Anwendungshinweisen

Kontaktieren Sie uns

Identifizierung der Kollagenfasertypen I und III nach Färbung mit Pikro-Siriusrot im Mikroskop BX53 mit der lichtstarken und hochfarbtreuen LED von Olympus

Zur mikroskopischen Untersuchung von Kollagenfasern können die Proben mit Masson-Trichrom (MT), Elastica van Gieson (EVG) oder Elastica Masson (E-M) angefärbt werden. Eine Unterscheidung zwischen den Kollagenfasertypen I und III ist mit dieser Methode jedoch nicht möglich. In der Wirkstoffforschung ist jedoch eine Quantifizierung von Kollagenfasern erforderlich, daher ist es notwendig, zwischen den Kollagenfasertypen Ⅰ und III unterscheiden zu können. Dazu wird immer häufiger polarisiertes Licht für die Mikroskopie eingesetzt, da diese Methode bei Pikro-Siriusrot-Färbung die Unterscheidung beider Kollagenfasertypen ermöglicht.

Probleme bei der Mikroskopie von mit Pikro-Siriusrot gefärbten Kollagenfasern im polarisierten Licht

Bei dieser Methode werden die Kollagenfasern anhand der Interferenzfarbe identifiziert, so dass Tageslichtweiß als Beleuchtungsfarbe unverzichtbar ist und zudem die Lichtstärke für die visuelle Betrachtung angepasst werden muss. In der Wirkstoffforschung sollten Kollagenfasern mit Polarisationskomponenten selektiv vor einem dunklen Hintergrund nachweisbar sein.
Bei der Mikroskopie im polarisierten Licht erscheint dickes faseriges Kollagen Typ I hellgelb bis orange, dünnes Kollagen Typ III mit retikulären Fasern dagegen grün. Die häufig verwendete Halogenlampe ist durch einen ND-Filter oder die Regelung der Spannung dimmbar. Im ersten Fall kann jedoch nur schrittweise gedimmt werden (4 Stufen), so dass eine Feinsteuerung nicht möglich ist. Im zweiten Fall kann die Kollagenfaser Typ III in der Interferenzfarbe Grün nicht identifiziert werden, da die Lampe bei niedriger Lichtstärke gelb- bis orangestichig wird und der grüne Anteil reduziert ist. Dieser Effekt wird nachstehend durch die Spektrallinien demonstriert.

Probleme bei der Mikroskopie von mit Pikro-Siriusrot gefärbten Kollagenfasern im polarisierten Licht

Im Allgemeinen ist die Unterscheidung zwischen den Kollagenfasertypen I und III schwierig und dauert mit einer Halogenlampe sehr lange, was Effizienz und Genauigkeit verschlechtert. Außerdem ist die mikroskopische Visualisierung im polarisierten Licht eine Herausforderung, da sie spezielle Fähigkeiten und Kenntnisse erfordert.

Vorteile der lichtstarken LED des Mikroskops BX53

Kürzlich wurde gezeigt, dass die Beobachtung im polarisierten Licht unter Verwendung eines Mikroskops BX53 mit einer lichtstarken, hochgradig farbtreuen LED von Olympus diese Probleme effektiv löst. Die LED des Mikroskops BX53 besitzt eine Spektralkennlinie, die dem Spektrum einer 100-W-Halogenlampe (9 V) mit Tageslicht-Filter entspricht und unabhängig von der Lichtstärke ein Tageslichtweiß liefert, das die Unterscheidung der Kollagenfasertypen I und III ermöglicht. Die Erkennung im einfachen Polarisationslicht mit dem Mikroskop BX53 und dieser lichtstarken LED ermöglicht eine einfache Beobachtung und vermeidet technische Probleme.

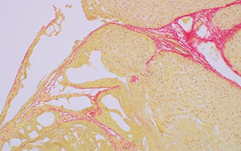
Murines Lungengewebe (angefärbt mit Pikro-Siriusrot)

Hellfeldmikroskopie

Hellfeldmikroskopie

Mikroskopie im polarisierten Licht vor schwarzem Hintergrund mit Dimmung
Die Kollagentypen I und III werden als orange bzw. grün erkannt.

Abbildung 1: Halogenlampe 100 W
Abbildung 1: Halogenlampe 100 W

Abbildung 2: Mikroskop BX53, mit lichtstarker, hochgradig farbtreuer LED
Abbildung 2: Mikroskop BX53, mit lichtstarker, hochgradig farbtreuer LED

Quantitative Auswertung von Kollagenfasern

In der Wirkstoffforschung sind die Identifizierung der einzelnen Kollagentypen und quantitative Auswertungen, beispielweise des Flächenverhältnisses, erforderlich. Olympus kann eine Komplettlösung anbieten: das Mikroskop BX53 mit der lichtstarken LED mit hoher Farbtreue von Olympus, kombiniert mit einem Bildgebungssystem. Die Kombination einer Kamera DP74 mit der Bildgebungssoftware cellSens ermöglicht die automatische Extraktion der Kollagenfasern und die Messung ihrer Flächen und ihres Verhältnisses anhand der Farbinformationen der Probenbilder.

Abbildung 3: Beispielbild*

Abbildung 3: Beispielbild*

Abbildung 4: Messergebnisse

Abbildung 4: Messergebnisse

*Rot zeigt Kollagen Typ Ⅰ, Grün zeigt Kollagen Typ III

Die lichtstarke LED für das BX53 unterstützt eine effiziente Wirkstoffforschung.

Das Mikroskop BX53 mit seiner lichtstarken und besonders farbtreuen LED liefert bei jeder Lichtstärke und unter allen Bedingungen weißes Tageslicht mit den gleichen Spektraleigenschaften wie eine 100-W-Halogenlampe, so dass die mit Pikro-Siriusrot angefärbten Kollagenfasertypen I und III identifiziert werden können. For simple polarized light observation, you will need analyzer for transmitted light (U-ANT) and polarizer (U-POT).
Ein System, in dem das Mikroskop BX53 mit seiner modernen LED-Technologie, die Digitalkamera DP74 und die Bildgebungssoftware cellSens mit der Count & Measure-Lösung kombiniert werden, kann zur genauen quantitativen Auswertung jedes Kollagenfasertyps verwendet werden. Für die Arzneimittelforschung ist dies ein wesentlicher Vorteil.

Verwendete Produkte

Halbmotorisiertes Fluoreszenzmikroskop

BX53

  • Echtfarben-LED-Beleuchtung mit hoher Lichtstärke
  • Modulares Konzept ermöglicht die Motorsteuerung einzelner Komponenten
  • Einfaches Erfassen von mehrfarbigen Fluoreszenzbildern

Mehr erfahren