Seis formas en las que las modernas cámaras microscópicas en color mejoran el procesamiento de imágenes dedicado a la investigación

march-2021-stephan-fliegel-banner.jpg

Stephan Fliegel

Stephan Fliegel

16 marzo, 2021

Las modernas cámaras microscópicas en color continúan avanzando y revolucionando la forma en que trabajamos, enseñamos y colaboramos. Por ejemplo, las recientes incorporaciones a la serie DP —las cámaras microscópicas digitales DP28 y DP23— ofrecen una reproducción precisa del color y funciones inteligentes que permiten a los investigadores analizar muestras en un monitor con precisión y confianza.

Continue su lectura para conocer las seis formas en que estas modernas cámaras en color mejoran las imágenes de las ciencias de la vida y la investigación clínica.

1. Vea las muestras y tinciones en sus colores reales desde un gran monitor.

El color es uno de los principales medios para diferenciar los aspectos relevantes de una muestra. Por consiguiente, es crucial que una cámara microscópica digital pueda reproducir con precisión los colores naturales o teñidos a medida que se observan a través del ocular.

Las cámaras microscópicas DP23 y DP28 emplean un sistema de gestión cromática inteligente para brindar una excepcional reproducción del color. Los perfiles de color ICC integrados mantienen sutiles variaciones de color que permiten mostrar las muestras en sus colores naturales para que las tinciones luzcan tal como las desea.

La gestión cromática también funciona en tiempo real al aplicar los perfiles de color en vivo. Esto proporciona la mejor representación posible del color a la mayor velocidad ejecutable. Con ello, es posible capturar directamente una imagen en vivo sin preocuparse por la calidad de los colores.

Para aprovechar al máximo la reproducción del color, combine la cámara DP28 o DP23 con nuestra fuente de luz LED TruColor en el microscopio BX53; esto permitirá crear un sistema completo destinado a reproducir de forma precisa el color desde la fuente de luz hasta la cámara.

2. Observe los detalles de las muestras gracias a una calidad de imagen de vanguardia.

En microscopía, una resolución más alta (o más píxeles por pulgada) conlleva a la captura de más detalles con el fin de analizar estructuras finas de las muestras.

La cámara DP28 ofrece una sorprendente resolución 4K (8,9 megapíxeles) para mostrar detalles finos de las muestras incluso en baja magnificación. Esto significa que una sola instantánea puede mostrar una descripción sinóptica de una muestra y contener suficientes detalles que podrán ser ampliados para estudiar las estructuras finas. Cabe agregar que una magnificación más alta no es necesaria para obtener toda la información requerida. Por ende, sus análisis y presentaciones de muestras se llevarán a cabo de forma más eficiente.

Otra posibilidad es nuestra cámara DP23, que proporciona una alta resolución de 6,4 megapíxeles para capturar imágenes con el nivel de detalle requerido en la mayoría de las aplicaciones de investigación clínica y ciencias de la vida.

3. Vea mucho a partir de sus muestras mediante un campo visual más amplio.

La capacidad de procesar imágenes con un amplio campo de visión también es otra característica útil. Ambas cámaras ofrecen un gran campo de visión (FOV) de hasta un número de campo (FN) 25 (en los microscopios compatibles) a fin de analizar una amplia área de muestra al instante.

Estas imágenes de amplio campo se presentan nítidas desde el centro hasta la periferia, lo que favorece un procesamiento y análisis de imágenes eficientes. Combine la cámara junto con los últimos dispositivos ópticos, como nuestros objetivos de alto rendimiento X Line, para alcanzar una planitud excepcional, y adaptadores de cámara diseñados para un campo de visión súper amplio (FN25) que maximizarán este beneficio.

4. Observe y analice muestras con imágenes suavizadas en vivo.

Si necesita imágenes suavizadas en vivo, sin distorsión, en su monitor para fines de colaboración, presentación o análisis, la cámara DP28 es la solución.

Gracias a un obturador (persiana) global y a la tecnología de vanguardia de los sensores CMOS, la cámara compensa altas frecuencias de refresco de fotogramas con resolución. Visualice imágenes con una resolución 4K y refresco de 32 fotogramas por segundo (fps) o imágenes en vivo Full HD de hasta 64 fps (es la frecuencia máxima de refresco que puede mostrar un monitor estándar). El resultado serán movimientos suaves como si se mirase a través de los oculares, incluso en grandes pantallas.

La cámara DP23 también proporciona una alta frecuencia de refresco de fotogramas para obtener imágenes en vivo fluidas. Capture imágenes de alta resolución a 30 fps o imágenes Full HD a 60 fps.

5. Colabore de manera eficiente en discusiones presenciales o a distancia.

El aprendizaje remoto/a distancia se ha vuelto común a medida que los laboratorios respetan las políticas de distanciamiento social; por lo tanto, es importante tener una forma de compartir imágenes e involucrar a una audiencia de manera virtual. Las cámaras DP23 y DP28 proporcionan herramientas de colaboración intuitivas e imágenes fidedignas para captar el interés de científicos o estudiantes.

Muestre o comparta en un solo paquete todos los datos cruciales (imágenes, anotaciones y mediciones en vivo), de forma local o remota, mediante el software cellSens y la solución NetCam o la función opcional que permite compartir imágenes a distancia gracias al módulo de control autónomo de la cámara.

La colaboración entre estas herramientas facilita la discusión y el intercambio de imágenes en vivo . Los datos son compartidos de forma segura gracias al soporte provisto por los protocolos de seguridad de red, como NIST y GDPR, y el antivirus opcional.

6. Trabaje de forma agilizada con cámaras fáciles de configurar y usar.

Por último, las cámaras DP23 y DP28 ofrecen una configuración sencilla para que pueda iniciar su trabajo con rapidez. No se requiere adquirir un adaptador de CA por separado, simplemente conecte el cable de la cámara al puerto USB 3.1 de su PC. La cámara rápidamente se inicia para la adquisición de imágenes.

A fin de proporcionar mayor flexibilidad, es posible seleccionar un módulo autónomo para ocupar menos espacio o integrarlo al software cellSens para beneficiarse de una funcionalidad adicional. Ambas opciones brindan una interfaz de usuario intuitiva para simplificar el proceso de adquisición de imágenes. En la mayoría de los casos, es posible adquirir imágenes con un clic para un flujo de trabajo eficiente.

Las cámaras utilizan la automatización para optimizar la configuración en tiempo real. Capture con facilidad la mejor imagen gracias a funciones inteligentes como:

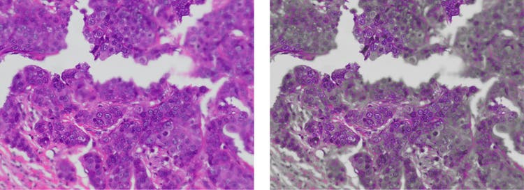
Promedio inteligente de imagen de Olympus (Olympus Smart Image Averaging, OSIA): permite suprimir el ruido y eliminar artefactos a la vez que mantiene un elevado refresco de fotogramas.

Reducción de ruido con la función de promedio de imágenes

Sin OSIA (izquierda) versus con OSIA (derecha)

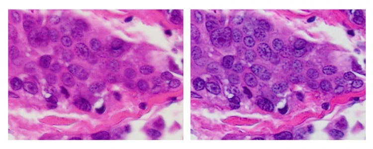
Alcance de enfoque (Focus peaking): permite identificar, a través de una ayuda de enfoque visual, la región de la muestra que está siendo enfocada. Las áreas enfocadas se mostrarán en color y las áreas desenfocadas proyectarán una superposición gris en una imagen en vivo. Esta característica es particularmente útil para observar muestras gruesas.

Alcance de enfoque en cámaras microscópicas

Sin alcance de enfoque (izquierda) versus con alcance de enfoque

Modo de alto contraste (High contrast mode): ajusta el tiempo de exposición y la configuración de contraste para obtener una óptima relación señal-ruido. Es una función útil para capturar imágenes claras a partir de muestras difusas/oscuras en microscopía de polarización y fluorescencia.

Procesamiento de imágenes de alto contraste en muestras difusas/oscuras

Capture imágenes claras a partir de muestras tenues con el modo de alto contraste

Rapidez al vivo (Fast Live): proporciona un elevado y constante refresco de fotogramas incluso durante un procesamiento de imágenes prolongado; obtenga imágenes suavizadas al escanear muestras en condiciones de poca luz.

Imágenes suavizadas en vivo en microscopía

Sin rapidez al vivo (izquierda) versus con rapidez al vivo (derecha)

Cámara DP28 o DP23: ¿Cuál es la apropiada para su aplicación?

Ahora que conoce los beneficios de estas cámaras, es posible que se pregunte cuál es la más adecuada para su aplicación.

Al mismo tiempo que se recomienda comparar las características de las cámaras, teniendo en cuenta las necesidades específicas de su aplicación, la respuesta a menudo se reduce a algunas características clave:

  1. Resolución: la cámara DP28 es la opción correcta si necesita una resolución mucho más elevada. Ofrece una resolución 4K (8,9 megapíxeles) que favorece la colaboración y las observaciones de forma eficiente. El DP23, por el contrario, proporciona alta resolución (6,4 megapíxeles) para adaptarse a la mayoría de las aplicaciones.
  2. Procesamiento de imágenes en vivo: ¿necesita imágenes en vivo suavizadas, sin distorsión? De ser así, nuestra cámara DP28 con obturador (persiana) global es una buena opción. De lo contrario, la cámara DP23 con obturador (persiana) enrollable proporciona imágenes suavizadas en vivo con el detalle necesario para la mayoría de las aplicaciones.
  3. Sensibilidad: la cámara DP28 proporciona más sensibilidad para aplicaciones de fluorescencia que la cámara DP23.

Si aún no está seguro, utilice nuestro Selector de cámara en línea para evaluar las opciones o comuníquese y exponga sus necesidades a uno de nuestros expertos en procesamiento de imágenes. ¡Siempre nos enorgullece poder ayudarle!

Stephan Fliegel

Stephan Fliegel

Gerente de producto, Cámaras para microscopios ópticos

Stephan Fliegel obtuvo su licenciatura en Ingeniería Física de la Universidad de Ciencias Aplicadas de Münster en el año 2007 bajo la concentración de tecnología de aplicación láser. Inicialmente trabajó como especialista de aplicaciones; y, más tarde, como gerente de productos y de proyectos para la industria de láseres industriales, teniendo como enfoque el diseño, el desarrollo y la planificación de sistemas láser específicos para el cliente. Actualmente es gerente de producto para las cámaras de los microscopios ópticos de Evident.