Éclairer l’invisible : la capacité de scanR à rendre l’invisible visible

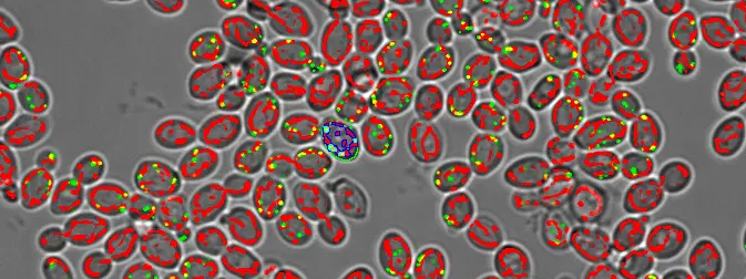
Yeasts imaged with the scanR high-content screening system and analyzed with TruAI deep-learning technology.

Rebecca Chandler

Rebecca Chandler

24 juillet 2025

Image en gros plan de levures en plaque à puits prise de manière automatisée à l’aide d’un système de criblage à haut contenu scanR équipé de la technologie de microscope à disque rotatif et d’un objectif à sec XAPO (ON 0,95) de 40X. Le cadre de la caméra étant plus grand, l’image originale est quatre fois plus grande que l’image présentée. Les levures possèdent un diamètre d’environ 5 µm. Les signaux rouges et verts sont des probabilités d’organites générées par des réseaux d’IA préentraînés intégrés au logiciel scanR.

scanR dote les chercheurs de la possibilité de créer, de découvrir et d’accomplir encore plus de choses qu’avant.

Chez Evident, l’innovation, ce n’est pas simplement élaborer de nouveaux outils : c’est favoriser un avenir dans lequel scientifiques et cliniciens peuvent lever les obstacles, dévoiler ce qui était autrefois invisible et réaliser des progrès importants en matière de santé, de biologie et de technologie.

La version 3.6 de notre système de criblage à haut contenu, récemment implémentée, est au premier plan de cette mission. Pour en savoir plus, nous sommes allés voir le Dr Manoel Veiga, spécialiste des applications chez Evident et l’un des cerveaux derrière la dernière itération de scanR.

Il s’en est suivi une conversation enrichissante portant sur de nombreux thèmes, dont l’avenir de l’imagerie, de l’intelligence artificielle et de la découverte à grande échelle.

Développer des plateformes qui repoussent les limites de la découverte scientifique

Q : Manoel, commençons par les bases. Qu’est-ce que le mot « créer » signifie dans le cadre de la version 3.6 de scanR ?

Dr Veiga  : Chez Evident, « créer » consiste à fournir aux chercheurs une plateforme qui va au-delà de la collecte d’images. Il s’agit de favoriser la création d’une connaissance réelle. scanR sert de tremplin pour l’innovation scientifique, qu’il s’agisse d’élaborer un essai totalement nouveau à partir de zéro ou un nouveau modèle d’IA pour améliorer un essai existant.

Passons en revue quelques exemples anciens et récents. Il y a plus de dix ans, des chercheurs inspirés par l’interface de la cytométrie d’images de scanR ont développé un pipeline d’acquisition et d’analyse complète qu’ils ont alors baptisée « Cytométrie en image quantitative ». Cette initiative a engendré de nombreux articles à fort impact dans la recherche sur le cancer.1 Des diagrammes de dispersion de milliers de noyaux individuels, représentant le contenu en ADN par rapport à des marqueurs protéiques spécifiques, ont aidé à comprendre les mécanismes et les voies impliqués dans la réponse à des médicaments.

Pas plus tard que cette année 2025, un chercheur a utilisé l’IA et les capacités de cytométrie de scanR pour élaboré une procédure qu’il a appelée « Procédure d’analyse quantitative des fibres d’ADN basée sur l’IA ». Cette procédure utilise une approche automatisée pour étudier le stress réplicatif en analysant des fibres d’ADN individuelles à partir d’images prises au microscope.2 L’analyse de fibres d’ADN existait déjà, mais elle s’appuyait exclusivement sur l’acquisition et l’analyse manuelles d’images, ce qui rendait la tâche chronophage et sujette aux biais de l’utilisateur. La nouvelle procédure d’analyse des fibres d’ADN basée sur l’IA (qAID) rend possible l’analyse multiparamétrique de milliers de fibres d’ADN à partir d’images en quelques dizaines de minutes.

Étapes de l’analyse automatisée de fibres d’ADN à partir d’images à l’aide du système de criblage à haut contenu scanR.

Ces exemples montrent que, lorsque les chercheurs s’équipent d’un système scanR, ils n’achètent pas simplement un microscope. Ils obtiennent de véritables résultats.

Q : Qu’est-ce qui distingue scanR 3.6 des versions précédentes ?

Dr Veiga  : Le changement le plus important, c’est que la version 3.6 de scanR fonctionne avec la plateforme IXplore™ IX85, un microscope inversé motorisé avec un indice de champ à la pointe de l’industrie de 26,5 mm pour un champ de vision inégalé. Les images individuelles de la caméra sont aussi plus grandes, ce qui génère de meilleures statistiques : 50 % de cellules supplémentaires par image ; et des acquisitions plus rapides, puisque vous n’avez pas à collecter autant d’images qu’avant pour obtenir les mêmes statistiques cellulaires.

Gauche : L’augmentation l’indice de champ augmente le nombre de cellules. Droite : Plateforme de microscope inversé motorisé IXplore IX85.

Mis à part la nouvelle plateforme IX85, nous prenons désormais en charge une grande variété de configurations à disque rotatif. En plus du CSU-W1 de Yokogawa qui permet d’effectuer de l’imagerie à super-résolution dans sa version SoRa, nous avons désormais intégré le disque rotatif Crest X-Light V3 avec un système de couplage spécial afin de maximiser le grand champ de vision du IX85.


Il faut aussi mentionner qu’il n’y a pas que le matériel qui permet d’obtenir des résultats plus rapides.

La partie logicielle est tout aussi importante :

  1. Un matériel performant ne permettra pas de prendre des images plus rapidement si les utilisateurs passent beaucoup de temps à configurer les expériences d’acquisition. scanR permet de lancer des expériences d’acquisition en seulement quelques clics dans l’interface du logiciel, tout en maintenant la mise au point sur toutes les cellules.
  2. L’acquisition et l’analyse en parallèle accélèrent la vitesse globale. Nous avons reçu des retours d’utilisateurs indiquant qu’il était désormais possible de terminer beaucoup plus rapidement (parfois en quelques heures seulement) des tâches qui prenaient des semaines, voire des mois.

Q : L’IA semble jouer un rôle plus important dans la version 3.6 de scanR. Comment améliore-t-elle le système ?

Dr Veiga : La plupart des essais d’analyse se basent sur la même séquence :

1) Segmentation des objets.

2) Extraction des caractéristiques de ces objets.

3) Classification des cellules individuelles en fonction des caractéristiques extraites.

4) Enfin, obtention d’un pourcentage précis de la population de chaque type de cellule en fonction des traitements.

Mieux vous segmentez ces objets, meilleure sera la qualité des résultats. Cela tient au fait que les facteurs d’intensité et de forme sont extraits avec une grande précision et que les classifications de cellules subséquentes sont plus fiables. Ainsi, si vous pouvez segmenter précisément ce que vous voulez, vous pouvez effectuer une grande variété d’analyses adaptées à diverses applications d’imagerie.

Auparavant, les utilisateurs avaient besoin d’acquérir beaucoup d’expérience en traitement des images pour segmenter de façon sélective uniquement les structures qui les intéressaient. Heureusement, la segmentation est désormais facile avec l’IA. C’est un outil qui simplifie énormément les essais. La version 3.6 de scanR est dotée de cinq réseaux préentraînés (noyaux, cellules, points, structures et noyaux en transmission) qui assistent les utilisateurs lors des tâches d’analyse les plus courantes.

Pluripotent stem cells acquired and segmented with a scanR widefield microscope. Image de cellules souches pluripotentes acquise à l’aide d’un microscope à grand champ de scanR. Le résultat d’un modèle d’IA de segmentation de cellules préentraîné appliqué dans le canal vert est représenté en jaune, tandis que le résultat d’un modèle d’IA de segmentation de noyaux préentraîné appliqué au canal orange est représenté en rouge.

En dehors de ces modèles, les utilisateurs peuvent utiliser un module d’entraînement d’IA pour développer leurs propres algorithmes afin de segmenter des structures spécifiques sans nécessiter de compétences en codage informatique. Que cette tâche consiste à trouver des ponts chromosomiques lors de la mitose, à analyser l’interaction entre des cellules en imagerie à intevalle ou à identifier un schéma de distribution de fluorescence particulier au sein d’une cellule, l’IA atteint un niveau de sophistication qu’il nous aurait été impossible d’atteindre autrement.

Enfin, il est possible d’utiliser également la classification de scanR et les outils d’IA pour identifier et reprendre des images rapidement des cellules ou structures d’intérêt à haute résolution en appliquant la réacquisition de la fonction de région.

Éclairer l’invisible : rendre l’invisible visible

Q : « Éclairer l’invisible » est le mot d’ordre d’Evident pour repousser les limites de la découverte scientifique. Qu’est-ce que cela implique pour les chercheurs qui utilisent scanR ?

Dr Veiga : « Éclairer l’invisible » consiste à dévoiler la complexité et la richesse des systèmes biologiques souvent manquées par les techniques d’imagerie traditionnelles. Pendant des décennies, la microscopie consistait à observer ce qui était immédiatement visible : les caractéristiques lumineuses, les cellules marquées et les marqueurs fluorescents. Mais il se passe tellement plus de choses sous la surface. scanR permet aux chercheurs de capturer et d’analyser des millions de cellules et d’acquérir ainsi une vision plus complète de la variabilité biologique, pas seulement quelques images représentatives.

En outre, le système scanR peut identifier des structures subcellulaires, des phénotypes cellulaires ou des comportements dynamiques, qui sont autrement trop subtiles pour pouvoir être observés ou trop complexes pour pouvoir être mesurés. C’est pourquoi les chercheurs peuvent examiner de nouvelles questions scientifiques auparavant hors de leur portée.

Il ne s’agit pas juste de données brutes ; il s’agit aussi d’ouvrir des perspectives qui étaient jusque-là inaccessibles. C’est ça, la vraie force de scanR : éclairer l’invisible et doter les chercheurs des outils pour faire ces découvertes.

Q : Pouvez-vous nous donner un exemple concret de la façon dont cela se traduit dans le cadre de la recherche ?

Dr Veiga : Bien sûr. Par exemple, deux images l’une à côté de l’autre, qui contiennent des milliers de cellules chacune, peuvent sembler très similaires à l’œil nu. Cependant, lorsque ces cellules sont classées et représentées graphiquement dans des histogrammes multidimensionnels, la différence entre les échantillons devient évidente.

Comparison of cell populations using the scanR high-content screening platform. L’image à gauche (témoin) est nettement différente des deux autres (elles sont plus lumineuses et présentent davantage de cellules roses). Cependant, les différences entre les deux images à droite ne sont pas si évidentes que ça. Les histogrammes 2D représentant les valeurs d’intensité des différents signaux fluorescents révèlent clairement des pourcentages différents des différentes populations de cellules dans les trois images.

Étant donné que scanR peut analyser des données en parallèle de l’acquisition, nous pouvons examiner en profondeur les échantillons des clients lors des démonstrations. Les chercheurs habitués à un débit d’imagerie inférieur et à des statistiques de cellules inférieures sont parfois surpris en examinant l’histogramme 2D, car ils découvrent des phénotypes auxquels ils ne s’attendaient pas.


Bien qu’ils puissent ne représenter qu’un faible pourcentage, ils sont facilement identifiables comme des cas paressant aberrants dans les histogrammes 2D. Malgré leur faible pourcentage, si leur présence est reproductible, ils peuvent avoir une importance biologique. Les utilisateurs peuvent cliquer directement sur les histogrammes 2D et voir les cellules derrière n’importe quel point de données afin d’avoir un contrôle total de l’expérience. Ils peuvent alors s’intéresser à de nouvelles questions scientifiques.

2D histogram in scanR showing a cell with an abnormal number of spots. Une cellule présentant un nombre anormal de points est facilement identifiée comme un cas aberrant dans un histogramme 2D. Une nouvelle image de la cellule peut être prise à un plus fort grossissement (ou même en passant du grand champ à l’observation confocale) à l’aide de la fonction Rescan Region (Réacquérir la région).

Faire ce qui compte : satisfaire les besoins réels

Q : En quoi la version 3.6 de scanR apporte-t-elle des changements en matière d’utilisation concrète ?

Dr Veiga : Dans le monde réel, le temps, les ressources et la marge de manœuvre sont tous limités. Il est donc essentiel que scanR 3.6 puisse fonctionner en tenant compte de ces contraintes. Nous avons conçu scanR pour qu’il soit modulaire en permettant aux laboratoires de commencer avec une configuration de base, puis de la faire évoluer en fonction de leurs besoins, par exemple en ajoutant des fonctionnalités d’IA, l’incubation de cellules vivantes, le suivi des cellules ou l’imagerie à super-résolution. De plus, scanR et le logiciel cellSens™ peuvent coexister sur le même microscope, ce qui élargit la flexibilité du système. Il s’agit de fournir un système qui se développe avec les besoins du laboratoire, sans ajouter une complexité inutile.

Du point de vue logiciel, je suis ravi d’avoir été témoin de la façon ingénieuse dont scanR a été conçu depuis sa première version. Au fil des années, sa structure nous a permis d’intégrer facilement de nouvelles fonctionnalités dans l’ensemble d’outils d’analyse, telles que le traitement d’images, la hiérarchie d’objets, le suivi de cellules et la segmentation par IA. Les données brutes ne sont jamais modifiées et plusieurs analyses peuvent être exécutées sur le même ensemble de données sans avoir besoin de dupliquer les images. Il est possible d’utiliser un ou plusieurs modèles d’IA dans un ou plusieurs canaux dans un empilement Z complet ou dans une seule couche Z. Les probabilités de l’IA peuvent être inspectées à des fins de contrôle de la qualité, etc. De mon point de vue, il s’agit de l’interface parfaite l dévloppement d’essais et d’analyse par IA. Et c’est un plaisir de travailler avec ce logiciel : c’est l’outil le plus agréable avec lequel j’ai travaillé de toute ma carrière, et de loin !

De plus, les responsables de services d’imagerie ont indiqué que les scanR couplés avec le logiciel cellSens étaient devenus la solution de microscope la plus utilisée en matière de temps passé sur le système, dépassant même les microscopes confocaux. Les résultats qu’ils obtiennent représentant la véritable mesure du succès.3

Q : Pour finir, qu’est-ce qui vous anime le plus à propos de l’avenir de scanR et du rôle d’Evident dans les sciences de la vie ?

Dr Veiga : Personnellement, ce qui m’anime le plus, c’est de me rendre compte que les utilisateurs de scanR ne sont pas que nos consommateurs ; ce sont aussi nos collaborateurs immédiats. Leurs retours sur les systèmes nous aident à nous améliorer d’année en année, et nous l’adaptons en fonction de leurs besoins scientifiques autant que possible. En outre, scanR va au-delà de l’imagerie et de l’analyse, et nous fournissons une assistance pour configurer les essais analytiques qui nous apportent des informations sur leur recherche et sur les dernières tendances en matière de microscopie. Du point de vue d’une entreprise, scanR est un grand atout pour rester à jour en matière de sciences.

Enfin, chez Evident, nous ne faisons pas qu’élaborer des solutions de microscopie de pointe ; nous contribuons à l’avenir de la science. Et je pense que scanR se trouve au cœur de cet avenir. Notre mission est d’apporter de nouvelles possibilités aux chercheurs. Nous voulons que chaque scientifique ait accès aux meilleurs outils d’imagerie, qu’importe la taille de son laboratoire ou ses sujets de recherche.

Qui est Manoel Veiga ?

Manoel Veiga

Manoel Veiga a obtenu son doctorat en physicochimie à l’université de Saint-Jacques de Compostelle, en Espagne. Après deux postdoctorats à l’université Complutense de Madrid et à l’université de Münster, il a travaillé pour soutenir les professionnels du monde entier dans les domaines de la microscopie d’imagerie en temps de vie de fluorescence (FLIM) et de la spectroscopie résolue en temps. Il a mis son expérience au profit de l’EVIDENT Technology Center Europe en 2017, où il a travaillé en tant que spécialiste en applications global en se concentrant sur l’analyse à haut contenu et sur l’apprentissage profond.

Références

  1. Toledo, L.I., M. Altmeyer, M.B. Rask, C. Lukas, D.H. Larsen, L.K. Povlsen, S. Bekker-Jensen, N. Mailand, J. Bartek et J. Lukas. 2013. « ATR Prohibits Replication Catastrophe by Preventing Global Exhaustion of RPA. » Cell 155 (5): 1088–103.

    Michelena, J., A. Lezaja, F. Teloni, T. Schmid, R. Imhof, et M. Altmeyer. 2018. « Analysis of PARP Inhibitor Toxicity by Multidimensional Fluorescence Microscopy Reveals Mechanisms of Sensitivity and Resistance. » Nature Communications 9 (1): 2678.

    Zonderland, G., R. Vanzo, S.A. Gadi, E. Martín-Doncel, F. Coscia, A. Mund, M. Lerdrup, J. Benada, D. Boos, et L. Toledo. 2022. « The TRESLIN-MTBP Complex Couples Completion of DNA Replication with S/G2 Transition. » Molecular Cell 82 (18): 3350–65.e7.
  2. Fagherazzi, Paolo, Timo Diekmann, Alessandra Ardizzoia, Zuzana Machacova, Simran Negi, Anoop Kumar Yadav, Pavel Moudry, Vincenzo Costanzo et Hana Polasek-Sedlackova. 2025. « Quantitative AI-Based DNA Fiber Workflow to Study Replication Stress. » bioRxiv.
  3. Veiga, Manoel. 2022. « Multimodal Solution Supports Whole Slide Scanning and High-Content Screening in Neuroscience. » EvidentScientific.com. Consulté le 24 juillet 2025.

Produits en vedette

scanR High-Content Screening System

Système de criblage à haut contenu scanR

En savoir plus

Rebecca Chandler, Picture

Rebecca Chandler

Rédactrice attitrée

Rebecca est titulaire d’un baccalauréat en journalisme de Endicott College et écrit au sujet des tendances et des technologies dans le domaine des sciences et de l’industrie. Elle travaille étroitement avec les ingénieurs et les scientifiques d’Evident pour écrire des articles sur les derniers systèmes de microscopes à balayage laser, à super-résolution, multiphotoniques, droits, stéréo et inversés, ainsi que sur les logiciels, les caméras et l’optique de pointe. Suivez son travail pour en savoir plus sur les dernières nouveautés d’Evident pour de nombreuses applications, y compris la cytologie, l’anatomopathologie, l’éducation et bien plus encore.