CKX53细胞培养显微镜

CKX53显微镜降低了细胞和组织培养工作流程的难度,从而简化了活细胞观察、细胞采样和处理、图像捕获和荧光观察等步骤。其集成式相衬系统、紧凑的人性化设计和稳定的性能使细胞观察简单而又高效。通用样品托架和可扩展载物台可适应各种类型和尺寸的细胞培养容器。

概述

CKX53

适合细胞培养的紧凑型人体工学倒置显微镜

具备更高图像质量和人体工学设计的奥林巴斯CKX53倒置显微镜可以为包括活细胞观察、细胞采样和处理、图像采集和荧光观察在内的各类细胞培养需求提供稳定的性能和舒适的工作流程。

简单的活细胞观察

集成相衬(iPC)快速细胞观察

  • 高对比度无需更换或重新调中环状光阑即可实现4x、10x、20x和40x倍率的清晰细胞观察
  • 该相衬系统有助于实现简单有效的细胞观察,让工作流程更快,更舒适

清晰、大视野高效筛选细胞

  • PLN2X物镜具备22毫米视场和11毫米直径的环状光阑,大视野可以有效筛选感兴趣的细胞
  • 2X物镜相比其他物镜具有更高对比度,因此即便样品中的透明目标也能够被清晰识别

集成相衬(iPC)系统

CKX3-SLPAS

专为超净台而设计

单手即可轻松移动

手的操作姿势轻松自然

无菌条件下的活细胞观察

较小的占地面积让小空间中的显微镜灭菌成为可能

由于具有抗紫外线涂层,CKX53显微镜可被安装在超净台上,进行紫外线灭菌。该系统重量约为7千克,相比以前的型号更轻,占地面积更小,因此占用实验室空间也更小。您单手即可移动显微镜,并可握住观察筒的颈部轻松进行搬运。底座上的滑动垫方便对其进行定位。

在超净台上轻松进行细胞采样

目镜观察点与光轴/调焦旋钮之间较短的距离方便手保持自然姿态,让对焦和细胞采样更加轻松。

高效的细胞观察和处理

兼容各种细胞培养容器

  • 通用型适配器方便轻松查看各种容器(包括培养皿、微孔板和培养瓶)中培养的细胞
  • 选配的适配器可以在载物台上安装三个35 mm培养皿
  • 无需适配器即可安放各种类型的微孔板

适合多层细胞培养瓶的观察

  • 显微镜的宽度以及便于拆卸的聚光镜让您能够方便放置并观察诸如多层细胞瓶等高度不超过190 mm的容器。
  • PLCN4X物镜的工作距离让其轻松观察到多层细胞瓶最下面两个瓶内的细胞

具备使用更大细胞培养容器的灵活性

  • 抬起适配器的固定片可以手动定位培养容器
  • 将载物台向左右扩展70毫米,可以获得更大的操作灵活性

适用各种容器

适合多层细胞瓶观察

可升降的聚光镜臂

人体工学设计

人体工学设计

舒适的观察位置

45度角目镜以及蝶形观察镜筒,无论是站立还是坐,均符合人体工学的细胞观察角度。

控制部件近在手边

所有控制部件(包括电源开关、粗调和微调对焦以及切换光路旋钮)均采用人体工学设计,操作轻松且可缓解用户疲劳。

应用技术

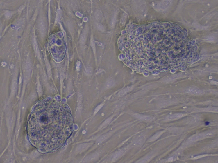
采用反向相衬(IVC)技术的3D细胞观察

IVC技术可实现比相衬更小的景深,能够对任何形状或透明度的样品呈现清晰的三维图像。IVC观察还可实现无光晕或定向阴影的清晰观察,在观察时保持样品细节的完整性。

* 本次全新IVC观察使用的是10X物镜(PLCN10X、CACHN10XIPC)。

左图:PH /右图:IVC

Clear Views with a Wide Range of Fluorescence Dyes

Comparison of with and without Umbra Shield

轻松的荧光成像

各种荧光染色的清晰观察

在配备CKX53标准荧光灯组情况下,即使微弱的荧光信号也可以被清晰观察到,荧光光源类型包括100 W汞灯(U-LH100HG)、130 W高压汞灯(U-HGLGPS)以及第三方LED *等。均可清晰观察到微弱的荧光信号。可在三个插槽上安装与IX3和BX3显微镜相同类型的滤光片。

*某些地区不可用。

明亮条件下的高对比度

环境光遮光板(Umbra Shield)可有效阻挡室内光线,增强荧光对比度,并在明亮的实验室条件下实现清晰的荧光观察。在进行相衬观察时,可以提起遮光板让光线穿过样品。

使用无线数码摄像头和平视显示系统实现更安全、更灵活的细胞培养过程

使用支持无线LAN的EP50数码摄像头时,可在组织培养室内随意移动CKX53显微镜,也可以将其放入生物安全柜内,无需担心与计算机的有线连接问题。可通过计算机、平板电脑或智能手机远程操作和保存图像。

增设平视显示系统,实现紧凑的一体化成像解决方案。整个装置可在生物安全柜中安全使用,在成像的同时保持样本无菌。

* 作为第三方产品,在某些国家/地区可能并不销售。

Achieve a Safer and More Flexible Cell Culture Process with a Wireless Digital Camera and Heads-Up Display

技术参数

显微镜镜架
CKX53SF
观察方法
荧光(蓝/绿光激发)
荧光(紫外光激发)
相衬
明场
物镜转轮
手动
标准型
内置,4孔位
目镜观察筒
宽视场(FN22)
三目镜筒
光源
透射光源
LED灯
荧光光源
100 W汞灯
导光照明
载物台
手动
普通载物台
聚光镜
手动
超长工作距离聚光镜
NA 0.3/ W.D.72 mm (内置)
共聚焦扫描振镜
-
超分辨率处理
-
配件
-
外形尺寸 (长 x 宽 x 高)
200 mm × 498 mm × 454 mm (相衬入门配置)
重量
约6.9 kg

* 直径11 mm视场2x概览快速筛选细胞。

资源

白书

产品资源