信頼のオリンパスTrue Color LED

オリンパスのTrue Color LED は、ハロゲンランプと同等の波長特性を有する高輝度・長寿命の明るい光源です。市場をリードしてきたオリンパスの高度な技術が、高輝度、高演色のLED照明を搭載した顕微鏡システムを実現しました。

ポイント

一般的なLEDは、低消費電力で長寿命ですが、染色標本の色再現性に問題がありました。 オリンパスのTrue Color LEDは、この問題を解決し信頼性の高い画像を提供します。
ハロゲンランプは、その優れた演色性(接眼レンズやモニター上でも)により、顕微鏡の標準的な光源として長年使われてきました。近年、LED技術の進歩に伴い、日常生活の多くの分野において、明るく効率の高いLED光源が従来の照明に置き換わりつつあり、さまざまな分野で多くのメリットをもたらしています。しかしながら、光源の演色性が標本の観察結果に大きな影響を及ぼす顕微鏡の分野では、波長特性がハロゲンランプとずれているという問題が未解決のままでした。オリンパスはどうすればLED光源を顕微鏡に適用することが出来るのかの研究を重ねて来ました。

光源の品質の計測

顕微鏡用のLED光源は、ハロゲンランプと同等の演色性が求められます。ポイントはハロゲンランプが可視域で波長特性がほぼ均一であり、サンプル内の全ての異なる色を均一に照明することであるといえます(図1: ハロゲンランプランプ+昼光色フィルター)。
光源にはそれぞれ固有の照明波長特性があります。個々の波長特性の違いがサンプルの色再現性に影響を与えることは明らかです。ハロゲンランプの波長特性に対して一般的な白色LEDのそれは、特に400nmから480nmと600nmから700nmの領域において大きな差があります(図1: 青矢印)。この波長域はHE染色などの染色標本の色再現において非常に重要な領域です。その為一般的な白色LEDではハロゲンランプと同等の色再現性を実現する事は出来ず、顕微鏡に搭載する事は出来ません。

新開発のTrue Color LED

オリンパスは、LEDが有する低消費電力で長寿命と、明るく均一な照明の利点を損うことなく、高い演色性を実現する“True Color LED”を開発しました。このTrue Color LEDは、前述の一般的な白色LEDの欠点を克服し、LEDを備えた顕微鏡の演色性能が大幅に改善しました。その波長特性(図1: BX3で採用したLED)は可視域でほぼ均一な強度を有し、特にシアンおよび赤色領域(黄矢印)における改善が顕著です。これらの波長特性の改善によってハロゲンランプとほぼ同等の色再現を実現しました。

図1

図1 分光特性

*このグラフは、視感度曲線を用いて正規化された各光源の分光特性を示しています。各光源の光の強さを比較するグラフではありません。

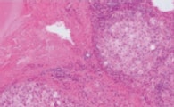
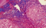
ケーススタディー: 色比較

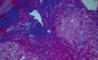
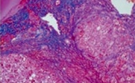
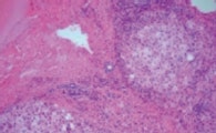
True Color LEDは実際にどのような標本でその実力を発揮するのでしょうか? True Color LEDの性能を、同一染色の組織標本を使って、一般的な市販の白色LEDとの直接比較によって視覚的に評価しました。(図2: ヘマトキシリン・エオジン(HE)染色及びアザン・トリクローム(Azan Trichrome)染色例。)

True Color LEDの演色性は、ハロゲンランプとほぼ同等であり、明るさに関係なく常に一定です。

図 2: ハロゲンランプと各種LED光源の比較

True Color LED照明は、HE染色標本(a-d)及びアザン染色標本(e-h)のいずれにおいても、ハロゲンランプとほぼ同等の色再現性を有しますが、他の市販の白色LED光源は演色性が悪い為、ハロゲンランプと異なった色再現となります。

また、オリンパスの’True Color LED’チップを含む透過照明光学系は、顕微鏡の全視野にわたって均一な照明を提供するように設計されています。この新しい光学系は、複数の画像を貼り合わせたり、高品質の画像を生成するためにデジタル補正を必要としたりする場合に大きな威力を発揮します。

図3は、個々の光源における明るさ分布の比較です。True Color LEDによる照明が他の光源の照明と比較して大幅に改善されることが、画像から確認することができます。照明の均一性の向上は、標本の色と明るさの両方を改善し、観察の信頼性向上に寄与します。

a ハロゲンランプフィラメント

a ハロゲンランプフィラメント
a ハロゲンランプフィラメント

b 一般的な白色LED

b 一般的な白色LED
b 一般的な白色LED

c True Color LED

c True Color LED
c True Color LED

図 3: 視野の明るさ分布

カメラの視野における各種光源の明るさ分布。ハロゲンランプフィラメント(a)、一般的な白色LED(b)、True Color LED (c)。

まとめ

LED照明は、高輝度、低消費電力、長寿命など顕微鏡用の光源としての大きな可能性を秘めています。しかしながら、従来の多くの一般的な白色LEDは、ハロゲンランプとは異なる波長特性により、標本の色再現性に問題がありました。

市場をリードしてきたオリンパスはたゆまぬ努力によって画期的なTrue Color LED技術を開発しました。True Color LEDは、LEDの利点を損なうことなく、標本の色を忠実に再現し、正確な標本の評価が求められる病理学者をはじめとするスペシャリストを強力にサポートします。

関連製品

BX53

システム生物顕微鏡

  • 高演色LED照明による忠実な色再現での標本観察
  • 部分電動化可能なモジュラーシステム
  • 多重染色蛍光画像の簡単取得

詳細はこちら

光源装置

顕微鏡の種類や検鏡法だけでなく、さまざまなアプリケーションに適応できるよう、各種の光源装置を用意しています。

詳細はこちら

View larger image: U-FLLED LED Illumination System Image 1 of 1

U-FLLED

コンパクトで直接取り付けられるLED光源です。手動式および半 電動式顕微鏡による日常的な蛍光イメージング用に設計されてい ます。 U-FLLEDはファンレスのパッシブ冷却とモジュラー励起チ ャネルを備えており、システムを複雑にすることなく、固定試料 や日常のワークフローに安定した均一な照明を提供します。

·        •統合顕微鏡セットアップ用の直接取り付けられるLED照明。

·        一般的な蛍光体のためのモジュラー励起チャネル

·        日常的な蛍光イメージングに適した静音ファンレス動作の

詳細はこちら