最新の顕微鏡用カラーカメラで病理研究のイメージング品質を向上させる6つの方法

march-2021-stephan-fliegel-banner.jpg

Stephan Fliegel

Stephan Fliegel

2021年 3月 16日

最新の顕微鏡用カラーカメラによって、研究、授業、画像共有の質の向上と革新を続けています。オリンパスのDPシリーズに最新の顕微鏡用デジタルカメラDP28およびDP23は、忠実な色再現性と高度な機能を兼ね備え、モニター上での高精度かつ信頼性の高い標本観察を可能にします。

これらの最新のカラーカメラでライフサイエンスや病理研究のイメージングの質を向上させるための6つの特長を紹介します。

1. 大型モニターでも忠実な色再現を実現

色は標本の持つ情報を識別するための主な手段のひとつです。そのため、顕微鏡用デジタルカメラが接眼レンズで見た色と同じように正確な色を再現できることは極めて重要です。

DP23およびDP28カメラは、スマートカラーマネジメントシステムを取り入れ、忠実な色再現を提供します。ICCカラープロファイルを搭載し、標本を自然な色味で表すための繊細なカラーバリエーションを確保することで、染色が期待どおりに見えるようになります。

また、カラーマネジメントはリアルタイムで機能するため、ライブモードでプロファイルを適用することができ、可能な限り最大の速度で最良の色再現を提供します。つまり、色味の質を心配することなく、ライブモードで画像を直接撮影することが可能になります。

色再現性の利点を最大限に発揮するためには、DP28またはDP23カメラをオリンパスのBX53顕微鏡用高演色LED光源と合わせて使用することで、光源からのより正確な色再現性をカメラを介して実現することができます。

2. 高画質で標本の細部を観察

顕微鏡を用いたイメージングでは、高解像であればあるほど、標本の構造を解析するためのより微細な部分を観察することができます。

DP28カメラは、圧倒的な4K解像度(890万画素)を提供し、低倍率でも微細な標本の細部を映し出すことができます。1枚の画像で、標本の全体像を表すとともに細部をしっかりと把握することができるため、そこからさらにズームインして微細な構造を最短で観察可能です。必要な情報をすべて得るために都度高倍率に変更する必要がなく、より効率的な標本の解析とプレゼンテーションが可能となります。

一方、オリンパスのDP23カメラは、640万画素の高解像を提供し、ライフサイエンスおよび病理研究の幅広い用途で精細な画像を取得することができます。

3. 広視野観察で効率を向上

もう1つの役立つ機能として、広視野観察が挙げられます。両カメラともに、最大視野数(FN)25の広視野(FOV)を提供し(適合する顕微鏡を使用した場合)、標本の広範囲な領域を一度に観察することができます。

これらの広視野画像は、中央から末端まで十分なシャープさを維持し、効率的なイメージングと解析を可能にします。カメラをオリンパスの高性能対物レンズX Lineなどの優れたフラットネスを得るための最新の光学系や、超広視野(FN25)用に設計されたカメラアダプターと組み合わせることでこの利点を最大に活かすことができます。

4. 滑らかなライブ画像を用いて標本を観察/解析

画像の共有、プレゼンテーション、解析のために、モニター上に歪みの少ない滑らかなライブ画像を表示させたい場合には、DP28カメラが最適です。

グローバルシャッターと最新のCMOSセンサー技術によって、高いフレームレートと解像力とのバランスがを実現しました。毎秒32フレーム(fps)で4K解像度の画像、または最大64fps(標準的なモニターが表示可能な最大フレーム数)のフルHDライブ画像を手に入れることができ、大画面であってもまるで接眼レンズで見ているかのような滑らかさを提供します。

また、DP23カメラも滑らかなライブ画像を実現する高フレームレートを提供し、30fpsの高解像画像または60fpsのフルHD画像が取得可能です。

5. リモートでのディスカッションにおいて効率的に画像共有が可能

ソーシャルディスタンスを維持するため、リモートでの教育が一般的になり、画像を共有したり、オーディエンスをバーチャルで参加させたりする方法が重要になってきました。DP23およびDP28カメラは、研究者や学生が活用できるように、直感的なコラボレーションツールと高解像画像を提供します。

イメージングソフトウェアcellSensをカメラコントロールモジュールにオプション装備されているリモート画像共有機能とあわせて使用することで画像、注釈、ライブでの測定値などの重要なデータをすべて、リモートで表示/共有できます。

これらのコラボレーションツールは、滑らかなライブ画像の解析と共有を容易にします。NISTやGDPRのようなネットワークセキュリティプロトコルのサポートとオプション設定されたアンチウイルスサポートにも対応しており、データは安全に共有できます。

6. 設定と使用が容易なカメラを用いて、より迅速に研究を開始

DP23およびDP28カメラは設定が簡単で、すばやく研究に着手できます。ACアダプターは不要で、カメラのコードをコンピューターのUSB 3.1ポートに接続するだけです。すぐにカメラを起動しイメージングを開始することができます。

多様な設置環境にも柔軟に対応できる、省スペースのスタンドアローンモジュール、または追加機能の利点を活かすためにイメージングソフトウェアcellSensと組み合わせることができます。いずれのも、直感的なユーザーインターフェースにより、画像取得プロセスはとてもシンプルです。ほとんどの場合、1回のクリックで画像取得が可能であり効率的なワークフローを実現します。

カメラは、リアルタイムで最適な設定を行う自動機能を使用しており、以下のような高度な機能によって、高解像な画像を容易に取得できます。

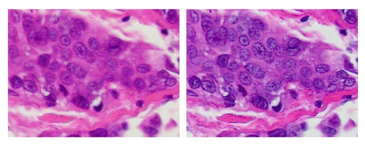
画像平均機能:高いフレームレートを維持しながらノイズを軽減する画像処理機能です。

Noise reduction using image averaging in digital microscope cameras

左:画像平均機能なし 右:画像平均機能あり

フォーカスピーキング機能:ライブ画像上の焦点の合った領域に色が付き、焦点外の領域をグレーで表示する視覚焦点補助機能を介して標本のどの領域に焦点が合っているかの識別をサポートします。この機能は、特に厚みのある標本を観察する際に有効です。

Focus peaking in microscope cameras

左:フォーカスピーキング機能なし 右:フォーカスピーキング機能あり

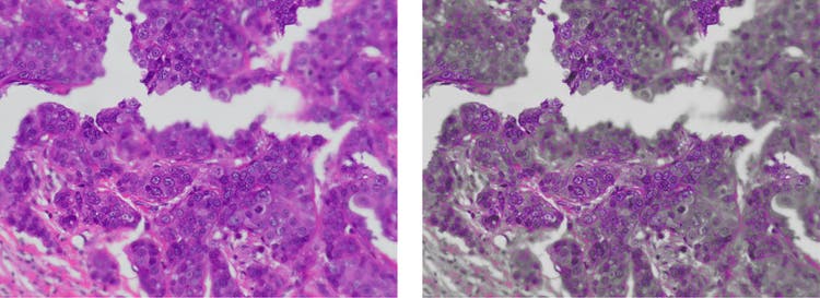
ハイコントラストスタイル:露出時間とコントラストの設定を高S/N比に調節します。この機能は、偏光および蛍光検鏡法において暗い標本から鮮明な画像を取得する際に適しています。

High contrast imaging of dim samples

ハイコントラストスタイルを使用して暗い標本から鮮明な画像を取得します。

高速ライブ機能:長時間露出イメージングでも一貫した高フレームレートを提供し、暗い標本でもスムーズな画像が得られます。

Smooth live imaging in microscopy

左:高速ライブ機能なし 右:高速ライブ機能あり

DP28またはDP23カメラ:どちらを選べばよいでしょうか?

二つのカメラの特長は上記のとおりですが、どちらのカメラがお客様の用途に合うのか、迷うかもしれません。

カメラの特徴を比較し、観察用とにあったものをお選びください。

  1. 解像度: 高解像を求めるならば、DP28カメラが適しています。高効率な画像共有や観察に適した4Kの高解像度(890万画素)を提供します。DP23は、幅広い用途に対応する高解像度(640万画素)を提供します。
  2. ライブイメージング: カンファレンス用に歪みのない滑らかなライブ画像または4Kライブ画像が必要ならば、グローバルシャッター付きのDP28カメラが最適です。それ以外の場合には、ローリングシャッター付きのDP23カメラが、ほとんどの場面で求められる精細で滑らかなライブ画像を提供します。
  3. 感度: DP28カメラは、蛍光アプリケーションにおいて、DP23カメラよりも高い感度を提供します。

必要なカメラ感度については、カメラセレクターを利用して仕様を比較するか、こちらにお問い合わせの上、ご相談ください。いつでも喜んでお手伝いいたします!

Stephan Fliegel

Stephan Fliegel

光学顕微鏡用カメラ部門、プロダクトマネージャー

Stephan Fliegel氏は、ミュンスター応用科学大学でレーザーアプリケーション技術の研究に取り組み、2007年に物理工学の学位を取得しました。工業用レーザー製品の分野で顧客固有のレーザーシステムの設計レイアウト、開発、プランニングを中心に、アプリケーションスペシャリストとして勤務した後、製品およびプロジェクトのマネージャーを務めました。現在は、Evidentで光学顕微鏡用カメラのプロダクトマネージャーを務めています。