Lernen Sie die preisgekrönten Mikroskopkameras DP28 und DP23 kennen

august-2021-kerry-israel-banner.jpg

Kerry Israel

Kerry Israel

17 August, 2021

Unsere digitalen Mikroskopkameras DP28 und DP23* verfügen über neue und nützliche Funktionen für die Anwendung im klinischen Bereich und ermöglichen damit eine Verbesserung der Patientenversorgung. Aus diesem Grund wurden sie nun von einem Komitee aus Ärzten und anderen Gesundheitsexperten mit dem Premier Innovation Award ausgezeichnet. Ausschlaggebend für die Verleihung dieser prestigeträchtigen Auszeichnung waren unter anderem folgende Funktionen.

Logo der Premier Innovation Awards

Digitale Mikroskopkamera DP28 von Olympus

Digitale Mikroskopkamera DP23 von Olympus

Die preisgekrönten digitalen Mikroskopkameras DP28 (links) und DP23 (rechts).

Vernetzungsfähig – wichtig für das Labor der Zukunft

In unserer veränderten Welt brauchen die Forscher vernetzungsfähige Geräte, um auch außerhalb des Labors effizient zu arbeiten und mit anderen zu kommunizieren. Die DP28 und DP23 bieten fortschrittliche Konnektivität, so dass alle wichtigen Bildgebungsdaten – einschließlich Bildern, Anmerkungen und Live-Messungen – lokal oder remote mit der cellSens-Software und der NetCam-Lösung angezeigt oder mithilfe der Funktion zur Remote-Bildfreigabe des separaten DP Kamerakontrollmoduls mit anderen geteilt werden können. Dies ermöglicht die problemlose Besprechung mit Kollegen und die einfache Weitergabe von Live-Bildern in Full-HD.

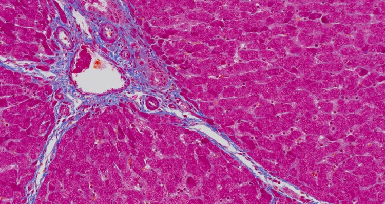
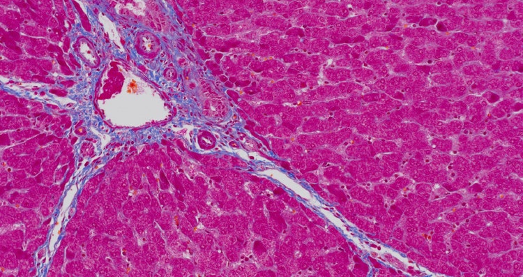
Mikroskopaufnahme einer gefärbten Schweineleber, aufgenommen mit der Kamera DP28.

Schweineleber, aufgenommen mit der Kamera DP28.

Leistungsstark für Forschung und Routineaufgaben

Konnektivität nützt nichts, wenn Sie nicht die Bilder aufnehmen können, die Sie benötigten. Mit unseren Kameras DP28 und DP23 möchten wir Ihnen die Möglichkeit geben, zwischen einem Modell mit 4K-Ultra-High-Definition-Bildqualität und einem Modell mit einer ausgewogenen 6,4-Megapixel-Auflösung und einer Bildrate von 45 Frames pro Sekunde (fps) zu wählen. Beide Kameras verfügen über dieselben intelligenten, zeitsparenden Funktionen, die für eine bequeme und einfache Handhabung sorgen.

Die Kameras bieten zudem ein großes Sehfeld von bis zu FN25 und liefern eine außergewöhnliche Farbgenauigkeit, die bei der Arbeit mit gefärbten Proben besonders wichtig ist. Die intelligenten Funktionen wie die OSIA-Funktion (Olympus Smart Imaging Averaging) zur Rauschunterdrückung durch intelligente Bildmittelung, die gleichzeitig eine hohe Framerate beibehält und Artefakte eliminiert, um klare Bilder zu erzeugen, oder der High Contrast Modus zur gut erkennbaren Darstellung dunkler Proben oder das Fokus Peaking zur übersichtlichen Darstellung der sich im Fokus befindlichen Probenbereiche ermöglichen die problemlose Aufnahme von Bildern hoher Qualität.

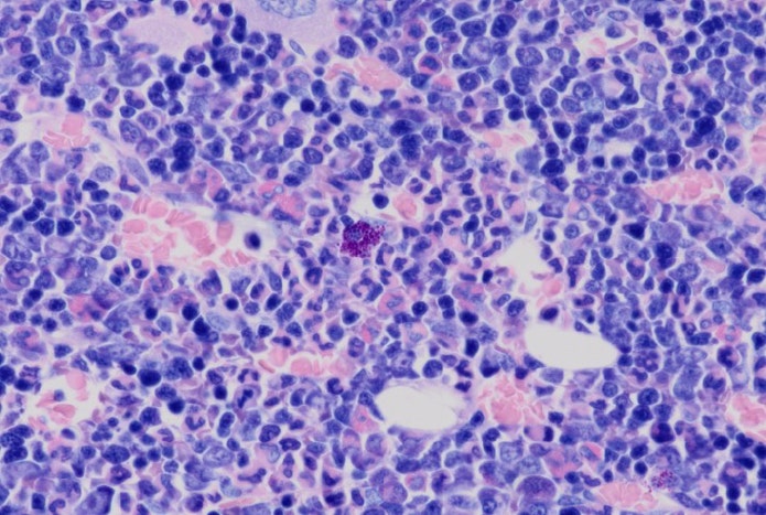
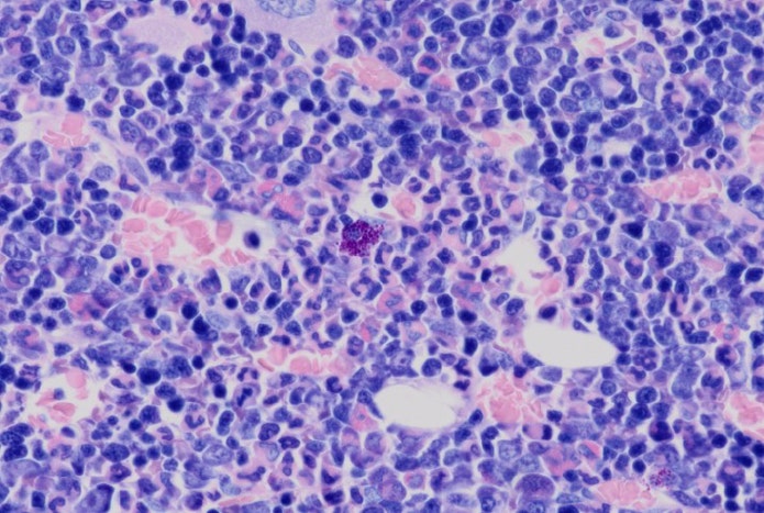
Mikroskopaufnahme vom Knochenmark einer Ratte, aufgenommen mit der Kamera DP23.

Knochenmark einer Ratte, aufgenommen mit der Kamera DP23.

Wir fühlen uns geehrt, dass die Kameras DP28 und DP23 mit dem renommierten Premier Innovation Award ausgezeichnet wurden. Unser Dank gilt den Ärzten und anderen Gesundheitsexperten, die die Kameras ausgewählt haben, sowie unseren Kunden für ihre kontinuierliche Unterstützung.

Die Kameras sind nicht für die klinische Diagnostik bestimmt.

Kerry Israel

Kerry Israel

Manager, Marketing Communications

Kerry Israel is the Manager of Marketing and Communications for Life Science at Evident. She has a Bachelor of Arts degree from Brandeis University, and more than 15 years of experience in all aspects of marketing, from advertising and social media strategy to grassroots outreach.