Imaging kompletter Objektträger mit Ölimmersionsmedium: Häufig gestellte Fragen (FAQs)

april-2021-dr-daniel-göttel-banner.jpg

Dr. Daniel Göttel

Dr. Daniel Göttel

1 April, 2021

Unsere Objektträger-Scannereinheit SLIDEVIEW VS200 für die Forschung ist bekannt für ihre leistungsstarken Funktionen, die hochauflösende digitale Bilder von kompletten Glasobjektträgern erfassen.

Dank eines optionalen Flüssigkeitsspenders und hochauflösender Öl- oder Silikonölimmersionsobjektive kann das System über die Standardfunktionen hinaus auch für die Arbeit mit Immersionsmedien genutzt werden. Diese Funktionen helfen, Bildauflösung und -qualität zu maximieren.

Neugierig, wie es funktioniert? Hier finden Sie Antworten auf häufig gestellte Fragen zum Imaging kompletter Objektträger mit Immersionsmedium.

Wie funktioniert der Flüssigkeitsspender VS200?

Die Objektträger-Scannereinheit dosiert mit einer Druckluftpumpe ein definiertes Tröpfchenvolumen auf die Objektträgeroberfläche. Die Anzahl der abgegebenen Tropfen ist dynamisch abhängig vom aktuellen Scanbereich. Die Tropfen werden über einen Fotodioden-Tropfenzähler im Inneren des Spenderkopfes gezählt.

Diese dynamische Flüssigkeitsabgabe der VS200-Systeme ist einzigartig und trägt dazu bei, dass nur die benötigte Menge an Immersionsmedium auf den Objektträger gelangt und das Immersionsmedium nicht vom Objektträger in den Scanner tropft.

Um den Flüssigkeitsspender in Aktion zu sehen, schauen Sie sich das kurze Video unten an.

Wie verbessert das Ölimmersionsmedium die Bildqualität von Objektträgern?

Die Ölimmersionsmikroskopie erhöht den Brechungsindex eines Präparats und steigert damit die optische Auflösung und Bildqualität. Objektträger, die für Ölimmersionstechniken präpariert wurden, funktionieren am besten bei höherer Vergrößerung, da Öle die Brechung trotz kurzer Brennweiten erhöhen.

Welche Arten von Ölimmersionsobjektiven können mit der Objektträger-Scannereinheit VS200 verwendet werden?

Für die Ölimmersion in der Hellfeld- und Fluoreszenzbildgebung sind drei X Line Objektive erhältlich: Die erweiterten apochromatischen UPLXAPO Ölimmersionsobjektive für 40X, 60X und 100X .

Wie werden die verschiedenen Vergrößerungen beim Imaging kompletter Objektträger verwendet?

Die 40X-Vergrößerung sorgt für ein großes Sichtfeld und verkürzt damit den Scanvorgang, während die Objektive mit hoher Vergrößerung (60X und 100X) mehr Details bei geringerer Scangeschwindigkeit abbilden.

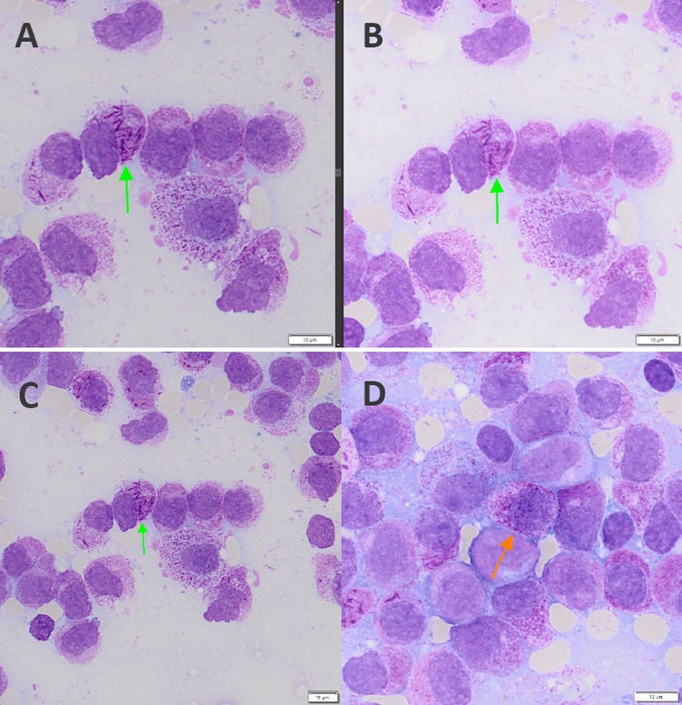
Hier ist ein Beispiel aus der Praxis, wie diese Vergrößerungen verwendet werden. Wir scannten eine Probe aus dem peripheren Blut (Abbildung 1 unten) eines Patienten mit akuter promyelozytärer Leukämie (APL) mit einem UPLXAPO Ölimmersionsobjektiv mit 40X und einer NA von 1,4 (Abbildung 2, A und C) und mit einem UPLXAPO Ölimmersionsobjektiv mit 60X und einer NA von 1,42 (Abbildung 2, B und D).

Imaging eines kompletten Objektträgers mit einer Probe aus dem peripheren Blut

Abbildung 1: Probe aus dem peripheren Blut eines Patienten mit akuter promyelozytärer Leukämie, gescannt mit dem Objektträger-Scannereinheit VS200 für die Forschung. Bilder mit freundlicher Genehmigung von Jana Kirsten, Institut für Klinische Chemie und Laboratoriumsmedizin am Universitätsklinikum Regensburg.

Bei dieser Anwendung zeigt das periphere Blut die neoplastischen Promyelozyten mit bilobierten Kernen oder extremen Granula (Abbildung 2, oranger Pfeil). Diese neoplastischen Promyelozyten finden sich auch im Knochenmark, ebenso wie myeloische Blastenzellen mit ganzen Bündeln von Auerstäbchen (grüner Pfeil in A, B und C). Auf diese sollte bei einem Verdacht auf APL geachtet werden.

Imaging eines kompletten Objektträgers mit myeloischen Blastenzellen und Auerstäbchen

Abbildung 2: (A) Myeloische Blastenzelle mit Auerstäbchen, aufgenommen bei 40-facher Vergrößerung, digital 60-fach vergrößert. (B) Dieselbe Blastenzelle, aufgenommen bei 60-facher Vergrößerung in nativer Auflösung. (C) Gleiches Bild wie A, aber mit nativer 40-facher Auflösung. (D) Blastenzelle mit Granula bei 60-facher Vergrößerung.

Anschließend Bestätigung der promyelozytären Leukämie (PML) durch den Nachweis einer reziproken Translokation t(t15; 17) durch FISH. Als Folge dieser strukturellen Chromosomenveränderung kommt es zu einer Fusion zweier Gene auf Chromosom 15 (PML) und Chromosom 17 (Retinsäure-Rezeptor alpha [RARα]). Patienten, die an PML leiden, können mit all-trans-Retinsäure (ATRA) behandelt werden.

Der Vergleich von Bild A (40X) mit B (60X) in Abbildung 2 zeigt den Vorteil des UPLXAPO Ölimmersionsobjektivs mit 40X und einer NA von 1,4, da die Auerstäbchen und Granula bei dieser niedrigeren Vergrößerung noch deutlich sichtbar sind. Außerdem war die Scanzeit mit dem 40X-Objektiv um 50 % kürzer als mit dem 60X-Objektiv (Scanzeit für einen Bereich von 1 × 1 cm: 40X = 4:40 Minuten, 60X = 10:30 Minuten).

Wie verbessern X-Line Objektive die Abbildung kompletter Objektträger?

Alle X-Line Objektive bieten:

Welche Arten von Silikonölimmersionsobjektiven können mit der Objektträger-Scannereinheit VS200 verwendet werden?

Für Silikonölimmersionsmedium sind drei Optionen erhältlich: UPLSAPO Superapochromat-Silikonölobjektive mit 40X, 60X und 100X .

Welchen Vorteil haben Silikonölimmersionsobjektive beim Imaging kompletter Objektträger?

Silikonölimmersionsobjektive besitzen sowohl eine hohe numerische Apertur als auch einen großen Arbeitsabstand und ermöglichen so eine stabile, hochauflösende Abbildung über lange Zeit, die von Temperaturschwankungen unbeeinflusst bleibt.

Dr. Daniel Göttel

Dr. Daniel Göttel

Sales Support Manager

Daniel Göttel promovierte in Humangenetik am Deutschen Krebsforschungszentrum in Heidelberg, Deutschland. Er war viele Jahre lang als Anwendungsspezialist für virtuelle Objektträgerscannersysteme tätig und hat sich auf diesem Gebiet umfassendes praktisches Wissen angeeignet. Derzeit ist Daniel Göttel Sales Support Manager für den SLIDEVIEW VS200 Objektträgerscanner für die Forschung und für Net Image Server (NIS) SQL bei Evident.