Application Notes

Contact Us

Facilitating Malaria Research with a Battery-Powered Microscope Illumination Solution

Evident’s Customized Solutions team can co-create solutions with you to solve specific microscopy problems or enhance the functions of our standard microscopes. Here, we demonstrate how we provide capability beyond the conventional by supporting microscopy training in remote locations.

Challenges Malaria Research Laboratories Face in Sub-Saharan Africa

It is estimated that there were over 240 million cases of malaria worldwide, causing 627,000 deaths (statistics from 2020). Approximately 95% of these deaths were in Africa.1

To reduce the severity of the illness in patients and prevent the spread of the mosquito-borne disease, malaria should be treated as soon as possible. In areas badly affected by malaria, it is recommended that the disease be treated within 24 hours.2 To efficiently and accurately identify parasites that cause malaria, the lab personnel evaluating the samples need have sufficient training. Furthermore, if malaria is suspected but not correctly evaluated, then patients with other illnesses may not be treated appropriately. Therefore, having trained health-workers in the right locations is vital in the fight against malaria.

1. Need for Rapid Evaluation of Malaria Parasites

To identify malaria parasites using a microscope, first the microscopist stains the drop of blood, most commonly with the Giemsa stain, making the malaria parasite more apparent. The stained blood sample is then smeared onto a microscope slide and examined under a microscope for the presence of the malaria parasite, as shown in Figure 1.

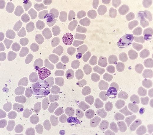
Plasmodium vivax trophozoite, a malaria blood parasite

Figure 1. Plasmodium vivax trophozoite, a malaria causing parasite.

To support rapid evaluation, health facilities with microscopes are located as close as possible to at-risk communities in Sub-Saharan Africa. Equally important as well-equipped, local health facilities is the availability of trained microscopists to fully utilize the equipment.

2. Difficult Conditions for Training Facilities in Remote Communities

The CX23 biological microscope is widely used for training and educational purposes (Figure 2). The user-friendly, lightweight, compact, and highly durable design of the CX23 microscope make it a practical choice for educational facilities in remote locations. And leading-edge optics set it apart for imaging performance.

Olympus CX23 educational microscope

Figure 2. The CX23 microscope is well suited for training, and its ergonomic design eases long periods of observing samples in the lab.

In most laboratory training environments, test samples are illuminated on the standard CX23 model using an integrated LED lamp powered by mains electricity. However, the availability and reliability of electrical mains power supply in some remote locations can be variable. If the mains power is disrupted for extended periods during microscopy training, then the qualification of microscopists may be significantly delayed.

Solving the Challenge of Evaluating Malaria with Limited Access to Electricity

The Evident Sales and Customized Solutions Team for Europe, the Middle East, and Africa (EMEA) collaborated with healthcare training facilities in Africa to develop a solution that would enable microscopists to continue with their training even during lengthy power outages or in regions without readily available mains-electricity supply.

The solution, shown in Figure 3, is a portable USB LED light source that can be easily attached to CX23 microscopes. There are multiple attachment options to give microscopists the flexibility to configure their examination as they choose.

Battery powered illumination for the CX23 microscope

Figure 3. Image of the USB LED light installed on the CX23 microscope and connected to a solar panel power source.

Working with a specialist lighting technology provider, the Customized Solutions Team made sure that the light source would operate for up to ten hours using widely available USB power banks. This enables the microscopist to keep training for extended periods.

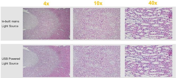
The battery-powered light source has a uniform illumination and color temperature equivalent to the built-in CX23 LED in order to maintain the optical performance and, ultimately, the quality of the diagnosis. This can be seen in the side-by-side comparison in Figure 4.

Mains powered light source versus USB battery-powered light source comparison of CX23 microscope images

Figure 4. Microscope images showing the same image quality at a range of different magnifications for the CX23 integrated LED and customized portable USB light source.

Operating under typical conditions, the light source has a lifetime of up to eight years. And the ergonomic brightness control enables the operator to easily optimize the light intensity.

After testing the light source, a collaborator from Wirsam Scientific, an Evident distributor in South Africa, gave this endorsement, “In our region, we are currently experiencing rotational load shedding and many unplanned power outages. We have used the battery-powered LED light source on a CX23 microscope, in both configurations, attached to the base of the microscope as well as inserted into the condenser. We found that the light intensity was more than sufficient.

USB light source for microscopes powered by solar panel

Figure 5. Wirsam Scientific’s configuration using a solar panel to power the USB illumination system.

We have used the system non-stop for over 8 hours, and the light intensity remained constant. We have even used the LED light source directly with a solar panel, and this worked really well (Figure 5). Living on a continent with a lot of sunshine, this is an efficient and inexpensive option. In some remote areas of Africa where there is no electricity or unreliable electricity supply, the solar panel will alleviate some of these challenges.”

This high-quality customized solution, although seemingly simple, shows Evident’s commitment to creating life science and industrial solutions that help make the world safer and healthier.

Explore some of the ways our Customized Solutions Team can co-create solutions for your inspection requirements.

Not available in all regions. Please contact your local sales representative for details.

1 https://www.who.int/teams/global-malaria-programme/reports/world-malaria-report-2021
2 https://www.cdc.gov/malaria/malaria_worldwide/reduction/dx_tx.html

Biological Microscope

CX23

  • Diverse, User-friendly design
  • Outstanding optical performance
  • Long lifetime LED illumination

Learn More

OEM Components for Integration

Olympus is a leading manufacturer and supplier of OEM optical components and parts that integrate into larger microscope system designs, helping equipment engineers reduce product development time and costs. Shop high-precision optical parts like objective lenses and tube lens units, as well as microscope frames, modules, and motorized assemblies. Olympus can also design and manufacture custom objectives and optical assemblies.

Learn More

Light Sources

We provide a wide variety of light sources that are optimized to your brightfield or fluorescence imaging applications.

Learn More

U-FLLED

A compact, direct-mount LED light source designed for routine fluorescence imaging on manual and semi-motorized microscopes. With passive, fan-free cooling and modular excitation channels, U-FLLED delivers stable, uniform illumination for fixed samples and everyday workflows without added system complexity.

  • Direct-mount LED illumination for integrated microscope setups
  • Modular excitation channels for common fluorophores
  • Quiet, fan-free operation for routine fluorescence imaging

Learn More