SLIDEVIEW VS200 for Digital Pathology

Contact Us

Every Slide. Every Detail. Every Possibility.

Perform applications from high-end research to specialized digital pathology with our most advanced slide scanner.

Built using over a century of expertise in precision optics, the SLIDEVIEW™ VS200 universal whole slide imaging scanner is designed to capture a wide variety of samples and stains with multiple magnifications, flexible slide sizes, and five versatile imaging modes.

Outstanding image quality of whole slides empowers your lab to unlock the full potential of your samples and make breakthrough decisions with confidence.

The SLIDEVIEW DX VS200 is now a CE-marked device under the EU IVDR* for use in clinical diagnostics in Europe. Read more in our announcement >>

Download the Brochure

FISH analysis, 40X
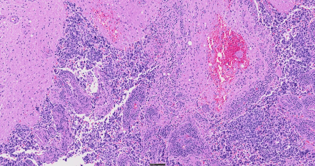
H&E stained tissue, 40X

Images You Can Trust. Results You Can Rely On.

Supporting up to six high-performance X Line™ objectives and featuring True Color LED illumination and color-corrected camera profiles, the SLIDEVIEW VS200 system delivers clarity in whole slide images. The scanner is engineered for consistent reproduction of sample and stain characteristics, minimizing the need for rescans and supporting efficient diagnoses.

Reveal More Sample Details with Advanced Imaging Modes and Adaptable Settings

Discover more details in your samples with five imaging modes—brightfield, polarization, fluorescence, darkfield, and phase contrast—and the ability to combine multiple techniques in a single scan. This flexibility offers a wide range of possibilities to observe histology and cytology samples, from routine pathology to complex molecular characterization of cancerous tissue.

Human cartilage captured with an X Line™ UPLXAPO10X objective under five different imaging modes

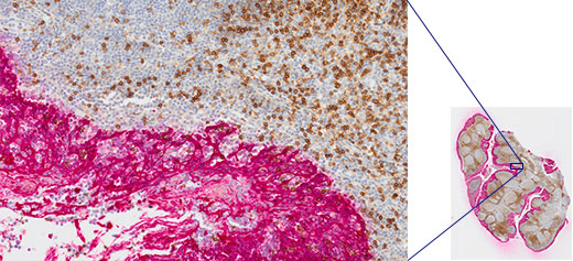
Tonsil CD3 (rm), ImmPRESS Reagent (HRP) Anti-Mouse IgG Immpact DAB (brown), AE1/AE3(m) ImmPRESS (AP) (HRP) Anti-Rabbit IgG Immpact Vector Red (red). Counterstained with Hematoxylin QS (blue).
Image data courtesy of Vector Labs.

See More with Flexible Hardware and Software Options

Scans Beyond Standard

Faster, Simpler Workflows

  • Simple user interface with quick and expert modes makes the software easy to learn and use without limiting flexibility.
  • Wide range of samples—from immuno-fluorescence to bone marrow samples and amyloid regions—can be scanned and added to your digital workflow.
  • Save and recall settings to speed up repetitive workflows and standardize operations.

Scan Different Sample Types in One Batch

  • Supports multiple slide types, sizes, and stains.
  • Automatically detects different formats and scans them in the same batch, improving efficiency and throughput.

AI-Assisted Scanning for Smarter Assessments

  • AI-guided sample detection helps identify cell and tissue regions, improving scanning accuracy—even for faintly stained samples—while optimizing storage requirements.
  • Automation saves time and effort, enhancing scanning precision to support reliable assessments, even for complex cases.
  • TruAI technology enables high-precision cell detection, segmentation, and measurements for label-free observation and analysis.

Workflow

Maximize Productivity, Streamline Workflows

Automated Digital Slide Management

Simple integration into existing PACS, image management systems, or digital workflows, and support for HL7, FHIR, ODBC, HDD and DICOM standards, ensures interoperability across your lab’s workflows.

Store, Share, and Collaborate

Manage large image files anywhere using the optional Net Image Server (NIS) SQL database. Store images and securely share them with our OlyVIA web-based image viewer to collaborate in real-time with remote consultants.

Go Digital Quickly with Integrated Support

Get to work faster with an efficient digital and synchronized workflow, supported by guidance throughout the process. Our global team of specialists is ready to help optimize your entire digital pathology process—from slide scanning to imaging enhancements and data management.

Image server connected to internet

Ready for What’s Next

Expand Capabilities as Your Needs Grow

The scanner you need now, with the flexibility to expand as your lab’s priorities evolve. Whether you need to capture multiplexed fluorescence for cancer signature discovery, use polarized light to elucidate amyloids in brain tissue, or analyze large format samples for histological features, the SLIDEVIEW VS200 scanner can be adapted to solve the challenge.

Field-upgradable options let you expand capabilities with minimal downtime:

  • Start with a single tray system and upgrade to the high-capacity loader when your caseloads increase.
  • Add fluorescence capabilities or additional magnifications anytime as imaging requirements evolve.

https://adobeassets.evidentscientific.com/content/dam/mis/vs200/media/videos/SLIDEVIEW%20VS200_USCAP.mp4

Do More in Digital Pathology

Pair the SLIDEVIEW VS200 with our SLIDEVIEW VS-M1 system to expand your lab’s capabilities with a dedicated scanner for routine digital pathology. Designed for high-throughput labs, the SLIDEVIEW VS-M1 system delivers high-quality images quickly with built-in workflows for the most common pathology and cytology samples. When used in combination, these systems get you one step closer to digitizing 100% of your samples.

Disclaimer

This product is intended for Laboratory Use. It is the customer’s responsibility to ensure that the performance of the product is suitable for the customer’s specific use or application.

For a complete list of available options and configurations in your region, click here or contact your local Evident representative.

SLIDEVIEW VS200

Combining high-quality multiplex imaging, accurate color reproduction in brightfield, optical clarity in thick samples, and the broadest range of imaging modalities in one slide scanner, the SLIDEVIEW™ VS200 system enables researchers to capture more meaningful data from every sample—without complexity, manual intervention, or the need for multiple instruments. Designed to deliver consistent, repeatable results across users and workflows, the VS200 system helps you unlock more insights from your slides while supporting scalable imaging needs.

Learn More