Conozca las galardonadas cámaras microscópicas DP28 y DP23

august-2021-kerry-israel-banner.jpg

Kerry Israel

Kerry Israel

17 agosto, 2021

Las nuevas cámaras microscópicas digitales DP28 y DP23* de Olympus han sido elegidas por un comité de médicos y profesionales de la salud para recibir el Premio a la Innovación de Premier por su potencial para cubrir las necesidades clínicas aún sin soluciones y mejorar el cuidado del paciente. Estas son algunas de las razones por las que han recibido este premio tan prestigioso.

Logotipo de los premios a la innovación de Premier

Cámara microscópica digital DP28 de Olympus

Cámara microscópica digital DP23 de Olympus

Las galardonadas cámaras microscópicas digitales DP28 (izquierda) y DP23 (derecha)

En conexión para un laboratorio en constante evolución

El mundo ha cambiado y los investigadores necesitan herramientas de conexión que les permitan trabajar y colaborar de manera eficiente fuera del laboratorio. Los modelos DP28 y DP23 ofrecen una conectividad avanzada para que todos los datos críticos adquiridos a través del procesamiento de imágenes, como las imágenes, anotaciones y mediciones en vivo, puedan mostrarse y compartirse de forma local o remota mediante el software cellSens y la solución NetCam, o la función de intercambio remoto de imágenes del módulo de control independiente DP de la cámara. Con ello, se proporciona una forma sencilla de discutir y compartir imágenes Full HD en vivo con colegas.

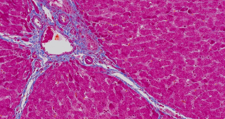
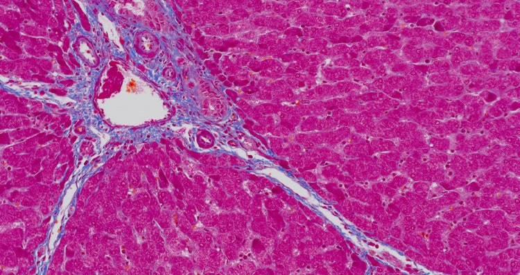
Imagen microscópica de hígado de cerdo teñido, capturada con la cámara DP28.

Imagen microscópica de hígado de cerdo teñido, capturada con la cámara DP28.

El poder de la investigación o el procesamiento de imágenes de rutina

Debido a que la conectividad no es útil si no puede capturar las imágenes que necesita, Olympus ha creado las cámaras DP28 y DP23 para brindar la flexibilidad de elegir entre un modelo que ofrece una calidad de imagen de ultra alta definición 4K o uno con una resolución equilibrada de 6.4 megapíxeles y un refresco de 45 fotogramas por segundo (fps). Cabe agregar que ambas cámaras comparten el mismo paquete de funciones inteligentes y ahorradoras de tiempo que las hacen útiles y fáciles de usar.

Las cámaras ofrecen un amplio campo visual de hasta FN25 y otorgan una precisión de color excepcional, lo cual es fundamental cuando se trabaja con muestras teñidas. Entre las funciones inteligentes que destacan y otorgan una captura de imagen fácil y de alta calidad se encuentran: el promedio inteligente de imágenes de Olympus (OSIA), que suprime el ruido manteniendo un alto refresco de fotogramas y eliminando los artefactos para producir imágenes claras; el modo de alto contraste para capturar imágenes claras de muestras poco brillantes, y el pico de enfoque para identificar rápidamente qué áreas de la muestra están siendo enfocadas.

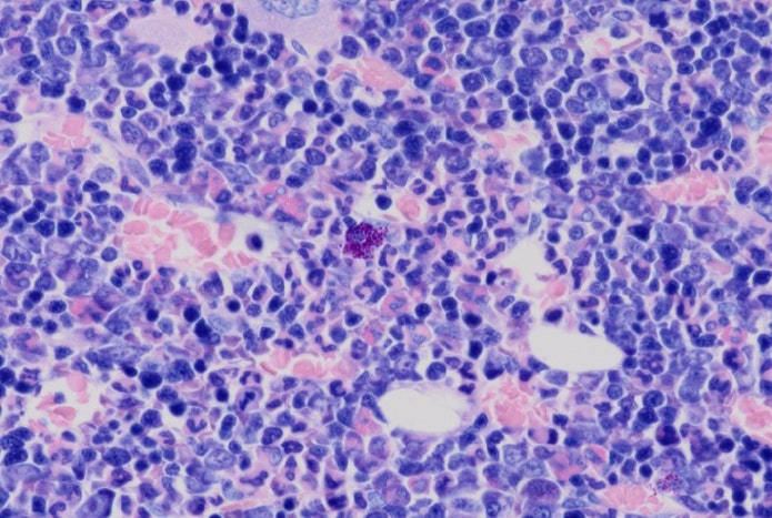
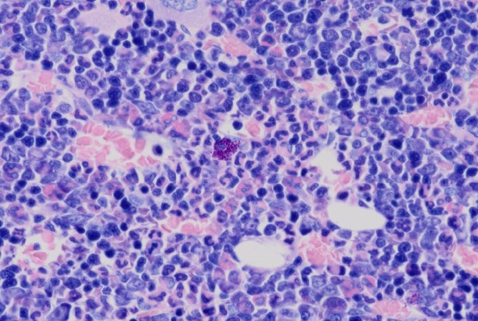
Imagen microscópica de médula ósea de rata capturada con la cámara DP23.

Imagen microscópica de médula ósea de rata capturada con la cámara DP23.

Olympus se enorgullece del prestigioso premio a la innovación de Premier que han recibido las cámaras DP28 y DP23. Agradecemos a los médicos y profesionales de la salud que seleccionaron nuestras cámaras y a nuestros clientes por su continuo apoyo.

*Las cámaras CMOS color no están indicadas para uso en diagnóstico clínico.

Kerry Israel

Kerry Israel

Manager, Marketing Communications

Kerry Israel is the Manager of Marketing and Communications for Life Science at Evident. She has a Bachelor of Arts degree from Brandeis University, and more than 15 years of experience in all aspects of marketing, from advertising and social media strategy to grassroots outreach.