Scanner per l'imaging di interi vetrini universali SLIDEVIEW VS200

Esegui applicazioni che spaziano dalla ricerca avanzata alla patologia digitale specialistica con il nostro scanner per vetrini più evoluto. Il sistema SLIDEVIEW™ VS200 è progettato per acquisire un'ampia varietà di campioni e colorazioni, con molteplici magnificazioni, formati di vetrini flessibili e cinque modalità di acquisizione versatili.
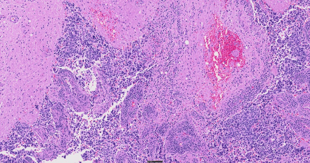
L’eccellente qualità d’immagine dell’intero vetrino consente al tuo laboratorio di sfruttare al massimo il potenziale dei campioni.

Scanner per l'imaging di interi vetrini universali SLIDEVIEW VS200

Scegli l'applicazione

SLIDEVIEW VS200 per la ricerca nelle scienze della vita

SLIDEVIEW VS200 per la ricerca nelle scienze della vita

Il sistema SLIDEVIEW VS200 consente una scansione di vetrini a alta risoluzione e a elevata produttività per le applicazioni di ricerca avanzate, come quelle per le neuroscienze, i tumori, le cellule staminali e la biologia spaziale. Attraverso la flessibilità di cinque modalità di imaging, funzionalità di multiplexing e ingrandimenti multipli fino a 100X, il sistema permette di ottenere un'eccezionale qualità delle immagini per le analisi quantitative.

Maggior informazioni

LIDEVIEW VS200 per la patologia digitale

SLIDEVIEW VS200 per la patologia digitale

Come scanner flessibile ma intuitivo, il sistema SLIDEVIEW VS200 permette al proprio team di digitalizzare numerosi tipi di campioni con una formazione minima. Il sistema VS200 permette di ottenere un flusso di lavoro completamente digitale per le applicazioni di patologia con una versatile scansione di vetrini, un'eccezionale qualità delle immagini e delle flessibili opzioni di integrazione. È possibile acquisire informazioni affidabili su campioni standard e particolari per prendere delle decisioni fondamentali con fiducia.

Maggior informazioni

Vantaggi principali

Osservazione di più dettagli del campione con cinque modalità di imaging flessibili

Nei propri campioni è possibile scoprire più dettagli attraverso cinque modalità di imaging (campo chiaro, polarizzazione, fluorescenza, campo scuro e contrasto di fase) e la capacità di combinare diverse tecniche in una sola scansione.

Osservazione di più dettagli del campione con cinque modalità di imaging flessibili

Tessuto sottoposto a colorazione H&E, 40X

Tessuto sottoposto a colorazione H&E, 40X

Chiarezza delle immagini dei vetrini interi

Supportando fino a sei obiettivi a alte prestazioni X Line™ e integrando un'illuminazione al LED True Color oltre a dei profili per fotocamera con colori corretti, il sistema SLIDEVIEW VS200 assicura chiarezza per le immagini di vetrini interi.

Il LED True Color per l'illuminazione trasmessa possiede le stesse caratteristiche spettrali e la stessa potenza di una lampada alogena in modo che i coloranti viola, ciano e rosa vengano correttamente rappresentati, riprodotti e riportati.

Scansione a alta risoluzione

  • La risoluzione ottica e la qualità delle immagini elevate permettono un'analisi visiva o automatizzata delle informazioni delle immagini.
  • Immersione disponibile in modalità manuale e automatica.
  • Unità di immersione automatica per gli obiettivi ad immersione a olio ad alta risoluzione (40X, 60X e 100X) o ad olio di silicone (40X.

https://adobeassets.evidentscientific.com/content/dam/video/video/library/Oil_Dispenser_OTwithout_Sound_2(2)_480.mp4

Scansione a alta risoluzione

Tonsil CD3 (rm), ImmPRESS Reagent (HRP) Anti-Mouse IgG Immpact DAB (marrone), AE1/AE3(m) ImmPRESS (AP) (HRP) Anti-Rabbit IgG Immpact Vector Red (rosso). Colorazione di contrasto con Hematoxylin QS (blu). Immagine per gentile concessione di Vector Labs.

Tonsil CD3 (rm), ImmPRESS Reagent (HRP) Anti-Mouse IgG Immpact DAB (marrone), AE1/AE3(m) ImmPRESS (AP) (HRP) Anti-Rabbit IgG Immpact Vector Red (rosso). Colorazione di contrasto con Hematoxylin QS (blu).

Immagine per gentile concessione di Vector Labs.

Precisa messa a fuoco a tutti gli ingrandimenti

  • Il sistema di messa a fuoco Z migliorato con gli encoder lineari consente ina maggiore precisione di regolazione.
  • Il rilevamento automatico del campione semplifica la definizione dell'area di scansione per assicurare in imaging più veloce, con l'opzione, se necessaria, di regolazione manuale.
  • L'autofocus migliora la funzione di unione (stitching) automatizzata.
  • Il design minimizza le vibrazioni per assicurare una migliore stabilità di imaging.

Illuminazione per fluorescenza uniforme

L'illuminatore per fluorescenza con l'obiettivo fly-eye permette di distribuire la luce uniformemente sull'intero campo visivo per assicurare l'acquisizione di immagini illuminate in modo intenso e omogeneo.

Illuminazione per fluorescenza uniforme

Ottimizzazione della produttività

https://adobeassets.evidentscientific.com/content/dam/mis/vs200/media/videos/Loader_without_Subtitles.mp4

Ottimizzazione della produttività

I flussi di lavoro possono essere velocizzati mediante un sistema di caricamento ad alta capacità in grado di gestire fino a 35 portavetrini con una capacità massima di 210 vetrini 26 × 76 mm (1 × 3 in.) L'automazione robotica assicura un veloce e preciso caricamento-scaricamento, in modo coordinato con il sistema di messa a fuoco e dell'unità di scansione per consentire una rapida acquisizione delle immagini, mentre un lettore di codici a barre integrati acquisisce e registra automaticamente le informazioni dei vetrini.

Elaborazione a batch multipli e sistema hot swap

  • La modalità Identical Settings (configurazioni identiche): Applica automaticamente tutte le configurazioni di scansione a tutti i vetrini.
  • La modalità Individual Settings (configurazioni singole): Permette di modificare delle configurazioni specifiche per ogni vetrino o per tutti i vetrini in un singolo portavetrini.
  • La modalità Flexible Batch Scan (scansione di batch flessibile): Permette di definire diversi metodi di osservazione come FL, BF, POL, DF e PH per ogni vetrino contenuto nel batch.
  • Funzione Priority scan (scansione prioritaria): Interrompe un batch in fase di trattamento per scansionare un vetrino prioritario prima di riprendere.
  • Hot-swap: Sostituisce i portavetrini scansionati senza interrompere il processo in batch, minimizzando i tempi di inattività.

Elaborazione a batch multipli e sistema hot swap

Elaborazione a batch multipli e sistema hot swap

https://adobeassets.evidentscientific.com/content/dam/video/video/library/VS200_Selective_Scanning_Modified_GR_VO.mp4

Automatizzazione avanzata per una più efficiente acquisizione delle immagini

Automatizzazione avanzata per una più efficiente acquisizione delle immagini

Ottimizzato flusso di lavoro per la scansione di vetrini

  • Più efficiente e flessibile: Il software è semplice da configurare e utilizzare. È possibile effettuare l'upload della rete neurale addestrata e aprirla cliccando su un pulsante.
  • Riduzione del volume dei dati acquisiti: La tecnologia TruAI e la scansione selettiva evitano che il sistema acquisisca notevoli quantità di dati da aree non rilevanti. Questo facilita l'ottimizzazione della gestione dei dati come l'archiviazione, l'upload e la condivisione delle immagini.
  • Definizione iniziale senza controllo del processo: La tecnologia TruAI è concepita per supportare un preciso rilevamento dell'area in base a parametri addestrati, riducendo la necessità di supervisionare la scansione. Questo permette di impiegare il proprio tempo per altre attività o di avviare le scansioni di notte o durante il fine settimana.

Supporto di piastre e vetrini

  • Scansione a batch combinati: Il portavetrini di facile uso permette di combinare nella stessa scansione a batch i vetrini 26 × 76 mm (1 × 3 in.), 52 × 76 mm (2 × 3 in.), 76 × 102 mm (3 × 4 in.) e 102 × 127 mm (4 × 5 in.).
  • Rilevamento automatico dei vetrini: Un sistema RFID rileva diversi formati e gli scansiona nello stesso batch, risparmiando tempo e massimizzando la produttività.
Supporto di piastre e vetrini

Gestione dei dati

Facile analisi, condivisione e archiviazione dei propri dati

  • Archiviazione centralizzata delle immagini: Con l'opzionale database NIS (net image server) SQL è possibile gestire le immagini in modo efficace.
  • Sicura condivisione mediante web: Per collaborare con colleghi, team di ricerca o consulenti distanti si possono facilmente archiviare e condividere le immagini online.
  • Controllo accesso: I diritti di accesso individuali permettono di gestire l'accesso dei dati.
  • Diversi formati file: È possibile scansionare e esportare le immagini nei formati VSI, OME-TIFF e DICOM.
  • Integrazione LIS: Al LIS (laboratory information system) possono essere richiesti degli addizionali metadati ed è possibile salvare le scansioni in formato DICOM per un upload diretto in un sistema di gestione di immagini.
  • Flussi di lavoro automatizzati: Si possono effettuare degli upload automatici nel database NIS SQL per una gestione dei semplificata dei dati.
  • Formato VSI per la microscopia avanzata: Sviluppato da Evident, il formato di file VSI soddisfa le esigenze specifiche dell'imaging di microscopia. Il suo crescente impiego in diversi progetti e azienda ne assicura una compatibilità e un supporto sul lungo termine.
Facile analisi, condivisione e archiviazione dei propri dati

Colon sottoposto a colorazione tricromica di Masson. Immagine per gentile concessione di Wenjin Chen, Centro per i tumori NJ Rutgers.

Colon sottoposto a colorazione tricromica di Masson.
Immagine per gentile concessione di Wenjin Chen, Centro per i tumori NJ Rutgers.

Collaborazione con il gratuito Visualizzatore di vetrini virtuali OlyVIA

  • Visualizzazione di vetrini virtuali in ogni computer con Windows : In locale o in rete.
  • Accesso remoto: Si possono aprire e analizzare le immagini salvate nel NIS attraverso internet.

Maggior informazioni

Effettuare il download dell'OlyVIA

Lettura di codici a barre

L'integrato lettore del codice a barre permette di acquisire e registrare automaticamente le informazioni dei vetrini, semplificando il monitoraggio dei vetrini e l'inserimento dei dati.

  • Vengono supportati numerosi tipi di formati 1D e 2D per un'ampia compatibilità.
  • I dati possono essere configurati in riferimento a un nome di file o di cartella , semplificando l'organizzazione e la gestione di considerevoli volumi di vetrini.

https://adobeassets.evidentscientific.com/content/dam/video/video/library/Barcode_with_Subtitles_v3_480.mp4

Lettura di codici a barre

Specifiche tecniche

Portavetrini singolo VS200 Sistema di caricamento di portavetrini multipli VS200
Supporto da analizzare Campione osservabile Vetrino con e senza vetrino coprioggetto *1
Dimensioni del vetrino (Largh. × Lungh. × Altez.)

Portavetirni standard: 25 mm–26,5 mm × 75 mm–76,5 mm × 0,9 mm–1,2 mm (1 in. × 3 in. × 0,05 in.) (6 vetrini)

Portavetrini opzionali:

1) 51 mm–53 mm × 75 mm–76,5 mm × 0,9 mm–1,2 mm (2 in. × 3 in. × 0,05 in.) (3 vetrini)

2) 75 mm–76,5 mm × 100 mm–102 mm × 0,9 mm–1,2 mm (3 in. × 4 in. × 0,05 in.) (1 vetrino)

3) 100 mm–102 mm × 126 mm–128 mm × 1,1 mm–1,4 mm (4 in. × 5 in. × 0,06 in.) (1 vetrino)

Spessore del coprioggetto 0,12 mm – 0,17 mm
Metodi di osservazione Campo chiaro, campo chiaro riflesso (opzionale*2), campo scuro, contrasto di fase (opzionale*3), semplice polarizzazione (opzionale*4), fluorescenza (opzionale) e sezionamento ottico a fluorescenza con illuminazione speckle (opzionale modulo SILA)
Struttura ottica Illuminatore Illuminazione Köhler integrata per luce trasmessa; LED a alta intensità e ad alta resa cromatica (fino a 50000 ore)
Obiettivi Obiettivi compatibili 2X, 4X*4, 10X*5, 20X, 40X*5, 60X*5 e 100X*5 per un revolver motorizzato a 6 posizioni (inclusi obiettivi selezionati a immersione ad olio, obiettivi ad immersione a olio di silicone e a contrasto di fase) Opzionale automatico dispenser liquido
Tavolino motorizzato Tavolino XY con controllo automatico
Regolazione Messa a fuoco motorizzata con controllo automatico
Fotocamera a colori Integrato CMOS 2/3", dimensioni dei pixel 3,45 μm × 3,45 μm, alta sensibilità e alta risoluzione
Unità di scansione Capacità

1 portavetrini, 6 vetrini al massimo;

possibilità di upgrade a un modello con sistema di caricamento con portavetirni multipli

Fino a 35 portavetrini e 210 vetrini al massimo
Risoluzione dei pixel (fotocamera a colori)

UPLXAPO20X (NA 0,8): 0,274 μm/pixel

Opzioni:

UPLXAPO4X (NA 0,16): 1,37 μm/pixel
UPLXAPO10X (NA 0,4): 0,548 μm/pixel
UPLXAPO40X (NA 0,95): 0,137 μm/pixel
UPLXAPO40XO (NA 1,4): 0,137 μm/pixel
UPLXAPO60XO (NA 1,42): 0,091 μm/pixel
UPLXAPO100XO (NA 1,45): 0,055 μm/pixel

Tempo scansione

Campo chiaro: Circa 1,5 minuti (obiettivo 20X e area di scansione 15 mm × 15 mm)

NOVEM grandangolare a fluorescenza: Circa 14 minuti (area di scansione dell'obiettivo 14X di 15 mm × 15 mm; 4 canali; ogni esposizione 50 ms)

Software Rilevamento di campioni automatico (generico e deep learning TruAI); lettura dei codici a barre automatica; mappatura della messa a fuoco automatica; scansione automatica; stitching automatico; pausa e riavvio delle scansione; imaging Z-stack; EFI (extended focus imaging), formato delle immagini: VSI, JPEG, TIFF e DICOM; visualizzazione sincronizzata multi-immagini; zoom modulabile; zoom durante la scansione; annotazioni; screenshot; controllo sistema di caricamento dei vetrini (solamente sistema di caricamento dei portavetrini multipli)
Fluorescenza (opzionale) Componenti per fluorescenza

Obiettivo UPLFLN4X, illuminatore con obiettivo fly-eye, torretta portacubi motorizzata e ruota portafiltri motorizzata

Opzioni generatore di luce grandangolare: U-LGPS, Excelitas X-Cite XYLIS e X-Cite Novem

SILA: Combinatore laser a 6 linee e unità scrambler

Fotocamera monocromatica Opzioni: VS-304M; CMOS da 1"; dimensioni dei pixel 3,45 μm × 3,45 μm; HAMAMATSU ORCA Flash4.0 V3; HAMAMATSU ORCA Fusion; HAMAMATSU ORCA Fusion BT
Soluzioni per software dello scanner (opzionale) Licenza della soluzione Convertitore di formato delle immagini in batch, convertitore DICOM, fluorescenza e acquisizione SILA
Software Desktop (soluzione opzionale e separata per l'analisi) Licenza della soluzione Convertitore di formato delle immagini in batch, convertitore DICOM, rilevamento-analisi, deep learning e deconvoluzione 3D
Ambiente Peso

Struttura ottica: 75 kg (165,3 lb)

1 portavetrini: 0,6 kg (1,3 lb)

Struttura ottica e sistema di caricamento di portavetrini multipli: 149 kg (328,4 lb)

35 portavetrini: 21 kg (46.3 lb)

Fluorescenza: 8 kg (17,6 lb)

Computer e monitor: 19 kg (41,9 lb)

Protezione fotocamera (opzionale): 9 kg (19,8 lb)

Ambiente operativo Computer e monitor: 19 kg (41,9 lb)
Protezione fotocamera (opzionale): 9 kg (19,8 lb)
Ambiente operativo Temperatura: 15–28 °C (59–82,4 °F) (inclusi altri dispositivi)
Umidità: Fino a 80% (31 °C (87,8 °F))
Alimentazione*5 Ingresso: 100–240 V CA; 50/60 Hz; 4 A
Uscita: 24 V CC, 9,2 A
Consumo di corrente 221 W

*1Sono richiesti degli obiettivi compatibili opzionali.

*2Sono richiesti un generatore di luce, un illuminatore, un cubo filtro e una torretta portacubi motorizzata e un cubo filtro opzionali.

*3 Sono richiesti degli obiettivi a contrasto di fase opzionali.

*4 Sono richiesti un cubo filtro dell'analizzatore e una torretta portacubi motorizzata o un analizzatore rotante manuale opzionali.

*5 Venduto separatamente.

Nota di rilascio

Scarica il software

Versione 4.3 (IVD)

La versione 4.3 del software VS200 ASW viene utilizzata per controllare lo scanner di vetrini SLIDEVIEW DX VS200, un dispositivo con marcatura CE ai sensi dell'IVDR UE per l'uso nella diagnostica clinica in Europa. Questo software si basa sul software Research Use Only (RUO), versione 4.2.

Differenze rispetto alla versione 4.2

  • Pagina aggiuntiva e link nel disclaimer, nella home page e nella guida online che spiegano le funzioni del software compatibili con IVD
  • Nessuna funzionalità di database

Note di licenza

  • Le licenze RUO e IVD non sono collegate; gli scanner con software RUO non possono essere aggiornati a una versione IVD, e viceversa.
  • VS200 Desktop e OlyVIA Desktop sono RUO e non sono certificati IVD

Versione 4.2.1 (Service Release)

Miglioramenti

  • Opzione aggiuntiva per migliorare il rilevamento dei codici a barre
  • Separatori aggiuntivi per definire scansioni multicanale nel nome del file
  • Gestione più efficiente della memoria per le scansioni VS-SILA
  • Aggiunta finestra degli strumenti per la creazione di etichette di addestramento in VS200 ASW e VS200 Desktop

Risoluzione di problemi tecnici

  • Problema di avvio causato dall'unità E:\
  • GUI visualizzata in modo errato quando sono presenti meno di 100 progetti di scansione
  • Riquadri di immagine neri quando si utilizza il combinatore laser a 6 linee
  • Il programma di installazione NI funziona solo con una connessione a Internet su PC
  • Messaggio di avviso "Dispositivo occupato" durante la messa a fuoco manuale con la funzione clic per spostare
  • Calcolo errato dei punti di messa a fuoco
  • Il software si blocca durante una scansione batch o una correzione dell'ombreggiatura
  • Reset delle impostazioni della telecamera a colori dopo il riavvio del software
  • Il software richiedeva il riavvio dopo la rimozione di un elemento ottico
  • I livelli di etichette di addestramento creati nella versione 3.4.1 non possono essere visualizzati nelle versioni 4.1.2 e 4.2

Versione 4.2

  • Nuovo supporto hardware
  • Supporta fino a sei lunghezze d'onda per l'acquisizione VS-SILA, con un intervallo di lunghezze d'onda più ampio da 395 a 785 nm
  • U-LGPS tipo 2, è possibile controllare l'accensione/spegnimento e la potenza di ciascuna lunghezza d'onda
  • Nuovo regolatore dell'angolo di polarizzazione (rev2)
  • Vetrino di calibrazione senza coprioggetto compatibile con tutti gli obiettivi senza coprioggetto
  • Nuove funzioni e miglioramenti
  • Misurazione automatica della gamma Z
  • Aggiornamento dell'apprendimento profondo (regressione delle immagini, etichettatura semplificata, addestramento istantaneo, nuova rete IHC preaddestrata da cellSens 4.2) in VS200 Desktop
  • Conteggio degli oggetti in VS200 Desktop
  • La finestra di dialogo Esporta immagine (da cellSens 4.2) è stata aggiunta a tutti i software VS200
  • NIS può essere installato su macchine virtuali in un ambiente cloud (abbiamo testato Microsoft Azure) con alcune limitazioni
  • L'ingrandimento viene salvato come tag DICOM
  • Ulteriori campi clinici correlati possono essere salvati direttamente come tag DICOM
  • L'orientamento delle etichette in DICOM è regolato in modo da corrispondere meglio ai PACS disponibili
  • Nuovi video tutorial: la scansione con Z virtuale, il miglioramento del rilevamento del campione e l'ottimizzazione dell'autofocus sono stati aggiunti alla guida in linea del software VS200 ASW

Versione 4.1.2

Nuove funzioni e miglioramenti

  • Aggiornamento sulla sicurezza informatica: CodeMeter è aggiornato alla versione 7.60d
  • Ottimizzazione di NIS SQL e OlyVIA web per supportare più client
  • Il formato OIR è supportato come formato di input nella soluzione VS-CONV

Versione 4.1.1

Nuovo supporto hardware

  • Combinatore laser (lunghezza d'onda 405, 488, 561, 638 nm) per acquisizione VS-SILA
  • LED bianco U-LGPS
  • KL-2500 per campo chiaro riflesso
  • Dispositivo di sezionamento ottico e scheda di trigger per acquisizione VS-SILA

Nuove funzioni e miglioramenti

  • Modulo VS-SILA per il sezionamento ottico
  • Supporto di VS200 ASW, NIS SQL, VS200 Desktop e OlyVIA Desktop in Windows 11
  • Livelli di immagine aggiuntivi (maschere campione, punto di messa a fuoco, mappa di messa a fuoco e livello di nitidezza) possono essere opzionalmente creati durante l'acquisizione dell'immagine.
  • Integrazione del gestore delle credenziali per il database NIS SQL
  • Superiore e inferiore: definizione dell'intervallo Z assoluto in tempo reale per l'acquisizione Z virtuale
  • Pre-elaborazione della scansione di fluorescenza DICOM per ottimizzare la visualizzazione a soli 8 bit dei visualizzatori DICOM
  • Supporto per la conversione del formato file OIR in DICOM
  • Funzionalità di salvataggio e caricamento dei ROI
  • Supporto per il tipo di codice a barre MicroPDF417
  • Le immagini possono essere scaricate da OlyVIA web

Risorse

Note applicative

Approfondimenti

Video

Risorse dei prodotti