应用笔记

联系我们

药效评估中的药物反应成像

索引

  1. 球状体药物反应成像(钙离子波动)
  2. 多孔板的化学发光多点观察
  3. 通过培养基灌注和自动添加基质进行长期观察
  4. 果蝇胚胎形成观察

1.球状体药物反应成像(钙离子波动)

类器官和球状体(细胞聚集体)是3D模型,与使用2D培养细胞的传统评估相比,其反应方式往往更接近于实际的活体组织。在药效评价应用的药物开发研究中,对类器官和球状体的需求日益增加。同样,由于兼具降低光毒性和不存在背景荧光噪声在内的优点,对涉及使用发光蛋白(LP)而不是荧光蛋白(FP)的发光成像的关注度也在上升。

对于作为药物主要靶分子基团的细胞受体GPCR配体的研究,钙离子浓度波动通常用作一种指标。与荧光不同,化学发光(CL)不需要激发光,因此不需要考虑球状体和其他结构的自发荧光。由于CL探头的这种特性,CL成像具有了用于测量球状体中钙离子浓度波动并同时保持高信噪比(SNR)和高量化的潜力。因此,将GeNL (Ca2+)_520 (41)这些绿色增强纳米灯(eNL)钙发光传感器引入到了使用培养细胞产生的球状体中。在用组胺(一种用于球状体的GPCR H1受体配体)刺激后,尝试了长期连续观察细胞内部的钙离子浓度波动(21)。结果是成功观察到持续时间达50分钟的高SNR GeNL(Ca2+)_520发光信号(图2)。

观察条件
HEK293T细胞:在用化学发光钙离子传感器((GeNL(Ca2+)_520))瞬时引入腺相关病毒的96孔多孔U形底板中培养了一周
观察容器:U形底板96孔多孔板
观察培养基:DMEM/F-12 (Gibco) +10% FBS
发光基质:10 µM呋喃嗪(Promega)
细胞刺激:2 µM组胺
显微镜:基于IXplore Live系统的发光成像系统*
物镜:UPLSAPO20X (NA 0.75),摄像机接合器:0.5倍
EM-CCD:Andor iXon Ultra 888(EM增益1000倍),曝光时间:20秒/照片,像素合并:1 × 1

图1.化学发光钙离子传感器GeNL(Ca2+)_520执行器操作(左)和基于IXplore Live系统的发光成像系统示例(右)

明场图像
发光图像
重叠图像
发光图像伪色(绿色)

视频1。组胺刺激引起的钙离子波动的发光观察(比例尺:500 µM)

组胺刺激引起的钙离子浓度波动的测量

图2.组胺刺激引起的钙离子浓度波动的测量

2.多孔板的化学发光多点观察

当从化合物库中筛选新的候选药物分子时,有必要对接种在多孔板中的细胞进行高含量分析以测试多种细胞表型,如细胞内离子浓度和细胞形态的变化。在这种情况下,使用高亮度化学发光蛋白是有效的,因为它能以高对比度定量捕获细胞形态和运动的变化。

我们利用化学发光成像进行药物筛选和疗效评价,将表达化学发光蛋白的培养细胞接种在多孔板上。使用电动载物台对每个孔进行了反复的自动多点扫描,并对所有孔采集的成像数据进行了分析。这使得整个多孔板的图像采集只需几分钟就能完成。因此,我们得以成功地观察到微孔板孔的低放大倍率图像,以及呈现单个细胞形态的高对比度高放大倍率图像。图3显示了视场范围从1 mm到100 µm的细胞图像。我们的实验表明,使用结合了能够进行多点扫描的显微镜的化学发光成像系统可以实现高通量和高含量的细胞分析。

观察条件
HeLa细胞:高亮度化学发光蛋白的稳定表达,黄色增强型纳米灯传感器
观察容器:平底96孔多孔板
观察培养基:HBSS(-) (Sigma)
发光基质:10 µM呋喃嗪(Promega)
显微镜:基于IXplore Live系统的发光成像系统*物镜:UPLFLN10X2PH (NA 0.3),摄像机接合器:0.5倍br/> EM-CCD:Andor iXon Ultra 888(EM增益1000倍),曝光时间:1秒/照片,像素合并:2 × 2

使用多点扫描发光成像技术在1 mm、500 µm和100 µM的多孔板中捕获的培养细胞

图3.使用多点扫描发光成像技术在1 mm、500 µm和100 µM的多孔板中捕获的培养细胞

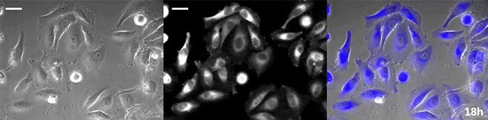
3.通过培养基灌注和自动添加基质进行长期观察

为了评价药效,对细胞进行长时间的观察对于详细分析其效果至关重要。由于荧光素酶具有成熟时间和半衰期短的特点,它们早已被认为是监测基因表达随时间变化情况的有效报告基因。此外,由于不像荧光那样需要激发光,将发光探头用于长期成像应用时,细胞的光毒性会降低。但由于这种技术需要发光基质(荧光素),因此向细胞稳定供应荧光素很重要。

腔肠素型的荧光素具有特别高的亮度,但由于它在短时间内就会在细胞中氧化,因此及时补充对于长期观察应用至关重要。为了解决这个问题,我们用高强度发光蛋白灌注了细胞,同时用自动基质添加装置自动添加了腔肠素,以便可以持续监测发光。因此,我们结合使用相衬成像成功地对发光图像进行了超过24小时的监测(图4)。

0小时

图4-1 0小时

6小时

图4-2 6小时

12小时

图4-3 12小时

18小时

图4-4 18小时

24小时

图4-5 24小时

观察条件
HeLa细胞†:高亮度化学发光蛋白的稳定表达,黄色增强型纳米灯传感器
观察容器:35 mm玻璃底培养皿
观察培养基:DMEM/F12 (Gibco) +10% FBS
发光基质:2.5 mM腔肠素-h(FUJIFILM Wako Pure Chemical Corp.),1.2 µL/7.5 分钟
灌注流速:40 µL/分钟,培养基引流量:约10 mL/小时
显微镜:基于IXplore Live系统的发光成像系统*
物镜:UPLFLN40XPH (NA 0.75),相机接合器:0.5倍
EM-CCD:Andor iXon Ultra 888(EM增益1000倍),曝光时间:5分钟/照片,拍摄间隔:7.5分钟,像素合并:1 × 1

4.果蝇胚胎形成观察

利用模式生物进行药效评价对于进入下一阶段的临床试验至关重要。近年来,苍蝇作为研究人类疾病的优秀物种获得了关注。例如,通过开发和使用苍蝇甲状腺髓样癌模型而发现的药物凡德他尼已被FDA批准为人类治疗药物。

尽管荧光蛋白常被用作监测活体模式生物体内基因表达的报告蛋白,但需要考虑各种问题,包括来自胚胎的光传输和响应激发光的自发荧光。另一方面,发光成像不需要激发光,这就避免了其中的大部分问题。在这个实验中,将D-虫荧光素与酵母膏混合后喂给三龄期幼虫,然后利用这种化合物作为报告基因,对果蝇胚胎形成过程中刻纹基因表达的变化进行了监测。结果显示,可以透过蛹壳在蛹的内部深处检测到发光,并且我们成功地实时观察了转化过程中表达位点和表达水平的变化(视频2)。

发光图像
发光图像(伪色)

视频2。果蝇胚胎发光成像(比例尺:500 µm)

观察条件
果蝇:刻纹基因表达发光报告蛋白(荧光素酶:Pmat)
在给三龄期幼虫注射D-虫荧光素与酵母膏混合物后,将蛹放在24孔板上进行了观察
显微镜:基于IXplore Live系统的发光成像系统*物镜透镜:UPLFLN4XPH (NA 0.13),摄像机接合器:0.5倍
EM-CCD:Andor iXon Ultra 888(EM增益300倍),曝光时间:120秒/照片,像素合并:1 × 1

鸣谢

这些应用注解由以下研究人员协助完成:
Kenji Nagai教授和Mitsuru Hattori助理教授
大阪大学科学与工业研究所长井实验室

果蝇胚胎样品的制备得到了以下研究人员的帮助:
Toshie Kai教授和Ritsuko Sugiyama助理教授
大阪大学前沿生物科学研究生院生殖生物学实验室

*用于进行这些实验的发光成像系统是大阪大学科学与技术研究所Kenji Nagai等人、Tokai Hit Co.Ltd.和Olympus Corporation在进行一项先进的测量和分析技术/设备开发计划的过程中取得的联合开发成果,其中结合了现有的产品组件,包括奥林巴斯IXplore Live显微镜。尽管这个特定系统只在某些地区上市销售,但Evident Life Sciences一定会为其全球客户提供类似的发光解决方案。请联系您当地的Evident销售代表以了解更多详情。

援引的著作:
Biochem. Biophys. Rep., 23 (2020) 100771

†注:HeLa细胞是医学研究和科学发展中最重要和最知名的细胞株之一。它们为免疫学、传染病和癌症研究的重大发现做出了贡献,并引发了对医学领域伦理问题的严肃关切。请访问http://henriettalacksfoundation.org/,详细了解Henrietta Lacks的生平以及她对现代医学的贡献。

适于这类应用的产品

活细胞成像显微镜系统

IXplore Live

  • 利用奥林巴斯实时控制器采集生理相关数据,尽可能减小细胞干扰
  • 通过多种环境控制方案确保成像过程中细胞的活力
  • 使用TruFocus的时间序列实验中保持精确稳定的聚焦
  • 利用奥林巴斯硅油浸物镜还原真实的细胞形状

了解更多