应用笔记

联系我们

利用手动显微镜和数码相机实现载玻片玻片数字化

数字化玻片样本的重要性越来越高

通过将玻片样本数字化提高实验室操作效率变得越来越重要,这种做法被称为“全玻片成像(WSI)”。由于不需要设置显微镜即可观察标本,全玻片成像具备多种效率优势。取而代之的是,您可以从PC计算机上观察虚拟玻片玻片图像,并且在观察时还可以更改观察位置和放大倍数,以及与同事远程同时观察样本。

尽管全电动虚拟玻片扫描仪可以简化WSI流程,但并非每位研究人员都拥有足够预算、工作台空间或数据容量以购置该设备。作为替代,您可以将奥林巴斯BX53手动显微镜与DP74数码相机结合使用,由此在有限工作空间完成经济高效的全玻片成像。

数字化玻片样本的重要性越来越高

利用手动全玻片成像实现玻片数字化

手动全玻片成像(mWSI)功能无需使用电动载物台即可创建整个样本的数字图像数据。mWSI方法将奥林巴斯BX53手动显微镜、DP74数码相机和cellSens软件结合使用。这是一种以低倍率创建拼接图像的有效方法。当您手动移动载物台时,所采集的图像将会实时拼接在一起。整个标本图像可在任意范围内进行采集。比如,使用4倍物镜可以在30秒钟内扫描15 mm2的样本区域。

手动全玻片成像的常见应用

案例1、小组讨论

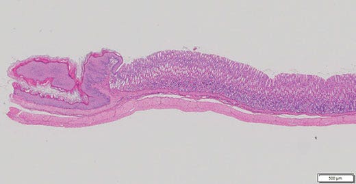
某些情况下,比如对于研究小组而言,您可能需要以高倍率和低倍率显示整个标本。借助手动全玻片成像,您可以使用低倍物镜捕捉整个标本的图像(图1)。小组可以通过在屏幕上观察虚拟玻片图像而非设置和使用显微镜的方式进行讨论。 由于可以观察到图像在全样本玻片上的位置,mWSI对于讨论以高倍率捕捉的样本图像也非常有用(图2)。

案例2、供学术会议和研究论文使用的图像

学术会议海报和论文经常需要展示各种图像。但即使使用低倍物镜,也可能难以一次捕捉到整个样品图像。利用手动全玻片成像,您可以将多个区域无缝拼接在一起,从而获得清晰的概览图像(图3),然后修剪拼接图像以获得特定区域(图4)。

图3:宽幅样本概览图像

图3:宽幅样本概览图像

图4:您可以通过修剪概览图像获得感兴趣的区域

图4:您可以通过修剪概览图像获得感兴趣的区域

案例3、数字档案

在过去,如果想要将整个标本采集拍摄为虚拟玻片图像,则需要使用全电动的虚拟玻片扫描仪。如今利用手动全玻片成像,只需为BX53显微镜添加DP74数码相机和cellSens软件,就可以使用较少的数据创建数字档案。
例如,像细胞簇等标本,需要捕捉多焦平面的图像。这项操作可以通过在手动移动焦点位置的同时拍摄视频轻松实现,因此可以用较小的文件大小获得所需信息。

案例4、远程研讨

在教育领域常见的远程观察讨论中,往往要求演示者以电子方式分享在显微镜下捕捉的样本图像。但为视频会议设置显微镜可能会难度较高而且耗费时间。通过利用手动全玻片成像预先将整个样本数字化,您就可以轻松与远程同事和顾问一同查看样本。

利用手动全玻片成像改善观察效果

使用我们整合了奥林巴斯BX53手动显微镜、DP74数码相机和cellSens软件的手动全玻片成像方法,您就可以用比电动虚拟玻片扫描仪更低的成本和更高的效率观察标本。

适于这类应用的产品

半电动荧光显微镜

BX53(LED)

  • 高亮度高色彩还原LED照明
  • 模块化概念让单个组件实现电动化
  • 轻松获取多色荧光图像

了解更多

显微数码相机

DP74

DP74数码显微相机配备冷却式CMOS传感器,可以60 fps速度提供高质量彩色图像,实现清晰的荧光成像。该相机的位置导航器还提供对受关注区域的视觉跟踪。

  • 以60 fps的速度提供活体样品的高质量彩色图像
  • 位置导航器可实现对拼接图像中受关注区域的视觉跟踪
  • 冷却式CMOS传感器可获得清晰的低噪声荧光图像

了解更多


成像软件

cellSens

cellSens软件的用户界面可自定义,提供直观的操作和流畅无缝的工作流程,让您可以控制布局。cellSens软件具有一系列软件包,可提供各种针对您的具体成像需求进行了优化的功能。它的图形化试验管理器和孔导航器功能简化了5D图像采集。通过TruSight反卷积实现更高的分辨率,并使用会议模式共享图像。

  • 通过TruAI深度学习分割分析提高实验效率,从而提供非标记细胞核检测和细胞计数
  • 模块化成像软件平台
  • 直观的应用驱动型用户界面
  • 从简单的捕获到高级多维实时实验的大范围功能集

了解更多