TruSight SR算法如何在共聚焦转盘显微镜中实现超分辨率成像

联系我们

引言

Evident的TruSight SR算法是从奥林巴斯超级分辨率(Olympus Super Resolution,OSR)1 发展而来、并集成到IXplore IX85 SpinSR超高分辨转盘共聚焦显微镜中的一种新型超分辨率技术。这项技术通过优化针孔并采用基于光学理论的处理引擎来实现超分辨率成像,增强了共聚焦显微镜的性能。

TruSight SR通过采用自适应滤波强度和三维(3D)处理能力,解决了OSR在低信噪比(SNR)图像中的局限性。这一进步有助于在低信噪比(SNR)条件下提高图像质量,例如荧光信号暗淡的活细胞成像。通过还原自然的超分辨率图像并保留亮度值,TruSight SR实现了图像数据的一致性,支持各种应用的定量分析。

通过对这种超分辨率算法及其应用的详细阐述,这本白皮书展示了Evident的TruSight SR如何有助于提高显微镜图像质量。

涵盖的主题包括:

TruSight SR算法从Evident用于超分辨率成像的专有OSR技术发展而来。OSR结合计算处理技术,大幅提高了共聚焦显微镜的性能,实现了超分辨率成像。与传统的维纳反卷积相比,OSR可提供可靠的结果,并生成可与共聚焦显微镜截止频率相匹配的自然超分辨率图像。

然而,传统的OSR在应用于低信噪比(SNR)图像时存在缺点。在低信噪比图像中,OSR可能会突出噪声成分,从而使分辨率降低。为了解决这个问题,我们将OSR进化为TruSight SR,同时增强了其抗噪性能。这一技术进步使得在活细胞荧光成像过程中,即使荧光强度较弱,也能获得信噪比(SNR)很高的超分辨率图像。同时,还保持了原OSR提供的快速、可靠的120纳米的空间分辨率。TruSight SR还具有3D处理能力,可对厚样品进行高分辨率成像。此更新支持在多种应用中进行高质量的图像修复。

TruSight SR现已集成到IXplore IX85 SpinSR转盘共聚焦超高分辨显微镜中(图1)。

图1:PtK2细胞的微管。
左图:使用IXplore IX85 Spin(50 µm转盘)获取的转盘共聚焦图像(以数码方式放大2.8倍)。
右图:使用IXplore IX85 SpinSR(SoRa转盘,投影镜头:2.8X)获取的超分辨率图像。
物镜:UPLXAPO100XO(NA:1.45)。比例尺:5 µm。

建立超高分辨显微镜系统

针对显微镜图像,人们已经设计出了各种类型的计算处理方法。Evident最初通过将转盘共聚焦显微镜与OSR计算处理技术相结合,开发出了一套超高分辨显微镜系统。OSR技术大幅提高了共聚焦显微镜的性能,实现了超分辨率成像。众所周知,共聚焦显微镜的截止频率是传统宽视场荧光显微镜的两倍。然而,由于高频成分所占比例较低,共聚焦显微镜的空间分辨率与宽视场荧光显微镜相比并无明显差异。OSR通过优化针孔设置,提高了截止频率附近的信号采集效率。它还添加了线性滤波计算处理功能,以生成最终的超分辨率图像。2

OSR处理的特点之一是结果具有很高的可靠性。这一点可以通过将其与维纳反卷积等其他常见处理方法进行比较来说明。所观察到的显微镜图像可以用目标分布和点扩展函数(PSF)的卷积来表示。在频域中,这相当于通过PSF的傅里叶变换(光学传递函数,或OTF)对目标结构的频率特性进行衰减。维纳反卷积通过将OTF的倒数与所观察图像的频率特征相乘来解卷积,从而恢复目标的原始分布。

实际上,简单的逆滤波在高频区域可能会不稳定,因此要限制滤波强度,使信号成分尽可能接近原始目标信号。相比之下,OSR处理的目标是创建与截止频率一致的自然观察图像。图2显示了经过维纳反卷积和OSR处理后频率特性的差异。维纳反卷积的目标是实现平坦的响应特性;然而,由于显微镜光学系统的截止频率限制,无法实现完全平坦的响应,而且在截止频率附近还会出现急剧的衰减。这种类似阶跃的响应特性会在恢复的图像中产生强烈的振铃效应,从而产生伪影。

相比之下,OSR处理通过达到相当于共聚焦显微镜截止频率两倍(宽视场荧光显微镜的两倍)的分辨率来还原图像,从而实现自然的显微镜图像。2 OSR通过设置逐渐衰减至截止频率的响应特性,可抑制振铃效应造成的伪影,同时最大化截止频率内的信号。结果是分辨率提升了一倍的超分辨率。

图2. 维纳反卷积与OSR处理的比较。

(a)和(d)显示的是处理后的频率特性。在维纳反卷积中,信号恢复的目标是在截止频率范围内实现平坦的响应特性。相比之下,OSR处理的目标是实现一种向截止频率逐渐衰减的响应特性。虽然响应特性的形状与传统显微镜相似,但其带宽却是后者的两倍。

(b)和(e)显示的是与恢复后的响应特性相对应的点扩散函数(PSF)。当响应特性出现像维纳反卷积那样急剧的衰减时,恢复的PSF会表现出强烈的振铃效应(在正负方向上的振荡)。相比之下,OSR处理能够抑制振铃现象。

(c)和(f)是处理后的模拟图像。(g)是目标分布的真实情况。由于强烈的振铃效应,维纳反卷积会产生伪影和虚假的分辨率,而OSR处理则能够恢复自然的显微镜图像。

要通过计算处理获得高质量的结果,必须使用准确的PSF信息。除了使用精确的PSF计算算法(例如,与高NA物镜兼容的算法)之外,还需要精确输入各种设备参数。物镜NA、激发波长、荧光波长、针孔直径和像素大小等参数虽然重要,但还不够。还需要提供有关设备的详细信息,例如投影放大率、光束直径和偏光状态。一般的反卷积软件可能很难涵盖这些细微的差别。OSR可以通过精确的参数设置进行PSF计算,因此具有很高的可靠性。

我们的超分辨率技术的演进

根据图像信噪比自动调整滤波强度

OSR通过提取共聚焦显微镜的高频性能来实现超分辨率,其在噪声敏感性方面存在的缺陷,已通过改进的TruSight SR算法得到了解决。

图3为显微镜模拟图像。在信噪比较低的图像中,高频成分可能包含大量噪声。在此状态下进行强力恢复处理会突出图像中的细小噪声成分,导致图像质量低于原始图像。由于这种噪声成分原本就存在于图像中,因此仅通过使用精确的PSF信息或优化振铃抑制很难去除这种噪声。

图3. 对低信噪比图像进行常规OSR处理的示例。

TruSight SR通过考虑图像中的噪声成分来解决这个问题。它扩展了滤波器强度调整的范围,并基于显微镜的频率特性进行振铃校正,方法类似于OSR处理。图4显示了滤波强度及其效果。通过使用微调滤波强度的功能,可以抑制导致图像噪声的频率成分被过度强调,这种图像的分辨率比传统共聚焦显微镜的图像更好。

图4. 根据图像的信噪比调整滤波强度的示例。 当原始图像的信噪比较低时,使用较弱的滤波强度可以抑制噪声,同时增强感知分辨率。相反,当原始图像的信噪比较高时,使用较强的滤波强度可以大幅提升分辨率。

此外,TruSight SR还包含一种算法,可以确定图像的信噪比,并优化滤波强度。显微镜的应用范围非常广泛,因此不可能仅根据图像的简单统计值(如方差或亮度差异)来确定信噪比。原因是很难区分图像中的亮度变化是由噪声还是样品结构引起的。TruSight SR开发了一种在任何成像条件下都能稳定选择优化滤波强度的技术。它通过估算在获取的图像中与样品形状相关的信号和与区域传感器随机生成的噪声相关的信号来实现这一点。

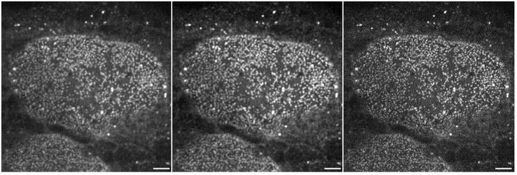
图5显示了滤波强度优化算法的效果。通过根据输入图像,自动设置上佳滤波器的方法,可以在提高图像质量的同时抑制噪声的产生。特别是在原始图像的信噪比不足的情况下,可以获得比传统OSR处理更好的结果。

图5. 信噪比较低时,不同方法处理核孔荧光图像的差异。
左图:原始图像。中图:使用TruSight SR进行自动处理后的图像。右图:使用传统OSR进行处理后的图像。当原始图像的信噪比较低时,传统的OSR处理会放大噪声,降低感知分辨率。相比之下,TruSight SR能够实现良好的分辨率。

使用IXplore IX85 SpinSR(SoRa转盘,投影镜头:2.8X)和UPLXAPO100XO(NA:1.45)物镜拍摄的图像。比例尺:2 µm。

图像亮度值的保留

TruSight SR算法的另一个优点是保留了原始图像的强度级别,从而能够分析和比较超分辨率图像中的亮度值。

TruSight SR基于硬件信息计算光学系统中的点扩散函数(PSF),并进行图像恢复。 同时,还保留了以一定概率密度分布的亮度值。图6显示了原始图像和TruSight SR图像的直方图。

图6. TruSight SR处理前后的亮度比较。

(a)使用IXplore IX85 SpinSR(SoRa转盘,投影镜头:2.8X)和UPLXAPO100X(NA:1.45)物镜拍摄的PtK2细胞微管原始Z堆栈图像的最大强度投影 (MIP)显示。
(b)经过TruSight SR 2D处理的图像(a)的最大强度投影(MIP)显示。比例尺为5 µm。图(a)和图(b)均显示了固定的LUT最大值和最小值。 这些图像的强度几乎相同。
(c)Z堆栈图像中所有像素强度的直方图。超过97%的亮度值总和×像素数得以保留。剩余的3%主要由噪声成分组成,具体情况会随图像信噪比的变化略有不同。

如图所示,即使经过滤波处理,原始图像的亮度信息仍然得以保留,从而可以使用处理后的图像进行定量分析。

3D图像处理

除了传统的二维(2D)处理外,TruSight SR还包括三维(3D)数据处理功能。图7显示的是观察荧光微珠的示例。二维处理的分辨率提高仅限于XY平面,而三维处理也会提高Z方向的分辨率。

图7. TruSight SR的2D和3D处理示例。使用直径为100纳米的荧光微珠,测量点扩散函数(PSF)的半峰全宽(FWHM)值。使用IXplore IX85 SpinSR(SoRa转盘,投影镜头:2.8X)和UPLXAPO100XS(NA:1.35)物镜拍摄的荧光微珠图像,采样间距:XY间距为46.4 nm,Z轴间距为50 nm。

(a)原始图像的XY图像。
(b)TruSight SR 2D处理后的XY图像。
(c)TruSight SR 3D处理后的XY图像。
(d)图像(a)至(c)的X剖面。
(e)原始图像的XZ图像。
(f)TruSight SR 2D处理后的XZ图像。
(g)TruSight SR 3D处理后的XZ图像。
(h)图像(e)至(g)的Z剖面。在3D处理中,XY平面和Z方向的分辨率都得到了提高。

当处理扩展到三维时,OSR技术仍能保持很高的可靠性。通过在Z方向处理后将自然观察图像设置为目标(而不是恢复目标分布),可在XYZ各个方向上抑制振铃伪影。

为了确保处理结果的可重复性,还需要考虑采样间距的变化。图像XY平面上的采样间距主要由放大倍率和相机像素大小决定。但是,Z方向的采样间距是由用户任意设定的,并非恒定不变。传统的OSR处理仅支持2D处理,并且仅限于相机和变焦系统的特定组合。TruSight SR支持3D处理,可使用各种相机和变焦系统。因此,即使被处理图像的采样间距在不同条件下发生变化,系统也可以在相同滤波强度下实现相同程度的图像恢复效果。图8显示了在特定条件下计算得到的PSF的示例。

图8. 采样间距对处理结果的影响比较。

图(a)和图(b)是总强度值基于3D强度值分布进行归一化处理的点扩散函数(PSF)。尽管成像过程中的Z间隔有显著差异:图(a)为0.2 µm,图(b)为0.02 µm;但在图(e)中,峰值强度横截面的XY剖面图是一致的。
图(c)和图(d)是总亮度值仅基于XY聚焦横截面进行归一化处理的点扩散函数(PSF)。采用这种计算方法时,更改Z间隔的成像条件,会导致XY方向的半峰全宽(FWHM)值发生变化,如图(f)所示。

在图8(f)中,即使滤波强度相同,XZ横截面的半峰全宽(FWHM)值也会随着Z轴采样间距的变化而发生改变。相比之下,图8中的曲线图(e)显示了根据XYZ数据的强度分布而进行的调整处理。因此,无论Z轴采样间距如何,都可以获得稳定的半峰全宽(FWHM)值。这表明TruSight SR支持适用于定量分析的可重复性结果。

TruSight SR算法的实际应用

活体超分辨率成像中信噪比(SNR)的提高

在活细胞成像中,需要尽量减少光激发对活细胞的影响,因此应使用尽可能弱的激发光。这样就很难获得高信噪比的荧光图像。TruSight SR可在适当的滤波强度下,对荧光信号暗淡的图像进行可靠的线性去卷积处理,从而可将活体图像改变为具有更高信噪比的超分辨率图像。

图9. 表达LC3-EGFP的U2OS细胞的活体超分辨率图像 即使原始图像的信噪比较低,也可以通过TruSight SR处理获得高质量的超分辨率图像。左图:使用IXplore IX85 SpinSR(SoRa转盘,投影镜头:2.8X)和UPLXAPO100XO(NA:1.45)物镜拍摄的信噪比(SNR)较低的原始图像。右图:对左图进行TruSight SR 2D处理后获得的图像(滤波强度:1.5)。比例尺:5 µm。



在使用弱激发光的活细胞成像中,强锐化处理可能会使被称为蜂窝噪声的特定信号变得明显。TruSight SR包含可解决这种低SNR问题的处理方法,可对活细胞成像进行适当的处理。

使用25X硅凝胶物镜进行活体超分辨率成像

LUPLAPO25XS物镜(NA:0.85、WD:2 mm)是世界上首款采用硅凝胶垫的物镜,其折射率与活细胞和组织相匹配,非常适合深层成像。硅凝胶不会像水一样蒸发,也不会像硅油一样流走,有助于稳定的长期延时观察。TruSight SR将25X物镜的宽视场与放大中继镜头相结合,实现了超分辨率活体成像。使用60X、100X(NA:1.4)或更高倍率物镜,无需切换物镜,就能在宽视场中识别目标细胞,并捕捉细胞内的精细结构,分辨率相当于共聚焦成像。

图10. 表达LC3-EGFP的U2OS细胞的活体超分辨率图像。左图:使用IXplore IX85 SpinSR(50 µm转盘,投影镜头:1X)进行共聚焦成像。中图:使用IXplore IX85 SpinSR(SoRa转盘,投影镜头:4X)拍摄并经过TruSight SR 2D处理(滤波强度:1.0)的超分辨率图像。右图:对中图进行TruSight SR 3D处理(滤波强度:2.0)并进行了数字放大而获得的图像。无需切换物镜,即可无缝获取自噬体的宽视场共聚焦图像和超分辨率图像。

3D超分辨率图像质量的提升

TruSight SR将最初基于显微镜频率特性和精确点扩散函数(PSF)信息应用于二维成像的反卷积处理功能,扩展到了三维应用领域。这样,即使在厚样品中也能提高Z轴方向上的分辨率,同时还可以通过基于光学系统数据的三维处理保持定量精度。

图11. HeLa* 细胞核孔的3D成像。左图:使用IXplore IX85 SpinSR(SoRa转盘,投影镜头:2.8X)和UPLXAPO100XO(NA:1.45)物镜拍摄的原始图像的XY和XZ横截面图。中图:对左图进行TruSight SR 2D处理后获得的图像(滤波强度:2.5)。右图:对左图进行TruSight SR 3D处理后获得的图像(滤波强度:2.5)。 比例尺:2 µm

*海拉(HeLa)细胞是医学研究和科学发展中最重要和最知名的细胞株之一。它们为免疫学、传染病和癌症研究的重大发现做出了贡献,并引发了对医学领域伦理问题的严肃关切。请访问henriettalacksfoundation.org,了解有关Henrietta Lacks的生平及其对现代医学贡献的更多信息。

与TruSight反卷积技术的差异

Evident同时提供基于线性OSR处理的TruSight SR超分辨率技术和采用受限迭代算法的TruSight反卷积处理技术。 3

虽然受限迭代算法的反卷积具有明显的锐化效果,但其处理速度和图像质量会受到算法实现方法的显著影响。例如,点状目标较容易以高精度估算,而密集结构则很难正确估算。通过进行适当的处理(如PSF设置、算法选择和参数选择),可以提高估算图像的精度。然而,处理前后的频率特性之间的关系并不一致。因此,在对最终恢复的目标进行预测时需要非常谨慎。 4

为了获得更准确、更详细、无伪影的图像,需要巧妙地结合使用这两种方法。例如,图12(d)显示了在参数未优化的情况下进行反卷积处理的结果。虽然获得了比原始图像更清晰的图像,但部分星形图平面出现了失真现象。TruSight SR可以抑制伪影,同时还能很好地突出高频成分。当参数得到优化后,TruSight反卷积可以实现更高的分辨率,而不会造成极端的伪影现象(图13)。

图12. 星形图的模拟图像。
图13. 培养的NIH 3T3细胞。左图:原始图像。中图:经过TruSight SR 3D处理的图像(滤波强度:3.0)。右图:经过TruSight反卷积处理的图像。蓝色:细胞核;绿色:微管蛋白;红色:HSP60;灰色:纤维蛋白。样品由EnCor Biotechnology Inc.提供。使用IXplore IX85 SpinSR(SoRa转盘,投影镜头:4X)和UPLXAPO40XO(NA:1.4)物镜拍摄。比例尺:10 µm。

通过将基于精确PSF和硬件信息的高精度TruSight SR技术与参数经过优化的TruSight反卷积的高分辨率估算图像处理技术结合在一起使用,IXplore IX85 SpinSR用户可以重复提取图像中包含的必要信息。

结语

TruSight SR算法是从OSR发展而来的图像处理技术。与传统的反卷积不同,TruSight SR算法不会恢复目标的分布。不过,TruSight SR会根据共聚焦显微镜的截止频率,恢复自然的超分辨率显微镜图像。

通过采用3D处理技术,并根据图像的信噪比(SNR)灵活选择滤波强度,几乎可以在任何观察场景中获得高质量、伪影很少的图像。这有助于确保在对恢复后图像的可靠性要求很高的应用中进行适当的处理。

参考文献

  1. Yonemaru, Y. “How Olympus Super Resolution and Spinning Disk Technology Achieve Fast, Deep, and Reliable Live Cell Super Resolution Imaging”(《奥林巴斯超分辨率和转盘技术如何实现快速、深层、可靠的活细胞超分辨率成像》),EvidentScientific.com,发布日期:2025年5月13日。

  2. Hayashi, S. "Resolution Doubling Using Confocal Microscopy via Analogy with Structured Illumination Microscopy"(《通过与结构化照明显微镜的类比,使用共聚焦显微镜实现分辨率加倍》)《日本应用物理学杂志》,55,no. 8 (2016): 082501。

  3. Alvarenga, L. "Image Processing with Deconvolution"(《对图像进行反卷积处理》),EvidentScientific.com,发布日期:2025年5月13日。

  4. Lopez, J., et al. “Microscopy/Image Processing: A Deconvolution Revolution for Confocal Image Enhancement”(《显微镜/图像处理:共聚焦图像增强的反卷积创新》)《激光聚焦世界》,2019年1月2日。

作者

Shintaro Fujii

Shintaro Fujii,Evident公司高级光学部门显微成像解决方案研发组

Masahito Dohi

Masahito Dohi,Evident公司高级光学部门显微成像解决方案研发组

主打产品

Picture

IXplore IX85 SpinSR

捕捉超微细胞动态变化令人惊叹的超分辨率细节

  • 通过分辨率低至120 nm的高速成像发现更多信息
  • 专为在长时延时实验中延长细胞存活时间而设计
  • 采用Yokogawa转盘技术
  • 借助IXplore IX85平台和Evident的TruSight SR超分辨率算法增强了性能

了解更多