6 Vorteile moderner Farbmikroskopkameras für die wissenschaftliche Bildgebung

march-2021-stephan-fliegel-banner.jpg

Stephan Fliegel

Stephan Fliegel

16 März, 2021

Die kontinuierlichen Fortschritte in der Entwicklung von Farbmikroskopkameras revolutionieren die Art und Weise, wie wir arbeiten, lehren und zusammenarbeiten. Die neuesten Produkte unserer DP-Serie – die digitalen Mikroskopkameras DP28 und DP23 – zeichnen sich beispielsweise durch eine präzise Farbwiedergabe und intelligente Funktionen aus, damit Forscher ihre Proben genau und zuverlässig auf einem Monitor analysieren können.

Lesen Sie weiter, um zu erfahren, wie diese modernen Farbkameras die Bildgebung in den Life Sciences und der klinischen Forschung verbessern.

1. Anzeige von Proben und Farbstoffen in ihren tatsächlichen Farben auf einem großen Monitor.

Die Farbe ist eine der wichtigsten Methoden zur Unterscheidung relevanter Aspekte einer Probe. Daher ist es wichtig, dass eine digitale Mikroskopkamera natürliche Farben oder Färbungen so wiedergeben kann, wie sie durch das Okular beobachtet werden.

Die Kameras DP23 und DP28 verwenden ein intelligentes Farbmanagementsystem, um eine hervorragende Farbwiedergabe zu gewährleisten. Integrierte ICC-Farbprofile bewahren subtile Farbvariationen, um Proben in ihren natürlichen Farben zu zeigen, damit Farbstoffe so aussehen, wie Sie es erwarten.

Das Farbmanagementsystem arbeitet zudem in Echtzeit, sodass die Profile im Live-Modus angewandt werden, um die bestmögliche Farbdarstellung so schnell wie möglich zu gewährleisten. Das bedeutet, dass ein Bild direkt im Live-Modus aufgenommen werden kann, ohne dass die Qualität der Farben dabei gefährdet ist.

Um noch stärker von der hervorragenden Farbwiedergabe zu profitieren, kann die Kamera DP28 oder DP23 mit unserer TruColor LED-Lichtquelle für das Mikroskop BX53 zu einem Komplettsystem kombiniert werden, das eine genaue Farbwiedergabe von der Lichtquelle bis zur Kamera bietet.

2. Untersuchung von Probendetails mit einer Bildqualität der nächsten Generation.

In der Mikroskopie ist eine höhere Auflösung (oder mehr Pixel pro Zoll) gleichbedeutend mit einem höheren Detailgrad bei der Analyse feiner Probenstrukturen.

Die Kamera DP28 bietet eine beeindruckende 4K-Auflösung (8,9 Megapixel), um feine Probendetails auch bei geringer Vergrößerung zu zeigen. Das bedeutet, dass ein einziger Schnappschuss einen Überblick über eine Probe geben und gleichzeitig genügend Details enthalten kann, damit die gewünschte Stelle durch Zoomen vergrößert werden kann, um die feinen Strukturen erkennen zu können. Eine höhere Vergrößerung des Objektivs ist also nicht erforderlich, um alle benötigten Informationen zu erhalten, sodass sich Proben effizient analysieren und präsentieren lassen.

Alternativ dazu bietet unsere Kamera DP23 eine hohe Auflösung von 6,4 Megapixeln, um Bilder mit der Detailgenauigkeit zu erfassen, die für die meisten biowissenschaftlichen und klinischen Forschungsanwendungen erforderlich ist.

3. Betrachten eines größeren Probenberereichs dank des breiteren Sehfeldes.

Ein weiteres hilfreiches Merkmal ist die Möglichkeit der Weitfeldaufnahme. Beide Kameras bieten ein großes Sehfeld (FOV) von bis zu FN25 (mit kompatiblen Mikroskopen), sodass Sie einen großen Probenbereich auf einmal untersuchen können.

Diese Weitfeldaufnahmen bleiben von der Mitte bis zum Rand scharf und ermöglichen eine effiziente Bildgebung und Analyse. Wird die Kamera mit den neuesten Optiken, z. B. unseren Hochleistungsobjektiven der X Line, die eine außergewöhnliche Bildebnung ermöglichen, und Kameraadaptern, die für ein superweites Sehfeld (FN25) ausgelegt sind, kombiniert, kann dieser Vorteil optimal genutzt werden.

4. Beobachtung von Proben in ruckelfreien Live-Bildern mit anschließender Diskussion.

Wenn für eine Zusammenarbeit, eine Präsentation oder eine Analyse ruckelfreie Live-Bilder ohne Verzerrungen auf dem Monitor benötigen werden, dann ist die Kamera DP28 die richtige Wahl.

Mit ihrem Global Shutter und der neuesten CMOS-Sensortechnologie bietet sie ein ausgewogenes Verhältnis zwischen hohen Frameraten und Auflösung. Bilder werden in 4K-Auflösung mit 32 Frames pro Sekunde (fps) oder in Full HD-Live mit bis zu 64 fps (der maximale Framerate, die ein Standardmonitor anzeigen kann) dargestellt. Das Ergebnis sind fließende Bewegungen selbst auf großen Bildschirmen, genau wie beim Blick durch das Okular.

Die Kamera DP23 bietet ebenfalls eine hohe Framerate für ruckelfreie Live-Bilder. Hochauflösende Bilder lassen sich mit 30 fps oder mit Full HD und 60 fps aufnehmen.

5. Effiziente Zusammenarbeit bei lokalen oder entfernten Diskussionen.

Fernunterricht ist aufgrund der derzeit geltenden Abstandsmaßnahmen in Labors mittlerweile weit verbreitet. Daher ist es wichtig, eine Möglichkeit zu haben, Bilder auszutauschen und ein Publikum virtuell einzubeziehen. Die Kameras DP23 und DP28 umfassen intuitive Tools für die Zusammenarbeit und lebensechte Bilder, sodass Wissenschaftler oder Studenten standortunabhängig an Diskussionen teilnehmen können.

Alle wichtigen Daten – Bilder, Anmerkungen und Live-Messungen – können lokal oder online mit der cellSens Software und der NetCam-Lösung angezeigt oder dank der optionalen Funktion zur Bildfreigabe des Kamerakontrollmoduls mit anderen geteilt werden.

Diese Tools für die Zusammenarbeit erleichtern die Diskussion und den Austausch flüssiger Live-Bilder. Die Daten werden dank der integrierten Netzwerksicherheitsprotokolle wie NIST und DSGVO sowie der optionalen Verwendung von Antivirenprogrammen sicher ausgetauscht.

6. Einfach einzurichtende und zu bedienende Kameras ermöglichen schnelleren Arbeitsbegin.

Die Kameras DP23 und DP28 lassen sich einfach einrichten, sodass die Arbeit schnell aufgenommen werden kann. Ein separates Netzteil ist nicht erforderlich – das Kamerakabel wird einfach an den USB 3.1-Anschluss des Computers angeschlossen. Die Kamera ist in kürzester Zeit für die Bildgebung betriebsbereit.

Die Wahl zwischen einem eigenständigen Modul, das Platz spart, oder der Integratoin in die cellSens-Software, um von zusätzlichen Funktionen zu profitieren, erhöht die Flexibilität. Beide Optionen verfügen über eine intuitive Benutzeroberfläche, die den Bildaufnahmeprozess vereinfacht. In den meisten Fällen lassen sich Bilder mit einem einzigen Klick erfassen, was einen effizienten Arbeitsablauf gewährleistet.

Die Kameras nutzen die Automatisierung, um Einstellungen in Echtzeit zu optimieren. Intelligenten Funktionen wie die Folgenden sorgen für eine einfache Aufnahme:

Olympus Smart Image Averaging (OSIA): Reduziert Rauschen und eliminiert Artefakte bei gleichzeitig hoher Framerate

Rauschunterdrückung durch Bildmittelwertbildung in digitalen Mikroskopkameras

Ohne OSIA (links) vs. mit OSIA (rechts)

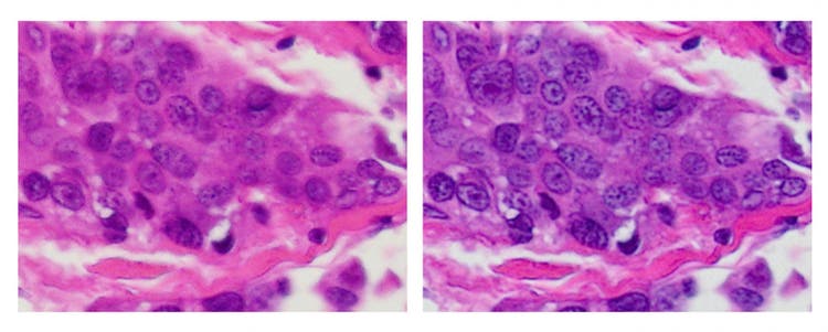
Focus Peaking Technologie: Einfachere Erkennung der fokussierten Bereiche der Probe; eine visuelle Fokussierungshilfe zeigt fokussierte Bereiche farbig und nicht fokussierte Bereiche grau überlagert auf dem Live-Bild an und ist besonders hilfreich bei der Betrachtung dicker Proben

Fokus Peaking in Mikroskopkameras

Ohne Fokus Peaking (links) vs. mit Fokus Peaking (rechts)

Hochkontrastmodus: Passt die Belichtungszeit und Kontrasteinstellungen an ein höheres Signal-Rausch-Verhältnis an – eine nützliche Funktion für die Aufnahme klarer Bilder von dunklen Proben in der Polarisations- und Fluoreszenzmikroskopie

Bildgebung von dunklen Proben mit hohem Kontrast

Aufnahme klarer Bilder von dunklen Proben mit dem Hochkontrastmodus

Fast Live: Sorgt für eine gleichbleibend hohe Framerate auch bei Langzeitbelichtungen und liefert gleichmäßige Bilder beim Scannen von Proben unter schlechten Lichtverhältnissen

Ruckelfreie Live-Bildgebung in der Mikroskopie

Ohne Fast Live (links) vs. mit Fast Live (rechts)

DP28 oder DP23: Welche Kamera ist die richtige für Ihre Anwendung?

Nachdem Sie die Vorteile kennen, fragen Sie sich vielleicht, welche Kamera die richtige für Ihre Anwendung ist.

Wir empfehlen, die Funktionen der Kameras zu vergleichen und zu prüfen, inwieweit sie jeweiligen spezifischen Anwendungsanforderungen erfüllen:

  1. Auflösung: Die DP28 ist die richtige Wahl für Anwendungen, die eine höhere Auflösung benötigen. Sie bietet eine 4K-Auflösung (8,9 Megapixel) für eine effiziente Zusammenarbeit und Betrachtung. Die DP23 hingegen bietet eine hohe Auflösung von 6,4 Megapixeln, die für die meisten Anwendungen ausreichend ist.
  2. Live-Bilder: Wenn ruckelfreie Live-Bilder ohne Verzerrungen benötigt werden, ist unsere Kamera DP28 mit Global Shutter eine gute Wahl. Ansonsten liefert die DP23 mit Rolling Shutter flüssige Live-Bilder mit den für die meisten Anwendungen erforderlichen Details.
  3. Empfindlichkeit: Die DP28 bietet eine höhere Empfindlichkeit für Fluoreszenzanwendungen als die DP23.

Wenn Sie sich immer noch nicht sicher sind, nutzen Sie unsere Online-Kamera-Auswahlhilfe, um die Optionen abzuwägen, oder wenden Sie sich an uns und chatten Sie mit einem Experten für die Bildgebung. Wir helfen Ihnen gerne weiter!

Stephan Fliegel

Stephan Fliegel

Product Manager, Light Microscope Cameras

Stephan Fliegel schloss sein Studium der physikalischen Technik mit dem Schwerpunkt Laseranwendungstechnik 2007 an der Fachhochschule Münster ab. Zunächst arbeitete er als Application Specialist, dann als Product und Project Manager im Bereich Industrielaser mit Schwerpunkt auf der Auslegung, Entwicklung und Planung von kundenspezifischen Lasersystemen. Zurzeit ist er Product Manager für Lichtmikroskopkameras bei Evident.