IXplore Live for Luminescence

利用生物发光照明技术拓展显微成像的可能性

单细胞水平的生物发光成像功能使您能够验证使用多孔板酶标仪对发光测定的初步评价,并找出实验中出现意外结果的原因。我们的IXplore Live for Luminescence显微镜系统*针对单细胞和整个组织的生物发光成像进行了优化。该显微镜配备了必要的组件,使您可以在稳定、可控的环境中立即开始生物发光实验。

*该系统由大阪大学产业科学研究所的Takeharu Nagai教授、Tokai Hit Co.Ltd.和Evident公司合作开发。该项目由日本科学振兴机构(JST)资助。

观察微孔板中的多个样品

以可以识别细胞的分辨率,在各种微孔板中可靠地采集图像。系统的cellSens成像软件和电动载物台能记住每个孔的XY位置,从而能轻松捕捉96孔板中所有孔的图像。

样品:表达增强型黄色Nano-Lantern的HeLa细胞。数据承蒙大阪大学产业科学研究所生物分子科学和工程系Takeharu Nagai、Mitsuru Hattori提供。

样品:表达增强型黄色Nano-Lantern的HeLa细胞。数据承蒙大阪大学产业科学研究所生物分子科学和工程系Takeharu Nagai、Mitsuru Hattori提供。

稳定的长期延时成像

载物台上孵化系统为活细胞和组织的长期延时成像实验提供了适当的环境。该系统可以控制温度、二氧化碳和其他环境条件,以保持成像期间样品的活性。

生物发光成像不需要像荧光那样的激发光,因为光源是化学反应产生的。生物发光最大限度地减少了光毒性,并消除了自发荧光信号的影响,使其成为稳定、长期观察活细胞的理想选择。

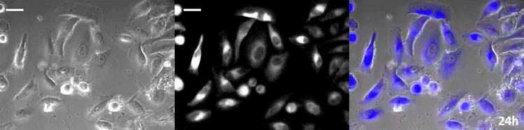
使用载物台上孵化器进行长期观察(24小时:相衬/生物发光/叠加)。样品:表达增强型黄色Nano-Lantern的HeLa细胞(35 mm玻璃底盘)。

使用载物台上孵化器进行长期观察(24小时:相衬/生物发光/叠加)。样品:表达增强型黄色Nano-Lantern的HeLa细胞(35 mm玻璃底盘)。

数据承蒙大阪大学产业科学研究所生物分子科学和工程系Takeharu Nagai、Mitsuru Hattori提供。

结合荧光、生物发光和透射光成像

结合不同的观察方法和模式,可以同时看到整个细胞和基因水平的变化。例如,在神经干细胞的自我复制过程中观察Ascl1基因表达和细胞周期。通过使用基于泛素化的荧光细胞周期指示剂(Fucci),您可以通过该系统直观地看到Ascl1基因在每个细胞周期阶段的表达波动情况。

荧光(右,红/绿)、生物发光(左,黄)和相衬(左,灰度)的三通道单细胞分辨率成像。数据由京都大学生物研究所动态生命系统研究中心的Itaru Imayoshi及京都大学病毒研究所的Akihiro Isomura和Ryoichiro Kageyama提供。

荧光(右,红/绿)、生物发光(左,黄)和相衬(左,灰度)的三通道单细胞分辨率成像。数据由京都大学生物研究所动态生命系统研究中心的Itaru Imayoshi及京都大学病毒研究所的Akihiro Isomura和Ryoichiro Kageyama提供。

参考文献:Science(《科学》)。2013年12月6日;342(6163):1203-8;doi:10.1126/science.1242366。

用于药效评估的药物反应成像

G蛋白偶联受体(GPCRs)是一种普遍研究的药物目标,其活性可以通过细胞球中的钙浓度来测得。使用微孔板的高内涵筛选和分析,您能够分析不同的条件,如浓度和环境条件,以及候选药物库。

借助稳定的孵化系统,您可以观察到细胞形态的分化以及在较长时间内对药物的反应。与荧光成像相比,生物发光成像具有更好的信噪比(SNR),从而使您检测到非常微小的反应变化。

通过球状细胞团块中的组胺刺激进行钙浓度波动测量。图中显示了三个感兴趣区域(ROI)的测量结果。

联系我们