Imágenes de portaobjetos completos e inteligencia artificial (IA) dedicadas a agilizar la evaluación de la nefritis autoinmune

La nefritis autoinmune (NA) es una enfermedad inflamatoria crónica de los riñones que ocurre con frecuencia (del 40 % al 60 %) en personas que padecen lupus eritematoso sistémico (LES).1 Cerca del 30 % de los pacientes con NA desarrollan insuficiencia renal; tras ello, sólo es posible el tratamiento por diálisis o trasplante renal. Uno de los objetivos de la investigación del lupus es acelerar el proceso de identificación y evaluación de la NA a través de muestras de biopsia que permitan aumentar el potencial de detección temprana y mejorar el pronóstico de la enfermedad.

Wei Juan Wong

Wei Juan Wong

8 December, 2022

Desafíos al evaluar las muestras de la nefritis autoinmune (NA)

La NA causa un amplio espectro de lesiones, lo que se traduce en daño tisular. Estas pueden ser observadas a partir de muestras de biopsia renal bajo un microscopio óptico. La evaluación de las lesiones renales y una clasificación adecuada de la NA se describen de forma general en la clasificación de la Sociedad Internacional de Nefrología (ISN) y de la Sociedad de Patología Renal (RPS). Los patólogos emplean este sistema de clasificación para determinar la fase de la enfermedad.

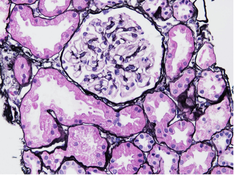
Por ejemplo, la Figura 1 expone muestras de riñón provenientes de pacientes en la fase temprana de NA - Clase 1, sin cambios glomerulares significativos en comparación con individuos sanos. 2

Figura 1. Muestra de biopsia renal con NA de Clase 1 y tinción de metenamina de plata de Jones.

Figura 1. Muestra de biopsia renal con NA de Clase 1 y tinción de metenamina de plata de Jones.

Mientras tanto, en la Figura 2, las muestras de pacientes en etapa avanzada de LN clase 5 muestran orificios difusos (flecha azul) y pequeños picos (flecha roja) a lo largo de las membranas basales glomerulares.3

Figura 3. Flujo de trabajo del MRPS en la evaluación patológica mediante el aprendizaje profundo.

Figura 3. Flujo de trabajo del MRPS en la evaluación patológica mediante el aprendizaje profundo.

Gracias al escáner de portaobjetos dedicado a la investigación SLIDEVIEW™ VS200, el Dr. Shen junto a un equipo de investigadores llevaron a cabo 199 procesamientos de portaobjetos completos de alta resolución en tejidos renales de ratones sanos y con NA, usando la técnica de coloración Schiff. Los investigadores clasificaron las imágenes en cinco categorías diferentes, formulando una puntuación de 0 para los ratones sanos y una puntuación de 4 para los ratones con la NA avanzada. Tras ello, las imágenes fueron divididas en un grupo para la formación neuronal y en un grupo para la validación.

Con el marcado manual respectivo de los glomérulos y las células glomerulares, los investigadores pudieron usar la tecnología de aprendizaje profundo TruAI™ para generar dos redes neuronales (NN) a partir del grupo de formación: una NN glomerular y una NN celular.

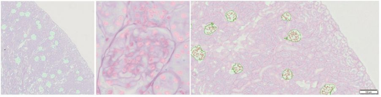
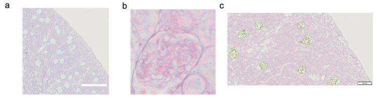
A continuación, las redes neuronales fueron aplicadas al grupo de validación con el fin de extraer múltiples características glomerulares y celulares de cada imagen, tal y como se muestra en la Figura 4.4

Figura 4. Aplicación de las redes neuronales formadas en una imagen de validación representativa. a. Todos los glomérulos fueron identificados con cian b. Todos los núcleos celulares renales fueron identificados con magenta. c. El glomérulo y el núcleo celular identificados fueron medidos en la región de interés (ROI). La red neuronal glomerular proporcionó una ROI para el recuento; la red neuronal celular contó todos los núcleos dentro de la ROI.

Figura 4. Aplicación de las redes neuronales formadas en una imagen de validación representativa. a. Todos los glomérulos fueron identificados con cian b. Todos los núcleos celulares renales fueron identificados con magenta. c. El glomérulo y el núcleo celular identificados fueron medidos en la región de interés (ROI). La red neuronal glomerular proporcionó una ROI para el recuento; la red neuronal celular contó todos los núcleos dentro de la ROI.

El perímetro, el factor de forma, el diámetro interno mínimo, el diámetro mínimo y la cantidad de objetos en cada característica son variables independientes que indican la gravedad de la NA. En función de los parámetros anteriores, los investigadores desarrollaron un modelo de puntuación, que asistió correctamente en la evaluación y se relacionó positivamente con la puntuación establecida por los investigadores.

El potencial del aprendizaje profundo de la TruAI™ en los análisis de imágenes

Este estudio muestra que es posible un análisis reproducible y de alto rendimiento de las muestras patológicas gracias a la tecnología de aprendizaje profundo. Esto es preciado en la investigación básica donde se requiere un análisis del procesamiento de portaobjetos completos de alto rendimiento. El aprendizaje profundo también puede aplicarse a otros modelos y enfermedades, y tiene el potencial de reducir significativamente la carga de trabajo de los investigadores y aumentar la precisión cuantitativa durante el análisis.

Agradecimientos:

Agradecemos al Dr. Shen Luping por escribir la primera versión de este artículo, publicado en Make it Evident丨TruAI 加速狼疮肾炎病理学诊断 (qq.com).

Wei Juan Wong

Wei Juan Wong

Especialista de aplicaciones, Sistemas de escaneo digital de portaobjetos

Wei Juan Wong es especialista de aplicaciones para los sistemas de escaneo de portaobjetos digitales de Evident. Inició como especialista de producto en Singapur para brindar asistencia a nuestros clientes del Sudeste Asiático en el uso de microscopios de campo amplio, como el escáner de portaobjetos dedicado a la investigación SLIDEVIEW™ VS200. Más adelante se mudó a Alemania para formar parte del Centro Tecnológico Europeo en calidad de especialista de aplicaciones para los sistemas de escaneo de portaobjetos digitales; a través de su cargo, Wei proporciona asistencia a nuestros clientes de todo el mundo a nivel de las aplicaciones y la mercadotecnia. Wei Juan Wong posee una licenciatura en Física y ha trabajado en un laboratorio de investigación biofísica y una unidad central de microscopía.