Bilddigitalisierung kompletter Objektträger und künstliche Intelligenz (KI) beschleunigen die Befundung von Lupus-Nephritis

Lupus-Nephritis (LN) ist eine chronisch-entzündliche Nierenerkrankung, die häufig (40–60 %) bei Menschen mit systemischem Lupus erythematodes (SLE) auftritt.1 Bei bis zu 30 % der Patienten mit LN kommt es letztendlich zu einem Nierenversagen, danach ist nur noch eine Dialyse oder eine Nierentransplantation möglich. Ein Ziel in der Forschung zu Lupus ist es, den Prozess der Identifizierung und Beurteilung von Gewebeproben auf LN zu beschleunigen, um die Möglichkeiten einer Früherkennung zu erhöhen und die Krankheitsprognose zu verbessern.

Wei Juan Wong

Wei Juan Wong

8 December, 2022

Herausforderungen bei der Beurteilung von Gewebeproben bei Lupus-Nephritis (LN)

LN verursacht unterschiedliche Läsionen, die Anzeichen für eine Gewebeschädigung sind. Sie sind bei der Betrachtung von Nierenbiopsieproben unter dem Lichtmikroskop zu erkennen. Das Klassifikationssystem der International Society of Nephrology (ISN)/Renal Pathological Society (RPS) ermöglicht eine Befundung und adäquate Einstufung der LN. Pathologen verwenden dieses Klassifikationssystem, um das Stadium der Krankheit zu bestimmen.

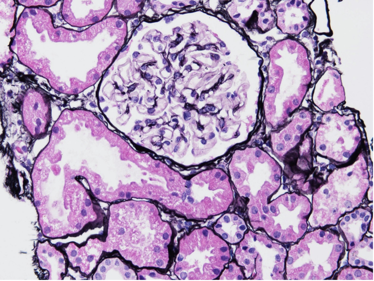
Abbildung 1 zeigt beispielsweise Nierenproben von Patienten mit LN der Klasse I im Frühstadium ohne signifikante glomeruläre Veränderungen im Vergleich zu gesunden Probanden. 2

Abbildung 1: Biopsie einer Niere mit LN der Klasse I, gefärbt mit Silberfärbung nach Jonas.

Abbildung 1: Biopsie einer Niere mit LN der Klasse I, gefärbt mit Silberfärbung nach Jonas.

Abbildung 2 zeigt Proben von Patienten mit LN der Klasse V im fortgeschrittenen Stadium mit diffusen Löchern (blauer Pfeil) und kleine Ausbuchtungen (roter Pfeil) entlang der glomerulären Basalmembranen.3

Abbildung 3: Workflow des MRPS-Modells für die pathologische Befundung mit Deep Learning.

Abbildung 3: Workflow des MRPS-Modells für die pathologische Befundung mit Deep Learning.

Dr. Shen und ein Team von Wissenschaftlern verwendeten die SLIDEVIEW VS200 Objektträgerscannereinheit zur digitalen, hochauflösenden Erfassung von 199 Objektträgern mit Nierengewebeschnitten von Mäusen mit und ohne LN nach Färbung mittels Periodsäure-Schiff-Reaktion. Die Bilder wurden in fünf verschiedene Kategorien unterteilt, wonach Mäuse ohne LN die Bewertung 0 und Mäuse mit schwerer LN die Bewertung 4 erhielten. Diese Bilder wurden in einen Trainingssatz und einen Validierungssatz unterteilt.

Durch die manuelle Markierung von Glomeruli bzw. glomerulären Zellen war es möglich, mithilfe der TruAI Deep Learning Technologie zwei neuronale Netze aus dem Trainingssatz zu generieren: ein glomeruläres und ein zelluläres neuronales Netz.

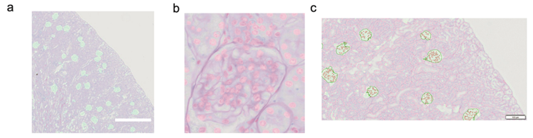
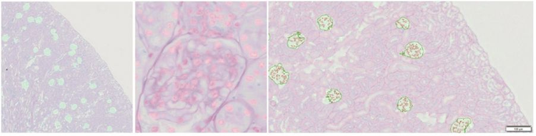
Die neuronalen Netze wurden dann auf den Validierungssatz angewendet, um mehrere glomeruläre und zelluläre Merkmale aus jedem Bild zu extrahieren (Abbildung 4).4

Abbildung 4: Anwendung der trainierten neuronalen Netze auf ein repräsentatives Validierungsbild. a. Alle Glomeruli sind blaugrün dargestellt. b. Alle renalen Zellkerne sind magenta dargestellt. c.) In dem Bereich von Interesse wurden die identifizierten Glomeruli und renalen Zellkerne gemessen. Das glomeruläre neuronale Netz bestimmte einen Bereich von Interesse für die Zählung. In diesem Bereich wiederum wurden alle Zellkerne von dem zellulären neuronalen Netz gezählt.

Abbildung 4: Anwendung der trainierten neuronalen Netze auf ein repräsentatives Validierungsbild. a. Alle Glomeruli sind blaugrün dargestellt. b. Alle renalen Zellkerne sind magenta dargestellt. c.) In dem Bereich von Interesse wurden die identifizierten Glomeruli und renalen Zellkerne gemessen. Das glomeruläre neuronale Netz bestimmte einen Bereich von Interesse für die Zählung. In diesem Bereich wiederum wurden alle Zellkerne von dem zellulären neuronalen Netz gezählt.

T Der Umfang, der Formfaktor, der minimale Innendurchmesser, der minimale Durchmesser und die Anzahl Objekte in jedem Merkmal sind unabhängige Prädiktoren, die Aufschluss über die Schwere der LN geben. Basierend auf den oben genannten Parametern wurde ein Bewertungsmodell für die Befundung entwickelt, das gut mit der Befundung durch die Wissenschaftler selbst korrelierte.

Das Potenzial von TruAI Deep Learning zur Unterstützung der Bildanalyse

Diese Studie zeigt, dass eine reproduzierbare Analyse pathologischer Proben mit hohem Durchsatz mit Deep Learning Technologie möglich ist. Dies ist eine wertvolle Erkenntnis im Hinblick auf die Analysen zur Bilddigitalisierung kompletter Objektträger mit hohem Durchsatz in der Grundlagenforschung. Deep Learning kann auch auf andere Modelle und Krankheiten angewendet werden. Überdies könnte es den zeitlichen Aufwand bei wissenschaftlichen Analysen erheblich reduzieren und die quantitative Genauigkeit bei der Analyse erhöhen.

Danksagung:

Dr. Shen Luping für die Verfassung der ersten Version dieses Artikels, veröffentlicht in: Make it Evident丨TruAI 加速狼疮肾炎病理学诊断 (qq.com).

Wei Juan Wong

Wei Juan Wong

Senior Product Specialist bei Olympus Singapore

Hallo! Mein Name ist Wei Juan Wong und ich bin Product Specialist für Produkte im klinischen Bereich und der Forschung. Ich habe einen Abschluss in Physik und Erfahrung mit der Arbeit in einem biophysikalischen Forschungslabor und mit der Mikroskopie. Seit 2018 bin ich Product Specialist im Bereich Life Science bei Olympus Singapore. Ich unterstütze Kunden bei der Anwendung und bin für das Schulungsprogramm für Vertriebshändler in der Region Südostasien verantwortlich.