Bilddigitalisierung kompletter Objektträger

X Line Hochleistungsobjektive und der SLIDEVIEW VS200 Scannereinheit für die Forschung

Kontakt

Verbesserte Bildqualität

Bessere Ebenheit, hohe numerische Apertur und gute chromatische Aberrationskorrektur ergeben klare, hochauflösende Bilder mit hervorragender Farbwiedergabe. Klare Betrachtung wichtiger Bewertungsfaktoren, wie Gewebefärbung, Zellmorphologie und Mikropartikel im Zellkern.

Exceptional Stitching Accuracy

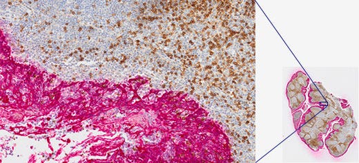
Tonsille CD3 (rm), ImmPRESS Reagenz (HRP) Anti-Maus-IgG Immpact DAB (braun), AE1/AE3(m) ImmPRESS (AP) (HRP) Anti-Kaninchen-IgG Immpact Vector Red (rot). Gegenfärbung mit Hämatoxylin QS (blau).
Bildquelle: Vector Labs.

Genaue Stitching-Funktion

Erweiterte Planität verbessert die Genauigkeit zusammengefügter Bilder zwischen benachbarten Sichtfeldern. Die mit der VS200 Scannereinheit erfassten, hochaufgelösten, digitalen Objektträgerbilder können daher nahtlos und ohne Unebenheiten sowie unter Beibehaltung des genauen Fokus von Makro zu Mikro zusammengefügt werden.

Hervorragende Mehrkanal-Bildgebung

Breite chromatische Aberrationskorrektur von 400–1000 nm ermöglicht genauere überlagerte Fluoreszenzbilder mit unterschiedlichen Wellenlängen. Es können auch mehr als vier Kanäle von Objektträgern mit hochwertigen Fluoreszenzbildern bei hoher Geschwindigkeit erfasst werden.

Exceptional Color Accuracy

Lungengewebe, dargestellt mit einer VS200 Scannereinheit bei 20X Vergrößerung, Färbung mit einem Ultivue PD-L1 Multiplex-Kit; DAPI: nukleäre Gegenfärbung, FITC: CD8, TRITC: CD68, Cy5: PD-L1, Cy7: panCK.
Bildquelle: Ultivue Inc.

Ähnliche Produkte

VS200

VS200

  • Hervorragende Bildqualität zur Quantifizierung
  • Flexibilität zum Einsatz in verschiedenen Anwendungen
  • Mehr erreichen – in kürzerer Zeit
  • Vereinfachter und effizienter Arbeitsablauf

Erfahren Sie mehr

Die VS200 Scannereinheit ist nicht für die klinische Diagnostik vorgesehen.