Bildergalerie Aufgenommen mit dem digitalen

Bildgebungssystem APX100

Kontakt

Das digitale Bildgebungssystem APEXVIEW APX100 unterstützt viele verschiedene Mikroskopieverfahren. Die einfach anzuwendenden, komfortablen Funktionen und die intuitive Software ermöglichen eine effizientere Ausführung verschiedener Forschungsanwendungen, ohne Kompromisse bei der Bildqualität einzugehen.

Diese Galerie zeigt Anwendungsbeispiele, die mit dem digitalen Bildgebungssystem APX100 aufgenommen wurden. Bei anwendungsbezogenen Fragen stehen wir gerne zur Verfügung.

Mehrkanal-Fluoreszenz

Mehrkanal-Fluoreszenz

  • Betrachten Sie Proben mit mehreren Färbungen und in Kombination mit anderen Bildgebungsverfahren wie Phasenkontrast oder Gradientenkontrast.
  • Bis zu acht Fluoreszenzmodule ermöglichen unterschiedliche Versuchsanordnungen.
  • Mit der automatischen Einstellung der Belichtungszeit und des Z-Offsets für jeden Kanal lassen sich in kürzester Zeit Bilder unter optimalen Bedingungen aufnehmen.
  • Die zusammengeführten Bilder werden übersichtlich angezeigt, sodass jede Aufnahme Ihren Standards entspricht.

BPAE-Zellen. Färbung: Maus-Anti-α-Tubulin, BODIPY FL Ziege-Anti-Maus-IgG, Texasrot-X-Phalloidin, DAPI.

Mit 5 Fluorochromfarbstoffen markiertes Kleinhirn einer Ratte

Einfache Aufnahme von Mehrkanal-Fluoreszenzbildern mit Wellenlängen von UV bis NIR.

Verwendete Färbungen: Hoechst (blau), GFAP (grün), MAP2 (orange), Calbindin (rot), MBP (magenta).

Objektiv: UPLXAPO4X

Mit 5 Fluorochromfarbstoffen markiertes Kleinhirn einer Ratte
Stitching

Stitching

  • Sie können ganze Gewebeproben aufnehmen oder den Status von Zellkulturen in Flaschen über große Bereiche schnell und mit hoher Auflösung beurteilen.
  • Durch das hochpräzise Stitching sind die Übergänge zwischen den Bildern sowohl im Hellfeld- als auch im Fluoreszenz-Aufnahmemodus nahezu unsichtbar.
  • Selbst schräg stehende oder unebene Proben werden sauber zusammengefügt.

Mauslunge, aufgenommen mit dem UPLXAPO4X Objektiv. Färbung: HE.

Z-Stapel

  • Bei dicken Proben können Sie mehrere Bilder in Z-Richtung aufnehmen.
  • So werden mit nur wenigen Klicks vollständig fokussierte Bilder erstellt.
  • Durch TruSight 3D-Dekonvolution sind die Bilder scharf und verzerrungsfrei.

Subzelluläre Lokalisierung von Kendrin/Perizentrin, Zentrosomenprotein. Bildquelle: Kazuhiko Matsuo, Ph.D., Division of Developmental Biology and Anatomy, Department of Anatomy, Kyoto Prefectural University of Medicine.

Z-Stapel

Zeitraffer-Bildgebung

https://adobeassets.evidentscientific.com/content/dam/video/image/landing-directory/apexview-image/HAEC_02.mp4

Scratch-Test

Zeitraffer-Bildgebung von Endothelzellen der menschlichen Aorta (HAEC) (2 Tage) eines Scratch-Tests.
Bildquelle: Dr. Kazutaka Ueda, Department of Cardiovascular Medicine, The University of Tokyo Hospital.

https://adobeassets.evidentscientific.com/content/dam/video/image/landing-directory/abbelight/Timelpse.mp4

Befruchtete Eizelle einer Maus

4-Stunden-Zeitraffer-Untersuchung der befruchteten Eizelle einer Maus.

Antioxidative Wirkung in Mitochondrien

Mitochondrien, die durch Zugabe von H2O2 oxidiert wurden (erhöhte Intensität), wurden danach durch die antioxidative Wirkung reduziert (geringere Intensität).

  • Zelle: HeLa-Zelle
  • Markierung: OxiORANGE
  • Objektiv: UPLXAPO40X
  • Zeitintervall: 3 Minuten
  • Dauer: 1 Stunde

Intensitätsprofil

Intensitätsprofil

Mehrfarben-Bildgebung der RBL-2H3-Zellmigration

Drei behandelte RBL-2H3-Zellarten wurden gemischt, und ihr Migrationszustand wurde mittels mehrfarbiger Zeitrafferaufnahmen beobachtet. Bei jeder Behandlung wiesen die Zellen laut Tracking-Analyse eine ähnliche Migration auf.

https://adobeassets.evidentscientific.com/content/dam/video/image/landing-directory/apexview-image/movie_multicolor-imaging-of-migrating-RBL-2H3-cells.mp4
  • Zelle: RBL-2H3-Zellen
  • Markierung: DiO (grün), DiI (gelb), DiD (rot)
  • Objektiv: UPLXAPO20X
  • Intervalldauer: 30 Minuten
  • Dauer: 18 Stunden

Tracking-Länge: (durchschnittlich) μm

Tracking-Länge: (durchschnittlich) μm

Fluoreszenz-Bildgebung

Fluoreszenz-in-situ-Hybridisierung (FISH) Probe
Anwendungsbild der Kolokalisierung von NeuN und γ-H2AX in einem Affenhirn
Haselpollen

Fluoreszenz-in-situ-Hybridisierung (FISH) Probe

Aufgenommen mit einem UPLXAPO60XO X Line Objektiv.

Kolokalisierung von NeuN und γ-H2AX in einem Affenhirn

Färbung: Immunzytochemie.

Bildquelle: Rui Han, Lab of Professor Xiaojiang-Li, Guangdong-HongKong-Macau Institute of CNS Regeneration, Jinan University.

Haselpollen

Autofluoreszenz, aufgenommen mit einem UPLXAPO60X Öl-Objektiv. Verarbeitet mit TruSight Dekonvolution.

Anwendungsbild der Brustdrüse einer Maus
Anwendungsbild von Tubulin und Zellkern von BSC-1-Zellen
Anwendungsbild eines gereinigten HeLa-Zellsphäroids

Brustdrüse einer ausgewachsenen Maus (Krt14/Krt8)

Färbung: Immunzytochemie.

Bildquelle: Chunye Liu, Labor von Prof. Yi Zeng, Center of Excellence in Molecular Cell Science, CAS.

Tubulin und Zellkern von BSC-1-Zellen

Färbung: Immunzytochemie, Weiß: Zellkern, Zyan: Tubulin.

Gereinigtes HeLa-Zellsphäroid

Färbung: Immunzytochemie, Blau: DAPI, Zellkern, Grün: AF488, Ki67, Rot: AF555, Aktin.

Anwendungsbild von Ptk2-Zellen
Anwendungsbild eines Rattenhirns im Querschnitt
Anwendungsbild einer Mausniere

Ptk2-Zellen

Färbung: DAPI, Mitotracker Red, Acti-Stain 488.

Rattenhirn im Querschnitt

Färbung: Hoechst, RPCA-NF-L-ct und MCA-7D5.

Mausniere

Alexa Fluor 488 WGA, Alexa Fluor 568 Phalloidin, DAPI.

Hellfeld-Bildgebung

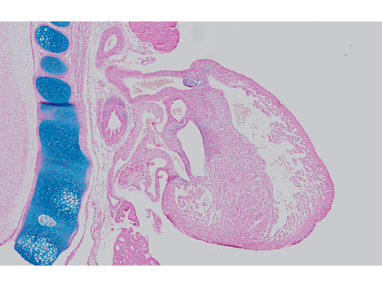
Anwendungsbild eines mit Alcianblau und Nuclear Fast Red gefärbten E15.5-Mausembryos
Anwendungsbild einer Adenom-Gewebeprobe
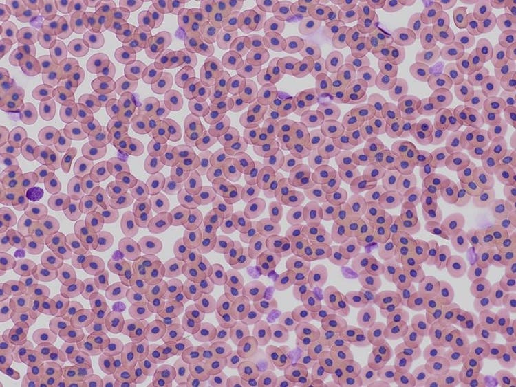
Anwendungsbild von Xenopus-Blutzellen

Mit Alcianblau und Nuclear Fast Red gefärbter E15.5-Mausembryo

Bildquelle: 1.2.Naoki Takeshita, MD, 1.Kenta Yashiro Professor, MD, Ph.D., 1.Division of Developmental Biology and Anatomy, Department of Anatomy und 2.Department of Pediatrics, Graduate School of Medical Science, Kyoto Prefectural University of Medicine.

Adenom-Gewebeprobe

Zusammengesetztes Hellfeldbild, aufgenommen mit einem LUCPLFLN40XPH-Objektiv. Bildquelle: Deutsches Krebsforschungszentrum, DKFZ.,

Xenopus-Blutzellen

Färbung: HE.

Anwendungsbild einer Maisstammzelle
Cyp26b1-Expressionsmuster im E9.5-Mausembryo nach In-situ-Hybridisierung eines Whole-Mount-Präparats.
Anwendungsbild eines reifen Embryos des Hirtentäschelkrauts (Capsella)

Maisstammzelle

Färbung: Safranin-Methylblau.

Cyp26b1-Expressionsmuster im E9.5-Mausembryo nach In-situ-Hybridisierung eines Whole-Mount-Präparats

Bildquelle: 1.2.Naoki Takeshita, MD, 1.Kenta Yashiro Professor, MD, Ph.D., 1.Division of Developmental Biology and Anatomy, Department of Anatomy und 2.Department of Pediatrics, Graduate School of Medical Science, Kyoto Prefectural University of Medicine.

Reifer Embryo des Hirtentäschelkrauts (Capsella)

Färbung: Trichrom.

Gradientenkontrast: Sehen Sie Ihre Probe in neuem Licht

Gradientenkontrast: Sehen Sie Ihre Probe in neuem Licht

  • Anwendbar mit jedem Olympus Objektiv.
  • Weniger Beeinträchtigung durch Meniskus, Behälterdeckel und Wassertropfen.
  • Kann mit Schalen mit Glas- und Kunststoffboden und Multiwell-Platten verwendet werden.
  • Die Bildgebung ist auch durch Kunststoffdeckel von Petrischalen und Multiwell-Platten möglich, was das Verunreinigungsrisiko verringert.

Expression von membrantransloziertem mCherry in HEK293T-Zellen. Bildquelle: Rie Saba, Ph.D., Division of Developmental Biology and Anatomy, Department of Anatomy, Kyoto Prefectural University of Medicine.

Mit Gradientenkontrast aufgenommene Bilder

Proben mit Gradientenkontrast

Rattenhirn

Probe mit Gradientenkontrast: HEK-293-Zellen

HEK-293-Zellen

Probe mit Gradientenkontrast: Rattenhoden

Rattenhoden

Probe mit Gradientenkontrast: Mausniere

Mausniere