La course à la microscopie à super-résolution : la déconvolution est-elle suffisante?

Échantillons de microscopie à super-résolution

Lauren Alvarenga

Lauren Alvarenga

1 octobre, 2019

La remise en 2014 du prix Nobel de chimie à trois scientifiques « pour le développement de la microscopie de fluorescence super-résolue » a suscité un grand intérêt de l’industrie du microscope pour les techniques de microscopie à super-résolution au cours des cinq dernières années.

Pour ceux qui ne connaissent pas ce terme, la microscopie à super-résolution désigne toute technique optique utilisée pour visualiser des échantillons à une résolution supérieure à limite de diffraction des microscopes optiques classiques.

L’article de blogue d’aujourd’hui abordera en profondeur la microscopie à super-résolution. Découvrez les limites des microscopes à super-résolution et des moyens de bénéficier de la super-résolution sur votre système de microscope existant.

Limites des microscopes à super-résolution

Aujourd’hui, presque tous les fabricants de microscopes commerciaux proposent des microscopes à super-résolution. Ces microscopes sont presque aussi faciles à utiliser qu’un microscope confocal ordinaire, mais cela n’a pas toujours été le cas. Il a fallu des années pour créer des microscopes à super-résolution conviviaux qui ne nécessitent pas d’experts pour les utiliser et les aligner.

Au début, une vague d’intérêt pour la super-résolution a balayé le milieu de la recherche. Mais l’intérêt s’est estompé lorsque les chercheurs ont réalisé tous les efforts nécessaires pour effectuer ces expériences. Les résultats ne valaient pas la peine de modifier la préparation des échantillons, de modifier les supports d’imagerie ou d’effectuer des tâches fastidieuses comme l’établissement de la correspondance des indices de réfraction.

Les microscopes confocaux peuvent-ils produire des images en super-résolution?

Il a été bien établi que la réduction de la taille du sténopé en dessous de 1 UA dans les microscopes confocaux permet d’accroître la résolution.

Théoriquement, cela pourrait permettre une augmentation de la résolution de 2x, niveau qui définit généralement la super-résolution. Dans la pratique, il a cependant été constaté que la résolution ne peut être améliorée que d’environ 1,4x, car les signaux de haute fréquence sont faibles par rapport aux nombreux signaux de basse fréquence.

Par conséquent, les efforts se sont concentrés sur la manière dont les technologies existantes, comme le microscope confocal, pourraient être améliorées pour utiliser les informations spatiales haute fréquence existantes déjà présentes dans ces images. Naturellement, on a tout de suite pensé à la déconvolution.

Comment fonctionne la déconvolution?

Les algorithmes de déconvolution fonctionnent en réaffectant les photons mal focalisés à leurs positions d’origine, sur la base d’une fonction d’étalement de point (PSF) théorique ou acquise, pour augmenter la netteté et la résolution des images acquises.

De fait, les algorithmes de déconvolution seuls peuvent réduire la largeur à mi-hauteur (LMH) de microsphères fluorescentes en sous-résolution pour atteindre une augmentation mesurée de la résolution de 2x sur un grand champ.

Avant d’aller plus avant, prenons le temps de définir la résolution dans le contexte de la microscopie. Traditionnellement, la résolution est définie à l’aide du critère de Rayleigh, qui spécifie qu’il doit y avoir une réduction d’au moins 26 % de l’intensité entre deux objets pour les définir correctement comme deux objets séparés.

le critère de Rayleigh : il doit y avoir une réduction d’au moins 26 % de l’intensité entre deux objets pour les définir correctement comme deux objets séparés

Plus communément, on parle de résolution en deux points. L’amincissement de la LMH d’un objet en sous-résolution par déconvolution fournit des images plus nettes, mais cela peut ne pas être suffisant pour obtenir une super-résolution.

Cela soulève la question suivante : la déconvolution est-elle suffisante pour fournir de véritables données de super-résolution dans des échantillons réels?

La réponse est non.

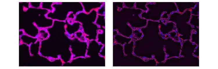
L’une des méthodes de déconvolution linéaire les plus connues est le filtre de Wiener. Le filtre de Wiener traite toutes les données de haute fréquence de la même manière, ce qui conduit à la formation d’artefacts de troncature, comme l’illustre la figure ci-dessous :

Artefacts de troncature du filtre de Wiener

Certains peuvent soutenir que ces artefacts sont minimisés en modifiant la force du filtre ou en excluant complètement les chercheurs. Mais la réalité est que les gros artefacts ne sont pas acceptables lors de l’observation de structures en dessous de la limite de résolution.

En tenant compte de tous ces éléments, nous avons développé l’Olympus Super Resolution.

Capturez des images (super) claires avec l’Olympus Super Resolution

Qu’est-ce que l’Olympus Super Resolution exactement? L’OSR est un processus de filtrage qui amplifie ou atténue des informations spatiales de haute fréquence spécifiques pour produire un résultat plus fiable.

Principe de l’Olympus Super Resolution

Ce processus peut être associé à des algorithmes de déconvolution pour rendre les images en super-résolution plus nettes et plus claires.

Pour découvrir comment l’Olympus Super Resolution peut vous aider à acquérir des images d’une grande netteté sur votre microscope, contactez-nous dès aujourd’hui.

Lauren Alvarenga

Lauren Alvarenga

Responsable de produit sénior, Microscopie pour les sciences de la vie

Lauren Alvarenga est responsable de produit sénior pour la microscopie clinique chez Evident. Elle est spécialisée dans les objectifs et les logiciels d’imagerie. Elle est titulaire d’une maîtrise en communications photographiques biomédicales du Rochester Institute of Technology.