Application Notes

Contact Us

Identifying Collagen Fiber Types I and III Stained with Picrosirius Red Using the BX53 Microscope Equipped with Olympus’ High Luminosity and High Color Rendering LED

To observe collagen fibers, samples can be stained with Masson trichrome (MT), Elastica van Gieson (EVG), or Elastica Masson (E-M); however, distinction between collagen fiber types I and III is not possible with this method. In drug discovery research, quantitative evaluation of the collagen fibers is required, so it is necessary to be able to distinguish between collagen fiber typesⅠand III. Researchers in this field are turning their attention to polarized light observation of collagen fibers stained with Picrosirius Red because this method allows the required distinction between the two fiber types.

Problems with Polarized Light Observation of Collagen Fibers Stained with Picrosirius Red

In this method, collagen fibers are identified by interference color, so daylight white is indispensable as an illumination color, and light intensity adjustment is also required for visual observation. In drug discovery research, collagen fibers containing polarization components should be selectively detected against a dark background.
In polarized light observation, thick fibrous collagen type I appears as bright yellow to orange, while thin collagen type III containing reticular fiber appears green. A commonly used halogen lamp is dimmable by using a ND filter or controlling the voltage. In the former case, however, dimming can only be done in a stepwise fashion (4 steps) meaning that fine control is impossible. In the latter case, the collagen fiber type III in the interference color of green cannot be identified because the color component of the lamp in yellow to orange is stronger than that of green under the low intensity light. This effect is demonstrated in the spectral characteristics below.

Problems with Polarized Light Observation of Collagen Fibers Stained with Picrosirius Red

In general, distinguishing between collagen fiber types I and III is difficult and takes a long time with a halogen lamp, resulting in low efficiency and accuracy. Furthermore, to perform microscopic visualization using polarized light observation is a challenge as it requires special skills and knowledge.

Advantages of the BX53 Microscope’s High Luminosity LED

Recently, it has been shown that simple polarized light observation using a BX53 microscope equipped with Olympus’ high luminosity and high color rendering LED is effective in resolving these problems. Designed with spectral characteristics that mimic a 100 W halogen lamp (9 V) using a Light Blue Daylight (LBD) filter and provide consistent daylight white color at any light intensity, the BX53 microscope’s LED enables the distinction between collagen fiber types I and III. Detection with simple polarized light observation using the BX53 microscope and this high luminosity LED enables easy observation and helps prevent technical problems.

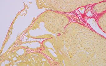
Mouse Lung Tissue (Stained with Picrosirius Red)

Brightfield observation

Brightfield observation

Polarized light observation against a black background using dimming
Collagen types I and III are detected in orange and green, respectively.

Figure 1: 100 W Halogen Lamp
Figure 1: 100 W Halogen Lamp

Figure 2: BX53 microscope equipped with the high luminosity and high color rendering LED
Figure 2: BX53 microscope equipped with the high luminosity and high color rendering LED

Quantitative Evaluation of Collagen Fibers

In drug discovery research, identification of each collagen type and quantitative evaluations such as ratio of area are required. Olympus can provide a complete solution by pairing the BX53 microscope equipped with Olympus’ high luminosity and high color rendering LED with an imaging system. Using a DP74 camera in conjunction with cellSens imaging software enables automatic extraction of the collagen fibers and measurement of their areas and their ratio based on the color information of the sample images.

Figure 3: Sample image*

Figure 3: Sample image*

Figure 4: Measurement results

Figure 4: Measurement results

*Red shows collagen type Ⅰ, Green shows collagen type III

The BX53 High Luminosity LED Supports Efficient Drug Discovery Research

The BX53 microscope equipped with its high luminosity and high color rendering LED provides consistent daylight white color at any light intensity and with the spectral characteristics equivalent to a 100 W halogen lamp, enabling the identification of collagen fiber types I and III stained with Picrosirius Red by simple polarized light observation. For simple polarized light observation, you will need analyzer for transmitted light (U-ANT) and polarizer (U-POT).
A system that combines the BX53 microscope with its advanced LED technology, the DP74 digital camera, and cellSens imaging software with the Count & Measure solution can be used to perform accurate quantitative evaluation of each collagen fiber type, which is an essential function for drug discovery research.

Semi-Motorized Fluorescence Microscope

BX53

  • High-luminosity True Color LED illumination
  • Modular concept enables individual components to be motorized
  • Easily acquire multi-color fluorescence images

Learn More