Objetivos para un completo procesamiento de imágenes de portaobjetos

Procesamiento de imágenes de portaobjetos completo Objetivos de alto rendimiento X Line y escáner de portaobjetos SLIDEVIEW VS200 para la investigación

Contacto

Solicite una cotización

Contáctenos

Calidad de imagen mejorada

La mejora de la planitud, la apertura numérica y la corrección de aberración cromática permiten obtener imágenes claras en alta resolución con una excelente reproducción de los colores. Observe de forma clara factores de evaluación importantes, como el color de los tejidos, la morfología celular y las micropartículas en el núcleo.

Modelo convencional (izq.) en comparación con el escáner SLIDEVIEW VS200 dotado de los objetivos de la X Line (der.)

Button

Exceptional Stitching Accuracy

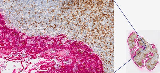
Amígdala CD3 (rm), ImmPRESS Reagent (HRP) anti-ratón IgG con ImmPACT DAB (marrón), AE1/AE3(m) ImmPRESS (AP) (HRP) anti- conejo IgG con ImmPACT Vector Red (rojo). Contratinción con hematoxilina QS (azul).
Portaobjetos de muestras por cortesía de Vector Labs.

Aplicación mosaico precisa

La planitud de imagen expandida mejora la precisión de la aplicación mosaico en las imágenes entre campos de visión colindantes. En consecuencia, las imágenes de portaobjetos virtuales de alta resolución que son adquiridas con el escáner de portaobjetos VS200 se juntan sin notar las uniones ni irregularidades; asimismo, se mantiene un enfoque preciso de nivel macro a micro.

Excelente procesamiento de imágenes multicanal

La amplia corrección de aberración cromática de 400 a 1000 permite a aplicar una superposición más precisa de imágenes fluorescentes con diferentes longitudes de ondas. También, es posible adquirir a alta velocidad más de cuatro canales de imágenes de portaobjetos virtuales de alta calidad.

Exceptional Color Accuracy

Imagen de tejido pulmonar tomado en un VS200 a 20X, teñido con un kit múltiplex Ultivue PD-L1; Dapi: Contratinción de DNA , FITC: CD8, TRITC: CD68, Cy5: PD-L1, Cy7: panCK.
Datos de imagen por cortesía de Ultivue Inc.

Productos relacionados

VS200

VS200

  • Calidad de imagen excepcional e idónea para la cuantificación
  • Flexibilidad para varias aplicaciones
  • Logre más en menos tiempo
  • Proceso de trabajo simplificado y potente

Conozca más aquí

El VS200 no está indicado para uso en diagnóstico clínico.