Klinische Forschung

Unsere ergonomischen Produkte für die klinische Forschung besitzen Objektive der Spitzenklassen. Daher eignen sich unsere aufrechten Mikroskope für tägliche Routineanwendungen. Von der Pathologie bis zur Zytologie bieten die Mikroskope von Olympus eine hervorragende optische Leistung, optimiert für klinische Laboruntersuchungen.

Anwendung auswählen

Live Super Resolutions Imaging

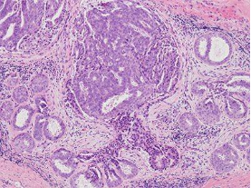
Pathologie und Zytologie

Mehr anzeigen

Klinische Laboruntersuchungen

Klinische Laboruntersuchungen

Mehr anzeigen

Konferenzen

Konferenzen

Mehr anzeigen

IVF/ICSI

IVF/ICSI

Mehr anzeigen