铸铁解决方案
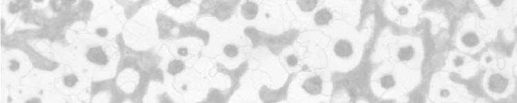
在金相实验室中,从质量控制的角度来看,分析铸铁的石墨球化率、尺寸、形状和分布参数以及铁素体与珠光体的比率是极其重要的。
我们的图像分析软件提供了分析以下铸铁特征的工作流程:
- 石墨形态
- 石墨分布
- 石墨尺寸
- 石墨球化率
- 石墨百分比
- 铁素体与珠光体的百分比
在金相实验室中,从质量控制的角度来看,分析铸铁的石墨球化率、尺寸、形状和分布参数以及铁素体与珠光体的比率是极其重要的。
我们的图像分析软件提供了分析以下铸铁特征的工作流程: