Cómo el algoritmo TruSight™ SR posibilita imágenes de superresolución en la microscopía confocal de disco giratorio
Introducción
El algoritmo TruSight SR de Evident es una tecnología innovadora que ha evolucionado a partir de la función Olympus Super Resolution (OSR)1 y, hoy, viene integrado en el microscopio confocal de superresolución con disco giratorio IXplore™ IX85 SpinSR. Esta tecnología mejora la microscopía confocal al optimizar los estenopos y emplear un motor de procesamiento de base óptico-teórica que busca alcanzar un procesamiento de imágenes de superresolución (SR).
El algoritmo TruSight SR corrige las limitaciones de la OSR en el caso de imágenes con una relación entre señal-ruido (SNR) deficiente al incorporar capacidades de procesamiento tridimensional (3D) y de fuerza de filtro adaptativo. Estos avances buscan optimizar la calidad de imagen en las condiciones de una SNR deficiente, como al procesar células vivas en imagen con señales de fluorescencia tenue. Mediante la restauración de imágenes naturales de superresolución y conservación de los valores de iluminación, el algoritmo TruSight SR posibilita la obtención de datos de imágenes que respaldan los análisis cuantitativos entre diferentes aplicaciones.
Este informe técnico, en el que se explica detalladamente el algoritmo de superresolución TruSight SR y sus aplicaciones, tiene como objetivo demostrar la contribución de la tecnología de Evident en el desarrollo de la calidad de imagen microscópica.
Los temas tratados en este informe técnico son:
- Las ventajas clave del algoritmo TruSight SR
- La creación de un sistema microscópico de superresolución
- La evolución de nuestra tecnología de superresolución
- Aplicaciones prácticas
- Mejoras a nivel de la calidad de imagen con superresolución 3D
- Diferencias a partir de la tecnología de deconvolución TruSight
El algoritmo TruSight SR es una evolución de la tecnología OSR, hoy propiedad de Evident, dedicada al procesamiento de imágenes de superresolución. La OSR combina técnicas de procesamiento computacional destinadas a maximizar el rendimiento de los microscopios confocales y alcanzar la superresolución. En comparación con la deconvolución tradicional de Wiener, la OSR proporciona resultados fiables y genera imágenes de superresolución naturales que corresponden con la frecuencia de corte del microscopio confocal.
Sin embargo, la OSR tradicional presenta una desventaja a nivel de las imágenes con una relación SNR deficiente. En estas imágenes, es posible que los componentes ruidosos se pongan en valor y la resolución se degrade. Para arreglar este problema, la OSR ha seguido desarrollos que han dado como resultado la tecnología TruSight SR que mejora la resistencia al ruido. Este avance permite adquirir imágenes de superresolución con una relación SNR óptima incluso cuando la intensidad de la fluorescencia es tenue durante el procesamiento de imágenes con fluorescencia. Al mismo tiempo, mantiene una resolución espacial rápida y fiable de 120 nm heredados de la OSR inicial. El algoritmo TruSight SR también incluye capacidades de procesamiento 3D, lo que permite llevar a cabo una digitalización de imágenes de alta resolución a partir de muestras gruesas. Esta actualización mantiene una restauración de imágenes de alta calidad para una gran diversidad de aplicaciones.
El algoritmo TruSight SR ahora viene integrado en el microscopio confocal de superresolución con disco giratorio IXplore IX85 SpinSR (ver Figura 1).
Figura 1: Microtúbulos de células PtK2.
Izq.: Imagen confocal de disco giratorio (acercamiento digital de 2.8X) adquirida con el microscopio IXplore IX85 Spin (disco de 50 µm).
Dcha.: Imagen de superresolución adquirida con el microscopio IXplore IX85 SpinSR (disco SoRa y lente de proyección: 2.8X).
Objetivo: UPLXAPO100XO (A. N.: 1.45). Barra de escala: 5 μm.
Creación de un sistema microscópico de superresolución
Existen varios tipos de procesos computacionales que han sido inventados para tratar las imágenes de microscopía. En un principio, Evident desarrolló un sistema de superresolución al combinar la microscopía confocal de disco giratorio con el proceso computacional OSR Esta tecnología OSR maximiza el rendimiento de los microscopios confocales para alcanzar la superresolución. Se sabe que la frecuencia de corte proporcionada por los microscopios confocales es dos veces superior a la de los microscopios de fluorescencia de campo amplio convencionales. Sin embargo, debido a la baja proporción de componentes de alta frecuencia, la resolución espacial de los microscopios confocales no presentaba una diferencia importante frente a la de los microscopios de fluorescencia de campo amplio. La OSR mejora la eficiencia de la adquisición de señal entorno a la frecuencia de corte, lo que optimiza la configuración de estenopos. También agrega un proceso computacional de filtro lineal que tiene como fin generar la imagen de superresolución final.2
Una de las características del proceso OSR es la alta fiabilidad de los resultados. Esto se explica al compararlo con otros métodos de procesamiento comunes, como la deconvolución Wiener. La imagen observada bajo un microscopio puede ser representada por la convolución de la distribución de objetos y la función de dispersión de puntos (PSF). En el campo de la frecuencia, esto corresponde a la atenuación de las características de frecuencia, provenientes de la estructura del objeto, por la transformada de Fourier de la función de transferencia de modulación (FTM, o en inglés OTF). La deconvolución de Wiener resuelve la convolución cuando ésta multiplica la inversa de la FTM con las características de frecuencia de la imagen observada y restaura la distribución original del objeto.
En la práctica, el filtrado inverso simple puede ser inestable en la región de alta frecuencia, por lo que la intensidad del filtro se limita a devolver los componentes de la señal lo más cerca posible de la señal del objeto original. Por el contrario, el objetivo del procesamiento OSR es crear una imagen de observación natural, alineada con la frecuencia de corte. La Figura 2 muestra la diferencia en las características de frecuencia después del procesamiento con deconvolución de Wiener y el procesamiento OSR. La deconvolución de Wiener busca una característica de respuesta plana; sin embargo, debido a la frecuencia de corte del sistema óptico del microscopio, no puede lograr una respuesta completamente plana y muestra una atenuación pronunciada cerca de la frecuencia de corte. Esta característica de respuesta escalonada puede provocar una fuerte oscilación en la imagen restaurada, lo que genera artefactos.
Por el contrario, el procesamiento OSR restaura la imagen para alcanzar una imagen microscópica natural al conseguir una resolución equivalente al doble de la frecuencia de corte de un microscopio confocal (el doble de la de los microscopios de fluorescencia de campo amplio).2Al establecer una característica de respuesta que se atenúa gradualmente hacia la frecuencia de corte, el procesamiento OSR suprime los artefactos causados por la oscilación a la vez que maximiza la señal dentro de la frecuencia de corte. El resultado es una superresolución con el doble de resolución.
Figura 2. Comparación de la deconvolución de Wiener y el procesamiento OSR.
Las figuras a) y d) muestran características de frecuencia después del procesamiento. En la deconvolución de Wiener, la restauración de la señal busca una característica de respuesta plana dentro de la frecuencia de corte. Pero, el procesamiento OSR busca una característica que se atenúa gradualmente hacia la frecuencia de corte. Si bien la forma de la característica de respuesta es similar a la de un microscopio convencional, presenta el doble de ancho de banda.
Las imágenes b) y e) muestran la función de dispersión de puntos (PSF) correspondiente a las características de respuesta restauradas. Cuando la característica de respuesta muestra una atenuación pronunciada como en la deconvolución de Wiener, la PSF restaurada exhibe una fuerte reverberación (oscilaciones positivas y negativas). Por el contrario, el procesamiento OSR suprime dicha reverberación.
c) y f) son imágenes simuladas después del procesamiento. g) son los datos probados de la distribución del objeto. La deconvolución de Wiener muestra artefactos y resolución falsa debido a fuertes efectos de reverberación, mientras que el procesamiento OSR restaura una imagen microscópica natural.
Para obtener resultados de alta calidad a través del procesamiento computacional, es importante utilizar información PSF precisa. Además de utilizar algoritmos precisos de cálculo brindados por la PSF (p. ej., aquellos compatibles con lentes objetivos de apertura numérica alta), también es necesario ingresar de forma precisa varios parámetros del dispositivo. Los parámetros, tales como la apertura numérica del objetivo, la longitud de onda de excitación, la longitud de onda de fluorescencia, el diámetro del orificio y el tamaño del píxel, son importantes pero insuficientes. También se requiere información detallada sobre el dispositivo, como la magnificación de proyección, el diámetro del haz y el estado de polarización. Puede que un software de deconvolución general no sea capaz de cubrir estas finas diferencias. La OSR puede ejecutar los cálculos PSF a través de configuraciones de parámetros precisas, lo que contribuye a su alta fiabilidad.
La evolución de nuestra tecnología de superresolución
Ajuste automático de la intensidad del filtro según la relación señal-ruido (SNR) de la imagen
La OSR, que llega a la superresolución extrayendo el rendimiento de alta frecuencia de los microscopios confocales, presentaba un inconveniente en cuanto a sensibilidad de ruido; este ha sido tratado con el algoritmo evolucionado TruSight SR.
La Figura 3 muestra una imagen microscópica simulada En imágenes con una relación señal-ruido (SNR) deficiente, los componentes de alta frecuencia pueden recoger una cantidad significativa de ruido. Un procesamiento de restauración fuerte en dicho estado podría poner en manifiesto los componentes de ruido fino en la imagen, lo que da como resultado una calidad de imagen inferior a la imagen original sin tratar. Dado que este componente de ruido viene originalmente en la imagen, es difícil evitarlo con tan sólo utilizar la información PSF precisa u optimizar la supresión de ruido.
Figura 3. Ejemplo de procesamiento OSR convencional en una imagen con relación señal/ruido (SNR) deficiente.
TruSight SR arregla este problema al considrar los componentes de ruido en la imagen. Amplía el rango de ajustes de la intensidad del filtro y procede con una corrección de oscilación en función de las características de frecuencia del microscopio, lo que es similar al procesamiento OSR. La Figura 4 muestra la intensidad del filtro y su efecto. Cuando se implementa una función para ajustar finamente la intensidad del filtro, es posible suprimir el efecto extremo de enfatización en los componentes de frecuencia que causan ruido en la imagen, mientras se mejora la resolución frente a aquella de la microscopía confocal convencional.
Figura 4. Ejemplo de ajuste de la intensidad del filtro según la SNR de la imagen. Cuando la imagen original, sin tratar, presenta una relación entre señal-ruido (SNR) deficiente, el uso de un filtro de menor potencia puede suprimir el ruido y, al mismo tiempo, mejorar la resolución percibida. Por el contrario, cuando la imagen original sin tratar presenta una relación entre señal-ruido (SNR) óptima, el uso de un filtro más potente puede maximizar el efecto de mejora a nivel de la resolución.
Además, la tecnología TruSight SR incluye un algoritmo que determina la relación señal-ruido (SNR) de la imagen y optimiza la intensidad del filtro. Los microscopios sirven para una amplia variedad de aplicaciones, por lo que es imposible determinar la relación entre señal-ruido con tan sólo basarse en valores estadísticos simples (es decir, varianza o diferencia de brillo) de la imagen. La razón es que es difícil distinguir si la variación de iluminación en la imagen se debe al ruido o a la estructura de la muestra. El algoritmo TruSight SR es una tecnología que selecciona de forma estable la intensidad de filtro óptima en cualquier condición de imagen. Esto se hace estimando señales que dependen de la forma de la muestra y de señales que dependen del ruido generado aleatoriamente por el sensor de área a partir de la imagen adquirida.
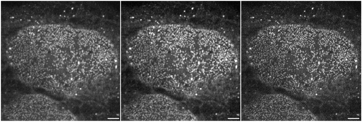
La Figura 5 muestra el efecto del algoritmo de optimización de la intensidad de filtro. Al configurar automáticamente el filtro óptimo según la imagen de entrada, es posible mejorar la calidad de la imagen y al mismo tiempo suprimir la generación de ruido. En particular, cuando la relación entre señal-ruido (SNR) de la imagen original sin tratar es insuficiente, es posible obtener mejores resultados en comparación con el procesamiento OSR convencional.
Figure 5. Diferencias en el procesamiento de imágenes de fluorescencia del poro nuclear con baja relación señal-ruido (SNR).
Izquierda: Imagen original sin tratar (en bruto). Centro: Procesamiento automático por TruSight SR. Derecha: Procesamiento OSR. Cuando la relación entre señal-ruido (SNR) de la imagen original es deficiente, el procesamiento OSR convencional amplifica el ruido y degrada la resolución percibida. Por el contrario, TruSight SR logra una buena resolución.
Imágenes adquiridas utilizando el IXplore IX85 SpinSR (disco SoRa, lente de proyección: 2.8X) con el objetivo UPLXAPO100XO (A. N. de 1.45). Barra de escala: 2 μm.
Conservación de los valores de brillo de la imagen
Otra ventaja del algoritmo TruSight SR es la preservación de los niveles de intensidad de la imagen original, lo que permite un análisis y comparación de los valores de iluminación en imágenes de superresolución.
TruSight SR calcula la propagación del PSF a través del sistema óptico al basarse en la información del hardware, y recupera la imagen. Al mismo tiempo, conserva los valores de iluminación distribuidos con una cierta densidad de probabilidad. La Figura 6 muestra los histogramas de la imagen original sin tratar y la imagen TruSight SR.
Figura 6. Comparación de la iluminación antes y después del procesamiento TruSight SR.
a) Visualización de la proyección de intensidad máxima (MIP) de las imágenes originales sin tratar de apilamiento en Z provenientes de microtúbulos de células PtK2 capturadas con el IXplore IX85 SpinSR (disco SoRa, lente de proyección: 2.8X) usando el objetivo UPLXAPO100X (A. N. de 1.45).
b) Visualización de la MIP de imágenes a) procesadas usando el procesamiento 2D TruSight SR. La barra de escala es de 5 µm. Tanto (a) como (b) se muestran con valores LUT máximos y mínimos fijos. La intensidad de estas imágenes es casi la misma.
c) Histograma de la intensidad de todos los píxeles en las imágenes de apilamiento en Z. Se conservó más del 97 % de la suma total de valores de iluminación × número de píxeles. El 3% restante se compone principalmente de componentes de ruido, que varían ligeramente dependiendo de la relación entre señal-ruido (SNR) de la imagen.
Tal y como se muestra, la información de iluminación de la imagen original sin procesar se mantiene incluso después del procesamiento del filtro, lo que permite utilizar la imagen procesada para análisis cuantitativos.
Procesamiento de imágenes tridimensionales
TruSight SR también ofrece funciones de procesamiento de datos 3D además del procesamiento bidimensional (2D) convencional. La Figura 7 muestra un ejemplo de observación de perlas («beads») fluorescentes. Si bien la mejora de la resolución en el procesamiento 2D se limita al plano XY, el procesamiento 3D también mejora la dirección Z.
Figura 7. Ejemplos de procesamiento 2D y 3D de TruSight SR. Se utilizaron perlas fluorescentes con un diámetro de 100 nm para medir el anchura a media altura (FWHM) del PSF. Se capturó una imagen de perlas fluorescentes con el IXplore IX85 SpinSR (disco SoRa, lente de proyección: 2.8X) con el objetivo UPLXAPO100XS (A. N. de 1.35) en el paso de muestreo: paso XY: 46,4 nm; paso Z: 50 nm.
a) Imagen XY de la imagen original sin tratar (en bruto).
b) Imagen XY después del procesamiento 2D TruSight SR.
c) Imagen XY después del procesamiento 3D de TruSight SR.
d) Perfil X de las imágenes (a) a (c).
(e) Imagen XZ de la imagen original sin tratamiento (en bruto).
f) Imagen XZ después del procesamiento 2D TruSight SR.
g) Imagen XZ después del procesamiento 3D de TruSight SR.
h) Perfil Z de las imágenes (e) a (g). En el procesamiento 3D, se obtuvieron efectos de mejora de la resolución a nivel del plano XY y en la dirección Z.
La alta fiabilidad de la tecnología OSR continúa al ampliar el procesamiento tridimensional. Al determinar una imagen observada natural como objetivo después del procesamiento en la dirección Z (en lugar de restaurar la distribución del objeto), se suprime la reverberación en todas las direcciones XYZ.
Para asegurar la reproducibilidad de los resultados del procesamiento, también es necesario considerar cambios en el paso de muestreo. El paso de muestreo en el plano XY de la imagen está determinado principalmente por la ampliación y el tamaño del píxel de la cámara. Sin embargo, el paso de muestreo en la dirección Z lo establece arbitrariamente el usuario y no es constante. El procesamiento OSR convencional solo admite el procesamiento 2D y está limitado a combinaciones específicas de cámaras y sistemas de zoom. TruSight SR admite el procesamiento 3D y permite el uso de varias cámaras y sistemas de zoom. Por lo tanto, aunque el paso de muestreo de la imagen procesada varía bajo diferentes condiciones, está diseñado para lograr siempre el mismo grado de recuperación de imagen con la misma intensidad de filtro. La Figura 8 muestra un ejemplo de una PSF calculada bajo ciertas condiciones.
Figura 8. Comparación del efecto de paso de muestreo en los resultados del procesamiento.
a) y b) son PSF donde el valor de intensidad total se normaliza al considerar la distribución del valor de intensidad 3D. Si bien los intervalos Z durante la obtención de imágenes son significativamente diferentes, con los valores a) 0,2 µm y b) 0,02 µm, los perfiles XY en la sección transversal de intensidad máxima son uniformes en el gráfico (e).
c) y d) son PSF donde el valor de luminancia total se normaliza al considerar sólo la sección transversal del enfoque XY. Con este método de cálculo, cambiar las condiciones de procesamiento de imágenes del intervalo Z da como resultado una anchura de banda a media altura (FWHM), tal y como se muestra en el gráfico (f).
En la Figura 8f, la anchura de banda a media altura (FWHM) en la sección transversal XZ cambia con el paso de muestreo en Z, incluso bajo la misma intensidad de filtrado. Por el contrario, el gráfico (e) de la Figura 8 muestra el procesamiento de ajuste al considerar la distribución de intensidad dentro de los datos XYZ. Como resultado, es posible obtener un FWHM estable, independientemente del paso de muestreo en Z. Esto demuestra que TruSight SR admite resultados reproducibles adecuados para el análisis cuantitativo.
Aplicaciones prácticas del algoritmo TruSight SR
Mejora de la relación entre señal-ruido (SNR) a nivel del procesamiento de imágenes de superresolución
Durante el procesamiento de imágenes de células vivas, es necesario minimizar el impacto sobre las células vivas al usar la excitación luminosa más débil posible. Por lo tanto, es difícil obtener imágenes de fluorescencia con una óptima relación señal-ruido (SNR). TruSight SR proporciona imágenes de superresolución con una relación señal-ruido mejorada en imágenes en vivo, ya que favorece un procesamiento fiable basado en la deconvolución lineal con intensidades de filtro apropiadas para imágenes obtenidas con señales de fluorescencia tenues.
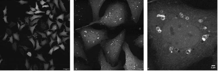
Figura 9. Procesamiento de imágenes en directo (Live) de superresolución: células U2OS expresadas en LC3-EGFP . Es posible obtener una imagen de superresolución y alta calidad a través del procesamiento TruSight SR incluso si la relación entre señal-ruido (SNR) de la imagen original, sin tratar, es deficiente. Izquierda: Imagen original sin trata con una relación entre señal-ruido deficiente, capturada con el IXplore IX85 SpinSR (disco SoRa, lente de proyección: 2.8X) con un objetivo UPLXAPO100XO (A. N. de 1.45). Derecha: Imagen izquierda procesada a través del procesamiento 2D TruSight SR (intensidad de filtro de 1,5). Barra de escala: 5 μm.
En el procesamiento de imágenes de células vivas con luz de excitación débil, un procesamiento de nitidez intenso puede hacer que se noten señales específicas llamadas ruido alveolar. TruSight SR brinda un procesamiento que aborda esta relación tan deficiente entre señal-ruido (SNR), lo que permite un procesamiento adecuado para obtener imágenes de células vivas.
Imágenes en vivo de superresolución obtenidas a través de un objetivo con almohadilla en gel de silicona de 25X
La lente de objetivo LUPLAPO25XS (A. N. de 0,85, D. T. de 2 mm) es la primera en el mundo que alberga una almohadilla en gel de silicona y cuyo índice de refracción coincide con el de las células y tejidos vivos; esto la hace ideal para imágenes profundas. El gel de silicona no se evapora como el agua ni se dispersa como el aceite de silicona, lo que permite una observación estable a largo plazo en intervalos. TruSight SR facilita el procesamiento de imágenes en vivo con superresolución al combinar el amplio campo visual de la lente del objetivo 25X con una lente de relé de aumento. Es posible identificar células objetivo en un amplio campo visual y capturar estructuras finas dentro de las células con una resolución equivalente a la de las imágenes confocales con un objetivo de 60X, 100X (NA 1,4) o superior, sin cambiar el objetivo.
Figura 10. Procesamiento de imágenes en directo (Live) de superresolución: células U2OS expresadas en LC3-EGFP. Izquierda: Procesamiento de imágenes confocal con el IXplore IX85 SpinSR (disco de 50 µm, lente de proyección: 1X). Centro: Imagen de superresolución con el IXplore IX85 SpinSR (disco SoRa, lente de proyección: 4X) que ha sido procesada mediante el procesamiento 2D TruSight SR (intensidad de filtro 1.0). Derecha: Imagen central ampliada digitalmente que ha sido procesada mediante el procesamiento 3D TruSight SR (intensidad del filtro: 2,0). Es posible adquirir sin problemas una imagen confocal de con un amplio campo visual y una imagen de superresolución sin tener que cambiar los objetivos.
Mejoras a nivel de la calidad de imagen con superresolución 3D
TruSight SR extiende a aplicaciones 3D la funcionalidad de procesamiento de deconvolución, la cual fue implementada originalmente en imágenes 2D basadas en las características de frecuencia del microscopio y en la información precisa de la función de dispersión de puntos (PSF),. Esto permite una resolución mejorada a lo largo del eje Z, incluso en muestras gruesas, manteniendo al mismo tiempo la precisión cuantitativa a través del procesamiento 3D basado en datos del sistema óptico.
Figura 11. Imágenes 3D de nucleoporos de células HeLa. Izquierda: Sección transversal XY y XZ de la imagen original sin tratar, capturada por el IXplore IX85 SpinSR (disco SoRa, lente de proyección: 2.8X) usando el objetivo UPLXAPO100XO (A. N. de 1.45). Centro: Imagen izquierda procesada usando el procesador 2D TruSight SR (intensidad de filtro: 2,5). Derecha: La imagen izquierda fue procesada mediante el procesamiento 3D TruSight SR (intensidad de filtro 2,5). Barra de escala: 2 μm
*Las células HeLa son una de las cepas celulares más importantes y conocidas para la investigación médica y el desarrollo científico. Han contribuido a importantes descubrimientos en inmunología, enfermedades infecciosas e investigación del cáncer, y han planteado serias dudas sobre la ética en el campo de la medicina. Visite el cibersitio henriettalacksfoundation.org para obtener más información sobre la vida de Henrietta Lacks y su contribución a la medicina moderna.
Diferencias a partir de la tecnología de deconvolución TruSight
Evident ofrece tanto la tecnología de superresolución TruSight SR, que se basa en el procesamiento OSR lineal, como la tecnología de procesamiento de deconvolución TruSight, la cual usa unalgoritmo iterativo restringido.3
Si bien la deconvolución del algoritmo iterativo restringido tiene un efecto de nitidez significativo, la velocidad de procesamiento y la calidad de la imagen se ven afectadas drásticamente por el método de implementación del algoritmo. Por ejemplo, los objetos de origen puntual son fáciles de estimar con gran precisión, pero las estructuras densas son difíciles de estimar. Al ejecutar un procesamiento correcto (p. ej., configuración de PSF, selección de algoritmos y selección de parámetros), es posible mejorar la precisión de la imagen estimada. Sin embargo, la relación entre las características de frecuencia antes y después del procesamiento no es uniforme. Por tanto, es necesario tener cuidado en la restauración final a partir de la predicción del objeto.4
Para obtener imágenes más precisas, detalladas y libres de artefactos, es necesario combinar hábilmente estos dos métodos. Por ejemplo, la Figura 12d muestra el resultado del procesamiento de deconvolución con parámetros no optimizados. Si bien se obtiene una imagen más nítida que la imagen original sin tratar, parte del plano de la representación estelar se ve distorsionado. TruSight SR suprime dichos artefactos a la vez que destaca bien los componentes de alta frecuencia. Si se optimizan los parámetros, la deconvolución TruSight puede lograr una resolución aún mayor sin causar artefactos extremos (Figura 13).
Figura 12. Imágenes de simulación de una representación estelar
Figura 13. Células NIH 3T3 cultivadas. Izquierda: Imagen original. Centro: Procesamiento 3D TruSight SR (intensidad del filtro: 3,0). Derecha: Deconvolución TruSight. Azul: Núcleos. Verde: Tubulina. Rojo: HSP60. Gris: Fibrilarina. Muestra proporcionada por EnCor Biotechnology Inc. Capturada con el IXplore IX85 SpinSR (disco SoRa, lente de proyección: 4X) con el objetivo UPLXAPO40XO (1,4 NA. Barra de escala: 10 μm.
Los usuarios del IXplore IX85 SpinSR, cuando usan la tecnología altamente precisa TruSight SR, con base en la información precisa del PSF y hardware, además del procesamiento de imágenes estimado de alta resolución de la deconvolución TruSight con parámetros optimizados, pueden extraer de manera reproducible la información necesaria contenida en las imágenes.
Conclusión
El algoritmo TruSight SR es una tecnología de procesamiento de imágenes que ha evolucionado a partir de la OSR. A diferencia de la deconvolución convencional, no restaura la distribución de objetos. En cambio, TruSight SR restaura imágenes microscópicas naturales de superresolución en función de la frecuencia de corte de un microscopio confocal.
Con la integración de un procesamiento 3D y una selección flexible de la intensidad del filtro, según la relación entre señal-ruido (SNR) de la imagen, es posible obtener imágenes de alta calidad con artefactos mínimos en prácticamente cualquier tipo de observación. Esto permite asegurar un procesamiento adecuado para aplicaciones donde la fiabilidad de la imagen es crucial después de la restauración.
Referencias
- Yonemaru, Y. «How Olympus Super Resolution and Spinning Disk Technology Achieve Fast, Deep, and Reliable Live Cell Super Resolution Imaging». EvidentScientific.com. Consultado el 13 de mayo de 2025.
- Hayashi S. «Resolution Doubling Using Confocal Microscopy via Analogy with Structured Illumination Microscopy». Japanese Journal of Applied Physics, 55, no. 8 (2016): 082501.
- Alvarenga, L. «Image Processing with Deconvolution». EvidentScientific.com. Consultado el 13 de mayo de 2025.
- López, J., et al. «Microscopy/Image Processing: A Deconvolution Revolution for Confocal Image Enhancement». Laser Focus World, 2 de enero, 2019.
Autores
Shintaro Fujii, I+D de soluciones de procesamiento de imágenes microscópicas, Óptica avanzada, Evident
Masahito Dohi, I+D de soluciones de procesamiento de imágenes microscópicas, Óptica avanzada, Evident
Productos presentados
IXplore IX85 SpinSR
Captura de la dinámica celular ultrapequeña con sorprendentes detalles de superresolución
- Mayores descubrimientos a través de un procesamiento de imágenes de alta velocidad con una resolución de hasta 120 nm
- Diseño que favorece la viabilidad celular prolongada en experimentos a intervalos de largo plazo
- Uso de la tecnología de disco giratorio Yokogawa
- Optimización provista por la plataforma IXplore IX85 y el algoritmo de superresolución TruSight™ SR de Evident