アプリケーションノート

お問い合わせ

VS200リサーチスライドスキャナーとTruAIディープラーニングによる膵島の自動セグメンテーションと解析のスピードアップおよび最適化

研究データをまとめ上げるためには、大量の画像を解析する必要があります。そして、定量的にも定性的にも、高い信頼性と公平性のある解析結果が求められます。そのため、特に形態的な特徴に注目する場合は、時間をかけて慎重に解析作業を進めなければなりません。画像解析のプロセスを高速化するため、オリンパスは、SLIDEVIEW VS200リサーチスライドスキャナーにディープラーニング(TruAI)を組み合わせたソリューションを提供します。本アプリケーションノートでは、このソリューションを活用した事例として、膵島の自動セグメンテーションと解析についてご紹介します。

膵島の画像解析

糖尿病に対する効果的な治療法を研究・開発するにあたり、その複雑な背景をよく理解し効率的な治療法を確立するため、膨大な膵臓切片の画像解析が行われています。

膵臓には主に2つの働きがあります。食物中のタンパク質、脂質、炭水化物、核酸を分解する酵素の分泌(外分泌)と、血糖値を制御するホルモンであるインスリンとグルカゴンの分泌(内分泌)です。 後者が糖尿病に関係します。 膵臓内のベータ細胞群(ランゲルハンス島ともいう)は、インスリン分泌において基本的な役割を果たします。インスリンは、グルコースがエネルギー源として他の組織の細胞に吸収されるように刺激し、血中のグルコースを低下させます。

糖尿病など代謝性疾患の研究において、インスリンが含まれるベータ細胞の割合と相対的な位置を解析する必要があります。 膵臓のランゲルハンス島の形態を判別し定量化するため、顕微鏡で撮影した大量の画像を解析する作業が欠かせません。

VS200リサーチスライドスキャナーとディープラーニング技術(TruAI)を活用した実験

オリンパスのTruAIを活用することにより、膵臓の形態および作用を理解しながら、CB57BL/6NTacマウスのランゲルハンス島における老化過程を調べる実験を行いました。

SLIDEVIEW VS200リサーチスライドスキャナーとTruAIディープラーニングを使用した実験

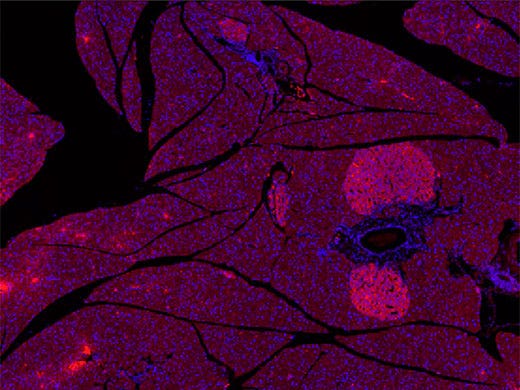
実験のためにオリンパスVS200スライドスキャナーでスキャンしたスライドの例。 Alexa 594とDAPIで染色された膵臓切片の画像提供は、 Rostock University Medical Center(ドイツ、ロストック)の Institute for Medical Biochemistry and Molecular Biology、Simone E. Baltrusch教授・理学博士によるものです。

サンプルは、インスリン抗体染色法で処理されたマウスの膵臓切片です (Rostock University Medical Center(ドイツ、ロストック)の Institute for Medical Biochemistry and Molecular Biology、Simone E. Baltrusch教授とCindy Zehm博士による提供)。この染色法によって、ランゲルハンス島内のベータ細胞を識別できるようになります。これらの細胞は膵臓内分泌部に相当し、外分泌部とは細胞構造が異なります。

VS200リサーチスライドスキャナーを用いて、マウスの膵臓サンプルを対物レンズ10倍で高速スキャンし、デジタルスライドを取得しました。スキャン画像のうち40枚で、ランゲルハンス島を肉眼で認識することができました。インスリンを生成するベータ細胞の一次抗体に付着した二次抗体が、Alexa 594の染色で赤く示され、DAPI(青色)で対比染色された細胞核と対照をなしていることが分かります。

膵島の自動セグメンテーションにおける課題

マウスの膵臓サンプル内にある膵島は、特殊な蛍光抗体を使用することで視覚化できます。スキャン画像内で膵島の構造を解析する場合、研究者は通常、手作業で膵島を選択しますが、その作業にはとても時間がかかります。さらに、輝度や色味のしきい値に基づくアルゴリズムなど、従来の自動セグメンテーション方法では、下に示すように膵島のみを検出することができません。

従来のしきい値方式により膵島を検出しようとした対物レンズ10倍画像(黄色が検出された箇所)。膵島(緑色の円)を同じ赤色の血液細胞(青色の円)と区別できないことが分かる。

従来のしきい値方式により膵島を検出しようとした10倍画像(黄色が検出された箇所)。膵島(緑色の円)を同じ赤色の血液細胞(青色の円)と区別できないことが分かる。

Alexa 594チャンネルの観察時に赤血球の自家蛍光も検出されるため、膵島のベータ細胞の染色に使用した抗体(緑色の円)と赤血球で満たされた血管(青色の円)を自動的に区別するのは困難です。VS200リサーチスライドスキャナーでは、画像解析用のデスクトップソフトウェア(VS-Desktop)にTruAIモジュールを追加搭載することができます。このTruAIは、畳み込みニューラルネットワーク(Convolutional Neural Network)に基づいたディープラーニング機能です。

このニューラルネットワークは、顕微鏡画像に対するセルフラーニング手法の一種であり、観察・解析対象のセグメンテーションに用いられる極めて強力で有効な技術です。この技術のおかげで、マウスの膵島の検出を自動化することができます。

膵島(緑色の円)、血液細胞(青色の円)

膵島(緑色の円)、血液細胞(青色の円)

TruAIディープラーニングによりサンプルの自動セグメンテーションと解析を簡単に行うワークフロー

まず初めに、観察・解析対象がラベルされた正解画像をサンプル画像として準備します。ここでは、12個の異なるマウス膵臓サンプルの膵島に手動でラベル付けをします(緑色の円)。

手動でラベル付けをしたマウス膵臓サンプルの膵島、手動でラベル付けをした部分の拡大画像(緑色の円)

ラベル付けをする対象が多いほど、よい結果が得られます。そして、 明度、色、サイズ、形状の異なる対象の数が多いほど、より強固なニューラルネットワークになります。 ソフトウェアには、手動のラベル付けが容易になる各種ツールがそろっています。

対象物のラベル付けが完了したら、次のステップはディープニューラルネットワーク(DNN)の学習フェーズです。正解画像に対してネットワーク独自の計算データが高精度に合致するまで比較学習が繰り返されます。計算データは人間の脳を模した人工知能(AI: Artificial Intelligence)の一種(いわゆるDNN)であり、構造を認識してインテリジェントな判断を行えるようになります。

最後に、その他の膵臓の画像に計算されたDNNを適用すると、膵島が自動的に検出されて区分されます。

学習フェーズを経て確立したオリンパスのTruAIは、あらゆるVS-Desktopステーションや他の互換性のあるオリンパス製品に転送して使用することができます。

膵島のセグメンテーションと解析の自動プロセスが、以下の3つのシンプルなステップで実現します。

1. SLIDEVIEW VS200リサーチスライドスキャナーで新規画像をスキャンします。

VS200リサーチスライドスキャナー
SLIDEVIEW VS200リサーチスライドスキャナーで新規画像をスキャンします。

2. 学習フェーズを経て確立したDNNによって膵島を自動で検出し区別します。

学習フェーズを経て確立したDNNによって膵島を自動で検出し区別します。

3. 検出された膵島をセグメンテーションし、カウントや測定などの詳細解析を行います。

検出された膵島をセグメンテーションし、カウントや測定などの詳細解析を行います。

膵島の自動セグメンテーションと解析におけるSLIDEVIEW VS200リサーチスライドスキャナーとTruAIディープラーニングの利点のまとめ

TruAIディープラーニングによって、従来の自動化方法よりもはるかに高い信頼性と精度で、複雑な画像からの膵島の検出とセグメンテーションが可能になりました。そして、セグメンテーションの結果を基にカウントや測定などの詳細な解析を実行できます。

SLIDEVIEW VS200リサーチスライドスキャナーとTruAIディープラーニングを組み合わせることで、幅広い生物学アプリケーションの多様な画像(細胞や組織サンプルの明視野および蛍光画像などに)対して、画像取得から精密な定量データ解析までの完全なワークフローが可能になります。

精度の高い画像解析の自動化によって、研究者は面倒な大量の手作業から解放されて、効率的に研究を進めることができるようになります。

謝辞

本アプリケーションノートは、Institute for Medical Biochemistry and Molecular Biology, University Medicine, University of Rostock(ドイツ、ロストック)の研究者の皆様と、Sara Quinones Gonzalez氏(Olympus Soft Imaging Solutions(ドイツ・ミュンスター)製品マネージャー)の協力により作成されました。

このアプリケーションノートに関連する製品


https://main--eds-evident-website--evident-scientific.hlx.live/ja/solutions-based-systems/research-slide-scanner/

VS200

VS200リサーチスライドスキャナーは、脳、がん、幹細胞、創薬研究など、サンプルを大量に定量解析する必要があるアプリケーションのスピードと効率を向上させます。高解像、高品質なスライド画像をすばやく簡単に取得し、データの解析、共有、保管を容易にします。VS200システムには、明視野、蛍光、暗視野、位相差、単純な偏光の5つのイメージングモードがあります。最大210枚のスライドを一度に自動スキャンにかけられます。

  • 2X~100Xまでの高解像ホールスライドイメージング
  • 複数のスライドサイズや観察法に対応
  • 明視野から蛍光マルチプレックスまで、簡単操作で強力なワークフロー
  • 手動の明視野スキャンから、AI識別の全自動スキャンまで、ソフトウェアとハードウェアを独自に設定可能


https://main--eds-evident-website--evident-scientific.hlx.live/ja/software/cellsens/

cellSens

直感的な操作とシームレスなワークフローを実現するcellSensソフトウェアは、ユーザーインターフェースをカスタマイズ可能なので、レイアウトを自由に変えられます。各種パッケージをご用意し、お客様特有のイメージングニーズに合わせたさまざまな機能を提供しています。Graphic Experiment Managerとウェルナビゲーター機能により、5D画像取り込みが容易になります。TruSight™ デコンボリューションで解像度の向上を実現し、カンファレンスモードを使用して画像を共有しましょう。

  • TruAI™ ディープラーニングセグメンテーション解析により実験効率が向上し、ラベルフリーの核検出と細胞カウントが可能
  • モジュール式のイメージングソフトウェアプラットフォーム
  • 直感的なアプリケーション主導のユーザーインターフェース
  • 単純なスナップショットから高度な多次元リアルタイム実験まで、豊富に取りそろえられた機能セット