Comment l’algorithme TruSight™ SR permet d’effectuer de l’imagerie à super-résolution avec un microscope confocal à disque rotatif
Introduction
L’algorithme TruSight SR d’Evident est une nouvelle technologie de super-résolution mise au point à partir de l’Olympus Super Resolution (OSR)1 et intégrée au microscope confocal à disque rotatif et à super-résolution IXplore™ IX85 SpinSR. Cette technologie améliore la microscopie confocale en optimisant les sténopés et en employant un moteur de traitement basé sur la théorie optique pour obtenir une imagerie à super-résolution.
TruSight SR va au-delà des capacités de l’OSR dans les images à faible rapport signal/bruit (RSB) en intégrant une intensité de filtrage adaptative et des capacités de traitement tridimensionnel (3D). Cette avancée améliore la qualité des images dans des conditions de faible RSB, comme lors de l’imagerie de cellules vivantes présentant des signaux de fluorescence faibles. En restituant des images à super-résolution naturelles et en préservant les valeurs de luminosité, TruSight SR fournit des données d’image cohérentes qui permettent une analyse quantitative fiable dans de nombreuses applications.
Cet article technique présente en détail l’algorithme de super-résolution TruSight SR d’Evident et ses applications et explique comment cet algorithme contribue à l’amélioration de la qualité des images prises au microscope.
Voici les principaux sujets abordés :
- Les avantages clés de l’algorithme TruSight SR
- La constitution d’un système de microscope à super-résolution
- L’évolution de notre technologie de super-résolution
- Les applications pratiques
- L’amélioration de la qualité des images à super-résolution 3D
- Les différences avec la technologie de déconvolution TruSight
L’algorithme TruSight SR est le fruit de l’évolution de la technologie de super-résolution OSR exclusive d’Evident. L’OSR combine des techniques de traitement numérique pour maximiser les performances des microscopes confocaux et produire des images à super-résolution. Comparée à la déconvolution de Wiener traditionnelle, la technologie OSR fournit des résultats fiables et produit des images à super-résolution naturelles à la mesure de la fréquence de coupure des microscopes confocaux.
Toutefois, l’OSR classique présentait une limite lorsqu’elle était appliquée à des images à faible rapport signal/bruit (RSB) : elle pouvait accentuer les composantes de bruit et détériorer la résolution. Pour remédier à ce problème, nous avons fait évoluer l’OSR pour donner naissance à TruSight SR, une technologie dotée d’une meilleure résistance au bruit. Cette amélioration permet d’obtenir des images à super-résolution avec un RSB élevé, même lorsque l’intensité de fluorescence est faible, comme c’est souvent le cas lors de l’imagerie de fluorescence de cellules vivantes. Parallèlement, TruSight SR conserve la résolution spatiale rapide et fiable de 120 nm déjà offerte par l’OSR d’origine. L’algorithme intègre également des capacités de traitement 3D permettant d’effectuer de l’imagerie à haute résolution d’échantillons épais. Cette évolution technologique permet une restauration d’image de haute qualité dans un large éventail d’applications.
TruSight SR est désormais intégré au microscope confocal à disque rotatif et à super-résolution IXplore IX85 SpinSR (figure 1).
Figure 1 – Microtubules de cellules PtK2.
À gauche : image confocale prise avec un disque rotatif (agrandissement numérique 2,8X) sur le système IXplore IX85 Spin (disque de 50 µm).
À droite : image à super-résolution acquise avec l’IXplore IX85 SpinSR (disque SoRa, lentille de projection : 2,8X).
Objectif : UPLXAPO100XO (ON 1,45). Échelle graphique : 5 µm.
Constitution d’un système de microscope à super-résolution
Différents types de traitements numériques ont été développés pour les images de microscope. Evident a initialement conçu un système de microscope à super-résolution en combinant la microscopie confocale à disque rotatif avec le traitement informatique OSR. La technologie OSR maximise les performances des microscopes confocaux afin d’atteindre la super-résolution. Il est établi que la fréquence de coupure des microscopes confocaux est deux fois supérieure à celle des microscopes à fluorescence à grand champ. Toutefois, en raison de la faible proportion de composantes à haute fréquence dans l’image, la résolution spatiale des microscopes confocaux ne différait pas significativement de celle des systèmes à fluorescence à grand champ. L’OSR améliore l’efficacité d’acquisition du signal à proximité de la fréquence de coupure en optimisant les réglages des sténopés. Elle applique également un traitement informatique de filtrage linéaire pour générer l’image finale en super-résolution.2
L’un des atouts majeurs du traitement OSR réside dans la fiabilité élevée des résultats obtenus, ce qui ressort nettement lorsqu’on le compare à d’autres méthodes courantes telles que la déconvolution de Wiener. L’image observée au microscope peut être représentée par convolution de la distribution de l’objet et de la fonction d’étalement du point (FÉP). Dans le domaine fréquentiel, cela correspond à une atténuation des caractéristiques fréquentielles de la structure de l’objet par l’intermédiaire de la transformée de Fourier de la PSF (appelée « fonction de transfert optique » [FTO]). La déconvolution de Wiener résout la convolution en multipliant l’inverse de la FTO par les caractéristiques fréquentielles de l’image observée, rétablissant ainsi la distribution originale de l’objet.
En pratique, un simple filtrage inverse peut être instable dans les hautes fréquences. L’intensité de filtrage est donc limitée afin de restituer les composantes du signal au plus près de celles de l’objet d’origine. À l’inverse, le traitement OSR (Optical Super Resolution) vise à produire une image observée naturelle alignée sur la fréquence de coupure. La figure 2 illustre les différences de caractéristiques fréquentielles entre la déconvolution de Wiener et le traitement OSR. La déconvolution de Wiener vise à produire une réponse fréquentielle plate. Cependant, en raison de la fréquence de coupure du système optique du microscope, une réponse parfaitement plate ne peut être obtenue : une atténuation marquée apparaît à proximité de cette fréquence. Une telle réponse en escalier peut entraîner des oscillations parasites prononcées dans l’image restaurée, ce qui génère des artéfacts.
Le traitement OSR, en revanche, effectue une restauration pour obtenir une image de microscope naturelle en ciblant une résolution équivalente à deux fois la fréquence de coupure d’un microscope confocal (soit le double de celle des microscopes à fluorescence à grand champ).2 En adoptant une réponse fréquentielle qui s’atténue progressivement à l’approche de la fréquence de coupure, l’OSR supprime les artéfacts liés aux oscillations parasites tout en maximisant le signal exploitable dans la fréquence de coupure. Il en résulte une super-résolution d’une résolution deux fois supérieure.
Figure 2 – Comparaison entre la déconvolution de Wiener et le traitement OSR
a) et d) montrent les caractéristiques fréquentielles après traitement. Dans la déconvolution de Wiener, la restauration du signal vise une réponse fréquentielle plate à l’intérieur de la fréquence de coupure. Le traitement OSR, en revanche, cherche à obtenir une réponse qui s’atténue progressivement à l’approche de cette fréquence. Bien que la forme de la courbe de réponse soit similaire à celle d’un microscope conventionnel, la bande passante est deux fois plus large.
b) et e) montrent la fonction d’étalement du point (FÉP) correspondant aux réponses restaurées. Lorsque la réponse fréquentielle présente une atténuation abrupte, comme dans le cas de la déconvolution de Wiener, la FÉP restaurée présente des oscillations positives et négatives prononcées. Le traitement OSR, en revanche, supprime ces oscillations parasites.
c) et f) sont des images simulées après traitement, et g) correspond à la vérité de terrain de la distribution de l’objet. La déconvolution de Wiener introduit des artefacts et une fausse résolution causés par le fort effet d’oscillations, tandis que le traitement OSR permet de restaurer une image de microscope naturelle.
Pour obtenir des résultats de haute qualité par traitement informatique, il est important d’utiliser des informations de FÉP précises. Outre l’emploi d’algorithmes de calcul de la FÉP adaptés (p. ex. compatibles avec des objectifs à grande ouverture numérique), la saisie rigoureuse des différents paramètres de l’instrument est également indispensable. Des paramètres tels que l’ouverture numérique de l’objectif, la longueur d’onde d’excitation, la longueur d’onde de fluorescence, le diamètre du sténopé et la taille des pixels sont importants, mais ne suffisent pas à eux seuls. Des informations plus détaillées sur l’instrument, telles que le grossissement de projection, le diamètre du faisceau et l’état de polarisation, sont également requises. Les logiciels de déconvolution généraux peuvent avoir de la difficulté à prendre en compte ces différences fines. L’OSR est capable d’effectuer les calculs de la FÉP avec des paramétrages précis, ce qui contribue à sa haute fiabilité.
Évolution de notre technologie de super-résolution
Ajustement automatique de l’intensité de filtrage en fonction du RSB de l’image
L’OSR, qui permet l’obtention d’une super-résolution par l’exploitation des performances en hautes fréquences des microscopes confocaux, présente une sensibilité au bruit que l’algorithme TruSight SR, dans sa version évoluée, est parvenu à surmonter.
La figure 3 représente une image de microscopie simulée. Dans les images à faible RSB, les composantes à haute fréquence peuvent contenir une quantité importante de bruit. Une restauration trop poussée dans cet état peut accentuer ces composantes fines de bruit et conduire à une qualité d’image inférieure à celle de l’image brute d’origine. Comme ces composantes de bruit sont présentes dans l’image originale, il est difficile de les éliminer simplement en utilisant une FÉP précise ou en optimisant la suppression des effets d’oscillation.
Figure 3 – Exemple de traitement OSR classique sur une image à faible RSB
TruSight SR résout ce problème en tenant compte des composantes de bruit présentes dans l’image. Il étend la plage de réglage de l’intensité de filtrage et applique une correction des oscillations basée sur les caractéristiques fréquentielles du microscope, de manière similaire au traitement OSR. La figure 4 illustre l’intensité de filtrage et ses effets. Grâce à une fonction de réglage fin de l’intensité de filtrage, il est possible de limiter l’accentuation extrême des composantes fréquentielles responsables du bruit tout en améliorant la résolution par rapport à la microscopie confocale classique.
Figure 4 – Exemple de réglage de l’intensité de filtrage en fonction du rapport signal/bruit (RSB) de l’image. Lorsque le RBS de l’image brute est faible, l’utilisation d’un filtre moins puissant permet de supprimer le bruit tout en améliorant la résolution perçue. À l’inverse, lorsque le RBS de l’image brute est élevé, l’application d’un filtre plus puissant permet de maximiser l’effet d’amélioration de la résolution.
En outre, TruSight SR intègre un algorithme capable d’estimer le RSB à partir de l’image et d’optimiser automatiquement l’intensité de filtrage. Étant donné la grande diversité d’applications des microscopes, il est impossible de déterminer le RSB en se basant uniquement sur des valeurs d’image statistiques simples telles que la variance ou les écarts de luminosité. Cela s’explique par le fait qu’il est difficile de distinguer si les variations de luminosité observées dans l’image proviennent du bruit ou de la structure même de l’échantillon. TruSight SR introduit une technologie qui sélectionne de manière fiable l’intensité de filtrage optimale, quelles que soient les conditions d’imagerie. Pour y parvenir, l’algorithme estime séparément les signaux liés à la morphologie de l’échantillon et ceux dus au bruit aléatoire généré par le capteur de surface à partir de l’image acquise.
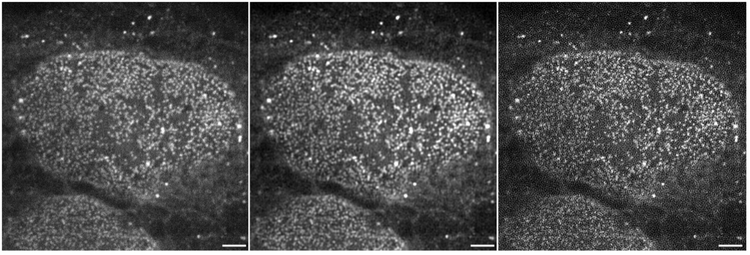
La figure 5 illustre l’effet de l’algorithme d’optimisation de l’intensité de filtrage. En ajustant automatiquement le filtre optimal en fonction de l’image d’entrée, il est possible d’améliorer la qualité de l’image tout en éliminant la génération de bruit. Cette approche permet d’obtenir de meilleurs résultats que le traitement OSR classique, notamment lorsque le RSB de l’image brute est insuffisant.
Figure 5 – Différences dans le traitement des images de fluorescence des pores nucléaires à faible rapport signal/bruit (RSB)
À gauche : image brute originale. Au centre : traitement automatique par TruSight SR. À droite : traitement OSR. Lorsque le RSB de l’image originale est faible, le traitement OSR classique amplifie le bruit et dégrade la résolution perçue. TruSight SR, en revanche, permet d’obtenir une bonne résolution.
Images acquises à l’aide du système IXplore IX85 SpinSR (disque SoRa, lentille de projection : 2,8X) et de l’objectif UPLXAPO100XO (ON 1,45). Échelle graphique : 2 µm.
Préservation des valeurs de luminosité de l’image
Un autre avantage de l’algorithme TruSight SR est la préservation des niveaux d’intensité de l’image brute originale, laquelle permet l’analyse et la comparaison des valeurs de luminosité dans les images à super-résolution.
TruSight SR calcule l’étalement de la fonction d’étalement du point (FÉP) à travers le système optique selon les caractéristiques matérielles, puis effectue une restauration de l’image. Parallèlement, il conserve l’étalement des valeurs de luminosité avec une certaine densité de probabilité. La figure 6 représente les histogrammes de l’image brute originale et de l’image obtenue avec TruSight SR.
Figure 6 – Comparaison de la luminosité avant et après le traitement TruSight SR
a) Affichage en projection d’intensité maximale (MIP) des images brutes à empilement de plans z des microtubules d’une cellule PtK2 acquises avec le système IXplore IX85 SpinSR (disque SoRa, lentille de projection : 2,8X) et l’objectif UPLXAPO100X (ON 1,45).
b) Affichage MIP des images de a), après traitement par TruSight SR 2D. L’échelle graphique est de 5 µm. Les deux images (a et b) sont affichées avec des valeurs maximales et minimales de LUT fixées. L’intensité des deux images est pratiquement la même.
c) Histogramme de l’intensité de tous les pixels dans les images à empilement de plans z. Plus de 97 % de la somme des valeurs de luminosité de l’ensemble des pixels a été conservée. Les 3 % restants correspondent principalement à des composantes de bruit, qui varient légèrement selon le rapport signal/bruit (RSB) de l’image.
Comme illustré, les informations de luminosité de l’image brute originale sont conservées même après le traitement du filtre, ce qui permet d’utiliser l’image traitée pour une analyse quantitative.
Traitement d’images 3D
TruSight SR intègre également des fonctions de traitement des données tridimensionnelles (3D) en complément du traitement bidimensionnel (2D) classique. La figure 7 illustre un exemple d’observation de billes fluorescentes. Alors que l’amélioration de la résolution en traitement 2D est limitée au plan XY, le traitement 3D permet également une amélioration dans l’axe Z.
Figure 7 – Exemples de traitement 2D et 3D avec TruSight SR. Des billes fluorescentes de 100 nm de diamètre ont été utilisées pour mesurer la largeur à mi-hauteur (LMH) de la fonction d’étalement du point (FÉP). Les images ont été acquises à l’aide du système IXplore IX85 SpinSR (disque SoRa, lentille de projection : 2,8X) et de l’objectif UPLXAPO100XS (ON 1,35), selon un pas d’échantillonnage de 46,4 nm sur les axes XY et de 50 nm sur l’axe Z.
a) Image XY de l’image brute originale.
b) Image XY après traitement 2D par TruSight SR.
c) Image XY après traitement 3D par TruSight SR.
d) Profil selon l’axe X des images (a) à (c).
e) Image XZ de l’image brute originale.
f) Image XZ après traitement 2D par TruSight SR.
g) Image XZ après traitement 3D par TruSight SR.
h) Profil selon l’axe Z des images (e) à (g). Le traitement 3D permet une amélioration de la résolution à la fois dans le plan XY et dans l’axe Z.
Même lorsqu’on étend le traitement à trois dimensions, la grande fiabilité de la technologie OSR est toujours au rendez-vous. En se fixant comme objectif d’obtenir une image observée naturelle après traitement dans la direction Z (plutôt que de restaurer la distribution des objets), le phénomène d’oscillations est supprimé dans toutes les directions XYZ.
Pour garantir la reproductibilité des résultats de traitement, il est également nécessaire de prendre en compte les variations du pas d’échantillonnage. Dans le plan XY de l’image, ce pas est principalement déterminé par le facteur de grossissement et la taille des pixels du capteur de la caméra. En revanche, dans la direction Z, il est arbitrairement défini par l’utilisateur et n’est donc pas constant. Le traitement OSR classique se limite au traitement 2D et à des combinaisons spécifiques de caméras et de systèmes de zoom. L’algorithme TruSight SR, quant à lui, prend en charge le traitement 3D et permet l’utilisation de diverses caméras et systèmes de zoom. Ainsi, même si le pas d’échantillonnage de l’image traitée varie selon les conditions, le système est conçu pour garantir un même niveau de restitution d’image avec une intensité de filtrage constante. La figure 8 montre un exemple de fonction d’étalement du point (FÉP) calculée dans des conditions données.
Figure 8 – Comparaison de l’effet du pas d’échantillonnage sur les résultats du traitement
Les images a) et b) représentent des FÉP dont l’intensité totale a été normalisée en prenant en compte la distribution 3D de l’intensité. Bien que les intervalles Z utilisés lors de l’imagerie soient très différents – 0,2 µm pour a) et 0,02 µm pour b) –, les profils XY au niveau de la coupe transversale correspondant à l’intensité maximale restent similaires, comme le montre le graphique (e).
Les images c) et d) montrent des FÉP dont la luminance totale a été normalisée en ne considérant que la coupe focale XY. Avec cette méthode de calcul, la modification de l’intervalle Z pour l’imagerie entraîne une variation de la largeur à mi-hauteur (LMH) dans le plan XY, comme illustré dans le graphique (f).
Dans la figure 8f, la largeur à mi-hauteur (LMH) totale dans la coupe XZ varie en fonction du pas d’échantillonnage en Z, même avec une intensité de filtrage identique. En comparaison, le graphique (e) de la figure 8 montre un traitement d’ajustement prenant en compte la distribution d’intensité dans l’ensemble des données XYZ. Il en résulte une LMH stable, quel que soit le pas d’échantillonnage en Z. Cela démontre que TruSight SR permet d’obtenir des résultats reproductibles exploitables pour une analyse quantitative.
Applications pratiques de l’algorithme TruSight SR
Amélioration du rapport signal/bruit dans l’imagerie à super-résolution en temps réel
En imagerie de cellules vivantes, il est essentiel de minimiser l’impact sur les cellules vivantes en utilisant une excitation lumineuse aussi faible que possible. Il est ainsi difficile d’obtenir des images de fluorescence avec un bon rapport signal/bruit (RSB). TruSight SR permet l’obtention d’images en temps réel à super-résolution ayant un RSB amélioré, et ce, grâce à un traitement fiable basé sur la déconvolution linéaire et appliqué avec une intensité de filtrage adaptée aux signaux de fluorescence faibles.
Figure 9 – Imagerie à super-résolution prise en temps réel de cellules U2OS exprimant LC3-EGFP . Il est possible d’obtenir des images à super-résolution de haute qualité grâce au traitement TruSight SR, même lorsque le RSB de l’image brute originale est faible. À gauche : image brute originale à faible RSB acquise avec le système IXplore IX85 SpinSR (disque SoRa, lentille de projection 2,8X) et un objectif UPLXAPO100XO (ON 1,45). À droite : même image après traitement 2D par TruSight SR (intensité de filtrage : 1,5). Échelle graphique : 5 µm.
En imagerie de cellules vivantes avec une faible lumière d’excitation, un traitement d’amélioration de la netteté trop poussé peut faire apparaître des signaux spécifiques appelés « bruit en nid d’abeille ». TruSight SR intègre un traitement spécialement conçu pour les faibles rapports signal/bruit, qui garantit une optimisation adaptée à l’imagerie de cellules vivantes.
Imagerie à super-résolution en temps réel avec un objectif 25X à coussinet en gel de silicone
L’objectif LUPLAPO25XS (ON 0,85 ; distance frontale de 2 mm) est le premier au monde à intégrer un coussinet en gel de silicone avec un indice de réfraction proche de celui des cellules et tissus vivants, ce qui le rend idéal pour l’imagerie profonde. Contrairement à l’eau qui s’évapore ou à l’huile de silicone qui peut s’étaler, le gel de silicone assure une stabilité permettant des observations à intervalles sur de longues périodes. En combinant le grand champ de vision de l’objectif 25X avec une lentille de relais de grossissement, TruSight SR permet l’imagerie à super-résolution en temps réel. Il devient ainsi possible de repérer des cellules cibles dans un grand champ de vision et d’observer les structures intracellulaires fines avec une résolution équivalente à celle d’une imagerie confocale réalisée avec un objectif 60X ou 100X (ON 1,4 ou plus), sans avoir à changer d’objectif.
Figure 10 – Imagerie à super-résolution prise en temps réel de cellules U2OS exprimant LC3-EGFP. À gauche : image confocale acquise avec l’IXplore IX85 SpinSR (disque de 50 µm, lentille de projection : 1X). Au centre : image à super-résolution acquise avec l’IXplore IX85 SpinSR (disque SoRa, lentille de projection : 4X) et traitée en 2D par TruSight SR (intensité de filtrage : 1,0). À droite : même image que celle du centre, mais agrandie numériquement et traitée en 3D par TruSight SR (intensité de filtrage : 2,0). Une image confocale à grand champ ainsi qu’une image à super-résolution des autophagosomes peuvent être obtenues facilement, sans changement d’objectif.
Amélioration de la qualité des images à super-résolution 3D
TruSight SR étend aux applications 3D la fonctionnalité de traitement par déconvolution initialement développée pour l’imagerie 2D à partir des caractéristiques fréquentielles du microscope et d’informations précises sur la fonction d’étalement du point (FÉP). Cette extension permet d’améliorer la résolution le long de l’axe Z, même dans des échantillons épais, tout en préservant la précision quantitative grâce à un traitement 3D fondé sur les données du système optique.
Figure 11 – Imagerie 3D des nucléopores de cellules HeLa*. À gauche : coupes XY et XZ de l’image brute acquise avec le système IXplore IX85 SpinSR (disque SoRa, lentille de projection : 2,8X) et l’objectif UPLXAPO100XO (ON 1,45). Au centre : image de gauche traitée avec le traitement 2D de TruSight SR (intensité de filtrage : 2,5). À droite : image de gauche traitée avec le traitement 3D de TruSight SR (intensité de filtrage : 2,5). Échelle graphique : 2 µm.
* Les cellules HeLa sont l’une des souches cellulaires les plus importantes et les mieux caractérisées pour la recherche médicale et le développement scientifique. Elles ont contribué à de grandes découvertes dans les domaines de l’immunologie, des maladies infectieuses et du cancer, et ont soulevé de sérieuses questions sur l’éthique dans le domaine médical. Rendez-vous sur le site henriettalacksfoundation.org pour obtenir de plus amples informations sur la vie d’Henrietta Lacks et sur ses contributions à la médecine moderne.
Les différences avec la technologie de déconvolution TruSight
Evident propose à la fois la technologie de super-résolution TruSight SR, fondée sur un traitement linéaire de type OSR, et la technologie de déconvolution TruSight, qui repose sur un algorithme itératif contraint.3
Bien que la déconvolution par algorithme itératif contraint produise un effet de netteté marqué, la vitesse de traitement ainsi que la qualité de l’image dépendent fortement de la méthode de mise en œuvre de l’algorithme. Par exemple, les objets ponctuels peuvent être estimés avec une grande précision, tandis que les structures denses sont plus difficiles à estimer correctement. En appliquant le traitement approprié (p. ex. par le réglage de la fonction d’étalement du point, la sélection de l’algorithme et le choix des paramètres), il est possible d’améliorer l’exactitude de l’image estimée. Cependant, la relation entre les caractéristiques fréquentielles avant et après traitement n’est pas uniforme, ce qui impose une certaine prudence dans l’interprétation de l’objet reconstruit.4
Pour obtenir des images plus précises, plus détaillées et exemptes d’artefacts, il est souvent nécessaire de combiner judicieusement ces deux approches. Par exemple, la figure 12d montre le résultat d’un traitement de déconvolution effectué avec des paramètres non optimisés : bien que l’image obtenue soit plus nette que l’image brute originale, une partie du plan du schéma en étoile présente des distorsions. TruSight SR élimine les artefacts tout en faisant bien ressortir les composantes à haute fréquence. Lorsqu’elle est appliquée avec des paramètres optimisés, la déconvolution TruSight permet d’obtenir une résolution encore plus élevée, sans générer d’artefacts excessifs (figure 13).
Figure 12 – Images simulées d’un schéma en étoile
Figure 13 – Cellules NIH 3T3 cultivées. À gauche : image originale. Au centre : traitement 3D TruSight SR (intensité de filtrage : 3,0). À droite : déconvolution TruSight. Bleu : noyaux, vert : tubuline, rouge : HSP60, gris : fibrillarine. Échantillon fourni par EnCor Biotechnology Inc. Images acquises à l’aide du système IXplore IX85 SpinSR (disque SoRa, lentille de projection : 4X) et de l’objectif UPLXAPO40XO (ON 1,4). Échelle graphique : 10 µm.
En combinant la technologie hautement précise TruSight SR, qui exploite des informations exactes de la fonction d’étalement du point (FÉP) et les caractéristiques du microscope, avec le traitement d’images estimées à haute résolution par déconvolution TruSight utilisant des paramètres optimisés, les utilisateurs du système IXplore IX85 SpinSR peuvent extraire de manière reproductible les informations clés contenues dans les images.
Conclusion
L’algorithme TruSight SR est une technologie de traitement d’image dérivée de l’OSR. Contrairement à la déconvolution classique, il ne vise pas à reconstituer la distribution des objets, mais à restaurer des images naturelles en super-résolution, conformément à la fréquence de coupure d’un microscope confocal.
En intégrant un traitement 3D et en permettant un réglage flexible de l’intensité de filtrage en fonction du rapport signal/bruit (RSB) de l’image, il est possible d’obtenir des images de haute qualité, avec un minimum d’artefacts, dans presque toutes les conditions d’observation. Cela garantit un traitement adapté pour les applications où la fiabilité de l’image restaurée est essentielle.
Références bibliographiques
- YONEMARU, Y. « How Olympus Super Resolution and Spinning Disk Technology Achieve Fast, Deep, and Reliable Live Cell Super Resolution Imaging », EvidentScientific.com. Consulté le 13 mai 2025.
- HAYASHI, S. « Resolution Doubling Using Confocal Microscopy via Analogy with Structured Illumination Microscopy », Japanese Journal of Applied Physics, 55, n° 8 (2016): 082501.
- ALVARENGA, L. « Traitement d’images avec déconvolution », EvidentScientific.com. Consulté le 13 mai 2025.
- LOPEZ, J., et al. « Microscopy/ImageProcessing: ADeconvolution Revolution for Confocal ImageEnhancement », Laser Focus World, 2 janvier 2019.
Auteurs
Shintaro Fujii, R&D de la division « Micro Imaging Solutions », Optique de pointe, Evident
Masahito Dohi, R&D de la division « Micro Imaging Solutions », Optique de pointe, Evident
Produits en vedette
IXplore IX85 SpinSR
Observez des phénomènes dynamiques cellulaires très subtils avec un niveau de détail remarquable en super-résolution.
- Imagerie à grande vitesse avec une résolution allant jusqu’à 120 nm, pour une visibilité accrue
- Conçu pour prolonger la viabilité des cellules lors des expériences en imagerie à intervalles
- Doté de la technologie à disque rotatif de Yokogawa
- Imagerie améliorée grâce à la plateforme IXplore™ IX85 et à l’algorithme de super-résolution TruSight™ SR d’Evident