Imagerie de lames entières

Objectifs haute performance X Line et scanner de lames pour la recherche SLIDEVIEW VS200

Contactez-nous

Qualité d’image améliorée

Grâce à une planéité étendue, à une ouverture numérique plus grande et à une correction de l’aberration chromatique améliorée, les images obtenues sont nettes et de haute résolution, avec une excellente reproduction des couleurs. Les caractéristiques d’évaluation histologiques importantes, comme la couleur du tissu, la morphologie cellulaire et les microparticules nucléaires sont clairement visibles.

Exceptional Stitching Accuracy

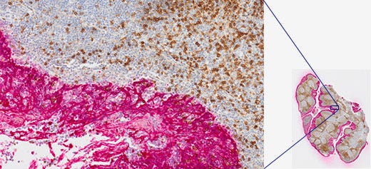
CD3 d’amygdale (rm), réactif ImmPRESS (PR), anti-IgG de souris Immpact DAB (brun), AE1/AE3 (m) ImmPRESS (AP) (PR), colorant rouge anti-IgG de lapin Immpact de Vector (rouge). Contrecoloré avec la solution Hematoxylin QS (bleu).
Exemples de lames offerts par Vector Labs.

Assemblage d’images précis

La planéité étendue augmente la précision de l’assemblage d’images provenant de champs de vue adjacents. Ainsi, les images haute résolution acquises au moyen du scanner de lames VS200 s’assemblent parfaitement sans irrégularité pour former une lame entière virtuelle, avec une mise au point conservée aussi bien en vue « macro » que « micro ».

Excellente imagerie multicanal

La correction de l’aberration chromatique sur une plage étendue allant de 400 nm à 1000 nm facilite la superposition précise d’images de fluorescence obtenues à différentes longueurs d’onde. De plus, des images de lame fluorescentes de grande qualité peuvent être acquises rapidement, et ce, sur plus de quatre canaux.

Exceptional Color Accuracy

Image d’un tissu de poumon produite par un scanner VS200 à x20, coloré avec une trousse de multiplexage PD-L1 Ultivue; Dapi : contre-colorant nucléaire, FITC : CD8, TRITC : CD68, Cy5 : PD-L1, Cy7 : panCK.
Données d’images offertes par Ultivue Inc.

Produits connexes

VS200

VS200

  • Qualité d’image exceptionnelle pour la quantification
  • Souplesse permettant l’adaptation à une variété d’applications
  • Faites-en plus en moins de temps
  • Flux de travaux simplifié et efficace

En savoir plus

Le VS200 n’est pas destiné à un usage de diagnostic clinique.