Algoritmo TruSight™ SR: come raggiungere un imaging ad altissima risoluzione nei microscopi a disco rotante confocale

Contatti

Introduzione

L'algoritmo TruSight SR di Evident è una nuova tecnologia ad altissima risoluzione evoluta a partire dalla Olympus Super Resolution (OSR)1 e integrata nel microscopio ad altissima risoluzione a disco rotante confocale IXplore™ IX85 SpinSR. Questa tecnologia migliora la microscopia confocale ottimizzando i pinhole e utilizzando un motore di elaborazione basato sulla teoria ottica per un imaging ad altissima risoluzione.

Il TruSight SR risolve i limiti dell'OSR in immagini con bassi rapporti segnale-rumore (SNR), integrando la potenza del filtro adattativo e la capacità di elaborazione tridimensionale (3D). Questa evoluzione permette il miglioramento della qualità delle immagini in condizioni di basso SNR, come l'imaging di cellule vive con segnali di fluorescenza attenuati. Ripristinando delle naturali immagini ad altissima risoluzione e conservando i valori di luminosità, il TruSight SR permette di elaborare dei dati di immagini affidabili che consentono le analisi quantitative nell'ambito di diverse applicazioni.

Attraverso una descrizione dettagliata di questo algoritmo ad altissima risoluzione e delle rispettive applicazioni, questo articolo tecnico dimostra come TruSight SR di Evident contribuisce al miglioramento della qualità delle immagini del microscopio.

Gli argomenti principali trattati includono:

L'algoritmo TruSight rappresenta un'evoluzione della tecnologia OSR proprietaria di Evident per un imaging ad altissima risoluzione. L'OSR combina le tecniche di elaborazione computazionale per massimizzare le prestazioni dei microscopi confocali e per ottenere un'altissima risoluzione. In confronto alla classica deconvoluzione Wiener, l'OSR fornisce dei risultati affidabili e genera delle naturali immagini ad altissima risoluzione con una frequenza di taglio simile a quella dei microscopi confocali.

Tuttavia l'OSR convenzionale aveva uno svantaggio quando veniva applicato ad immagini con un basso SNR. In queste immagini poteva incrementare le componenti relative al rumore e ridurre la risoluzione. Per risolvere questa problematica abbiamo evoluto l'OSR nel TruSight SR, migliorando, allo stesso tempo, la resistenza al rumore. Questo progresso ha permesso l'acquisizione di immagini ad altissima risoluzione con un alto SNR, anche con un'attenuata intensità della fluorescenza durante l'acquisizione di immagini con fluorescenza live. Allo stesso tempo, mantiene una veloce e affidabile risoluzione spaziale di 120 nm fornita originariamente dall'OSR. Inoltre il TruSight SR include delle funzionalità di elaborazione 3D, permettendo un imaging ad alta risoluzione di campioni spessi. Questo miglioramento permette un ripristino delle immagini di alta qualità in diverse applicazioni.

Il TruSight SR è adesso integrato nel microscopio ad altissima risoluzione confocale a disco rotante IXplore IX85 SpinSR (Figura 1).

Figura 1: Microtubuli di cellule PtK2.
A sinistra: Immagine confocale a disco rotante (ingrandita digitalmente a 2,8X) acquisita mediante l'IXplore IX85 Spin (disco da 50 µm).
A destra: Immagine ad altissima risoluzione acquisita utilizzando l'IXplore IX85 SpinSR (disco SoRa; obiettivo per proiezione: 2,8X).
Obiettivo: UPLXAPO100XO (NA 1,45). Barretta di riferimento: 5 µm.

Realizzazione di un sistema di microscopia ad altissima risoluzione

Diversi tipi di elaborazioni computazionali sono state concepite per le immagini per microscopi. Inizialmente Evident ha sviluppato un sistema di microscopia ad altissima risoluzione, combinando la microscopia confocale a disco rotante con l'elaborazione computazionale OSR. La tecnologia OSR massimizza le prestazioni dei microscopi confocali per ottenere un'altissima risoluzione. È noto che la frequenza di taglio dei microscopi confocali è pari al doppio di quella dei microscopi a fluorescenza grandangolari convenzionali. Tuttavia, a causa della ridotta proporzione di componenti ad alta frequenza, la risoluzione spaziale dei microscopi confocali non è significativamente diversa da quella dei microscopi a fluorescenza grandangolari. L'OSR migliora l'efficienza di acquisizione del segnale in vicinanza della frequenza di taglio, ottimizzando le configurazioni del pinhole. Inoltre aggiunge l'elaborazione computazionale per filtro lineare in modo da generare l'immagine finale ad altissima risoluzione.2

Uno dei vantaggi dell'elaborazione OSR consiste nell'alta affidabilità dei risultati. Questo si può spiegare confrontando questo tipo di elaborazione con altri metodi di elaborazione come la deconvoluzione di Wiener. L'immagine osservata di un microscopio può essere rappresentata attraverso la distribuzione della convoluzione e la PSF (point spread function). Nell'ambito della frequenza, questo corrisponde all'attenuazione delle caratteristiche della frequenza della struttura dell'oggetto attraverso la trasformata di Fourier della PSF (OTF o optical transfer function). La deconvoluzione di Wiener calcola la convoluzione moltiplicando l'inverso della OTF con le caratteristiche della frequenza dell'immagine osservata, ripristinando l'originale distribuzione degli oggetti.

In pratica, un semplice filtro inverso potrebbe risultare instabile nell'area dell'alta frequenza, pertanto la potenza del filtro si limita a trasmettere le componenti del segnale il più vicino possibile al segnale originale degli oggetti. Invece l'obiettivo dell'elaborazione OSR è quello di creare una naturale immagine osservata allineata alla frequenza di taglio. La Figura 2 mostra la differenza delle caratteristiche di frequenza dopo l'elaborazione con la deconvoluzione di Wiener e l'elaborazione OSR. La deconvoluzione di Wiener in genere produce una risposta piatta. Tuttavia, a causa della frequenza di taglio del sistema ottico del microscopio, non è possibile avere una risposta completamente piatta, in quanto viene mostrata un'attenuazione ripida in prossimità della frequenza di taglio. Questo tipo di risposta ripida può causare un'intensa oscillazione nell'immagine ripristinata, producendo degli artefatti.

Invece l'elaborazione OSR ripristina l'immagine per ottenere una naturale immagine del microscopio con una risoluzione target pari al doppio di una frequenza di taglio di un microscopio confocale, la quale è doppia rispetto ai microscopi a fluorescenza grandangolari.2 Definendo una risposta che gradualmente si attenua verso la frequenza di taglio, l'OSR elimina gli artefatti causati dalle oscillazioni, massimizzando il segnale nella frequenza di taglio. Il risultato ottenuto è quello di un'altissima risoluzione, doppia della risoluzione normale.

Figura 2. Confronto della deconvoluzione di Wiener e dell'elaborazione OSR.

La a) e la d) mostrano le caratteristiche della frequenza dopo l'elaborazione. Nella deconvoluzione di Wiener il ripristino del segnale in genere produce una risposta piatta nella frequenza di taglio. Invece l'elaborazione OSR produce una risposta che gradualmente si attenua verso la frequenza di taglio. Mentre la forma della risposta è simile a quella di un microscopio convenzionale, ha una larghezza di banda doppia.

La b) e la e) mostrano la PSF (point spread function) corrispondente alla risposta ripristinata. Quando la risposta mostra un'attenuazione ripida come nel caso della deconvoluzione Wiener, la PSF ripristinata evidenzia un'intensa oscillazione (positiva e negativa). Invece l'elaborazione OSR elimina l'oscillazione.

La c) e la f) sono immagini simulate post-elaborazione. La g) è il ground truth della distribuzione degli oggetti. La deconvoluzione di Wiener mostra gli artefatti e la falsa risoluzione a causa degli effetti di oscillazione, l'elaborazione OSR ripristina una naturale immagine del microscopio.

Per ottenere dei risultati di alta qualità attraverso l'elaborazione computazionale, è importante usare delle precise informazioni PSF. Oltre ad utilizzare dei precisi algoritmi di calcolo PSF, ad esempio quelli compatibili con obiettivi a alta NA, è necessario anche un preciso inserimento di diversi parametri dei dispositivi. Sono importanti ma non sufficienti parametri come NA dell'obiettivo, lunghezza d'onda di eccitazione, lunghezza d'onda della fluorescenza, diametro del pinhole e dimensioni dei pixel. Sono necessarie anche informazioni di dettaglio sul dispositivo come l'ingrandimento della proiezione, il diametro del fascio e lo stato della polarizzazione. Il software di deconvoluzione generale potrebbe trovare complesso la gestione di queste minime differenze. L'OSR può eseguire dei calcoli della PSF con delle precise configurazioni dei parametri, contribuendo alla sua elevata affidabilità.

Evoluzione della nostra tecnologia ad altissima risoluzione

Regolazione automatica della potenza del filtro in base all'SNR dell'immagine

L'OSR permette di raggiungere un'altissima risoluzione ma estraendo le prestazioni di alta frequenza dei microscopi confocali. Tuttavia ha uno svantaggio in termini di sensibilità al rumore, il quale è stato risolto attraverso l'evoluzione dell'algoritmo TruSight SR.

La Figura 3 mostra un'immagine della simulazione del microscopio. In immagini con basso SNR, le componenti a alta frequenza possono presentare un elevato rumore. Il potente processo di ripristino con queste condizioni potrebbe evidenziare delle minime componenti di rumore nell'immagine, traducendosi in una qualità inferiore delle immagini rispetto all'originale immagine non elaborata. Visto che la componente del rumore è inizialmente inclusa nell'immagine, risulta difficile eliminarla utilizzando semplicemente delle precise informazioni PSF oppure ottimizzando l'eliminazione delle oscillazioni.

Figura 3. Esempio di elaborazione OSR convenzionale su un'immagine con basso SNR.

Il TruSight SR risolve questa problematica considerando le componenti del rumore nell'immagine. Amplia la capacità di regolazione della potenza del filtro ed esegue una correzione dell'oscillazione in base alla frequenza del microscopio, in modo simile all'elaborazione OSR. La Figura 4 mostra la potenza del filtro e il suo effetto. Integrando una funzione per regolare con precisione la potenza del filtro, è possibile eliminare l'effetto molto amplificato delle componenti della frequenza che causano rumore nelle immagini, migliorando la risoluzione in confronto alla microscopia confocale convenzionale.

Figura 4. Esempio di regolazione della potenza del filtro in base all'SNR dell'immagine. Quando l'originale immagine non elaborata ha un basso SNR, utilizzando una minore potenza del filtro è possibile eliminare il rumore, migliorando la risoluzione percepita. Invece, quando l'originale immagine non elaborata possiede un elevato SNR, utilizzando una maggiore potenza del filtro è possibile massimizzare l'effetto di miglioramento della risoluzione.

Inoltre il TruSight SR include un algoritmo che determina l'SNR dell'immagine e ottimizza la potenza del filtro. I microscopi sono usati per diversi tipi di applicazioni, pertanto è impossibile determinare l'SNR unicamente in base ai semplici valori statistici (es: varianza o differenza di luminosità) dell'immagine. La ragione risiede nel fatto che è difficile distinguere se la variazione della luminosità nell'immagine è causata dal rumore o dalla struttura del campione. Il TruSight SR sviluppa una tecnologia che seleziona in modo costante l'ottimale potenza del filtro con qualsiasi condizione di imaging. Lo effettua valutando i segnali in base alla forma del campione e in base al rumore generato casualmente dal sensore dell'area dall'immagine acquisita.

La Figura 5 mostra l'effetto dell'algoritmo di ottimizzazione della potenza del filtro. Definendo automaticamente il filtro ottimale in base all'immagine da elaborare, è possibile migliorare la qualità dell'immagine eliminando la generazione del rumore. Quando nello specifico l'SNR dell'originale immagine non elaborata risulta insufficiente, possono essere ottenuti i risultati migliori in confronto all'elaborazione OSR convenzionale.

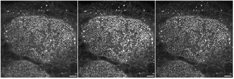
Figura 5. Differenze di elaborazione delle immagini a fluorescenza di pori nucleari con un basso SNR.
A sinistra: originale immagine non elaborata. Al centro: Elaborazione automatica del TruSight SR. A destra: Elaborazione OSR. Quando l'SNR dell'immagine originale è basso, l'elaborazione OSR convenzionale amplifica il rumore e diminuisce la risoluzione percepita. Invece il TruSight SR permette di raggiungere una buona risoluzione.

Immagini acquisite con l'IXplore IX85 SpinSR (disco SoRa; obiettivo per proiezione: 2,8X) con l'obiettivo UPLXAPO100XO (NA 1,45). Barretta di riferimento: 2 µm.

Conservazione dei valori di luminosità dell'immagine

Un altro vantaggio dell'algoritmo TruSight SR è la conservazione dei livelli di intensità dell'originale immagine non elaborata, permettendo l'analisi e il confronto dei valori di luminosità nelle immagini ad altissima risoluzione.

Il TruSight SR calcola la PSF nel sistema ottico in base alle informazioni dell'hardware e esegue un ripristino dell'immagine. Allo stesso tempo, conserva i valori di luminosità distribuiti con una certa densità di probabilità. La Figura 6 mostra gli istogrammi dell'originale immagine non elaborata e dell'immagine TruSight SR.

Figura 6. Confronto di luminosità prima e dopo l'elaborazione TruSight SR.

a) Visualizzazione MIP (Maximum intensity projection) delle originali immagini Z-stack non elaborate dei microtubuli PtK2 acquisite mediante l'IXplore IX85 SpinSR (disco SoRa; obiettivo per proiezione: 2,8X) utilizzando l'obiettivo UPLXAPO100X (NA 1,45).
b) La visualizzazione MIP delle immagini di a) elaborate per l'elaborazione 2D del TruSight SR. La barretta di riferimento è di 5 µm. (a) e (b) sono visualizzati con dei valori massimo e minimo LUT costanti. L'intensità di queste immagini sono circa le stesse.
c) Istogramma dell'intensità di tutti i pixel nelle immagini Z-stack. È stato conservato più del 97% della somma totale dei valori di luminosità × il numero di pixel. Il 3% residuo consiste principalmente di componenti del rumore che variano leggermente in funzione dell'SNR dell'immagine.

Come illustrato, l'informazione della luminosità dell'originale immagine non elaborata si conserva anche dopo l'elaborazione del filtro, permettendo l'uso dell'immagine elaborata per l'analisi quantitativa.

Elaborazione dell'immagine 3D

Il TruSight SR include anche l'elaborazione delle funzioni per i dati 3D, oltre all'elaborazione bidimensionale (2D) convenzionale. La Figura 7 mostra un esempio di osservazione di perline fluorescenti. Sebbene il miglioramento della risoluzione nell'elaborazione 2D sia limitato al piano XY, l'elaborazione 3D migliora inoltre la direzione Z.

Figura 7. Esempi dell'elaborazione 2D e 3D del TruSight SR. Utilizzando le perline fluorescenti con un diametro di 100 nm per misurare l'FWHM (full width at half maximum) del PSF. Un'immagine di perline fluorescenti è stata acquisita utilizzando l'IXplore IX85 SpinSR (disco SoRa; obiettivo per proiezione: 2,8X) con l'obiettivo UPLXAPO100XS (NA 1,35) con un passo di campionamento: passo XY: 46,4 nm; passo Z: 50 nm.

a) Immagine XY dell'originale immagine non elaborata;
b) Immagine XY dopo l'elaborazione 2D del TruSight SR.
c) Immagine XY dopo l'elaborazione 3D del TruSight SR.
d) Profilo X dall'immagine (a) alla (c).
(e) Immagine XZ dell'originale immagine non elaborata.
f) Immagine XZ dopo l'elaborazione 2D TruSight SR.
g) Immagine XZ dopo l'elaborazione 3D TruSight SR.
h) Profilo Z dall'immagine (e) alla (g). Nell'elaborazione 3D gli effetti di miglioramento della risoluzione sono stati ottenuti nel piano XY e nella direzione Z.

L'elevata affidabilità della tecnologia OSR continua quando si amplia l'elaborazione su tre dimensioni. Definendo una naturale immagine osservata come obiettivo in seguito all'elaborazione nella direzione Z, piuttosto che ripristinare la distribuzione dell'oggetto, le oscillazioni vengono eliminate in tutte le direzioni XYZ.

Per assicurare la riproducibilità dei risultati di elaborazione è inoltre necessario considerare i cambiamenti del passo di campionamento. Il passo di campionamento nel piano XY dell'immagine è principalmente determinato dall'ingrandimento e dalle dimensioni del pixel della fotocamera. Tuttavia il passo di campionamento nella direzione Z è arbitrariamente definito dall'utente e non è costante. L'elaborazione OSR convenzionale supporta solamente l'elaborazione 2D ed è limitata a specifiche combinazioni di fotocamere e sistemi zoom. Il TruSight SR supporta l'elaborazione 3D e permette l'uso di diverse fotocamere e sistemi zoom. Pertanto, anche se il passo di campionamento dell'immagine elaborata varia in base a diverse condizioni, è progettato per raggiungere sempre lo stesso grado di ripristino delle immagini con la stessa potenza del filtro. La Figura 8 mostra un esempio di un PSF calcolato in base a specifiche condizioni.

Figura 8. Confronto dell'effetto del passo di campionamento nei risultati di elaborazione.

La a) e la b) sono PSF nelle quali il valore di intensità totale è normalizzato considerando la distribuzione del valore di intensità 3D. Sebbene gli intervalli Z durante l'imaging siano significativamente diversi, con la a) con 0,2 µm e la b) 0,02 µm, i profili XY nella sezione trasversale dell'intensità di picco sono corrispondenti nel grafico (e).
La c) e la d) sono PSF dove il valore di luminanza totale è normalizzato considerando solamente la sezione trasversale di messa a fuoco XY. Con questo metodo di calcolo, cambiare le condizioni di imaging dell'intervallo Z si traduce in un diverso FWHM (full width at half maximum) XY, come illustrato nel grafico (f).

Nella Figura 8f, l'FWHM (full width at half maximum) nella sezione trasversale XZ cambia con il passo di campionamento Z, anche con la stessa potenza del filtro. Invece il grafico (e) nella Figura 8 mostra l'elaborazione della regolazione considerando la distribuzione dell'intensità nei dati XYZ. Di conseguenza può essere ottenuto un FWHM stabile, indipendentemente dal passo di campionamento Z. Questo dimostra che il TruSight SR permette di ottenere dei risultati riproducibili adatti per un'analisi quantitativa.

Applicazioni pratiche dell'algoritmo TruSight SR

Miglioramento dell'SNR in un imaging live ad altissima risoluzione

Nell'imaging di cellule live è necessario minimizzare gli effetti sulle cellule vive applicando la più bassa eccitazione luminosa possibile. Pertanto è difficile ottenere delle immagini a fluorescenza con alto SNR. Il TruSight SR fornisce delle immagini ad altissima risoluzione con un migliore SNR in immagini live, eseguendo un'affidabile elaborazione basata sulla deconvoluzione lineare con una potenza del filtro appropriata per le immagini ottenute con segnali di fluorescenza attenuati.

Figura 9. Imaging ad altissima risoluzione live di LC3-EGFP che evidenziano cellule U2OS . Un'immagine ad alta qualità e ad altissima risoluzione può essere ottenuta attraverso l'elaborazione TruSight SR, anche se l'SNR dell'originale immagine non elaborata è basso. A sinistra: Originale immagine non elaborata con basso SNR acquisito utilizzando l'IXplore IX85 SpinSR (disco SoRa; obiettivo per proiezione: 2,8X) con un obiettivo UPLXAPO100XO (NA 1,45). A destra: Immagine a sinistra sottoposta a elaborazione 2D TruSight SR (potenza del filtro di 1,5). Barretta di riferimento: 5 µm.



Nell'imaging di cellule vive con bassa eccitazione luminosa, un'intensa elaborazione della nitidezza permette di produrre degli specifici segnali denominati "honeycomb noise noticeable". Il TruSight SR include l'elaborazione che consente di risolvere questo basso SNR, permettendo un'appropriata elaborazione dell'imaging di cellule vive.

Imaging live ad altissima risoluzione utilizzando un obiettivo con cuscinetto in gel di silicone 25X

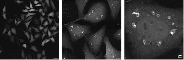
L'obiettivo LUPLAPO25XS (NA 0,85, WD 2 mm) è il primo al mondo ad integrare un cuscinetto in gel di silicone con un indice rifrattivo che corrisponde a quello di cellule e tessuti vivi, rendendolo l'ideale per l'imaging in profondità. Il gel di silicone non evapora come l'acqua o scorre via come l'olio di silicone, permettendo una stabile e prolungata osservazione in time lapse. Il TruSight SR permette un imaging live ad altissima risoluzione, combinando l'ampio campo visivo dell'obiettivo 25X con una lente relé di ingrandimento. È possibile identificare le cellule target in un ampio campo visivo e acquisire strutture di ridotte dimensioni nelle cellule ad una risoluzione equivalente a quella dell'imaging confocale con un obiettivo 60X, 100X (NA 1,4) o superiore, senza cambiare obiettivo.

Figura 10. Imaging ad altissima risoluzione live di LC3-EGFP che evidenziano cellule U2OS. A sinistra: Imaging confocale utilizzando l'IXplore IX85 SpinSR (disco di 50 µm; obiettivo per proiezione: 1X). Al centro: Immagine ad altissima risoluzione utilizzando l'IXplore IX85 SpinSR (disco SoRa; obiettivo per proiezione: 4X) sottoposta a elaborazione 2D TruSight SR (potenza del filtro 1,0). A destra: Immagine al centro ingrandita digitalmente e sottoposta a elaborazione 3D TruSight SR (potenza del filtro: 2,0). Un'immagine confocale ad ampio campo visivo e un'immagine ad altissima risoluzione per degli autofagosoma possono essere acquisite facilmente senza cambiare obiettivo.

Miglioramento della qualità delle immagini ad altissima risoluzione 3D

Il TruSight SR amplia la funzionalità di elaborazione della deconvoluzione (originariamente integrata nell'imaging 2D in base alla frequenza del microscopio e a delle precise informazioni PSF) a delle applicazioni 3D. Questo permette una migliore risoluzione nell'asse Z, anche in campioni spessi, mantenendo una precisione quantitativa attraverso l'elaborazione 3D in base ai dati del sistema ottico.

Figura 11. Imaging 3D di nucleopori di cellule HeLa*. A sinistra: Sezione trasversale XY e XZ dell'originale immagine non elaborata acquisita con l'IXplore IX85 SpinSR (disco SoRa; obiettivo per proiezione: 2,8X) utilizzando l'obiettivo UPLXAPO100XO (NA 1,45). Al centro: Immagine a sinistra sottoposta all'elaborazione 2D TruSight SR (potenza del filtro di 2,5). A destra: Immagine a sinistra sottoposta a elaborazione 3D TruSight SR (potenza del filtro 2,5). Barretta di riferimento: 2 µm

* Le cellule HeLa sono tra le più importanti e note cellule staminali impiegate nella ricerca medica e nello sviluppo scientifico. Hanno contribuito a rilevanti scoperte nell'ambito dell'immunologia, delle malattie infettive e della ricerca sul cancro, inoltre sono state oggetto di importanti dibattiti etici in ambito medico. Visitare henriettalacksfoundation.org per maggior informazioni sulal vita di Henrietta Lacks e sul suo contributo alla medicina moderna.

Differenze con la tecnologia di deconvoluzione TruSight

Evident rende disponibile la tecnologia ad altissima risoluzione TruSight SR, basata sull'elaborazione OSR lineare, e la tecnologia di elaborazione con deconvoluzione TruSight, basata sull'utilizzo di un algoritmo iterativo limitato.3

Mentre la deconvoluzione dell'algoritmo iterativo limitato possiede un significativo effetto di nitidezza, la velocità di elaborazione e la qualità dell'immagine sono influenzate significativamente dal metodo di implementazione dell'algoritmo. Per esempio, gli oggetti simili a punti sono facilmente valutabili con un'alta precisione, tuttavia delle strutture dense sono difficili da valutare correttamente. Eseguendo delle elaborazioni appropriate (es: configurazione PSF, selezione dell'algoritmo e selezione del parametro), è possibile migliorare la precisione dell'immagine valutata. Tuttavia la relazione tra la frequenza prima e dopo l'elaborazione non è uniforme. Di conseguenza è necessario fare attenzione nell'ultima previsione degli oggetti ripristinata.4

Per ottenere delle immagini più precise, dettagliate e prive di artefatti, è necessario combinare questi due metodi in modo efficace. Per esempio, la Figura 12d mostra il risultato dell'elaborazione della deconvoluzione con i parametri non ottimizzati. Sebbene si ottiene un'immagine più nitida rispetto all'originale immagine non elaborata, parte del diagramma a stella è distorto. Il TruSight SR elimina gli artefatti, amplificando le componenti ad alta frequenza. Quando i parametri sono ottimizzati, la deconvoluzione TruSight permette di ottenere perfino una risoluzione maggiore, senza originare degli artefatti eccessivi (Figura 13).

Figura 12. Immagini di simulazione di un diagramma a stella
Figura 13. Cellule NIH 3T3 in coltura. A sinistra: Immagine originale. Al centro: Elaborazione 3D TruSight SR (potenza del filtro: 3,0). A destra: Deconvoluzione TruSight. Blu: nuclei; Verde: tubulina; Rosso: HSP60; Grigio: fibrillarina. Campione fornito da EnCor Biotechnology Inc. Acquisito utilizzando l'IXplore IX85 SpinSR (disco SoRa; obiettivo per proiezione: 4X) con l'obiettivo UPLXAPO40XO (1,4 NA). Barretta di riferimento: 10 µm.

Utilizzando la tecnologia TruSight SR ad alta precisione, basata su delle precise informazioni PSF e hardware, oltre che su un'elaborazione di immagini valutate ad alta risoluzione delle deconvoluzione TruSight con parametri ottimizzati, gli utenti IXplore IX85 SpinSR possono estrapolare in modo riproducibile le necessarie informazioni contenute nelle immagini.

Conclusioni

L'algoritmo TruSight è una tecnologia di elaborazione della immagini basata sull'evoluzione dell'OSR. Diversamente dalla deconvoluzione convenzionale, non ripristina la distribuzione degli oggetti. Invece il TruSightSR ripristina le naturali immagini del microscopio ad altissima risoluzione, in base alla frequenza di taglio di un microscopio confocale.

Integrando l'elaborazione 3D e permettendo una selezione flessibile della potenza dei filtri in base all'SNR dell'immagine, è possibile ottenere delle immagini di alta qualità con una generazione minima di artefatti, praticamente in qualsiasi condizione di osservazione. Questo assicura un'elaborazione appropriata per le applicazioni nelle quali l'affidabilità delle immagini dopo il ripristino risulta fondamentale.

Bibliografia

  1. Yonemaru, Y. “Tecnologia ad altissima risoluzione e a disco rotante Olympus: come raggiungere un imaging ad altissima risoluzione di cellule vive veloce, profonda e affidabile.” EvidentScientific.com. Consultato il 13 maggio 2025.

  2. Hayashi, S. "Resolution Doubling Using Confocal Microscopy via Analogy with Structured Illumination Microscopy." Japanese Journal of Applied Physics, 55, n° 8 (2016): 082501.

  3. Alvarenga, L. "Elaborazione di immagini con deconvoluzione." EvidentScientific.com. Consultato il 13 maggio 2025.

  4. Lopez, J., et al. “Microscopy/Image Processing: A Deconvolution Revolution for Confocal Image Enhancement.” Laser Focus World, 2 gennaio 2019.

Autori

Shintaro Fujii, Ricerca e Sviluppo di soluzioni di imaging per microscopia, Ottiche avanzate, Evident

Shintaro Fujii, Ricerca e Sviluppo di soluzioni di imaging per microscopia, Ottiche avanzate, Evident

Masahito Dohi, Ricerca e Sviluppo di soluzioni di imaging per microscopia, Ottiche avanzate, Evident

Masahito Dohi, Ricerca e Sviluppo di soluzioni di imaging per microscopia, Ottiche avanzate, Evident

Prodotti in primo piano

Picture

IXplore IX85 SpinSR

Acquisizione di dinamiche cellulari di ridottissime dimensioni con dettagli eccezionali ad altissima risoluzione

  • Osservazioni più efficienti mediante un imaging a alta velocità con risoluzione minima di 120 nm
  • Progettato per assicurare una vitalità cellulare durevole negli esperimenti in time lapse prolungati
  • Dotato di tecnologia a disco rotante Yokogawa
  • Migliorato attraverso la piattaforma IXplore™ IX85 e l'algoritmo ad altissima risoluzione TruSight™ SR di Evident

Maggior informazioni