Pathologie und Labor X Line Hochleistungsobjektive und das aufrechte BX53 Mikroskop

Kontakt

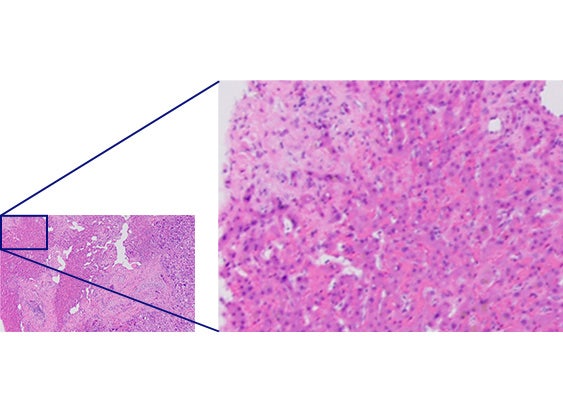
Vergleich der Auflösung

Vergleich der Auflösung

Konventionelle Objektive X Line

Einheitliche Qualität von der Mitte bis zum Rand

Eine bessere Ebenheit erzeugt Bilder mit gleichbleibend hoher Qualität von der Mitte bis zum Rand. Durch die hohe numerische Apertur (NA) können die Objektive mehr Licht für hellere Bilder mit höherer Auflösung sammeln. Durch Paarung von X Line Objektiven mit einem BX53 Mikroskop kann die Gesamtqualität der Bilder erheblich besser werden.

Weitere Informationen über das BX53

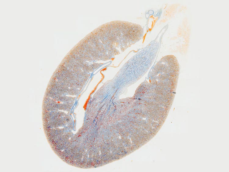
Effizientes Stitching von Bildern

Durch Stitching können Sie Bilder ganzer Gewebeschnitte erstellen. Wenn die Bildebenheit schlecht ist, kann jedoch das zusammengefügte Bild verschwommen sein und „Patchwork“-Artefakte enthalten. Die X Line Objektive liefern einheitlich ebene Bilder von der Mitte bis zum Rand, sodass Sie gleichartige, hochauflösende Bilder für das Stitching aufnehmen können. Sie können auch ein großes zusammengesetztes Bild aus einer geringeren Anzahl von Bildern als zuvor erstellen. Dies erhöht die Effizienz und spart Zeit.

Erstellt mit der MIA-Funktion („Multiple Image Alignment“)

FISH-Beobachtung

Bessere Bilder für die klinische Forschung

Bessere Ebenheit, hohe numerische Apertur und gute chromatische Aberration ergeben klare, hochauflösende Bilder mit hervorragender Farbwiedergabe. Die bessere chromatische Aberration der Objektive ermöglicht eine bessere Farbgenauigkeit im gesamten Spektrum. Durch die Beseitigung von violetten Farbfehlern werden klare Weiß- und kräftige Pinktöne erzeugt und so Kontrast sowie Schärfe verbessert. Durch die chromatische Aberrationskorrektur in einem breiten Wellenlängenbereich (400 bis 1000 nm) können Sie während der Fluoreszenzbeobachtung hochauflösende Mehrfarbenbilder, z.B. FISH, aufnehmen.

Ähnliche Produkte

BX53 Upright Microscope

Aufrechtes BX53 Mikroskop

  • Hohe Lichtstärke mit LED-Beleuchtung in natürlichen Farben
  • Modulares Konzept ermöglicht Motorsteuerung individueller Komponenten
  • Problemlos mehrfarbige Fluoreszenzbilder erfassen

Erfahren Sie mehr

BX63 Upright Microscope

  • Das vollständig motorgesteuerte System ermöglicht die Automatisierung komplexer mehrdimensionaler Experimente
  • Genauer motorgesteuerter Z-Antrieb
  • Höchste Stabilität dank fest angebrachtem Tisch

Erfahren Sie mehr

View larger image: U-FLLED LED Illumination System Image 1 of 1

U-FLLED

Eine kompakte LED-Lichtquelle für die Direktmontage, speziell für routinemäßige Fluoreszenzbildgebung an manuellen und halbmotorischen Mikroskopen Dank passiver, lüfterloser Kühlung und modularen Anregungskanälen liefert U-FLLED eine stabile, gleichmäßige Beleuchtung für fixierte Proben und Routineanwendungen, ohne das System zu verkomplizieren.

  • LED-Beleuchtung zur Direktmontage für integrierte Mikroskopsysteme
  • Modulare Anregungskanäle für häufig verwendete Fluorophore
  • Geräuscharmer, lüfterloser Betrieb für RoutineFluoreszenzbildgebung

Erfahren Sie mehr