Notes d’application

Contactez-nous

Numérisation des lames à l’aide d’un microscope manuel et d’une caméra numérique

L’importance croissante de la numérisation des échantillons sur lame

Il devient de plus en plus important d’accroître l’efficacité des opérations de laboratoire en numérisant les échantillons sur lame, une pratique connue sous le nom d’« imagerie de lames entières » (WSI). L’imagerie de lames entières présente de nombreux avantages en matière de productivité, étant donné qu’il n’est pas nécessaire de configurer un microscope pour observer un échantillon. Vous pouvez désormais visualiser des images de lames virtuelles depuis votre PC, ce qui vous permet de modifier la position et le grossissement d’observation ainsi que d’observer un échantillon en même temps que des collègues à distance.

Si les scanners de lames entièrement motorisés peuvent rationaliser le processus de WSI, tous les chercheurs ne disposent pas du budget, de l’espace de travail ou des capacités de données nécessaires pour en posséder un. Si tel est le cas, vous pouvez combiner un microscope manuel BX53 d’Olympus avec une caméra numérique DP74 afin de réaliser des images de lames entières à un coût raisonnable dans un espace de travail restreint.

L’importance croissante de la numérisation des échantillons sur lame

Numérisation des lames à l’aide de l’imagerie de lames entières

Le procédé manuel d’imagerie de lames entières (mWSI) crée des données d’image numériques d’un échantillon complet sans utiliser de platine motorisée. L’approche mWSI combine le microscope manuel BX53 d’Olympus, la caméra numérique DP74 et le logiciel cellSens. Cette méthode efficace permet de créer un assemblage d’images de faible grossissement. À mesure que vous déplacez manuellement la platine, les images acquises s’assemblent en temps réel. L’image de l’échantillon complet peut être capturée sur une plage arbitraire. Par exemple, une zone d’échantillon de 15 mm2 peut être balayée en quelque 30 secondes à l’aide d’un objectif 4x.

Applications courantes du procédé manuel d’imagerie de lames entières

Cas 1. Analyses de groupe

Dans certaines situations, telles qu’un groupe d’étude, il peut s’avérer nécessaire que vous montriez un échantillon complet à un fort et à un faible grossissement. Le procédé manuel d’imagerie de lames entières vous permet de capturer une image de l’échantillon complet à l’aide d’un objectif à faible grossissement (figure 1), Le groupe peut échanger en observant l’image de lame virtuelle sur un écran, sans avoir à configurer et utiliser un microscope. Le procédé mWSI est également utile pour analyser des images d’échantillon capturées à un fort grossissement, dans la mesure où vous pouvez voir où l’image de la partie d’échantillon observée se trouve sur la lame (figure 2).

https://adobeassets.evidentscientific.com/content/dam/video/video/library/appnote_manual-whole-slide-imaging_m01_en_480.mp4

Figure 1 : Image à faible grossissement d’un échantillon

https://adobeassets.evidentscientific.com/content/dam/video/video/library/appnote_manual-whole-slide-imaging_m02_en_480.mp4

Figure 2 : Vous pouvez facilement déterminer l’emplacement de l’image

Cas 2. Images destinées à des conférences universitaires et articles de recherche

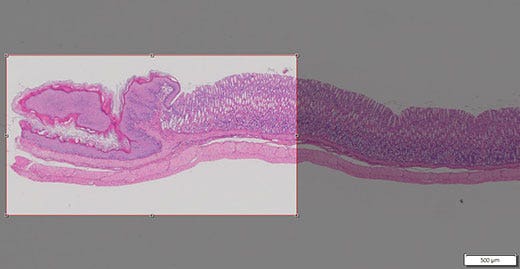
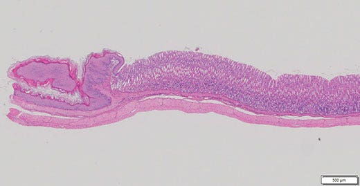
Les affiches de conférences universitaires et les articles de recherche doivent souvent comporter un vaste éventail d’images, mais la prise de la totalité d’un échantillon, même avec un objectif à faible grossissement, n’est pas toujours facile. Le procédé manuel d’imagerie de lames entières vous permet de prendre et d’assembler facilement des images de plusieurs zones pour obtenir une image d’ensemble parfaitement définie (figure 3), puis de découper cette mosaïque d’images pour isoler une zone spécifique (figure 4).

Fig. 3 : Image d’ensemble d’un échantillon

Fig. 3 : Image d’ensemble d’un échantillon

Fig. 4. Vous pouvez découper l’image d’ensemble afin d’isoler la zone d’intérêt

Fig. 4. Vous pouvez découper l’image d’ensemble afin d’isoler la zone d’intérêt

Cas 3. Archive numérique

Auparavant, des scanners de lames virtuelles entièrement motorisés étaient nécessaires si vous souhaitiez capturer un échantillon complet sous forme d’image de lame virtuelle. Grâce au procédé manuel d’imagerie de lames entières, vous pouvez créer une archive numérique en utilisant moins de données, simplement en ajoutant une caméra numérique DP74 et le logiciel cellSens à votre microscope BX53.
Par exemple, certains échantillons, tels que des amas de cellules, nécessitent de prendre plusieurs plans focaux. Cette opération est facilement réalisable en prenant une vidéo tout en déplaçant manuellement la position de mise au point, ce qui permet d’acquérir les informations nécessaires sous forme de fichier de taille réduite.

Cas 4. Consultation à distance

Courants dans le domaine de l’éducation, les échanges distants portant sur une observation nécessitent que l’animateur partage par voie électronique des images d’échantillons prises au microscope. Cependant, la configuration d’un microscope pour une visioconférence peut s’avérer longue et fastidieuse. En numérisant à l’avance l’ensemble de l’échantillon à l’aide du procédé manuel d’imagerie de lames entières, vous pouvez facilement examiner un échantillon avec des collègues et des consultants à distance.

Amélioration de l’observation grâce au procédé manuel d’imagerie de lames entières

Grâce à notre méthode manuelle d’imagerie de lames entières qui combine le microscope manuel BX53, la caméra numérique DP74 et le logiciel cellSens d’Olympus, vous pouvez observer les échantillons plus efficacement et à moindre coût qu’avec les scanners motorisés de lames virtuelles.

Produits utilisés pour cette application

BX53

Microscope à fluorescence semi-motorisé

  • Éclairage LED haute luminosité révélant les couleurs naturelles
  • Concept modulaire permettant la motorisation de composants individuels
  • Acquisition simple d’images en fluorescence multicolores

En savoir plus

DP74

Caméra numérique pour microscope

Permettant une imagerie de fluorescence précise, la caméra numérique pour microscope DP74, avec son capteur CMOS refroidi, produit des images couleur de haute qualité à 60 images par seconde. Le navigateur de position de la caméra permet également le repérage visuel de la zone d’intérêt.

  • Production d’images couleur de haute qualité d’échantillons vivants à 60 images par seconde
  • Navigateur de position permettant un traçage visuel de la zone d’intérêt dans une image assemblée
  • Capteur CMOS refroidi produisant des images de fluorescence parfaitement nettes avec un faible bruit

En savoir plus

cellSens

Solutions pour les sciences de la vie

D’une utilisation intuitive et d’une grande simplicité, l’interface utilisateur du logiciel cellSens est personnalisable pour vous permettre de contrôler l’agencement des écrans. Décliné en divers progiciels, le logiciel cellSens comprend toute une série de fonctionnalités optimisées pour vos besoins spécifiques en imagerie. Son gestionnaire d’expériences graphique et son navigateur de puits facilitent l’acquisition d’images 5D. Profitez d’une meilleure résolution grâce à la déconvolution TruSight™ et partagez vos images en mode « Conference » (Conférence).

  • Améliorez l’efficacité des expériences avec l’analyse par segmentation par apprentissage profond TruAI™ permettant la détection des noyaux et la numération des cellules sans marquage.
  • Plateforme logicielle d’imagerie modulaire
  • Interface utilisateur intuitive axée sur les applications
  • Large ensemble de fonctions allant du simple instantané aux expériences multidimensionnelles avancées en temps réel

En savoir plus