アプリケーションノート

お問い合わせ

バッテリー駆動式の顕微鏡ソリューションでマラリア研究を促進

エビデントのカスタマイズソリューションチームは、さまざまな顕微鏡観察における課題の解決や、顕微鏡の機能強化のため、お客様と協力したソリューション作りを行っています。ここでは、遠隔地の顕微鏡実習を支援することによって、従来型を超える機能をどのように提供しているかをご紹介します。

サハラ以南のアフリカでマラリア研究ラボが直面する課題

世界全体で、マラリアは年に2億4千万人を超える感染者が発生し、62万7千人が亡くなっていると推計されています(2020年の統計による)。死者のうち約95%はアフリカが占めています。1

患者の重症度を低下させ、蚊媒介性疾患のまん延を防ぐには、マラリアをできる限り早期に治療する必要があります。マラリアに大きな影響を受けている地域では、24時間以内に治療することが推奨されます。2 マラリアの原因となる原虫を効率的かつ正確に識別するには、サンプルを評価するラボ技師への十分な実習が必要です。マラリアが疑われながら正しく評価されない場合、他の疾患を持つ患者が適切に治療されない可能性があります。したがって、マラリアと戦うためには、しかるべき場所に実習を受けた医療従事者がいることが欠かせません。

1. マラリア原虫の迅速評価の必要性

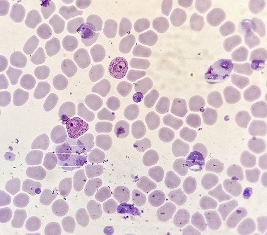
顕微鏡を用いてマラリア原虫を識別するには、まず血液を染色し(最も一般的なのはギムザ染色)、マラリア原虫がよく見えるようにします。次に染色した血液サンプルを顕微鏡スライドに塗布して、図1に示すようなマラリア原虫の有無を顕微鏡で調べます。

Plasmodium vivax trophozoite, a malaria blood parasite

図1:マラリア血液原虫の一種、三日熱マラリア原虫栄養体。

迅速評価を支援するため、サハラ以南のアフリカでは、危険な状態にあるコミュニティのできる限り近くに、顕微鏡を有する保健施設が設置されています。設備が整っていることと同様に重要なのは、地域の保健施設に顕微鏡を使いこなす実習を受けた技師がいることです。

2. 遠隔地域にある施設の実習における難しさ

CX23教育用生物顕微鏡は、実習や教育に広く用いられています(図2)。使いやすく、軽量でコンパクト、そして耐久性に優れた設計のCX23顕微鏡は、遠隔地にある教育施設にとって実用的な製品です。また、最先端の光学レンズによってイメージング性能が優れています。

Olympus CX23 educational microscope

図2:CX23顕微鏡は実習に適しており、人間工学に基づいて設計されているため、ラボでの長時間にわたるサンプル観察を楽に行えます。

ほとんどのラボ実習環境では、標準的なCX23モデルでの光源に電力駆動式のLEDライトを使用します。しかし、遠隔地によっては電力供給が難しい場合や不安定な場合があります。顕微鏡実習中に長時間にわたって電力が切断されると、顕微鏡使用者の技能は大幅に遅れてしまいます。

限られた電力でマラリア評価を行う課題の解決

エビデントの欧州、中東、アフリカ(EMEA)地域向けの販売およびカスタマイズソリューションチームは、アフリカの医療実習施設と協力して、長期にわたり電力が不足している地域や、電力供給がすぐに得られない環境でも顕微鏡実習を継続できるソリューションを開発しました。

図3に示すこのソリューションは、CX23顕微鏡に簡単に接続できるポータブルUSB LED光源です。実験の設定を柔軟に選択できる複数の付属品オプションがあります。

Battery powered illumination for the CX23 microscope

図3:CX23顕微鏡に取り付けてソーラーパネル電源に接続されたUSB LEDライトの画像。

カスタマイズソリューションチームが専門の照明技術業者の協力を得て確認したところ、この光源は、広く入手可能なUSBモバイルバッテリーを使用して最大10時間作動できます。これによって、長時間の顕微鏡実習が可能になります。

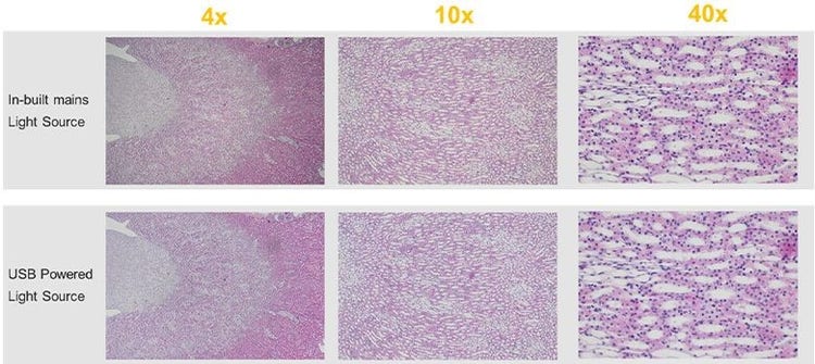
バッテリー駆動式の光源は、CX23の内蔵LEDに匹敵する均一な明るさと色温度で、光学性能に加えて最終的には評価の質の維持に貢献します。電力駆動式のものと並べて比較したものを図4で見ることができます。

Mains powered light source versus USB battery-powered light source comparison of CX23 microscope images

図4:CX23内蔵LEDとカスタマイズされたポータブルUSB光源について、さまざまな倍率で同じ画質を示す顕微鏡画像。

標準的な条件下で作動した場合、この光源の寿命は最大8年です。また、人間工学を考慮した輝度コントロールによって、使用者は輝度を楽に調整できます。

南アフリカを拠点とするエビデント販売代理店Wirsam Scientificのある担当者は、この光源のテスト後に次のように賞賛しました。「現在、私たちの地域では交代制の電力平均分配が行われているほか、計画外停電も多くあります。当社では、CX23顕微鏡にバッテリー駆動式のLED光源を使用しました。これには顕微鏡の台座に取り付けるものと、コンデンサーに挿入するものがあります。輝度は十分すぎるほどでした。

USB light source for microscopes powered by solar panel

図5:USB照明システムの駆動にソーラーパネルを使用するWirsam Scientificの構成。

8時間以上続けてシステムを使用しましたが、輝度は一定のままでした。ソーラーパネルに直接つないでLED光源を使っても、大変うまくいきました(図5)。日照量の多い大陸ですから、この光源は効率のよい安価な選択肢です。アフリカの電気の通っていない地域や電力供給が安定しない地域では、ソーラーパネルによって課題の一部が解決されるはずです。」

この一見シンプルながら高品質なカスタムソリューションは、世界の安全と健康を向上させるため、ライフサイエンスと産業のソリューションを作り出す、というエビデントの取り組みを表しています。

お客様のニーズに合わせてカスタマイズソリューションチームが共同作成できるソリューションの事例をご覧ください。

地域によって取り扱いのない場合がございます。詳細については、お近くの販売代理店までお問い合わせください。

1https://www.who.int/teams/global-malaria-programme/reports/world-malaria-report-2021
2https://www.cdc.gov/malaria/malaria_worldwide/reduction/dx_tx.html

このアプリケーションノートに関連する製品

教育用生物顕微鏡

CX23

  • 高い堅牢性に使いやすさを追求
  • 優れた光学性能
  • 長寿命LED照明

詳細はこちら

コンポーネントとカスタムソリューション

当社は、お客様の装置の開発に必要となる光学系や形状寸法など、各種コンポーネントの技術データを提供しています。また、標準品で対応できない場合には、個別に対応いたします。

詳細はこちら

光源装置

顕微鏡の種類や検鏡法だけでなく、さまざまなアプリケーションに適応できるよう、各種の光源装置を用意しています。

詳細はこちら

U-FLLED

コンパクトで直接取り付けられるLED光源です。手動式および半 電動式顕微鏡による日常的な蛍光イメージング用に設計されてい ます。 U-FLLEDはファンレスのパッシブ冷却とモジュラー励起チ ャネルを備えており、システムを複雑にすることなく、固定試料 や日常のワークフローに安定した均一な照明を提供します。

  • 統合顕微鏡セットアップ用の直接取り付けられるLED照明。
  • 一般的な蛍光体のためのモジュラー励起チャネル
  • 日常的な蛍光イメージングに適した静音ファンレス動作の

詳細はこちら