Postmortale histologische Kunstwerke erwecken den Tod zum Leben

october-2023-rebecca-chandler-banner.jpg

Rebecca Chandler

Rebecca Chandler

31 Oktober, 2023

Wie sieht der Tod unter dem Mikroskop aus? Wir sprachen mit Rechtsmedizinerin Dr. Marianne Hamel, um das herauszufinden.

Dr. Hamel arbeitet als forensische Pathologin in Pennsylvania und New Jersey und stellt zurzeit in Zusammenarbeit mit ihrer Kreativpartnerin, Nikki Johnson, einer forensischen Fotografin aus New York City, eine Sammlung postmortaler histologischer Bilder mit dem Titel „Death Under Glass“ in der Stedman Gallery an der Rutgers University in Camden, New Jersey, aus.

Diese Bilder bieten einen seltenen Einblick in die menschliche Anatomie nach dem Tod – und sind überraschend schön. Aus den einzelnen Proben werden zunächst extrem dünne Schnitte hergestellt, die anschließend mit verschiedenen Farbstoffen gefärbt werden, um bestimmte Elemente der subzellulären Struktur hervorzuheben. So lassen sich die Auswirkungen von Krankheiten, Traumata oder Drogenmissbrauch auf den Körper veranschaulichen. Einige Bilder in der Sammlung sind diagnostisch und dienen Rechtsmedizinern zur Bestimmung der Todesursache; andere sind einfach nur schön und veranschaulichen das komplexe Zusammenspiel von Geweben im menschlichen Körper. Dr. Hamel zeigt ihre mikroskopischen Bilder postmortaler Gewebe nicht nur in der Galerie, sondern auch auf Instagram unter @deathunderglass.

In einem Interview mit Dr. Hamel wollten wir mehr über ihre postmortalen histologischen Kunstwerke erfahren. Im Mittelpunkt steht dabei ihre spezielle Sicht der Welt als forensische Pathologin, und wie Mikroskope diese postmortalen Bilder zum Leben erwecken.

Dr. Marianne Hamel, forensische Pathologin

Frage: Können Sie uns das Aufgabengebiet einer forensischen Pathologin und den Unterschied zu anderen medizinischen Fachgebieten kurz erklären?

Dr. Hamel: Der größte Unterschied zwischen der forensischen Pathologie und anderen medizinischen Fachrichtungen ist, dass man nicht am lebenden Patienten arbeitet, höchstens in Ausnahmefällen.

Als forensische Pathologin ist es meine Aufgabe, die Ursache und die Art des Todes von Menschen festzustellen, die gewaltsam, auf verdächtige Weise, nicht unter ärztlicher Betreuung oder unter anderen Umständen zu Tode gekommen sind und dies eine rechtsmedizinische Untersuchung erfordert. Dazu führe ich Obduktionen durch.

Am meisten interessiert mich dabei, warum und unter welchen Umständen die Person gestorben ist. Das ist so, als wollte man nur anhand des letzten Aktes herausfinden, was davor in dem Theaterstück passiert ist. Man muss also ein guter Detektiv sein. Für alle, die neugierig sind und gerne Rätsel lösen, ist dieser Job gut geeignet. Man muss mit den Händen arbeiten und mit unvollständigen Informationen leben können.

Der Beruf eignet sich auch für solche, die Langeweile hassen – was zu 100 Prozent auf mich zutrifft. Meine Arbeit sieht jeden Tag anders aus. An manchen Tagen obduziere ich, schaue mir alte, noch nicht aufgeklärte Fälle an, beschäftige mich mit der Histologie oder führe gelegentlich eine Untersuchung durch. Zudem überprüfe ich zivil- und strafrechtliche Fälle für Anwälte. Für alle, die viel Abwechslung in ihrem Job brauchen, ist die Rechtsmedizin genau das Richtige. Man braucht natürlich auch einen starken Magen, aber das ist ein anderes Thema.

Frage: Wer oder was hat Sie dazu gebracht, forensische Pathologin zu werden?

Dr. Hamel: Ich war vierzehn, als ich beschloss, Pathologin zu werden. Meine Schwester beschloss mit 12 Jahren, dass sie Zahnärztin werden wollte, und sie wurde es auch. Wir haben also beide recht früh einen Beruf gewählt, bei dem wir auch geblieben sind.

Mit 19 bekam ich nach meinem ersten Jahr am College Gelegenheit für ein Praktikum beim örtlichen Rechtsmediziner, Dr. Isidore Mihalakis, der für einen Teil von Pennsylvania zuständig war. Er war großartig. Ich durfte ihn den ganzen Sommer über begleiten. Wir gingen zu den Behörden und zu den Gerichten, trafen uns mit den Familien und wurden zu Tatorten gerufen. Ich hielt Reagenzgläser, reinigte Skalpellgriffe und erledigte noch allerlei sonstige Aufgaben. Es war eine großartige Erfahrung.

Danach habe ich Medizin studiert. Vom ersten Tag an wollte ich Rechtsmedizinerin werden. Das hat sich bis zum letzten Tag des Studiums nicht geändert. Für mich kam nie eine andere Fachrichtung in Frage. Mein großes Ziel war es immer, Fachärztin für Pathologie zu werden.

Frage: Wie setzen Sie die Mikroskopie in Ihrer täglichen Arbeit ein?

Dr. Hamel: In der chirurgischen Pathologie bzw. bei der Auswertung von Biopsien und Gewebeproben von lebenden Patienten, steht die Diagnosestellung im Vordergrund. Häufig werden die Proben auf Krebs untersucht.

Das ist nicht das, was mich vordergründig interessiert. Ich bin eher auf der Suche nach allen möglichen Dingen. Einige Diagnosen in der forensischen Pathologie sind nur mithilfe der Mikroskopie möglich. So kann beispielsweise eine Myokarditis – eine Entzündung des Herzmuskels – einen unerwarteten plötzlichen Tod verursachen, für den es außer dem histologischen Befund keine weiteren Spuren gibt. Ein weiteres Beispiel ist eine Frostschutzmittelvergiftung, die fächerförmige Kristalle in den Nieren hinterlässt, die man unter polarisiertem Licht sehen kann. Es gibt also eine Reihe von Diagnosen in der forensischen Pathologie, für die man ein Mikroskop braucht. Die Arbeit am Mikroskop macht mir sehr viel Spaß.

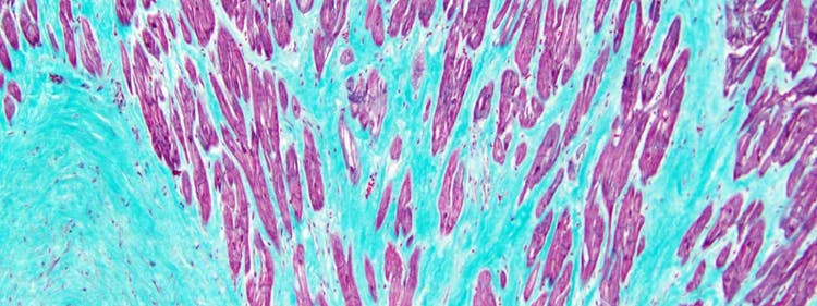
Trichromfärbung des Herzens unter dem Mikroskop

Schnitt durch ein geschädigtes menschliches Herz nach Trichromfärbung. Blaue Bereiche sind Narbengewebe. Rote Bereiche sind lebensfähige Zellen. Aufgenommen mit einem Olympus BX43 Mikroskop und einer DP26 Kamera. Bildquelle: Dr. Marianne Hamel.

Frage: Welche Arten von Mikroskopen kommen in Ihrem Labor normalerweise zum Einsatz?

Dr. Hamel: Ich untersuche alle meine Objektträger selbst, weil mein Olympus BX43 Mikroskop so gut ist, und ich benutze Polarisation. Zudem verlasse ich mich sehr darauf, dass der Histologe gute Spezialfärbungen durchführt. Die Histologie ist eine Kombination aus Kunst und Wissenschaft, die bei weitem nicht genügend Anerkennung bekommt. Wenn Sie einen guten Histologen haben, sollten Sie ihn oder sie mit Geld und Lob überschütten und nie wieder gehen lassen, denn Sie werden so schnell keinen Ersatz finden.

Zum Bearbeiten und Speichern meiner Bilder verwende ich die Olympus cellSens Software. Bilder, die für die Ausstellung vorgesehen sind, schicken wir an eine Spezialdruckerei in New York City und lassen sie auf Aluminium drucken.

Frage: Hatten Sie schon einmal einen Fall, bei dessen Aufklärung ein Mikroskop eine entscheidende Rolle spielte?

Dr. Hamel: Vor nicht allzu langer Zeit hatte ich den Fall einer Frau mit einem Drogenproblem. Sie wurde positiv auf Methamphetamin getestet. Als ich mir jedoch einen Querschnitt einer ihrer Koronararterien ansah, konnte ich einen Defekt erkennen. Tatsächlich lag ein Riss in der Innenwand der Arterie vor, durch den ein zweiter Blutflusskanal entstanden war, und der normale Kanal hatte sich verschlossen.

Ihre eigentliche Todesursache war also keine Methamphetamin-Vergiftung. Das wäre mir nicht aufgefallen, wenn ich diese Koronararterie nicht mikroskopisch untersucht hätte.

Frage: Wie hat sich die Mikroskopietechnik im Laufe Ihrer Karriere entwickelt und wie hat sie Ihre Arbeit beeinflusst?

Dr. Hamel: Aufnahmen alter Mikroskop-Objektträger und Abbildungen in alten Lehrbüchern sind meistens schwarz-weiß. Sie sehen aus, als wären sie aus der Ferne durch einen Nebel hindurch aufgenommen worden. Das lag aber nicht am Mikroskopiker, sondern an der damaligen Technologie, die einfach begrenzt war.

Die Auswertung von Objektträgern ist wie das Erlernen einer anderen Sprache. Der Pathologe spielt insofern eine wichtige Rolle, als er das Gewebe für andere Ärzte interpretiert, damit diese eine Diagnose stellen und eine geeignete Behandlung anbieten können. Dazu müssen Sie Hunderttausende von Objektträgern zusammen mit einem anderen Pathologen anschauen, der Ihnen helfen kann, diese Sprache zu lernen.

Pentachrom-Färbung eines Blutgefäßes unter dem Mikroskop

Schnitt durch eine normale menschliche Arterie mit Movat Pentachrom-Färbung, bei der fünf verschiedene Farbstoffe verwendet werden, um verschiedene Aspekte der subzellulären Anatomie hervorzuheben. So erscheinen beispielsweise die elastischen Fasern in der Arterienwand, die dem Blutgefäß Festigkeit und Elastizität verleihen, bei einer Pentachrom-Färbung schwarz. Aufgenommen mit einem Olympus BX43 Mikroskop und einer DP26 Kamera. Bildquelle: Dr. Marianne Hamel.

Frage: Arbeiten Sie als forensische Pathologin mit anderen Fachleuten zusammen?

Dr. Hamel: Wir führen in fast jedem Fall eine toxikologische Untersuchung durch. Insbesondere angesichts der aktuellen Fentanyl-Krise in den USA spielt die Toxikologie eine enorm große Rolle. Toxikologen habe eine äußerst schwierige Aufgabe. Es ist, als ob sie ein Flugzeug in der Luft bauen müssten, da die Fentanyl-Epidemie ständig ein anderes Bild annimmt. Der Zufall wollte es, dass meine Karriere genau zu dem Zeitpunkt begann, als auch die Opioid-Krise ihren Anfang nahm. Seit 12 Jahren beobachte ich also in Echtzeit, wie sich die Epidemie verändert.

Manchmal ziehen wir einen Anthropologen hinzu. Hin und wieder haben wir einen Fall mit partieller oder vollständiger Skelettierung. Bestimmt vier oder fünf Mal im Jahr frage ich daher einen Knochenspezialisten um Rat. Diese sind ebenso unglaublich wichtig. Wie ich schon erwähnte, arbeite ich häufig mit Histologen zusammen. Jeder Fall ist speziell, und deshalb sage ich auch, dass bei mir jeder Tag etwas anderes bringt. Ich muss meine Vorgehensweise an jeden Fall anpassen.

Frage: Ist diese Zusammenarbeit mit anderen Fachleuten auch in Ihre Kunst eingeflossen?

Dr. Hamel: In gewissem Maß schon. Andere Pathologen haben mir beispielsweise Objektträger geschickt und gesagt: „Das ist wirklich schön. Das sollten Sie sich ansehen.“ Einige davon habe ich für die Ausstellung verwendet, was einfach großartig ist und von den Kolleginnen und Kollegen sehr großzügig war.

Frage: Wann wurde Ihnen klar, dass Ihre Arbeit auch als Kunst betrachtet werden kann? Wie sind Sie darauf gekommen?

Dr. Hamel: Als Praktikantin zeigte ich Nikki Johnson, meiner heutigen Kreativpartnerin, einige der Ansichten durch das Mikroskop und meinte zu ihr: „Es wäre so schön, wenn auch andere Leute das hier sehen könnten.“ Sie schaute sich es an und sagte dann: „Wenn du es schaffst, diese Bilder aufzunehmen, reicht die Auflösung aus, um sie zu vergrößern und echte Kunst daraus zu machen.“ So haben wir es dann auch gemacht.

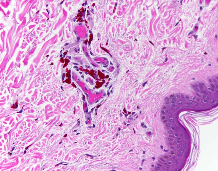
Rotes Tätowierungspigment unter dem Mikroskop

Schnitt durch tätowierte menschliche Haut. Einzelne Pigmentkörnchen sind unter starker Vergrößerung in der Dermis, der tiefen Schicht der Haut, sichtbar. Auch schwarze, blaue und goldene Pigmentkörnchen sind unter dem Mikroskop erkennbar. Aufgenommen mit einem Olympus BX43 Mikroskop und einer DP26 Kamera. Bildquelle: Dr. Marianne Hamel.

Frage: Was bedeutet es für Sie, dass Ihre Arbeiten in einer Galerie ausgestellt werden?

Dr. Hamel: Es ist ein wenig surreal, meine Arbeit an einem öffentlichen Ort zu sehen. Ich vergesse oft, dass die Ausstellungen in Galerien öffentlich sind. Die Leute kommen auf mich zu und sagen: „Ich habe Ihre Ausstellung gesehen.“ Dann denke ich: „Wirklich?“ Aber es stimmt ja, jeder kann sie sich anschauen.

Es ist toll zu sehen, wie eine Idee Wirklichkeit wird. Jake Foster, der Manager der Stedman Gallery, hat die Ausstellung wunderschön arrangiert. Neben den aufgehängten eigentlichen Drucken haben wir hochauflösende Projektionen an der Rückwand platziert. Bei den Projektionen handelt es sich um Bilder, die wir nicht gedruckt haben, aber trotzdem zeigen wollten. Es gibt etwa 25 dieser Bilder, sodass es wirklich gut dazu passt.

Frage: Was möchten Sie den Betrachtern Ihrer Arbeit mit Ihren Bildern vermitteln?

Dr. Hamel: Ein spannender Aspekt auf diesem Gebiet ist die forensische Genealogie, die mit diesem Projekt aber eher weniger zu tun hat. Unter forensischer Genealogie versteht man die Nutzung genetischer Untersuchungen zur Identifizierung eines Verdächtigen oder Opfers in einem kritischen Fall. So kann es beispielsweise sein, dass die Probe des Täters nicht in einer Datenbank gespeichert ist, wohl aber die seiner Angehörigen. In der Genealogie können Verwandtschaften und Familienstammbäume verwendet werden, um den Kreis der Verdächtigen auf einige wenige Personen oder gar auf eine einzelne Person einzugrenzen. Das war früher nicht möglich. Wenn jemand nicht in der Datenbank war, hatten wir Pech.

Die forensische Genealogie ist ein unglaublich starkes Werkzeug. In letzter Zeit wurden damit einige Fälle gelöst, von denen ich dachte, sie seien unlösbar. Ich bin sehr gespannt, wie sich dieser Fachbereich weiterentwickelt, und hoffe auf weitere Fortschritte, da ich einige ungelöste Fälle habe, die bisher nicht aufgeklärt werden konnten. Ich rechne fest damit, dass ich in den nächsten Jahren als Zeugin vorgeladen werde, weil es gelungen ist, einen Täter zu verhaften.

Frage: Hat Ihnen Ihre Erfahrung mit der Kunst geholfen, Ihre mikroskopischen Erkenntnisse vor Gericht oder einem nicht-wissenschaftlichen Publikum zu präsentieren?

Dr. Hamel: Man wird besser darin, Erkenntnisse in verständlicher Sprache zu vermitteln. Das ist auf jeden Fall hilfreich. Was ich den Leuten immer zu erklären versuche, ist, dass die Histologie eigentlich ein künstliches Konstrukt ist. Menschliches Gewebe ohne Färbung ist transparent. Daher ist das Bild, das wir am Ende sehen, kein natürliches Bild, sondern eines, für das wir bestimmte Hilfsmittel eingesetzt werden. Damit das Kunstpublikum diesen Sachverhalt versteht, musste ich mich allgemein verständlich ausdrücken – genauso wie vor Gericht gegenüber den Geschworenen.

Man hält im Zeugenstand quasi einen kleinen Vortrag über diesen kleinen Bereich der forensischen Wissenschaft, über den wir heute sprechen. Wenn Ihre Antwort länger als drei Wörter ist, ist sie weniger für den Staatsanwalt oder den Verteidiger, sondern vielmehr für die Geschworenen bestimmt. Man merkt dann sehr schnell, ob sie das Gesagte verstehen. Wenn man die Karotis als die Ader am Hals beschreibt, an der man den Puls prüft, und sechs der Geschworenen ihren Hals berühren, weiß man, dass sie zuhören. Das Schreiben für ein nicht-wissenschaftliches Kunstpublikum hat auch meine Kommunikation mit den Laien in der Jury verbessert.

Frage: Haben Sie einen Rat für jemanden, der eine Karriere in der forensischen Pathologie anstrebt?

Dr. Hamel: Erstens: Wenn Sie Histologe werden möchten, zögern Sie nicht, sondern lassen Sie sich sofort ausbilden – wir brauchen Sie dringend! Es gibt nur sehr wenige fähige Histologen. Da die Nachfrage nach forensischen Untersuchungen steigt, brauchen wir immer mehr forensische Pathologen. Es ist zwar ein langer Weg dorthin, aber es lohnt sich wirklich. Klar, man braucht schon ein ziemlich dickes Fell, und es wird immer Leute geben, die Ihre Arbeit kritisieren. Im Gegensatz zu anderen Fachärzten bekommen Sie kein Dankeschön von Ihren Patienten. Trotzdem finde ich die Arbeit und die damit verbundene intellektuelle Disziplin sehr lohnend.

Menschliches Gewebe mit Amyloidose unter dem Mikroskop

Schnitt durch menschliches Gewebe mit Kongorot-Spezialfärbung unter polarisiertem Licht zur Erkennung des Vorhandenseins von Amyloid. Amyloidose, eine Krankheit, bei der sich Proteine unnatürlicherweise im menschlichen Gewebe ablagern, leuchtet unter polarisiertem Licht apfelgrün. Aufgenommen mit einem Olympus BX43 Mikroskop und einer DP26 Kamera. Bildquelle: Dr. Marianne Hamel.

Frage: Haben Sie einen Rat für forensische Pathologen, die ihre Arbeit mit Kunst verknüpfen möchten?

Dr. Hamel: Schicken Sie mir Ihre Objektträger!

Frage: Hat die Präsentation Ihrer Arbeit auf Instagram das Interesse an der forensischen Pathologie gesteigert?

Dr. Hamel: Ich habe den Instagram-Account @deathunderglass nun schon seit acht Jahren, und das Interesse der Menschen an der forensischen Wissenschaft ist unglaublich groß. Sie sind sehr treue Follower.

Ich gebe Ihnen ein Beispiel. Ich habe eine Buchliste für meine Praktikanten im Montgomery County Office erstellt. Eine Liste von 15 forensischen oder forensikbezogenen Büchern, die ich für gut halte. Nicht alle waren populärwissenschaftliche Bücher, sondern es waren auch hochwissenschaftliche Lehrbücher dabei. Davon habe ich einige im Account aufgeführt und erwähnt, dass ich die gesamte Liste auf Anfrage per E-Mail zur Verfügung stelle. Ich hatte mit 20 oder 30 E-Mails gerechnet. Doch als ich am nächsten Morgen aufwachte und 400 E-Mails in meinem Posteingang fand, wurde mir klar, dass ich das Interesse ernsthaft unterschätzt hatte.

Frage: Gibt es noch etwas, das Sie über die forensische Wissenschaft erzählen möchten?

Dr. Hamel: Zurzeit gibt es eine Bewegung, die unsere Vorstellung vom Tod von negativen Aspekten befreien möchte. In manchen Kreisen heißt es, man solle sich niemals die menschliche Anatomie ansehen und so tun, als würden Menschen nicht sterben. In meinem gesamten Berufsleben habe ich stets darauf hingewiesen, dass wir alle irgendwann sterben werden. Bis jetzt liege ich nicht falsch! Unsere Sterbensrate liegt bei 100 Prozent.

Es ist wichtig, dass wir darüber sprechen, was wir im Sektionssaal tun. Einige ältere Rechtsmediziner sind der Ansicht, dass wir unsere Arbeit geheim halten und auf keinen Fall darüber sprechen sollten, weil wir mit Leichen, Sektionen und ähnlichen Dingen zu tun haben. Doch ich bin nicht dieser Meinung.

Ich glaube, dass ich einen wertvollen Dienst für die Öffentlichkeit leiste. Die Menschen in meinem Fachbereich arbeiten unglaublich hart, erhalten aber wenig Anerkennung. Ich spreche nicht nur von forensischen Pathologen, sondern auch von Obduktionsassistenten, Toxikologen und Menschen, die Identifizierungen durchführen.

Sie alle leisten Enormes und verdienen ein Lob. Wir müssen uns klar machen, dass es immer auch jemanden geben muss, der nach der Obduktion die Leiche wieder zusammennäht und den Sektionssaal sauber macht. Solche Dinge erledigen sich nicht von Zauberhand. Diese Leute arbeiten hart, sie machen ihre Arbeit wirklich gut, und ich verlasse mich jeden Tag auf sie.

Rebecca Chandler

Rebecca Chandler

Autorin

Rebecca hat einen Bachelor-Abschluss in Journalismus vom Endicott College und schreibt über Trends und Technologien in Wissenschaft und Industrie. Sie arbeitet eng mit Ingenieuren und Wissenschaftlern von Evident zusammen, um Artikel über die neuesten Laserscanning-Systeme, High-Resolution-Systeme, Multiphotonen-Systeme, aufrechten Mikroskope, Stereo-Mikroskope und inversen Mikroskopsysteme sowie über modernste Optiken, Kameras und Software zu verfassen. Bleiben Sie auf dem Laufenden über ihre Arbeit, um mehr über die neuesten Entwicklungen bei Evident für zahlreiche Anwendungen zu erfahren, darunter Zytologie, Pathologie, Bildung usw.