SLIDEVIEW VS200 per la patologia digitale

Contatti

Ogni vetrino. Ogni dettaglio. Ogni possibilità.

Attraverso il nostro più avanzato scanner per vetrini è possibile realizzare numerose applicazioni, da quelle di ricerca all'avanguardia a quelle di analisi patologiche digitali specializzate.

Prodotto beneficiando di un secolo di competenze maturate nelle ottiche di precisione, lo scanner per l'imaging di vetrini interi e universali SLIDEVIEW™ VS200 è progettato per acquisire numerosi tipi di campioni e colorazioni con diversi ingrandimenti, dimensioni dei vetrini flessibili e cinque modalità di imaging versatili.

L'eccezionale qualità delle immagini di interi vetrini permette al proprio laboratorio di sfruttare appieno il potenziale dei propri campioni e consente di prendere delle decisioni fondamentali con fiducia.

Lo SLIDEVIEW DX VS200 è adesso un dispositivo con marchio CE conforme alla normativa dell'Unione Europea IVDR* per un utilizzo nelle diagnosi cliniche in Europa. Scopri di più nella nostra comunicazione >>

*Disponibile nel luglio 2025

Scarica la brochure

Analisi FISH, 40X

Tessuto sottoposto a colorazione H&E, 40X

Immagini affidabili. Risultati attendibili.

Supportando fino a sei obiettivi a alte prestazioni X Line™ e integrando un'illuminazione al LED True Color oltre a dei profili per fotocamera con colori corretti, il sistema SLIDEVIEW VS200 assicura chiarezza per le immagini di vetrini interi. Lo scanner è progettato per riprodurre in modo preciso le caratteristiche dei campioni e delle colorazioni, minimizzando la necessità di ripetizione di scansioni e supportando diagnosi efficienti.

Osservazione di più dettagli del campione con delle modalità di imaging avanzate e delle configurazioni flessibili

Si possono scoprire più dettagli attraverso cinque modalità di imaging (campo chiaro, polarizzazione, fluorescenza, campo scuro e contrasto di fase) e la capacità di combinare diverse tecniche in una sola scansione. Questa flessibilità offre numerose possibilità di osservare campioni istologici e citologici, dalle analisi patologiche di routine alla complessa caratterizzazione molecolare di tessuti tumorali.

Immagine di cartilagine umana acquisita con un obiettivo X Line™ UPLXAPO10X con cinque diverse modalità di imaging

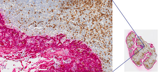
Tonsil CD3 (rm), ImmPRESS Reagent (HRP) Anti-Mouse IgG Immpact DAB (marrone), AE1/AE3(m) ImmPRESS (AP) (HRP) Anti-Rabbit IgG Immpact Vector Red (rosso). Colorazione di contrasto con Hematoxylin QS (blu).
Immagine per gentile concessione di Vector Labs.

Osservazione più efficiente con flessibili opzioni hardware e software

  • È possibile scegliere il più appropriato ingrandimento di scansione, compreso tra 2X e 100X, impiegando qualsiasi obiettivo della gamma Evident.
  • Il nostro automatizzato dispenser dell'olio, combinato con un obiettivo ad olio, permette delle scansioni ad alto ingrandimento.
  • Il dispositivo di sezionamento ottico VS-SILA (speckle illumination acquisition) assicura l'acquisizione di immagini simili a quelle confocali da campioni spessi.

Scansioni oltre lo standard

Flussi di lavoro più veloci e semplici

  • Un semplice interfaccia utente con la modalità veloce e esperto rende il software semplice da apprendere e usare, senza una limitazione della flessibilità.
  • Numerosi tipi di campioni, da quelli di immunofluorescenza a quelli di midollo osseo o di aree di amiloidi, possono essere scansionati e integrati nel proprio flusso di lavoro digitale.
  • Salva e richiama le configurazioni per accelerare i flussi di lavoro ripetitivi e standardizzare le operazioni.

Scansione di diversi tipi di campioni in un batch

  • Supporta diversi tipi, dimensioni e colorazioni dei vetrini
  • È in grado di rilevare automaticamente diversi formati, scansionandoli nello stesso batch, così da migliorare efficienza e produttività.

Scansione assistita da AI per valutazioni più efficienti

  • Il rilevamento di campioni guidati da AI aiuta a identificare le aree cellularie tessutali, migliorando la precisione di scansione anche nel caso di campioni scarsamente colorati, ottimizzando, allo stesso tempo, le esigenze di archiviazione dei dati.
  • Questa automazione permette di risparmiare tempo ed energie, migliorando la precisione di scansione per supportare delle valutazioni affidabili, anche nei casi complessi.
  • Inoltre la tecnologia TruAI™ permette un rilevamento, una segmentazione e delle misure cellulare di alta precisione, per delle osservazioni e delle analisi label free.

Flusso di lavoro

Massimizzazione della produttività e semplificazione dei flussi di lavoro

Automatizzata gestione di vetrini digitale

La semplice integrazione nei PACS , nei sistemi di gestione delle immagini e nei flussi di lavoro digitali già presenti, oltre al supporto degli standard HL7, FHIR, ODBC, HDD e DICOM, assicurano un'interoperabilità dei propri sistemi di laboratori

Archiviazione, condivisione e collaborazione

Utilizzando l'opzionale database Net Image Server (NIS) SQL è possibile gestire file di immagini di grandi dimensioni da qualunque luogo Si può collaborare a distanza in tempo reale con consulenti archiviando e condividendo immagini in modo sicuro con il nostro visualizzatore di immagini per web OlyVIA.

Veloci analisi mediante la digitalizzazione e il supporto integrato

Attraverso un efficiente flusso di lavoro digitale e sincronizzato, supportato da una procedura guidata durante il processo, è possibile operare in modo più veloce. Ilnostro team di specialisti è pronto per ottimizzare qualunque processo completo di analisi patologiche digitali: dalla scansione dei vetrini ai miglioramenti di imaging e alla gestione dei dati.

Image server connected to internet

Pronti per le nuove sfide

Aggiunta di funzionalità in base a nuove esigenze operative

Si tratta di uno scanner di cui si ha bisogno nel presente, con la flessibilità di svilupparlo quando le proprie priorità di laboratorio evolvono. Che sia necessario acquisire una fluorescenza multiplexing per la scoperta di impronte tumorali, utilizzare la luce polarizzata per evidenziare gli amiloidi nel tessuto cerebrale o analizzare campioni di grandi dimensioni relativamente alle caratteristiche istologiche, lo scanner SLIDEVIEW VS200 può essere adattabile per assolvere allo scopo.

Le opzioni integrabili con un upgrade sul campo permettono di aggiungere delle funzionalità con tempi di inattività minimi:

  • Si può iniziare con un sistema a singolo portavetrini per effettuare successivamente l'upgrade a un sistema di caricamento automatizzato a alta capacità quando il carico di lavoro aumenta.
  • In qualunque momento si possono integrare delle funzionalità con fluorescenza e degli ingrandimenti supplementari con lo sviluppo delle proprie esigenze di imaging.

https://adobeassets.evidentscientific.com/content/dam/mis/vs200/media/videos/SLIDEVIEW%20VS200_USCAP.mp4

Maggiore produttività nella patologia digitale

Combina lo SLIDEVIEW VS200 con il nostro sistema SLIDEVIEW VS-M1 per incrementare le funzionalità di laboratorio con uno scanner dedicato per le analisi patologiche digitali di routine. Progettato per dei laboratori a alta produttività, il sistema SLIDEVIEW VS-M1 fornisce velocemente delle immagini di alta qualità con dei flussi di lavoro integrati per la maggior parte dei campioni trovati nell'ambito della patologia e della citologia. Quando vengono usati in combinazione, questi sistemi permettono di ottimizzare la digitalizzazione completa dei propri campioni.

Dichiarazione di non responsabilità

Questo prodotto è destinato solo ad un uso da laboratorio. Il cliente è responsabile nell'assicurarsi che le prestazioni del prodotto siano adatte all'uso specifico o all'applicazione del cliente.

Per un elenco completi di opzioni e configurazioni disponibili nella propria area geografica, cliccare qui o contattare il proprio rappresentante locale Evident.

Prodotti correlati a questa applicazione

VS200

Attraverso il nostro più avanzato scanner per vetrini è possibile realizzare numerose applicazioni, da quelle di ricerca all'avanguardia a quelle di analisi patologiche digitali specializzate. Il sistema SLIDEVIEW™ VS200 è progettato per acquisire numerosi tipi di campioni e colorazioni attraverso diversi ingrandimenti, delle dimensioni dei vetrini flessibili e cinque modalità di imaging versatili. L'eccezionale qualità delle immagini di interi vetrini permette al proprio laboratorio di sfruttare appieno il potenziale dei propri campioni.

Maggiori informazioni