Visit EVIDENT at USCAP 2025

March 22–27, 2025 | Boston Convention and Exhibition Center

Booth #428 (Exhibit Hall open March 24-26)

Contact Us

A Century of Innovation. Pathology Results You Can Trust.

With a century of innovation in precision optics, Evident delivers accurate, faithful imaging for clinical settings.

Evident advances Olympus' legacy by offering a comprehensive range of microscopy solutions tailored for various applications, including life science research, clinical laboratory work, industrial analysis, materials science, education, and drug discovery. Discover solutions from upright, inverted, stereo, confocal, multiphoton, and super-resolution microscopes to advanced slide scanners, all built using optics developed from over a century of expertise in imaging.

As we reflect on our rich history in optics, we continue to pioneer new ways of helping you see the unseen. The more we explore and innovate, the more empowered you become to uncover the critical answers that help keep our world safer and healthier.

Join us at USCAP 2025, the 114th Annual Meeting of the United States and Canadian Academy of Pathology, to connect with our microscopy experts and explore the innovations shaping the future of pathology.

Join Our Exhibitor Seminar

Moving Pathology Forward: Advancing Digital Workflows and Fluorescence Imaging

Tuesday, March 25, 5:30–7 p.m. | Exhibitor Seminar Room 3

Join our seminar on what’s moving pathology forward with featured speakers Dr. Mustafa Yousif from the University of Michigan, Dr. Monika Vyas from Beth Israel Deaconess Medical Center and Harvard Medical School, and Dr. Tina Manoharan from Evident.

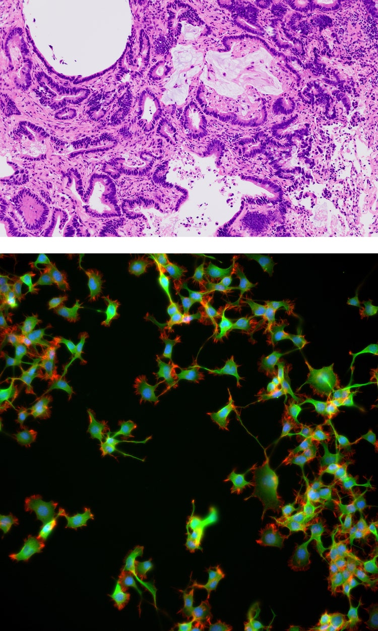
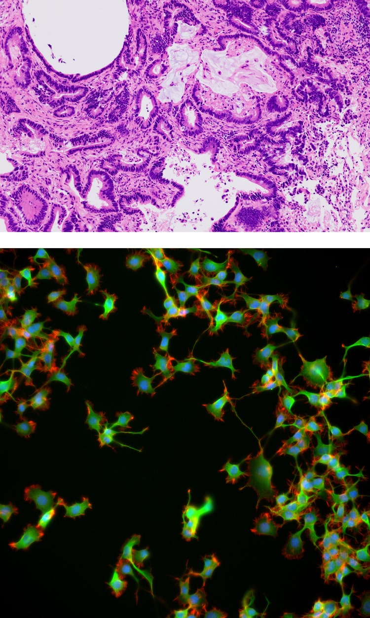
This insightful session explores the latest advancements in digital pathology workflows, offers best practices for handling fluorescence images and data, and provides a forward-looking discussion on the evolving landscape of digital pathology.

Our Speakers

Mustafa Yousif, MD

Assistant Professor, Informatics, and the Director of Digital Pathology at the University of Michigan

Dr. Mustafa Yousif earned a medical degree from the University of Al-Mustansiriyah in Baghdad, Iraq, completed an anatomical and clinical pathology residency at Wake Forest University, then undertook fellowships in Gynecologic and Breast Pathology at the University of Pittsburgh Medical Center and in Pathology Informatics at the University of Michigan's Department of Pathology Informatics. His research focuses on digital pathology and AI with an emphasis on computer vision and image analysis.

Dr. Monika Vyas

Pathologist at Beth Israel Deaconess Medical Center and Assistant Professor of Pathology at Harvard Medical School

Dr. Monika Vyas is a pathologist at Beth Israel Deaconess Medical Center (BIDMC) and an Assistant Professor of Pathology at Harvard Medical School in Boston, Massachusetts. Dr. Vyas specializes in gastrointestinal/liver pathology and leads the digital pathology program at BIDMC. Her research interests include neuroendocrine neoplasms and familial gastrointestinal cancers along with the use of computational pathology to aid the pathology diagnosis and workflow.

Dr. Tina Manoharan

Vice President, Clinical Business, Evident

Dr. Tina Manoharan leads product growth and innovation for clinical solutions at Evident, driving advancements in digital and AI-powered pathology. With extensive experience in healthcare data and AI, she has held key leadership roles at Philips and Siemens Healthineers, shaping the future of medical technology. Her expertise bridges leading-edge innovation with real-world clinical applications, helping to transform digital pathology workflows.

Discover Our Pathology Solutions

Visit Booth #428 (Exhibit Hall open March 24-26) for a first-hand look at our latest pathology solutions. To learn more about our new innovations in digital pathology, read our announcement on Pathology News.

SLIDEVIEW™ VS200 Universal Slide Scanner

Perform high-end specialty imaging with our most advanced slide scanner. The SLIDEVIEW VS200 system can capture any sample, any slide, and any stain with flexible imaging modes from fluorescence to polarization.

Learn More

SLIDEVIEW VS-M1 Digital Pathology Slide Scanner

A fast, efficient slide scanner, the SLIDEVIEW VS-M1* system streamlines the digital pathology workflow for users of all skill levels. Capture microscope-quality brightfield scans of routine samples in a few clicks.

Learn More

BX46 Routine Pathology Microscope

The BX46 upright microscope is engineered for routine pathology, combining an ergonomic design with advanced imaging capabilities to provide precision and comfort during extended laboratory work.

Learn More

*This product is intended for Research Use only. It is the customer’s responsibility to ensure that the performance of the product is suitable for the customer's specific use or application.

X Line high-performance objectives manufactured by Evident as part of the Olympus legacy offer improved optical performance in three critical areas—a larger numerical aperture (NA), better image flatness, and a wider range of chromatic correction. These advances enable high-quality, large field of view (FOV) imaging for versatility in numerous applications.

Learn more.