 TIRF 및 초고해상도 이미징에 최적화되어 있습니다. UPLAPO-HR 대물렌즈’의 높은 개구수로 넓은 평탄도를 제공하며 생세포 및 미세 소기관의 실시간 초고해상도 이미징을 지원합니다.

  • 고대비 TIRF 이미지 또는 초해상도를 위해 높은 개구수로 순간적인 파장을 생성
  • HR 시리즈는 넓은 평탄도를 확보하는 NA1.5의 세계 최초* 플라나포크로마트 대물렌즈

* 2018년 기준. Olympus 연구 결과.

더 알아보기


https://main--eds-evident-website--evident-scientific.hlx.live/ko/objectives/uplxapo-ph/

위상차를 위한 확장형 아포크로맷 대물렌즈

UPLXAPO-PH

확장된 아포크로마트 대물렌즈로, 높은 개구수, 넓은 균질 이미지 평탄도, 400nm~1,000nm의 색수차 보정 및 위상차 관찰 기능을 제공합니다. 생세포, 생체 조직, 미생물 등 투명한 무색 표본을 관찰하는 데 사용됩니다.

  • 높은 개구수, 광범위한 균질 이미지 평탄도 및 400nm~1,000nm의 광범위한 색수차 보정
  • 형광 또는 공초점 이미징이 위상차와 결합될 때 안정적이고 정밀한 이미징 제공

더 알아보기


https://main--eds-evident-website--evident-scientific.hlx.live/ko/objectives/uplxapo/

확장 아포크로맷 대물렌즈

UPLXAPO

확장된 아포크로마트 대물렌즈로, 높은 개구수(NA), 넓은 균질 이미지 평탄도, 400nm~1,000nm의 색수차 보정을 제공합니다. 명시야, 형광 및 공초점 초고해상도 현미경 관찰을 포함한 다양한 응용 분야에서 고해상도의 밝은 이미지를 확보할 수 있습니다.

  • 높은 개구수, 광범위한 균질 이미지 평탄도 및 400nm~1,000nm의 광범위한 색수차 보정
  • 명시야/형광 현미경 관찰에서 공초점/초고해상도 현미경 관찰에 이르기까지 광범위한 응용 분야에 적합한 신뢰도 높은 정밀 이미지

더 알아보기