形态各异—2022年5月最受欢迎的显微镜图片

显微镜艺术作品

Kerry Israel

Kerry Israel

2022年 6月 07日

我们2021年度图片的获奖作品继续广受欢迎,赢得超高的Instagram点赞数。 有看似心形的细胞核,也有像星星一样散开的绒毛,本月排行榜上的显微镜图片形态各异!

显微镜下的双子叶植物茎部

这里看到的是一种双子叶植物的茎部。 与单子叶植物不同的是,双子叶植物有明显的节和节间,这是长出叶、枝和花的地方。 维管束的内部结构由木质部(标记为橙色和黄色)、韧皮部(标记为荧光绿色)和多种纤维组成。

图片由Minjun Shin提供。 在奥林巴斯CX21显微镜上拍摄,200倍放大倍率,使用明场显微镜,并采用黄色莱茵堡照明。

显微镜下的细胞核

即使是细胞也会有心连心的时刻! 两个细胞的半分离核形成了心连心的形状。 细胞核由细胞核的纤维蛋白lamin标记。

图片由Di Lu提供。 2021年度图片(IOTY)荣誉奖。 使用奥林巴斯FV3000共焦显微镜拍摄。

要观赏其他2021年IOTY图片,请访问年度图片页面

显微镜下的果蝇卵巢

您可能不喜欢看到这些讨厌的小飞虫在厨房里飞来飞去,但它们却是绝佳的科学试验对象。 黑腹果蝇,通称为果蝇,以其快速繁殖能力而著称。 这里显示的卵巢不仅是果蝇的重要器官,而且非常漂亮

图片由Yujun Chen提供。 2021年度图片荣誉奖。

显微镜下的溲疏叶毛

看到星星了吗? 图中所示为覆盖在 溲疏 叶片表面的星形防御性绒毛,在叶片的红色荧光、叶绿素包覆的细胞的映衬下,显得格外清晰。 作为绣球花科的一员,溲疏 植物是一种可开花灌木,生长在亚洲、中美洲和欧洲。

图片由David Maitland提供。 2021年度图片荣誉奖。 在奥林巴斯 BX51 显微镜上采集。

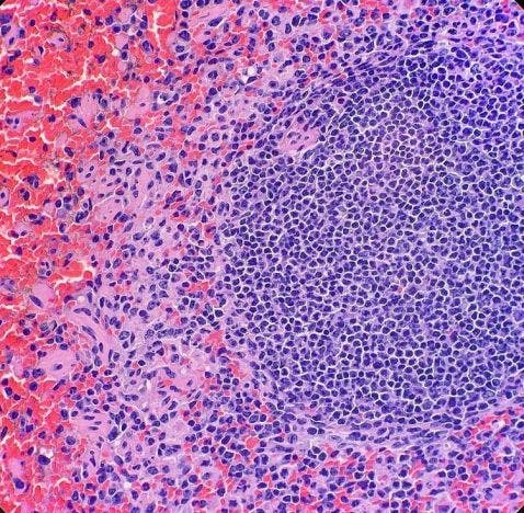
显微镜下的红颈小袋鼠脾脏

Kate Murphy拍摄,图示为红颈小袋鼠的脾脏。

Kate 解释说,“脾脏是淋巴系统中最大的器官。 它主要负责储存白细胞并回收旧的红细胞。 它实质上是我们血液的质量控制中心。 没有脾脏也可以生存,但会更容易受到感染。 显微镜下,我们可以看到两种不同的“髓”。 白髓是紫色的圆形细胞簇。 这是淋巴组织。 红髓(充满红细胞)是血液被过滤的地方。”

图像和说明由Kate Murphy提供。 在奥林巴斯BX40显微镜上采集。

我们都熟知这样的说法:美在内心。 这段令人印象深刻的视频展示了一朵花的花茎表皮细胞以及获取图像的过程,显示了内在的美。

"表皮组织中嵌入有气孔。 气孔可以存在于花茎和植物的其他部分(不仅仅是在叶子中!)。 气孔是植物用来吸收二氧化碳和释放氧气的孔隙。 也就是说,气孔是植物用来“呼吸”的孔隙。

我在视频开始时使用的液体是蒸馏水。 蒸馏水有助于保持样品细胞的滋润性。 水和盖玻片也可通过避免不良的光反射来增强图像的效果。”

视频和描述由Adolfo Sánchez-Blanco博士提供。 在奥林巴斯CX31显微镜上以高达400倍的倍率拍摄。

想查看更多类似图像,请关注我们的Instagram帐号@olympuslifescience

有意分享您自己的图像吗? 访问我们的图像提交网站

Kerry Israel

Kerry Israel

营销沟通经理

Kerry Israel是奥林巴斯美洲公司科学解决方案部门生命科学营销与沟通经理。她拥有布兰代斯大学文学学士学位,并且在从广告和社交媒体策略到基层推广的市场营销各个层面拥有超过15年的工作经验。